疾病描述
Hughes-Stovin 綜合徵(Hughes-Stovin’s syndrome)又稱肺動脈栓塞綜合徵,系指在肺動脈瘤的基礎上,尚有周圍靜脈血栓形成、肺栓塞和支氣管動脈變性等病變同時存在。 並發大咯血。症狀體徵
手術治療HUGHES-STOVIN 綜合徵本徵的臨床經過可分為3 期:
1.第1 期 由於頸靜脈血栓形成而有顱內壓升高,患者有頭痛、嘔吐、視力障礙等。腦脊液壓力升高,血沉可增快。
2.第2 期 淺表或深部靜脈反覆血栓形成,伴有發熱。發熱與血栓形成之間可能具有某種關係,而不是由於菌血症和脾大等,且抗菌藥物治療無效。
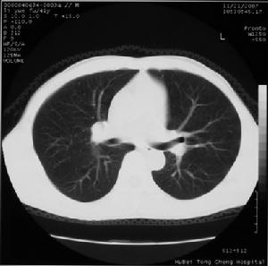
3.第3 期 以咯血為主訴而有胸部病變出現,胸片中可見到局限性結節狀陰影。因為肺動脈瘤是極少見的疾病,又靠近肺門,易將這種病徵性陰影誤認為腫瘤性疾患。咯血可持續數周,終因肺動脈瘤破裂發生大咯血而死亡。
臨床表現
HUGHES-STOVIN 綜合徵肺栓塞具有多種臨床表現譜輕者可無症狀重者表現為低血壓、休克、甚至猝死。常見的臨床症狀有呼吸困難、胸痛、咯血、暈厥等他們可單獨出現或共同表現。既往無心肺疾患的PE患者中97的人有呼吸困難、呼吸急促、暈厥或胸痛。迅速出現的單純呼吸困難常是由靠近中心部位(不影響胸膜)的PE所致;有時呼吸困難在數周內進行性加重因此無其他原因解釋的進行性呼吸困難應想到PE的可能;對於既往有心力衰竭或肺臟疾病的患者呼吸困難加重可能是提示PE的唯一症狀。胸痛有兩種類型;胸膜性胸痛和心絞痛樣胸痛。前者胸痛較劇烈部位明確與呼吸運動有關是肺栓塞的常見臨床表現。這種疼痛是由於遠端栓子刺激胸膜引起;後者心絞痛樣胸痛呈胸骨後胸痛疼痛性質不明確可能與右心室缺血有關。暈厥和休克是合併嚴重的血流動力學紊亂的中心型PE患者特點體循環動脈低血壓、少尿、肢端發涼和/或急性右心心力衰的臨床體徵。體檢可能發現肺動脈高壓體徵(P2亢進、肺動脈瓣區收縮期雜音等)右室負荷增加體徵(頸靜脈充盈肝頸靜脈回流徵陽性)部分患者可有胸腔積液或肺實變表現。下肢深靜脈血栓是PE標誌體檢可見雙下肢不對稱水腫深靜脈區壓痛淺表靜脈曲張皮膚僵硬。
疾病病因
HUGHES-STOVIN 綜合徵病理生理
本病的發病機理不明。如何防治肺動脈血栓栓塞性病變,預防肺動脈高壓和肺動脈瘤的產生,有待今後深入研究。診斷檢查
診斷:主要根據臨床表現作出診斷。實驗室檢查:血沉可增快、腦脊液壓力升高。
其他輔助檢查:X 線胸片,可見到局限性結節狀陰影。
鑑別診斷
HUGHES-STOVIN 綜合徵X 線胸片圖診斷為肺部感染和肺淤血的病人在抗感染治療和強心治療後症狀略有緩解,但仍有明顯胸痛、呼吸困難。所有病人在進行溶栓、抗凝治療結合複方丹參液滴注治療後,症狀明顯好轉。胸痛減輕,呼吸困難消失,血氧飽和度升高達100%,3例紫紺病人紫紺症狀消失。6例胸片示實質性病變病人,治療後病灶消失,明顯縮小。肺淤血病人胸片檢查恢復正常。合併下肢靜脈血栓病人,下肢靜脈恢復通暢。所有病人治癒出院。
治療方案
1.急救處理
快速給氧;注射嗎啡製劑止痛;注射阿托品0.5~lmg,以減低迷走神經張力,防止肺血管及冠狀動脈反射性痙攣;抗心衰、抗休克及水、電解質平衡治療。
2.抗凝治療
(1)肝素:首劑50~75mg加生理鹽水20~40ml,靜注,維持血凝時間(試管法)為正常對照者的2~3倍(20~35min),以後每4~6h給50mg;也可200mg加5%葡萄糖液靜滴,維持24h。以上劑量用8~10d後減量到停藥,或改口服抗凝藥。
(2)口服抗凝藥:華法令鈉開始10~15mg/d,3~5d,待凝血酶原時間適度延長(活動度約15%~25%)時,調整用量並維持12周,維持量2~15mg/d。
(3)溶血栓療法:鏈激酶25萬~50萬U溶於5%~10%葡萄糖液或生理鹽水100ml中,30min靜脈滴完,以後每小時10萬U,維持24h,與肝素並用療效更好。也可用尿激酶20萬U靜滴,以後每小時20萬U,維持8~12h。有出血性疾病、嚴重高血壓、糖尿病視網膜病變、消化道潰瘍、近期做過大手術以及過敏性素質者,禁用溶血栓療法。
3.手術治療
對抗凝治療無效、大的或反覆肺動脈栓塞、使肺循環阻斷>50%並導致肺動脈高壓者適宜手術治療。栓塞部位確定者可行肺栓子切除術,也可行下腔靜脈阻斷術,以減少來自盆腔和下肢的敗血栓症子循環入肺。
4.病因治療
感染性栓子行抗菌治療;氣栓、脂肪栓時應取頭低腳高位,以減少栓子入肺。
預後及預防
預後:終因肺動脈瘤破裂發生大咯血而死亡。
預防:如何防治肺動脈血栓栓塞性病變,預防肺動脈高壓和肺動脈瘤的產生,有待今後深入研究。
用藥建議
1對輕型患者應首選青黴素肌注.
2重症或休克型肺炎病人應及時套用足量抗生素靜脈滴注,並可聯用2-3種廣譜抗生素。如青黴素頭孢菌素類藥等,加強支持和對症治療。
3經補充血容量、糾正酸中毒後末稍迴圈仍無改善時,宜加用血管活性藥物如654-2多巴胺或多巴酚丁胺及間羥胺。
4病情嚴重或經上述療法休克仍未糾正時,宜儘早加用氫化可的松或地塞米松。
