症狀體徵
取決於傳播方式。繼發性肺炎一般出現腺鼠疫以後,往往沒有明顯的皮膚病灶,呼吸系統受累一般發生在發熱數天至1周以後,表現為咳嗽、氣促、發紺、咯血、胸痛、肺底部有少許濕囉音,可並發胸腔積液。原發吸入性肺炎發生於接觸鼠疫肺炎病人之後,很快出現呼吸道症狀,如氣促、發紺、消瘦、咳白泡痰,很快出現咯血,可出現明顯的毒血症狀和精神症狀。死亡病例呈高度發紺,故有“黑死病”之稱。疾病病理
鼠疫耶爾森菌屬腸桿菌科耶爾森菌屬,雙極著色、革蘭陰性小桿菌,無鞭毛、無芽孢、有莢膜。兼性需氧。在血
鼠疫耶爾森菌肺炎診斷檢查
診斷:取決於病人有接觸史及肺部受累表現,病因診斷取決於痰、血或淋巴結吸出物革蘭染色、培養,有條件的單位可作直接螢光素標記抗體染色,可提供快速的病因診斷。實驗室檢查:
1.血白細胞一般為(10~20)×109/L,明顯核左移,甚至出現類白血病反應。
2.病因學檢查痰中可發現雙極著色的革蘭陰性小桿菌。痰、血或淋巴結吸出物培養可陽性。直接螢光素標記抗體染色:
鼠疫耶爾森菌肺炎此法是檢測標本中的致病菌抗原,具有快速的特點,可作為病因診斷。
血凝試驗:用F1抗原檢測血清抗體,急性期和恢復期血清抗體效價有4倍增長,或單份血清效價超過1∶16,有診斷意義。
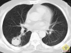
其他輔助檢查:X線表現為雙肺基底部結節影、片狀模糊浸潤陰影,肺門和縱隔淋巴結腫大,偶爾可見胸腔積液。吸入性原發性肺炎,在起病24h內就可見片狀陰影,進一步可出現ARDS或肺水腫樣改變。
鑑別診斷
鼠疫耶爾森菌肺炎2.自發性氣胸慢性阻塞性肺疾病基礎上出現的氣胸,氣胸體徵常不明顯,而表現為突發性呼吸困難。部分患者出現呼氣性哮鳴(尤其是氣胸對側),臨床上容易與哮喘混淆,要提高警惕性,有可疑者及早作X線檢查以明確診斷。
3.大氣道阻塞性疾患腫瘤、異物、炎症和先天性異常等均可引起喉、聲門、氣管或主支氣管(腔內或外壓性)阻塞,引起呼吸困難和喘鳴音。但這種喘鳴音常在某一部分特別明顯,多為以吸氣相為主的雙相性喘鳴音,常伴雙肺底支氣管呼吸音異常增粗。喉部檢查,X線氣管額面斷層攝片及纖維支氣管檢查可以明確診斷。
4.外源性過敏性肺泡炎此病可出現典型的哮喘表現,但這些病人常有變應原(枯草、鴿糞等)接觸史,X線胸片可見瀰漫性肺間質病變呈斑片狀浸潤,血嗜酸性粒細胞顯著增高,有助於鑑別。
5.急、慢性支氣管炎此類病人可出現喘鳴音和呼吸困難,而哮喘患者亦可以無喘鳴音而僅有發作性乾咳。臨床上有時難以鑑別。但支氣管炎患者的症狀沒有發作性的特點。慢性支氣管炎有長期慢性咳嗽,支氣管炎咳痰一般較多,支氣管擴張劑吸入試驗或晝夜PEF波動率測定有助於鑑別。
6.變態反應性支氣管肺曲菌病(allergicbronchopulmonaryaspergillosisABPA)常以反覆哮喘發作為特徵,伴咳嗽,咳痰,痰多為黏液膿性,有時伴血絲,可分離出棕黃色痰栓,常有低熱,肺部可聞哮鳴音或乾囉音,X線檢查可見浸潤性陰影,段性肺不張,牙膏征或指套征(支氣管黏液栓塞),周圍血嗜酸性粒細胞明顯增高,曲菌變應原皮膚點刺可出現雙相皮膚反應(即刻及遲髮型),血清IgE水平通常比正常人高2倍以上。
7.胃食管反流(GER)鼻後滴漏綜合徵(PNDS)食管賁門弛緩症,賁門痙攣等疾病中,常出現胃或十二指腸內容物通過食管下端括約肌反流入食管的現象,反流物多呈酸性。只要有少量被吸入氣管,即可刺激上氣道感受器通過迷走神經反射性地引起支氣管痙攣,而出現咳嗽和喘鳴,有報導認為在嚴重哮喘病人,其GER的發生率可接近50%,說明GER至少是使哮喘病人不斷發作,症狀難於控制的重要誘因,對GER進行針對性治療,可明顯改善哮喘症狀。鼻後滴漏綜合徵(PNDS),常見於慢性鼻竇炎,其分泌物常在患者平臥時通過後鼻道進入氣管,可引起類似哮喘的咳嗽和喘鳴症狀,同時也是部分哮喘患者反覆發作及療效不佳的重要因素。
治療方案
鼠疫耶爾森菌肺炎2.抗生素治療腺鼠疫可選用鏈黴素,每天2g,肌內注射。加用四環素,口服,每天2g。肺鼠疫,敗血型鼠疫宜聯合用藥。慶大黴素可替代鏈黴素作為靜脈注射。對於腎功能損害或其他原因不能使用鏈黴素、慶大黴素的病人,可用氯黴素靜脈注射,每天3g。用藥3天內迅速熱退,但淋巴結內細菌仍有存活,熱退後藥物可適當減量,持續用藥10天。單一藥物有效,無需聯合用藥。
預後及預防
鼠疫耶爾森菌肺炎2.注意觀察呼吸次數及深淺情況,如出現口唇紫紺,呼吸困難時應取半臥位,給予氧氣吸入,有條件可靜滴強的松或地塞米松等,以緩解症狀。
3.每天觀察體溫變化,輕度發熱可予以30%酒精或溫水擦浴。推拿湧泉穴,合谷穴,曲池穴等,重者可用激素、抗生素靜滴。中藥降溫可用柴胡注射液、穿琥寧、清開靈注射液等。
4.注意咳嗽的變化和伴隨症狀,對有痰不易咳出者,可輕拍背部,由下往上幫助排痰。口服甘草合劑、必嗽平。如乾咳不能入睡時,可口服可待因0.3克。
5.保持室內清潔,空氣新鮮,室內溫度一般在18~20℃為宜,濕度以60%~65%為佳。
6.注意定時更換衣服、床單、被褥。保持口腔清潔,增加抗病能力,預防交叉感染。
7.接種肺炎疫苗。該疫苗注射於上臂外側皮下,只需注射一次,保護期可達5年以上。疫苗接種後,少數人可在注射局部有輕微腫痛,極少數人(少於1%)可出現低熱,均可在2~3天內恢復。
8.吸菸者一定要戒菸。
預防:預防措施包括土埋病死動物,噴殺疫區跳蚤,提醒人們不要進入疫區。確診患者應立即以“緊急疫情”向衛生防疫機構報告。對可疑病人應立即隔離,對接觸了病人的任何人員,尤其是面對面接觸過患此病伴咳嗽患者的人員,應給予預防性治療,即用四環素口服,每天2g,用藥5~10天。病人隔離應直至痰細菌培養陰性為止。對於常和此菌接觸的工作人員,預防接種是有效的,並且必須。
流行病學
鼠疫耶爾森菌肺炎鼠疫耶爾森菌肺炎行時,大量的同類動物致病(如岩松鼠、大草原狗或其他陸地動物)。生活和工作在疫區的人可能被感染的跳蚤叮咬,或在剝離死獸皮革時感染,發生腹股溝淋巴結和皮膚鼠疫。吸入來自於感染動物或死亡動物的病菌可引起肺炎、咽炎或結膜炎。另外,此病可經呼吸道飛沫而致人間傳播。有報導通過貓經空氣傳染人,引起肺部感染的病例,密切接觸感染病人的醫務人員,有潛在呼吸道吸入感染的危險性。
相關詞條
參考連結
1http://www.kerunda.com.cn/part1/2.html
2http://www.cnldh.com/
3http://edu.n318.com/gz/tbjak/g3/g3sw/200606/69870.html

