概述
非特異性間質肺炎非特異性間質性肺炎(NSIP)是美國病理學家Katzenstein,於1994年對一組不能歸類的慢性間質性肺炎進行總結時提出的概念,以定義那些組織學上缺少診斷任何其他一種間質性肺炎(UIP、DIP、BOOP、LIP、GIP、AIP/DAD)特徵的間質性肺疾病。NSIP的原因不明,對糖皮質激素的反應和預後較好,中位數存活時間為13.5年。但是NSIP的病理特點也可見於多種相關情況,如結締組織病、外源性過敏性肺泡炎、藥物反應、肺損傷或ARDS後等。
NSIP的確診要求具備相應的臨床表現,胸部X線/HRCT和肺功能改變,以及外科肺活檢的病理診斷。同時還需要通過全面詳細的病史、體格檢查和相應的實驗室檢查,以除外其他原因引起的間質性肺疾病和繼發性NSIP。
臨床表現
非特異性間質肺炎發病任何年齡,男性稍多於女性。非特異性間質肺炎性,與吸菸無明顯關係起病多呈亞急性,少數為隱襲發病。其主要臨床症狀與IPF相似但病程較短。出現運動性呼吸困難和咳嗽,大約1/3病人有發熱,杵狀指少見約占13%。體檢可聞雙下肺爆裂囉音。部分病人有貧血,白細胞增高,大部分血沉增快,CRP反應陽性,少數ANA和ds-DNA陽性。當病變僅限於肺部找不到其他疾病為致病原因者,為特發性非特異性間質性肺炎(INSIP)其他可能與病因相關的因素如結締組織疾病、有機粉塵的吸入、某些藥物反應以及急性肺損傷的機化期引起者為NSIP,範圍小。
1.多於中年發病,主要症狀為漸進性加重的呼吸困難,伴咳嗽和發熱,呈亞急性或隱匿起病。
2.主要體徵是在肺底部可以聞及吸氣末爆裂音(Velcro),少部分患者可以有杵狀指。
輔助檢查
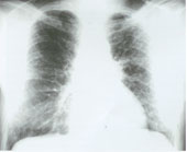
非特異性間質肺炎1.胸部X線檢查:常見徵象是兩肺瀰漫性間質滲出,呈網狀或磨玻璃樣,也可以是正常胸片。
2.胸部CT/HRCT:主要徵象是兩肺散在磨玻璃樣變,斑片樣滲出和網狀影,時有蜂窩肺改變。
3.肺功能:主要表現為限制性通氣功能障礙,肺彌散功能障礙,及低氧血症。
4.BAL/TBLB:BAL特點是中性粒細胞、嗜酸粒細胞和淋巴細胞增多,但以淋巴細胞增多明顯。TBLB因為取材太小,很難做出NSIP的病理診斷。
5.血液化驗檢查:血沉(ESR)、抗核抗體(ANA)和類風濕因子(RF)可以增高,但沒有特異性。
6.外科肺活檢(開胸或經胸腔鏡):外科肺活檢病理檢查是NSIP的確診手段。
14、真菌孢子或有機粉塵過敏所致肺間質性疾病
診斷難點
非特異性間質肺炎NSIP的診斷對臨床醫生和病理醫生來說都是一個難點,僅根據臨床症狀和X線影像學表現,作出正確診斷比較困難。較年輕病人其臨床症狀和影像學表現均非典型IPF時 應爭取肺活檢,獲得組織學證據。纖支鏡肺活檢不能獲得足夠提供診斷的材料時。如有條件應爭取局限性開胸肺活檢或經胸腔鏡肺活檢。兩種肺活檢都應選擇新鮮病變部位,即炎症明顯的部位取活體組織 可保持原發病的特點。一般取材2~3塊,每塊約1cm直徑即可觀察組織全貌。如在病灶密集、纖維化明顯的地區取材,則從組織學上難以與IPF相鑑別。局限性開胸肺活檢(即小切口肺活檢)切口僅5~7cm,損傷很少,手術時間短,陽性率高。經胸腔鏡肺活檢無需開胸,損傷少但所需時間較長。
鑑別診斷
NSIP需要與其他類型的特發性肺間質疾病相鑑別
1.IPF IPF的臨床症狀與影像學都有其特殊的表現,診斷不難。當臨床症
狀及影像學不典型時需作肺活檢。IPF具有重要的組織學特點,有新老病變並存、輕重不一,以及在纖維化和蜂窩病變區有平滑肌增生。可見“成纖維細胞灶”,特點為在黏液基質間有成束淡染的成纖維細胞,這些細胞沿肺泡間隔長軸平行排列。
2.特發性呼吸性細支氣管炎間質性肺炎(RBILD)/脫屑性間質性肺炎(DIP)絕
大多數為吸菸者,男性多於女性 多見於中老年人。起病隱襲或呈亞急性。進行性呼吸困難和乾咳是主要的臨床症狀,部分病人有杵狀指,疾病好轉後杵狀指可減輕。肺功能顯示輕度限制性通氣功能障礙。影像學DIP早期雙肺呈模糊陰影、磨玻璃樣改變,晚期出現線條狀、網狀或網結節陰影,一般無蜂窩肺 RBILD以網狀、網結節、磨玻璃陰影為主。DIP的病理特點為兩肺病變均勻一致,肺泡腔內有大量肺泡巨噬細胞聚集。間質炎症輕微,膠原沉積不明顯,無典型成纖維細胞灶。RBILD的病理特點與DIP相仿,但病變分布呈斑片狀,局限在細支氣管周圍的肺泡內,不像DIP那樣呈瀰漫均勻一致。末梢及呼吸性細支氣管內有黏液栓,壁層有慢性炎症。戒菸後可自愈或明顯好轉。糖皮質激素療效理想 預後好。
3.特發性閉塞性細支氣管炎伴機化性肺炎(BOOP) 好發於50~60歲。男女
無差異,與吸菸關係不大。發病多呈亞急型,也可起病隱襲,有流感樣症狀、運動性呼吸困難、乾咳較多 較少見咳痰或咯血、胸痛、盜汗等 很少出現杵狀指 肺功能示輕至中等度限制性通氣功能障礙 影像學兩肺顯示多發性斑片狀浸潤陰影,磨玻璃陰影或實變陰影,實變影內可見支氣管充氣征,以上是肺泡炎的表現。病變有遊走性是其特點。此外可見間質炎變化,表現為網狀、網結節狀、結節狀陰影,但無蜂窩肺出現 偶可見孤立局灶性陰影,邊緣清楚,內可有空洞,數月或數年不變。如診斷困難可行纖支鏡肺活檢 如在細支氣管以下的氣道內有肉芽組織形成和機化肺炎改變,診斷基本成立。肉芽組織由鬆散的膠原纖維和肌纖維組成。間質炎症較輕 必要時行局限性開胸肺活檢或經胸腔鏡肺活檢,可獲較大組織,BOOP的治療方法首選糖皮質激素,療效非常理想,可在24~48h內明顯好轉,肺部陰影消失常需數周。部分病人肺部遺留病變不能完全吸收。
實驗室檢查
支氣管肺泡灌洗液(BALF)檢查對NSIP沒有確診作用,但可以排除一些疾病,如感染、腫瘤、結節病及一些職業肺病。9例患者BALF的細胞分類為:巨噬細胞39±27.9,中性粒細胞25.0±21.7,淋巴細胞32.3±29.2。通常CD4∶CD8比例倒置 平均為0.63,肺泡炎症為主的病人倒置更明顯,可達0.3~0.2 BALF中以淋巴細胞增多為主者對糖皮質激素治療反應良好,預後理想。中性粒細胞增高時表示NSIP已進入肺纖維化期,預後較差。BALF檢查僅能幫助評估治療反應和預後。
其它輔助檢查
1.常規胸片 以中下肺野及胸膜下為主 雙側肺有較均勻分布的間質浸潤陰影,可呈磨玻璃樣 隨著病情發展出現線條狀及網狀或結節狀陰影,但很少出現蜂窩肺 偶出現亦為極少量。晚期肺體積可縮小。
2.HRCT 是診斷NSIP的重要手段,具有特徵性。
(1)磨玻璃陰影:為片狀模糊浸潤性陰影,內可見血
管紋理 主要分布在中下肺野與胸膜下,約80%病人出現此種陰影,但很少為惟一的陰影,多對稱。
(2)實變陰影:常表現為小片實變,可對稱分布,多見於兩中下肺及胸膜下。
(3)網狀及線條狀陰影並可見細支氣管擴張,胸膜可增厚。
(4)蜂窩狀改變:發生的機會很少 以往報導的發生率為0~25.8%,即使發生 所占 總體病變的比例也很小。同時可見支氣管血管束增粗、牽引性支氣管擴張及肺組織結構扭曲 這些表現皆發生在纖維化期。
從以上的影像學表現說明與IPF還是有明顯的區別,一個有經驗的醫生結合臨床 肺部影像學、肺功能等對IPF的確診率可達約90%。不典型的IPF或疑為NSIP時,需組織學證據方能診斷。
3.肺功能 NSIP早期肺功能可能無變化,隨著病情的發展,在不同階段有不同的變化。結果使肺彈性回縮力升高,肺順應性下降 肺活量 全肺容量減少。氣流速度不受阻,結果FEV1/FVC正常或偏高。氣體交換受障礙,因毛細血管的破壞 致氣體交換面積減少,肺泡隔增厚,使彌散距離增加 結果彌散功能下降。另外V/Q比例失衡也是重要的低氧血症原因。NSIP病人動脈血氣顯示低氧血症伴肺泡動脈氧分壓差(A-a)DO2增大 和靜脈血混雜(生理分流)具有特徵性。動脈血氧分壓下降,動脈血二氧化碳分壓正常或偏低。肺功能的變化因肺細胞浸潤與肺纖維化之間的嚴重程度不同而有特異的相關性。
相關檢查
氨
淚液乳鐵蛋白
淋巴細胞
血清鐵
治療
主要採取糖皮質激素治療 潑尼松0.5mg/(kg•d),療程根據病情決定,直至疾病痊癒。進一步達穩定狀態,才能逐漸減量並停藥,療程至少1年。大多數病人治療後臨床症狀、影像學和肺功能均有明顯改善,部分病人肺上陰影吸收 部分病人病情穩定不變,少數病情繼續惡化。治療效果與病期有密切關係,細胞型處於疾病早期,療效理想。混合型療效次之。纖維化型已進入晚期,主為膠原纖維 對治療已無反應,療效差 到纖維化期是否應加用免疫抑制劑,如環磷醯胺 硫唑嘌呤等,療效如何尚無定論
預後:
NSIP預後較好 優於IPF,平均死亡率為16%(0~29%)。5年存活率90%,10年存活率35% 而IPF則相應為43%,15%。尤其使用糖皮質激素治療後除對嚴重纖維化型外,其餘皆能使病情好轉或穩定。
4S清肺平喘療法由軍事醫學科學研究院、國際科學研究院等多位專家歷經30多年聯合研發形成的一套全方位、多立體的綜合治療體系。療法包括清肺淨肺、PI活肺治療、植物神經綜合平衡和軍科細胞免疫技術四大步驟,其中軍科細胞免疫技術是多位專家在2008年諾貝爾醫學獎DC細胞技術基礎上獨創的治療手段,它直擊哮喘病的發病根源——炎症細胞,利用特定的靶向免疫激活技術抑制和清除哮喘發病根源,真真正正防止哮喘反覆發作。
