流行病學
陰囊癌在一般人群中甚為少見。早年英國流行病學資料在1339萬餘名14歲以上男性中,共發現1029例非職業性陰囊癌,發病為1∶13015人。而在50餘萬名接觸致癌源的男性中有723例陰囊癌,發病率為1∶693,明顯升高。35歲以上陰囊癌的發病率約為0.2/10萬~0.3/10萬人,當時發病率在英國比美國大20倍。
陰囊癌的發生與種族也有一定關係,黑種人極少發生,迄今美國黑人僅10多例。
隨著教育、清潔、保護物等措施的採用,1960年代後發病率與死亡率有明顯下降。總的看來陰囊鱗狀細胞癌是相對趨於少見的惡性腫瘤。
病因
3,4苯並芘陰囊鱗狀細胞癌是人類認識環境致癌因素導致職業癌的第一個例證,是開始化學致癌實驗的基礎。1774年英國外科醫師Pott注意到一些從童年起就從事打掃煙囪工助手的少年,其中一些人成年後在陰囊部常發生經久不愈的潰瘍病理證實為癌變,從而提出了陰囊癌與職業的關係1784年Bell進一步發現從事含有菸灰、粉塵作業的工人同樣有發生此種癌的可能。1922年141例陰囊癌69例從事精紡工,22例長期接觸瀝青或石蠟,而此時由於掃煙囪工種已被淘汰僅有1例為掃煙囪工人。此後陸續增多的報導證明陰囊癌與從事石油、焦油、瀝青、精紡、機械等職業有關。由於缺乏勞動保護,其陰囊、會陰陰莖等處皮膚易被各種礦物油及粉塵污染沉積在皮脂分泌旺盛的皮膚皺襞中,長期接觸主要致癌物質3,4苯並芘而致癌變。
由於從接觸致癌物質到癌是一個多因素、多環節的過程,因此陰囊癌的發生常常需較長的時日。以掃煙囪工為例,少年接觸污染到中老年才發病一般均在十多年,最長者達68年。癌變的發生也有認為與敏感性、遺傳及基因突變有一定關係。近年來,隨著在陰莖、陰囊鱗癌組織及癌前病變(Queyrat紅斑)中,屢有用PCR法檢測出人乳頭狀瘤病毒(HPV)1618及6/11型的報告,故曾考慮HPV有可能是陰囊癌的致病因素。陰囊癌仍以職業與環境因素關係更大。
發病機制
鱗狀細胞癌鱗狀細胞癌(squamous cell carcinoma,簡稱鱗癌)又名表皮樣癌(epidermoid carcinoma),癌變起源於表皮角朊細胞,常在慢性皮膚病和癌前病變的基礎上發生,如慢性炎症、接觸化學物質及日光損傷等,可發生於身體任何部位的皮膚黏膜。
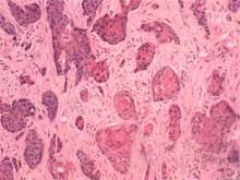
陰囊鱗癌的病理組織學改變與身體其他部位鱗癌相似腫瘤由侵入真皮內的鱗狀上皮細胞不規則增生團塊所組成。團塊內為不同分化程度的細胞但僅從鏡下觀察異形性不一定明顯,確診癌變與惡性程度仍以浸潤情況為主。根據分化及組織浸潤深度通常將陰囊鱗癌分為Ⅰ~Ⅳ級,癌腫浸潤以皮膚為主,很少侵犯到陰囊內容物。
陰囊癌就診時約有1/2~3/4的病人已有腹股溝淋巴結腫大,但多數是炎症所致只有少於半數為癌轉移。從發現原發癌到出現淋巴結轉移一般為6~12個月,晚期亦可有髂血管旁淋巴結轉移。
陰囊皮膚的表皮內原位癌稱鮑溫病(Bowen’s disease),是低惡性鱗癌,其發生與紫外線照射和接觸化學致癌物質有關。有時應與外陰增殖性紅斑(erythroplasia of queyrat)相鑑別。其病理改變主要為表皮棘層增厚、皮突延長,細胞排列呈非典型性增生,可見異常核分裂瘤巨細胞及角化不良細胞等。
臨床表現
早期為無痛性陰囊腫物疣狀或丘疹樣進一步可呈菜花狀,質地變硬腫瘤的生長速度個體差異較大,有的可多年變化不大而突然生長速度加快。腫瘤的中央可出現壞死及潰瘍,伴有感染時流膿血味臭,局部疼痛。50%以上的病人就診時有同側腹股溝淋巴結腫大。晚期腫物可侵及陰莖及陰囊內容物,發生血行轉移。全身症狀不明顯。
併發症
約30%~40%的陰囊癌可呈多灶性,亦可同時伴發其他部位的皮膚癌或深層組織癌如舌癌、前列腺癌、膀胱癌、肺癌、結腸癌、腎癌及腎上腺腫瘤等,既可與陰囊癌同時出現,亦可先後發生,應考慮與接觸共同的致癌因素有關。
診斷
B超診斷主要根據臨床表現,但應注意病人在出現皮疹前可有數月或數年的局限性陰囊瘙癢或燒灼病史。對久治不愈的陰囊濕疹、皮炎、潰瘍,醫師應有充分的警惕,考慮到陰囊癌的可能性,局部組織病理活檢是最有力的診斷。對於腫大的腹股溝淋巴結,亦應活檢以確診是炎性或確係轉移。雖然陰囊癌轉移至腹膜後淋巴結等遠處者甚少見,但一旦有可疑亦套用B超、CT、MRI及細針穿刺活檢等幫助診斷明確分期。
在陰囊癌的診斷上尚缺乏特異性和敏感性的腫瘤標記物,但免疫組織化學及分子生物學診斷技術亦已開始用於陰囊癌的診斷和預後,而發病與人乳頭狀瘤病毒(HPV16等)的關係,亦在注意和研究中。用免疫組化法檢測陰囊癌、癌旁組織和正常組織中癌基因ras產物p21蛋白的表達證明與病理分級和分期呈正相關可用作診斷陰囊癌的早期復發、轉移和估計預後優劣的指標又如在陰囊癌病例中發現HPV16型陽性者抑癌基因TP53累積突變P16INK4A、P15INK4B純合子遺傳物丟失,可用作陰囊癌估計預後的腫瘤標記。
鑑別診斷
PAS反應陽性1.睪丸腫瘤 可以直接侵犯鞘膜或陰囊皮膚,或經血行轉移至遠處臟器與陰囊網狀細胞肉瘤、橫紋肌肉瘤、平滑肌肉瘤、黑色素瘤等惡性腫瘤相似但腫瘤側睪丸腫大,表面光滑,腫瘤質硬且有沉重感,失去其固有彈性,表面可出現結節;活組織檢查可見到腫瘤細胞。
2.陰囊炎性癌 又名陰囊皮膚濕疹樣癌Paget病。是陰囊發生與乳頭乳暈炎性癌變相類似的病變。好發於50歲以上年齡組病程長。陰囊皮膚發紅,呈糜爛與紅斑交錯相間的皮損區,有慢性炎症硬結可與陰囊皮膚粘連。活組織檢查見有Paget細胞單個或巢狀,沿汗腺及其導管、毛囊、皮脂腺蔓延;表皮生髮層棘細胞增長變寬,真皮有圓細胞浸潤,表皮中有許多核絲分裂象。PAS反應陽性,耐澱粉酶低分子量角質反應陽性。
檢查
癌巢活組織檢查:鏡下可見增生的上皮突破基膜向深層浸潤形成不規則條索形癌巢。分化好的癌巢中,有相當於基底層的細胞排列在癌巢的外層,其內為相當於棘細胞層的細胞,細胞間可見細胞間橋,癌巢的中央可出現層狀的角化物,稱為角珠或癌珠。分化差的癌巢中無角化珠形成,甚至也無細胞間橋。
治療
X線陰囊癌的早期診斷和早期治療很重要,早期盡力爭取手術切除,原發灶需局部擴大切除,範圍應超過腫瘤邊緣2cm以上的陰囊壁,除非病變已侵犯陰囊內容物,否則應儘量予以保留。術後局部復發往往是切除不夠所引起,但也可能是新發而非復發。
病變範圍過大過廣的損害亦可選用Mohs化學外科切除,即在顯微鏡下連續觀察被切除的癌組織,直到腫瘤完全切除乾淨。對於切除範圍過廣包蔽陰囊內容物困難者,可採用皮瓣轉移及陰囊成形術,陰囊內容物已受累者則應一併切除。
由於患者大多為老年人,做預防性腹股溝淋巴結清除不一定能提高生存率,反而易引起下肢淋巴回流障礙、象皮腫、切口癒合不良等併發症,故只有對腫大淋巴結活檢證實有轉移的才行髂腹股溝淋巴結清除術。手術可在原發灶切除後2~6周進行。手術後可例行或對切除不徹底者、不宜行清除術者加用深度X線做放射治療,必要時可做化療,但常常欠敏感。陰囊癌晚期有內臟或遠處轉移者,亦可用放化療做姑息性輔助治療,如60Co照射或順鉑、博萊黴素甲氨蝶呤(氨甲蝶呤)等聯合化療,局部切除後亦可用這些治療來預防復發。
預後及預防
預後:
預後取決於臨床分期,A期5年存活率約50%~70%,B期以上<30%。
預防:
本病預防在於改善工作環境,避免致癌物質的侵害,局部保持清潔,可避免或減少陰囊癌的發生。

