疾病概述
鮑溫病的特性是連續性侵襲性生長,很少轉移,這就使切淨腫瘤有了保障,從而讓該病有了治癒的可能。
鮑溫病常見於軀幹四肢,有研究認為與長期日光暴露及理化因素慢性累積性刺激有關。鮑溫病可以在正常皮膚上“突然”發生,也可以繼發於日光角化等慢性日光損害的皮損。值得一提的是,如果發現多發鮑溫病,要排查是否有慢性砷中毒,諸如長期服用含雄黃的中藥、長期飲用砷含量過高的水。另外,著色乾皮病、疣狀角化不良等疾病也可造成多發鮑溫病。
臨床特徵
鮑溫病皮損通常沒有明顯症狀,臨床表現為境界清晰的紅褐色斑塊,上面可以有少量鱗屑,但其邊緣不甚規則。
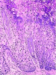
病理改變
鮑溫病的病理表現較有特徵性:皮損部位表皮明顯增生,棘層肥厚,可見角化亢進和角化不全。全層表皮細胞具有異型性,主要表現為核大小不一、染色深、有絲分裂像多見。還可見角化不良細胞,表現為細胞大又圓,胞漿均一紅染,核固縮或消失。真皮淺層有中等密度的淋巴細胞浸潤。
診斷與鑑別診斷
鮑溫病鑑別診斷包括日光角化、淺表型基底細胞癌、銀屑病、錢幣狀濕疹等。
要提及的是鮑溫病僅是原位皮膚鱗狀細胞癌的一個類型,當原位鱗癌發生於特異解剖部位或具有特殊形態時會有特異專有名詞。例如發生於男性龜頭表現為紅色斑塊的原位鱗癌常診斷為Queyrat紅斑增殖;發生於男性陰莖、龜頭和女性陰唇及會陰的紅棕色扁平或半球形丘疹樣原位鱗癌診斷為鮑溫樣丘疹病。
疾病治療
手術切除術是最有效的治療方法。鮑溫病的細胞學範圍基本與肉眼範圍一致,所以通常擴切3mm至5mm就能夠保證切淨腫瘤。如果是頭面部的鮑溫病,或者軀幹四肢的鮑溫病面積較大,出於有利於術後缺損修復的目的,可以考慮行Mohs顯微描記手術。
如果皮損面積不大,或者患者難以接受手術,還可以考慮多次冷凍治療以及外塗咪喹莫特,但需要密切隨訪,如果皮損復發或難以控制,要及時再次治療。局部放療也是一種可選擇的治療手段
。

