概述
蟲卵肉芽腫:蟲卵是血吸蟲病的主要致病因子。蟲卵主要沉著在宿主的肝以及結腸腸壁等部位,所引起的蟲卵肉芽腫以及之後的纖維化是血吸蟲病的主要病變。
蟲卵肉芽腫
蟲卵肉芽腫形成過程
蟲卵抗原致敏宿主淋巴系統是肉芽腫形成和增大的必要條件,卵內的毛蚴分泌可溶性蟲卵抗原(SEA)經過卵殼微孔釋放到周圍組織中,在致敏T細胞釋放的各種淋巴因子如IL-2,IL-4,IL-5,IL-10以及粒細胞-巨噬細胞集落刺激因子,纖維生成因子等作用下,大量的巨噬細胞、嗜酸性粒細胞、纖維母細胞、淋巴細胞聚集於蟲卵周圍,形成蟲卵肉芽腫,又稱蟲卵結節。
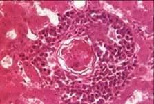
何博禮現象階段
一、急性期肉芽腫:急性肉芽腫在蟲卵周圍出現大量的嗜酸性粒細胞浸潤,同時伴有許多巨噬細胞。由於嗜酸性粒細胞的變性、壞死、液化而出現膿腫樣損害,稱為嗜酸性囊腫。組織切片染色,某些蟲卵周圍所見的紅色輻射狀物系統的抗原抗體複合物,稱為何博禮現象。
二、過渡期肉芽腫:蟲卵周圍仍有大量炎性細胞浸潤,包括巨噬細胞、淋巴細胞、漿細胞、嗜酸性粒細胞、中性粒細胞、類上皮細胞等開始出現。肉芽腫周圍由纖維母細胞包繞。
三、慢性期肉芽腫:蟲卵周圍出現纖維母細胞和巨噬細胞,壞死組織被清除,蟲卵崩解、破裂甚至鈣化。
四、瘢痕期肉芽腫:肉芽腫縮小,僅殘留卵殼或者蟲卵消失,肉芽腫周圍出現大量膠原纖維,使之纖維化。重度感染者門脈出現廣泛性的纖維化,導致典型的幹線型纖維化和肝硬化,出現門脈高壓綜合症。

