疾病概述
腦幹腦炎腦幹腦炎是發生於腦幹的炎性脫髓鞘病變,臨床上不多見,它轉化為多發性硬化的幾率為30%-50%,多留有後遺症。本病的特點為:多發於青壯年;常為急性或亞急性發病,並進行性加重;發病前約有半數有上呼吸道或腸道感染史,臨床表現有一側或兩側腦幹受累的症狀或體徵;腦脊液改變較少。常有前驅感染史,急性或亞急性起病,主要表現為多顱神經損害、共濟失調、長束征、意識障礙。小兒報導較少,而以心血管表現為臨床特點的小兒腦幹腦炎更為少見。
臨床表現
腦幹腦炎腦幹腦炎病症的嚴重程度,差別很大,輕度腦炎的症狀跟任何病毒感染相同:頭痛、發熱、體力衰弱、沒有食慾。較嚴重的腦幹腦炎症狀,是腦的功能受到明顯的影響,造成心煩氣躁、不安及嗜睡,最嚴重的症狀是臂部或腿部肌肉無力,雙重視覺(復視)言及聽覺困難,有些病例的嗜睡現象,會轉變為昏迷不醒。
輕度腦幹腦炎很常見,甚至會不為人所察覺。但在一千個麻疹病例中,大約會有一個引發輕度腦幹腦炎。其危害程度,要看患者的年齡,及造成腦幹腦炎的感染原是哪一種而定。
嬰兒及老年人患腦幹腦炎可能會致命,但其他年齡的人患腦幹腦炎則可能會完全復原,有時候是在經過長時間患重病之後復原。雖然腦幹腦炎可能造成腦的永久性損害,但產生嚴重後果的百分比卻不高。
1.全身毒血症狀:發熱、頭痛、身痛、噁心、嘔吐、乏力。少數有出血疹及心肌炎表現。熱程約7~10天。
2.神經系統症狀:意識障礙,腦膜刺激征。第2病日後,可出現頸肌及肩胛肌弛緩性癱瘓,以致頭下垂及手臂不能上舉,搖搖無依。腦神經及下肢受累少見。癱瘓約2~3周可恢復,約半數肌肉萎縮。輕症可無明顯神經症狀。
疾病類型
腦幹腦炎Ⅰ級表現為肌震顫和共濟失調,5%的患者留下永久性神經系統後遺症。
Ⅱ級表現為肌震顫和顱神經受累,可致20%的患者留下後遺症。
Ⅲ級表現為心肺功能迅速衰竭,80%的患者死亡,生存者均有嚴重後遺症。
診斷依據
血象
腦幹腦炎白細胞1~2萬,中性增高。
腦脊液壓力
腦脊液壓力稍高,細胞計數一般在0.2×109以下,淋巴細胞占多數。糖及氯化物正常。
補體結合試驗
雙份血清效價增長4倍以上者或單份血清效價1:16以上可確診。
血凝抑制試驗
雙份血清效價增長4倍以上者或單份血清效價1:320以上可確診。
病毒分離
病初以血清與腦脊液分離病毒,但陽性率低,死後可取腦組織分離病毒。
治療原則
腦幹腦炎有些最危險的腦幹腦炎(例如由單純性皰疹病毒所引的腦炎),現在已可用諸
如阿拉伯糖腺嘌呤,或無環烏苷,或干擾素等藥物來治療。儘管這些藥物的療效仍在評估中,但是對治療危險腦幹腦炎總是一個機會,否則患者一定會死亡。由於造成腦幹腦炎的其他病毒,大多對抗生藥物沒有反應,因此基本的治療是採取一些措施,使症狀緩和下來,讓身體的自然防禦力量去克服感染。在大多數情況下,只要保持舒適,營養充足就行了。有時候,類固醇藥物能夠抑制發炎。如果已昏炎不醒,用鼻胃管給餵食,用呼吸機來協助呼吸。嚴重腦幹腦炎可能恢復得很慢,可能需要接受特種治療、學習。諸如把話說得清楚等基本技能。
疾病護理
腦幹腦炎1.預防感染:減少感染誘發因素,患者因吞咽困難,給予鼻飼,由於患者抵
抗力低下,加之不經口腔進食,易發生口腔感染,每日用生理鹽水和0.1%的醋酸交替進行口腔護理。保持室內空氣新鮮,陽光充足,每日紫外線消毒1次,用消毒液擦拭床單位物品及地面,保持患者皮膚清潔乾燥。
2.行呼吸機輔助呼吸期間的護理:
(1)密切觀察生命體徵和機械通氣情況,每隔2h聽診肺部並做好詳細記錄。觀察呼吸與呼吸機是否同步,呼吸機報警時需立即尋找原因,及時排除。
(2)保證呼吸機迴路的管道通暢,每日消毒,及時傾倒集液瓶中的積水,防止其逆流造成細菌繁殖。
(3)氣道內定時滴入生理鹽水加糜蛋白酶、地塞米松進行氣道濕化,以確保不出現阻塞現象還可利於稀釋痰液,容易被吸出,減少肺部併發症。
(4)超聲霧化吸入每日6次,鼓勵自主咳嗽,協助拍背,用體位引流等方法使痰液順利排出。
3.用藥護理:長期套用糖皮質激素可發生多種副作用,主要有感染、糖尿、血壓升高、潰瘍病加重、骨質疏鬆等,用藥期間密切觀察患者是否出現皮膚感染、嘔血等症狀,定時查血、尿糖及其他有關實驗室檢查,注意減量過程中的反跳現象。套用神經營養藥等生物製劑時易引起過敏反應,增加巡視次數。使用丙種球蛋白可引起白細胞減少,注意複查血常規,發現不良發應及時通知醫生。
4.飲食護理:合理的飲食與身體康復關係密切。因患者長時間噁心嘔吐,吞咽困難造成胃腸功能紊亂和水電解質失衡,加之高熱處於高消耗狀態使體重明顯減輕,通過鼻飼供給含高蛋白、高營養、高維生素流質飲食結合靜脈補液。
臨床資料
腦幹腦炎
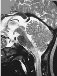
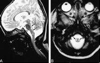
腦幹腦炎患者,女,35歲,湖南衡陽市郊農民。因行走無力,視物模糊5天,加重伴言語不清,嗜睡2天,於2005年11月24日急診入院。2005年11月20日上午,患者在廣州某鎮探親時家務勞動後,上樓時出現行走無力,下午自覺視物模糊,不伴發熱、惡寒、頭痛、頭暈、咳嗽、咽痛、噁心、嘔吐等症狀。11月21日上午患者步行到廣州市某鎮醫院按"上呼吸道感染"治療無效。11月22日下午患者出現行走無力加重,需人攙扶,並出現言語欠清晰、精神差,被家人於當晚送回湖南當地縣人民醫院診治。查體:嗜睡,反應遲鈍,言語欠清晰,口角向左歪,伸舌右偏,右上下肢肌力IV級,左上下肢肌力正常,病理反射(-)。頭顱CT平掃未見異常。按"腦梗塞"治療病情無好轉,故於11月24日下午轉至我院神經內科重症監護病房按重症腦梗塞診治。入院時查體:T36.7℃P86次/分R20次/分BP105/71mmHg嗜睡,言語欠清晰,右眼瞼稍下垂,右眼內收及左眼外展受限,右側鼻唇溝稍變淺,伸舌右偏,雙側咽反射減弱,心、肺、腹均未見異常,左上、下肢肌力IV級加,右上、下肢肌力III級加,四肢肌張力稍低,腱反射減退,指鼻及輪替試驗及感覺功能檢查無法配合。頸軟,克、布氏征(-),右巴氏征(+),左巴氏征(-)。實驗室檢查:血常規:WBC總數:10.4×109/L,分類正常;電解質、肝、腎功能、血脂、血糖及血氣分析均正常。11月25日上午患者出現昏睡,完全性失語,四肢肌力明顯減退,右上肢肌力0級,左上、下肢及右下肢肌力均II級。查頭顱MRI示:中腦與橋腦交界處見片狀稍長T1稍長T2信號,邊界欠清晰,中腦導水管及第四腦室未見明顯受壓;頭顱MRI增強:腦幹異常信號,未見明顯強化,考慮腦幹梗塞。11月26日患者陷入淺昏迷,腰穿查腦脊液壓力95mmH2O,外觀無色,清亮,潘氏實驗(+),總蛋白定量0.58g/L,白細胞數76×106/L,單個核細胞90%,多個核細胞10%,葡萄糖2.59mmol/L,氯化物117mmol/L,故診斷為腦幹腦炎,給予地塞米松10mg靜滴,每日一次,同時予抗病毒,抗感染等治療,12月2日患者意識轉清醒,但言語模糊不清,右上肢肌力II級,右下肢肌力0級,左上下肢肌力II-III級。14天后停地塞米松改為口服強的松30mg/天,逐漸減量,患者入院第20天因經濟困難出院,出院時查體:右眼內收及左眼外展受限,伸舌稍右偏,雙上肢肌力III-IV,雙下肢肌力III級,病理征陰性,複查腦脊液:壓力180mmH2O,無色,清亮,潘氏實驗(-),腦脊液蛋白定量0.23g/L,白細胞數16個106/L,單核細胞為主,葡萄糖3.4mmol/L,氯化物128mmol/L。2006年1月17日複診:患者仍行走不穩,需人攙扶。查:神清語利,計憶力、定向力、記算力正常,雙眼球運動正常,雙鼻唇溝對稱,伸舌稍右偏,四肢肌力肌張力正常,雙巴氏征陽性,深淺感覺檢查正常。雙側指鼻試驗稍差,Romberg征睜眼(+),閉眼(+)。腦電圖正常;視覺、腦幹聽覺誘發電位檢查:右眼VEP潛伏期延長,波幅在正常範圍內;左眼VEP潛伏期、波幅在正常範圍內;右耳BAEP波形分化不良,左耳BAEPⅠ、Ⅲ、Ⅴ波幅,潛伏期正常;四肢肌電圖檢查:左腓總神經運動傳導波幅降低。2006年3月15日隨訪,患者行走正常,完全康復。查體無異常。
腦幹腦炎討論:腦幹腦炎臨床表現多種多樣,但缺乏典型的症狀和體徵,容易誤診。本病例患者以突發肢體癱瘓起病,發病前無感染史及病程中無發熱史,頭顱CT平掃未見異常,頭顱MRI增強:腦幹異常信號,未見明顯強化,考慮腦幹梗塞。故臨床誤診為重症腦梗塞。誤診原因可能為:(1)近年來青壯年腦梗塞發病率增高;(2)臨床醫生對突發肢體癱瘓和意識障礙患者,過分依賴頭顱CT和MRI等影像學診斷結果;(2)發病前無感染史及發病前後病程中無發熱史導致忽視了炎性疾病的可能。文獻報導腦幹腦炎的發病特點為:1.任何年齡都可發病,以青壯年居多。2.大多患者發病前1-4周有上呼吸道感染或其他病毒感染史。3.起病急驟,往往早期出現精神症狀和意識障礙,通常在較短時間內出現雙側腦神經麻痹,伴有一側或雙側的肢體運動障礙和感覺障礙,但長束征少見,症狀和體徵較彌散很少局限於某一部位,4.腦脊液基本正常,蛋白輕度增高,細胞以淋巴細胞和單核細胞為主。5.病程常有自限性,經7-8周治療後大部分好轉或痊癒。6.激素早期治療有效,預後好。7.頭顱CT和MRI的異常率低。本例開始按腦梗塞治療效果不佳,發現腦脊液異常後,按腦幹腦炎以地塞米松等治療,患者完全康復。我們推測該病發病機制可能是病毒的直接侵潤損傷或病毒感染後的免疫損傷。MasaakiOdaka等研究認為許多Bickerstaff腦幹腦炎患者都合併有Guillain-Barre綜合徵軸突改變,暗示這兩種病是相近的,二者屬於同一疾病譜。

