【病因病理】
引起脾梗死的疾病常為二尖瓣疾病、骨髓增生性疾病、動脈炎、脾動脈瘤、動脈硬化等疾病。當有
脾梗死脾梗死的病理學變化為貧血性梗死.在脾淤血時,貧血性梗死病灶周圍有出血帶。梗死的病灶常為多發,表現為尖端朝向脾門的楔狀分布。有時脾梗死還可伴發脾內出血。
【臨床表現】
可以無臨床症狀,亦可以引起左上腹痛。【影像學表現】
1.超聲表現:
脾梗死脾臟可增大,或有變形,病變常靠近前緣部,大小不等,呈楔形或不整形,內部回聲不均勻,可為低回聲或無回聲區,或有散在的強回聲於其間。
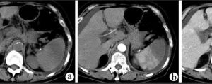
2.CT表現:
①梗死灶多發生於脾前緣處近脾門的方向,平掃時為低密度區。
②梗死灶呈三角形或楔形、底近脾的外緣.尖端面向脾門。
③增強掃描顯示更為清楚.脾密度增高而梗死灶不增強,對比更好。
①脾梗死灶在急性期(8天以前)呈低密度區,不強化;在慢性期(15-28天)則密度逐漸恢復正常,由於已出現瘢痕組織,瘢痕收縮可引起脾臟出現收縮變形情況。
⑤若整個脾臟梗死.則在增強掃描時,整個脾臟呈不強化現象,只有脾包膜有增強現象。

