簡介
脛骨平台骨折(fracture of tibial plateau)是膝關節創傷中最常見的骨折之一。膝關節遭受內/外翻暴力的撞擊或墜落造成的壓縮暴力等均可導致脛骨髁骨折。由於脛骨平台骨折是典型的關節內骨折,其處理與預後將對膝關節功能產生很大的影響。同時脛骨平台骨折常常伴有關節軟骨、膝關節韌帶或半月板的損傷,遺漏診斷和處理不當都可能造成膝關節畸形、力線或穩定問題,導致關節功能的障礙。因而,對於脛骨平台骨折的診斷與處理是膝關節創傷外科中的重要課題。

脛骨平台骨折
病因
脛骨平台骨折內外翻暴力及壓縮暴力均可造成脛骨平台骨折。
發病機制:
脛骨平台骨折是強大的內翻或外翻應力合併軸向載荷的結果。受傷過程中,股骨髁對下面的脛骨平台施加了剪下和壓縮應力,可導致劈裂骨折塌陷骨折,或兩者並存。實際上,單純劈裂骨折只發生於骨松質緻密的年輕人,惟有此關節面才能夠只承受壓縮力隨著年齡的增加,脛骨近端緻密的骨松質變得稀疏,不再只承受壓縮應力,當存在軸向壓縮載荷時,發生塌陷或劈裂塌陷骨折。
某些學者認為,一側的側副韌帶完整,對於產生對側的平台骨折是必不可少的條件在外翻應力自股骨外髁向脛骨外側平台傳導造成骨折時,內側副韌帶的作用類似一鉸鏈;而在內翻應力自股骨內髁向內側平台傳導造成骨折時,外側副韌帶的作用亦類似於鉸鏈。但是隨著MRI檢查套用的增多發現脛骨平台骨折病人合併的韌帶損傷發生率,比以前認為的要高。暴力大小不僅決定骨折粉碎程度,亦決定骨折移位的程度另外,常常合併軟組織損傷,譬如外側平台骨折常合併MCL或ACL,損傷,而內側平台骨折常合併LCL或交叉韌帶或腓總神經、血管損傷。劈裂骨折是剪式應力所致,應與邊緣撕脫骨折和壓縮骨折相鑑別後者常合併膝關節骨折脫位,導致重度不穩定。
臨床表現
脛骨平台骨折傷後膝關節腫脹疼痛,活動障礙,因系關節內骨折均有關節內積血,應注意詢問受傷史,是外翻或內翻損傷,注意檢查有無側副韌帶損傷。關節穩定性檢查常受到疼痛、肌肉緊張的限制特別健康搜尋是在雙髁粉碎骨折者。在單髁骨折者,其側副韌帶損傷在對側該側副韌帶的壓痛點,即為其損傷的部位,在斷裂者,側方穩定性試驗為陽性清晰的膝正側位X線片,可顯示骨折情況,特別對於無移位骨折。
Hohl根據805例做了簡單分類:無移位骨折及移位骨折前者占24%,後者又分為局部壓陷,向中心壓陷及劈裂骨折各占26%,全壓縮11%,劈裂3%粉碎10%
Schatzker將脛骨平台骨折分為6型。
Ⅰ型:外側平台的單純楔形骨折或劈裂骨折
Ⅱ型:外側平台的劈裂壓縮性骨折。
Ⅲ型鶒:外側平台單純壓縮性骨折。
Ⅳ型:內側平台骨折。其可以是劈裂性或劈裂壓縮性
Ⅴ型:包括內側平台與外側平台劈裂的雙髁骨折。
Ⅵ型:同時有關節面骨折和乾骺端骨折,脛骨髁部與骨幹分離,即所謂的骨幹-乾骺端分離,通常患者有相當嚴重的關節破壞、粉碎、壓縮及髁移位。
併發症
1.畸形癒合 因脛骨平台主要由松質骨構成,周圍有軟組織附著,具有良好的血液供給及成骨能力,骨折容易癒合,但由於過早負重致脛骨內髁或外髁的塌陷;內固定不牢靠,粉碎骨折有缺損,未充分植骨造成畸形癒合,當膝內翻>5°,外翻>15°,患者行走時疼痛,應即時矯正手術,如脛骨結節下3cm做倒V形截骨術。
2.創傷後關節炎平台骨折後創傷性關節炎的發生率仍不十分清楚。但已有多位學者證實,關節面不平滑和關節不穩定可導致創傷後關節炎。青壯年骨折後出現退行性關節炎並不是人工全膝關節置換的理想適應證。若關節炎局限於內側室或外側室可用截骨矯形來矯正;若是兩個室或3個室的嚴重關節炎,則需行關節融合或人工關節置換術在決定是否手術治療時,年齡、膝關節活動範圍及是否有感染等因素起著重要作用。
3.膝關節僵硬 平台骨折後膝關節活動受限比較常見。這種難治的併發症,是由於伸膝裝置受損、原始創傷致關節面受損以及為內固定手術而做的軟組織暴露所致。術後的制動使上述因素進一步惡化,一般制動時間超過3~4周,常可造成某種程度的關節永久僵硬。
診斷
一般均無困難,關鍵是對本病的認識,尤其是年輕醫師對X線平片經驗不足時,易忽視X線平片上已存在的骨折線或平台被壓縮征應注意。
伴有韌帶損傷者仔細檢查,必要時術中同事予以探查判定之。其伴發率占5%左右(收治運動傷多的醫院亦可高達10%以上)並注意有無膕動脈腓總神經等伴發傷。
對斷定不清者亦可行CT掃描;個別疑伴有韌帶損傷者,也可酌情選用MRI檢查。
治療
非手術治療
(1)適應證:脛骨平台骨折無移位或者骨折塌陷<2mm,劈裂移位<5mm粉碎骨折或不易手術切開復位骨折。
(2)牽引方法:跟骨牽引,重量3~3.5kg,並做關節穿刺,抽吸關節血腫,牽引期4~6周。依靠牽引力使膝關節韌帶及關節緊張,間接牽拉整復部分骨折移位糾膝內翻或外翻成角,在牽引期間積極鍛鍊膝關節活動,能使膝屈曲活動達90°,並使關節塑型。

脛骨平台骨折
(3)關節鏡下輔助復位及固定:關節鏡下輔助復位及固定技術正在開始使用,關節鏡下手術的軟組織損傷少,提供較好關節面顯露並能診斷及治療並發的半月板損傷。首先將患肢置於股部固定架上上氣囊止血帶,關節鏡入口位於膝關節前外側,並在膝關節間隙上方約2cm處,然後灌洗膝關節,抽出關節內積血,去除游離骨及軟骨碎片,如果外側半月板嵌入骨折部位可用鉤將其鉤出,半月板撕裂通常可修復,評估骨折塊塌陷及劈裂情況。對劈裂骨折採用大巾鉗向關節中部擠壓劈裂骨折片,將之復位,待關節鏡下證實復位滿意後經皮擰入6.5mm松質骨螺絲釘固定。塌陷骨折,在其下方開一骨窗,插入克氏針入骨塊內然後通過帶套管的擠壓器打入,將其抬高,待關節鏡觀察復位滿意後,拔除克氏針及套管擠壓器,所形成骨腔用自體骨及骨水泥充填,最後經皮擰入6.5mm松質骨螺絲釘。術後早期開始CPM被動活動鍛鍊功能。
手術治療
(1)適應證:平台骨折的關節面塌陷超過2mm,側向移位超過5mm;合併有膝關節韌帶損傷及有膝內翻或膝外翻超過5°。
(2)手術入路: 外側或內側平台骨折用相應的前外側或前內側縱向入路,內外兩側平台骨折用前正中或Y形切口;儘量減少皮下組織分離,以免影響皮瓣血運;儘量保護半月板,對塌陷骨折,劈裂骨折,雙髁骨折,在半月板下方分離;對內、外兩側平台骨折必要時行髕腱切斷或脛骨結節截骨,以顯露關節面。
(3)外側平台骨折顯露:外側顯露自膝外側副韌帶前開始,沿關節線向前內做切口,經髕腱外緣處拐向下達脛骨粗隆外緣切開後將脛前肌起點骨膜下向下外翻開,顯露脛骨上外側及外髁沿半月板下切開關節囊向上牽開之,探查脛骨外側平台,關節面。
(4)內側平台骨折顯露:在膝內側自膝關節線上1cm側副韌帶後起向下前達脛骨粗隆內緣做弧形切口,切開皮膚、皮下,分開鵝足腱。骨膜下顯露脛骨內髁骨折線,關節的顯露方法及骨折塊復位同外側顯露。
(5)兩側平台骨折顯露:膝前Y形切口向上翻髕腱顯露雙髁。沿膝前關節線做橫弧向下的切口,切口兩端在側副韌帶前,再於此切口中點向下做縱切口,使之成Y形切開皮膚皮下組織同前法骨膜下顯露脛骨內外髁及脛骨結節,將髕腱止點連同脛骨塊鑿下,將其向上翻開,半月板下方橫切開關節囊前角止點可以切開,但前交叉韌帶止點必須保留於原位,將半月板向上牽開,則脛骨內外髁關節面及骨折移位情況完全顯露,探查脛骨平台下陷情況,復位骨折也可用膝正中縱切口及髕腱Z形切開延長方法。
(6)脛骨平台骨折內固定:
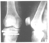
①劈裂骨折(Ⅰ型):先整復骨折遠端,再做由後向前上推擠整復骨折近端,用克氏針暫固定,骨折近端用拉力松質骨螺釘沿平台關節面軟骨下至內側皮質固定,骨折遠端可用拉力皮質骨螺釘穿內側皮質骨固定。
②塌陷骨折(Ⅱ型):在脛骨上端的前外側皮質骨,用骨鑿形成骨洞,用骨衝擊器,由骨孔插入,向上至塌陷骨折片下面抬起骨折塊在塌陷區空腔植骨,可不用內固定或用一枚松質骨螺絲釘由外向內沿塌陷骨塊的軟骨下皮質骨固定。
③劈裂塌陷型骨折(Ⅲ型):先將劈裂骨折向外翻轉,顯露塌陷骨折片,用骨膜起子抬起塌陷骨折片復位,塌陷空腔植骨,再將劈裂骨折復位,用兩枚螺絲釘固定,對老年骨質疏鬆者亦可用L形和T形的支撐鋼板固定。
④內外髁的T形和Y形骨折(Ⅳ型):復位操作方法用整復一側平台劈裂塌陷及劈裂塌陷折片相似,但先整復較重移位側平台的主要的骨折面,後整復較輕移位側平台的主要骨折片及其他較大的碎骨片,儘可能恢復平整的平台關節面。在移位重側用T形和L形鋼板固定,移位輕的一側用短鋼板固定。
(7)用外固定架治療複雜脛骨平台骨折:使用外固定架治療複雜的脛骨平台骨折能較好維持關節復位及軸向對線,並允許早期治療,但其條件必須施以有限的手術,如塌陷骨折開骨窗行植骨墊高;劈裂骨折行空心螺絲釘固定,使關節面平整,才能進一步使用外固定架,另外外固定架的針必須儘量在關節面下1.5cm的關節囊外,以免置針感染進入關節。
(8)合併韌帶損傷的平台骨折治療:脛骨平台骨折並發側韌帶損傷,如果未予治療儘管脛骨平台骨折癒合良好,仍可出現關節不穩且晚期結果較差Bennett和Browner報導,骨折合併半月板損傷為20%,20%有側副韌帶損傷10%有前交叉韌帶損傷,3%有外側韌帶損傷,3%有腓總神經損傷。內側副韌帶損傷最常見於脛骨平台Ⅱ型骨折,而半月板損傷常見Ⅳ型骨折,如果脛骨髁間隆突骨折並移位,可通過骨性隧道將其用鋼絲固定,前交叉韌帶中部斷裂給予縫合半月板完全斷裂給予切除,邊緣游離,行縫合。

