老年人膽囊癌在膽囊惡性腫瘤中膽囊癌(carcinoma of the gallbladder)占首位,其他尚有肉瘤、類癌、原發性惡性黑色素瘤、巨細胞腺癌等。因後者均屬少見。女性較男性多2~4倍,多見於50~70歲。膽囊癌是最常見的膽系惡性腫瘤,占消化道惡性腫瘤的第5或第6位;占屍檢惡性腫瘤的4%~5%;在所有膽囊切除術中膽囊癌占1%~5%;在肝外膽系惡性腫瘤手術中膽囊癌占24.8%~72.4%。不同地區和人種發病率有較大差異,在日本、中南美洲和一些東歐國家發病率較高,在美國印第安人發病率是當地白人的6~10倍。隨著年齡增長膽囊癌發病率亦明顯上升,發病年齡多在50歲以上,其中55歲以上者占65.9%。女性發病率明顯高於男性,男女比例為1∶2~3,其中孕婦,經產婦及肥胖婦女發病率最高。
病因
膽囊癌患者伴膽石病者占60%~90%,膽石病患者中患膽囊癌者占3%~14%,因此一般認為慢性膽囊炎、膽石病與膽囊癌的發生密切有關。膽汁淤積、膽固醇代謝失常、炎症性腸病、遺傳因素性激素、X線照射、膽汁內的致癌因子、良性腫瘤惡變等也都被假設為膽囊癌的發病因素,但均無可靠的證據。目前一般認為本病的發生可能與多種因素有關。
發病機制
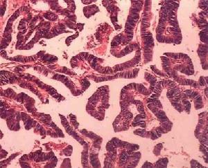
位置膽囊癌可分為腫塊型和浸潤型。其病理組織類型以腺癌為主,占80%~90%左右未分化癌10%左右。鱗癌及鱗腺癌5%~10%。
膽囊癌主要通過淋巴轉移,手術時發現已有淋巴轉移者25%~75%;其半數以上癌瘤可直接播散到鄰近器官其發生的頻率依次為肝、膽管、胰、胃十二指腸、網膜、結腸和腹壁;血行播散者不到1/5。
臨床表現
膽囊癌起病隱襲,早期大多無症狀。臨床表現無特異性可酷似急、慢性膽囊炎或膽石病應注意鑑別。右上腹捫及塊物者約占半數。晚期可出現肝大、發熱腹水和貧血等。
老年人膽囊癌的晚期症狀
1、腹痛:半數左右的患者有右上腹痛脹痛或不適,體重減輕、食欲不振等症狀。腹痛一開始。有類似膽石症、膽囊炎。據臨床觀察,膽管癌發病僅3個月,便可出現腹痛和黃疸。2、黃疸:也是老年人膽囊癌的晚期症狀之一,約有90%--98%的膽管癌病人都有不同程度的皮膚、鞏膜黃染。黃疸的特點是進行性加重加深,且多屬無痛性,少數病人黃疸呈波動性。上段膽管癌黃疸出現較早,中、下段膽管癌因有膽囊的緩衝黃疸可較晚出現。
3、皮膚瘙癢:可出現在黃疸出現的前或後,也可伴隨其他症狀如心動過速、出血傾向、精神萎頓、乏力和脂肪瀉、腹脹等,皮膚瘙癢是因血液中膽紅素含量增高,刺激皮膚末稍神經而致。
4、其他老年人膽囊癌的晚期症狀:伴隨著黃疸、腹痛等症狀,還會有諸如噁心、嘔吐、消瘦、尿色深黃,如醬油或濃茶樣,大便色淺黃甚至陶土色等,晚期腫瘤潰破時,可出現膽道出血時可有黑便、大便隱血試驗陽性,甚者可出現貧血;有肝轉移時可出現肝臟腫大,肝硬化等症象。
併發症
併發症有膽囊感染積膿、穿孔,以及肝膿腫、膈下膿腫、胰腺炎、胃腸道出血等,也可與附近胃腸道形成瘺管。
診斷
實時超聲為非侵入性檢查方法,可見膽囊壁不規則增厚和膽囊內位置固定的不伴聲影的回聲團塊診斷率50%~90%,應作為首選。超聲內鏡對早期膽囊癌的診斷及其浸潤深度和肝臟膽道的浸潤情況都有一定價值經皮肝穿膽道造影(PTC)逆行胰膽管造影(ERCP)、CT及MRI都有一定診斷價值。進行ER-CP及PTC時,可同時收集膽汁做細胞學檢查。在X線或超聲導引下經皮肝穿作直接膽囊造影,成功率分別為85%和95%以上;此外尚可穿刺膽囊壁取活組織做細胞學檢查,診斷正確率為85%左右。腹腔鏡檢查可發現腫瘤結節,並可活檢作出細胞學或組織學診斷。腹腔動脈造影的診斷正確率為70%~80%並有可能發現早期癌。其表現為膽囊動脈增寬,粗細不勻或中斷現象。
本病應與膽石病、肝癌、胰腺癌、膽管與壺腹癌相鑑別。
鑑別診斷
1.原發性肝癌 多有肝硬化病史,常在肝硬化基礎上惡變,故有肝硬化臨床表現。肝右葉縮小,左葉代償性大膽囊觸不到,脾大。AFP陽性,B超、CT、MRI檢查可資鑑別。
2.壺腹周圍癌 表現為中上腹痛,梗阻性黃疸,消瘦與膽囊腫大,相似於膽囊癌但本病常不伴慢性膽囊炎,膽石症,較常見消化道出血十二指腸鏡檢及活檢可確診。
3.膽總管結石:患者具有突發性寒戰、高熱,發作性上腹劇痛,黃疸為深淺波動性完全性梗阻性,黃疸極少超過1周等特點,可與膽囊癌鑑別。ERCP、PTC、靜脈膽道造影診斷率高。
檢查
實驗室檢查:
1.肝功能試驗 血清膽紅素升高,早期以直接膽紅素為主,晚期間接膽紅素亦升高。血清轉氨酶升高(主要為ALT),與黃疸不成比例,在黃疸明顯時,ALT僅輕度升高。鹼性磷酸酶(ALP)乳酸脫氫酶(LDH),γ-谷氨醯轉移酶(GGT)及5’-核苷酸酶(5’-NT),顯著升高。
2.腫瘤標誌物 血清或膽汁中癌胚抗原(CEA)及血清CA19-9和CA50測定值在膽囊癌中可升高,亦有助於診斷,膽囊癌組CA19-9為153U/ml,膽石組為67U/ml(P<0.0001),可作為鑑別診斷參考依據。
基因檢測3.癌基因及癌基因產物檢測:癌基因ras和c-erbB-2在膽囊癌中陽性表達率分別為60%和50%。部分膽囊腺瘤可見ras弱陽性表達而C-erbB-2陽性反應僅限於癌細胞。而癌旁黏膜及膽囊腺瘤未見陽性表達;P53在膽囊癌中陽性表達率為50%~65.5%,P53蛋白表達常伴有膽囊癌高增殖狀態bcl-2基因產物在膽囊癌中表達率為54%,故多基因表達的同步檢測對膽囊癌早期診斷,預後判斷有重要意義。此外,NDPK/nm23在膽囊癌中表達明顯高於良性組織(P<0.05),且與癌組織局部浸潤及淋巴轉移密切相關(P<0.05),對鑑別診斷及預後估計也有一定價值。
4.細胞凋亡 膽囊癌中細胞凋亡率達40%,分化差的膽囊癌中細胞凋亡率高於高分化膽囊癌,表明細胞凋亡在膽囊癌發病中起重要作用,並可作為膽囊癌預後指標。
其它輔助檢查:
1.B型超聲 是膽囊癌診斷的首選方法B超對膽囊癌診斷陽性率達60%~80%通常膽囊癌超聲圖像有壁增厚型、隆起型混合型實塊型4種表現。早期當膽囊失去正常形態;膽囊壁局限增厚,表面不平;膽囊壁可見局限性實質性回聲團塊;內部有低阻抗血頻譜時,應高度警惕膽囊癌。同時,B超還可發現肝內外轉移灶。肝門部膽管梗阻、肝內膽管擴張肝門部淋巴結腫大等重要徵象。此外,在超聲引導下作膽囊直接穿刺造影有助於明確膽囊不顯影的原因。針對增厚的囊壁或腫塊先作吸引細胞學檢查,然後吸取膽囊內膽汁做細胞學檢查及生化檢查更有助診斷。
CT檢查2.CT 對膽囊癌診斷率為65%~90%。可定位定性表現膽囊壁不規則結節狀增厚或均勻增厚;囊腔內軟組織塊影;腔內有單發或多發小結節改變;常伴膽囊結石或囊壁鈣化。依上述表現CT將膽囊癌分為囊壁肥厚型(又稱炎症型,占25%)腫塊型(占50%),結節型(占25%)3種類型上述各型都可出現膽管梗阻和肝轉移。
3.MRI 診斷率相似於B超、CT。膽囊癌的MRI檢查多採用自旋迴波對膽囊癌分為腫塊型和浸潤型。腫塊型在T1加權像為低信號,T2加權象為高或稍高信號;浸潤型T1加權像為稍低或肯定的低信號,T2加權像表現為不均勻稍高或肯定高的信號。MRI對腫瘤侵犯血管和各種擴散方式較CT為佳。磁共振膽道造影‘MRC’圖像上正常膽囊影不顯示而見局部腫塊。
4.逆行性胰膽管造影(ERCP)和經皮經肝穿刺膽道造影(PTC) 對膽囊癌診斷率為50%~70%左右,可顯示膽囊膽管病變膽囊充盈缺損或不顯影,肝門部或膽總管移位或狹窄等。
5.腹腔鏡或超聲腹腔鏡(IVS) 腹腔鏡下可觀察到膽囊腫大變形,囊壁肥厚混濁或外觀呈灰白色腫塊或膽囊表面呈結節狀凹凸不平有異常血管行走如在腹腔鏡直視下直接行膽囊造影,活檢或膽汁細胞學檢查則可確診。超音波腹腔鏡(IUS)具有高分辨力還可以在膽囊各方向進行檢查,更清楚地觀察膽囊各層結構,且對體表超聲不能探及的小隆起病變也能做出診斷。
6.腹腔動脈造影 診斷率為70%~80%可見膽囊動脈增寬,粗細不均,中斷,扭曲或有新生腫瘤血管。
7.X線檢查 口服膽囊造影與靜脈膽管造影可顯示膽囊、膽管形態和大小,以推測有無梗阻性膽囊或膽管擴張同時了解膽囊、膽管是否有充盈缺損及受壓但85%以上不顯影,診斷價值較小。
癌胚抗原相關檢查:
> 5'-核苷酸酶
> CA19-9
> 丙氨酸氨基轉移酶
> 丙酮酸激酶
> 乳酸脫氫酶
> 兒茶酚胺
> 癌胚抗原
> 直接膽紅素
> 鹼性磷酸酶
> 間接膽紅素
治療
首選手術切除膽囊及局部淋巴結。如已侵犯一葉肝臟則需同時作部分肝葉切除。如累及兩葉肝臟及有遠處轉移,則僅能作姑息性手術如廣泛侵犯膽管引起梗阻者則作膽道內、外引流或放置支架以減輕黃疸癌瘤切除後以及無法切除者可進行放射治療和(或)化療。
膽囊癌中醫辨證論治
臨床上根據患者具體症狀、體徵,辨證分為不同證型。對於瘀滯型、濕熱型及火毒型,以大柴胡湯為主方,隨證加減;而對正氣虧虛型,則以八珍湯合逍遙散加減為主方治療。
1)瘀滯型。晚期膽囊癌治療治法:疏肝理氣,降逆止痛
2)濕熱型。治法:清熱利濕,舒肝理氣
3)火毒型。治法:瀉火解毒,疏肝清熱
4)正虛型。治法:氣血雙補,健脾益腎
預後及預防
預後:
能否早診斷早治療直接影響其預後。早期術後5年生存率為60%~80%,10年生存率44%。而晚期癌3年生存率為5%~7%。
預防:
