簡介
神經梅毒(neurosyphilis)為蒼白密螺鏇體感染神經系統所引起的疾病。分為先天性與後天性梅毒兩類。病原體為蒼白密螺鏇體(treponemapalliaum),俗稱梅毒螺鏇體。本病主要由於不潔的性交導致感染,也可經黏膜及接觸帶病原體之血液而感染人體。梅毒螺鏇體進入血液後,歷時1~3個月即可進入腦脊液並侵及中樞神經系統,如未經驅梅治療,在3~20年內出現神經系統損害的表現。約10%的患者神經系統感染梅毒後可能不出現神經系統症狀,為無症狀性神經梅毒。當螺鏇體損害腦膜及血管時屬間質性梅毒,若累及腦或脊髓則稱主質性梅毒。臨床常見的幾種神經梅毒為:①無症狀性神經梅毒;②腦膜神經梅毒;③血管神經梅毒;④脊髓癆;⑤麻痹性痴呆;⑥先天性神經梅毒。
流行病學
神經梅毒尚未查到權威性的較全面的流行病學發病率統計資料。
神經梅毒在我國建國初期比較嚴重,10%的初染患者在3~20年內出現神經系統損害的表現。全國各地均有此病記錄,而且感染比例非常高。在內蒙地區曾因此病的流行致使人口數下降了20萬之多。
40多年來神經梅毒在我國大陸基本上絕跡,近年來在國內重現,2001年北京發現1例梅毒性腦膜血管炎,2002年5月在北京大學第一醫院(北大醫院)又發現了1例梅毒性痴呆。在南方地區,尤其是開放較早的廣州,情況更為嚴重。
雖然北京地區目前為止只發現了北大醫院的這一例梅毒性痴呆,但是專家指出,這預示著神經梅毒“捲土重來”,在今後的幾年中將可能出現更多的梅毒性痴呆患者。
有統計資料顯示:無症狀性神經梅毒(asymptomaticneurosyphilis)患者多在初染後1~2年之內發病占初染梅毒患者的10%左右
腦膜神經梅毒(meningealneurosyphilis)主要為梅毒螺鏇體引起軟腦膜炎症,多見於初染後1~2年內,少數見於感染5年之後如未經治療或治療不充分,未來可能轉成主質性梅毒如麻痹性痴呆或脊髓癆。
血管神經梅毒(vascularneurosyphilis)占梅毒患者的3~15%。
脊髓癆(tabesdorsalis)為晚發的主質性神經梅毒,其潛伏期長久平均發生在初染梅毒後8~12年,也可短至3年長至20年;發病年齡多見於35~50歲;男性病例為女性的4倍。本症約占神經梅毒的1/4,占初染梅毒而治療不充分患者的10%左右
麻痹性痴呆(dementiaparalytica)多在感染梅毒後10~15年發病,多見於早期梅毒未經徹底治療者,且此病患者的潛伏期較長。多見於30~50歲,男性為女性患者的8倍。
先天性神經梅毒(congenitalneurosyphilis)已很少見。
病因
先天性梅毒系母體內的梅毒病原經胎盤傳給胎兒所致,後天梅毒患者主要通過性行為感染給對方。
發病機制
神經梅毒 梅毒螺鏇體進入血液後,歷時1~3個月即可進入腦脊液並侵及中樞神經系統。
1.無症狀性神經梅毒(asymptomaticneurosyphilis)腦部病理改變不詳由於本病患者不易獲得屍解,但推測多數主要累及腦膜,另有少數可同時累及腦主質和血管。
2.腦膜神經梅毒(meningealneurosyphilis)病理改變:本病雖屬腦膜炎症,但常同時存在輕度皮質的損害。肉眼可見軟腦膜彌散性炎性反應,增厚或變混濁。在增厚的腦膜內或嚴重感染的腦膜上有時可見粟粒性樹膠樣腫(gum-ma),酷似粟粒性結核,但兩者可借鏡檢相區別。
鏡檢腦膜的纖維組織主要系淋巴細胞浸潤,也可查見少量漿細胞,另在腦膜血管周圍可有淋巴細胞浸潤。限局在腦凸面的炎症改變,可在Virchow-Robin間隙周圍有淋巴及漿細胞浸潤。
限局在腦底部的腦膜炎症常使腦神經受損,可見動眼、滑車及面神經等呈現間質性炎性損害。腦底的滲出物堆積可堵塞腦脊液的循環,甚至堵塞第四腦室的正中孔或旁孔而導致腦積水的病理改變。腦室壁的室管膜層呈沙粒狀或顆粒狀這是由於室管膜下星形細胞增生所致。在增厚的腦膜內如查見樹膠樣腫,鏡下可見其中含有成纖維細胞、多核巨細胞,漿細胞,其中心可有壞死組織,還可查見由網狀組織而來的網蛋白(reticulin),藉此可和結核結節相鑑別,因在結核結節的乾酪樣壞死組織中不含網蛋白。如果樹膠樣腫的直徑大至數厘米時,可壓迫鄰近的神經組織。並根據其部位及大小,引起臨床上出現不同的局灶性症候在破壞的軟腦膜處,有時可見腦皮質中纖維性星形細胞增生而伸入蛛網膜下隙。腦膜和腦的血管中常見血管內膜炎及血管外層炎,有時導致腦軟化。
梅毒性腦膜損害,如只局限在脊髓則稱梅毒性脊蛛網膜炎,累及硬脊膜則稱脊硬膜炎。
3.血管神經梅毒(vascularneurosyphilis)病理改變:血管神經梅毒主要累及腦部及脊髓的中、小動脈,出現梅毒性動脈內膜炎及相應區域腦及脊髓組織軟化。
常見受損的動脈有大腦前動脈的分支回返動脈,該支主要供血尾狀核頭的前下部,鄰近的殼核及內囊前肢。大腦中動脈及其分支也可受累後者供血殼核、尾狀核,內囊前肢的下餘部分,內囊後支的背側部及蒼白球等處椎動脈基底動脈及脊髓前動脈均可累及。
病變可局限於一個動脈或某個動脈的一段。受損動脈的外膜增厚,有淋巴細胞及漿細胞浸潤,中層變薄其內肌層及彈力纖維破壞但有時彈力纖維仍可保持完好。內膜下纖維增生變厚使血管腔變窄受累的動脈內有血栓形成,並呈機化及再通。有的動脈形成閉塞性動脈內膜炎。較小的動脈可僅有內膜增生僅使管腔狹窄而無炎性反應稱Nissl-Alzheimer動脈炎沿大血管壁的滋養血管周圍可有炎性細胞浸潤。由於梅毒性動脈炎發生的血管不同,故引起受損的神經組織位置不同,軟化灶大小不一併有時在腦內呈多數小梗死。
上述血管病變也可見於其他類型的神經梅毒如腦膜血管梅毒和麻痹性痴呆等。如果梅毒性動脈炎侵犯脊髓前動脈或脊髓後動脈可引起一個或幾個脊髓節段有不同程度的軟化,並和脊髓的側支循環良好與否有關。軟化區域均呈典型的梗死性病理改變。在極少數的病例中發生動脈瘤。
4.脊髓癆本病病理變化為選擇性的神經纖維束退行性變且以腰、骶段及下胸段脊髓後根及後索為主。大體可見脊軟膜尤其背側者變厚,混濁,脊髓下段的神經後根變薄且扁平。背側脊髓受累顯著後索變窄小且皺縮,捫之較正常者為硬視神經若受累,可見其顱內段及視交叉變薄,並與其周圍的軟腦膜粘連。
顯微鏡檢查在疾病初期脊軟膜首先有炎性改變並且增厚,主要為淋巴細胞及漿細胞浸潤,並多局限在後根的軟膜及後根袖內在後根內有間質性神經炎性改變,根內的神經纖維變性,纖維間可有炎性細胞浸潤,脊髓後索脫髓鞘,以薄束尤為顯著可見髓鞘崩解,神經纖維萎縮;晚期神經纖維消失,而有星形膠質細胞增生其中也含部分結締組織增殖但無壞死及炎性反應。這些改變特別易於累及下胸段及腰骶段,有時也可侵及交感神經傳入纖維及前角細胞發生變性。脊髓內其他傳導束均不受累。
腦神經癱瘓者,其腦神經改變和脊髓後根者相同。一般以第Ⅲ、Ⅳ、Ⅷ腦神經較易累及。有視神經炎者,在視神經和視交叉的神經纖維髓鞘脫失,炎性浸潤主要在其外周部位,蛛網膜和視神經緊密粘連呈視神經視交叉蛛網膜炎的改變。
極少數病例以累及頸段脊髓及其後根為主,稱頸脊髓癆(tabesdorsalis)。本病選擇性累及脊髓後根及後索變性的發病機制也未闡明,一般認為是一種中毒變性病變同時伴以反應性炎性改變。至於本病和免疫學的關係,尚在研究中。
5.麻痹性痴呆病理改變以大腦皮質為主。大體觀察可見腦膜變混濁、增厚可與其下的腦皮質及其外的顱骨相粘連腦體積縮小、腦回變窄,腦溝加寬,腦溝中有較多的液體,這在前額葉最為顯著其次易受損者為顳葉。大腦切面可能兩側腦室擴大,腦室系統室管膜壁上常呈顆粒狀反應,系由顆粒性室管膜炎所致。
顯微鏡檢查:尤其在額葉前部及顳葉,沿Virchow-Robin間隙的血管周圍及腦膜血管周圍有炎性細胞浸潤,主要為淋巴細胞、漿細胞和吞噬細胞。炎性變化程度多依疾病的時期和感染程度而異。在皮質中的血管其外膜有淋巴細胞和漿細胞浸潤內膜有成纖維細胞增生,其內有時可找到梅毒螺鏇體。腦皮質中的神經細胞彌散性變性及脫失,並有反應性星形細胞,尤其是小膠質細胞增生。在星形膠質細胞增生處可形成膠質結節。在腦質內小血管周圍常見鐵質沉著。
在經過治療的病例,對鏡下所見有些影響其炎性反應減少甚至找不到炎性改變,腦膜也無增生,只能見到腦皮質中神經細胞脫失和反應性膠質增生
6.先天性神經梅毒多死產,妊娠早期感染者可導致腦積水及腦發育畸形而難以生存。出生後早期可有腦膜血管感染青少年慢性發展者可呈麻痹性痴呆及脊髓癆型病變,其病理改變和成人者基本一致。
臨床表現
神經梅毒 1.無症狀性神經梅毒無症狀性神經梅毒(asymptomaticneurosyphilis)是指具有明確的原發梅毒感染或血清學梅毒試驗呈陽性反應,以及CSF檢查有異常改變,但臨床上尚無任何神經系統症狀與體徵的患者
本病患者多在初染後1~2年之內發生,幾占初染梅毒患者的10%左右。約在感染後第3年發病率才漸漸降低,這是由於一部分患者轉為有症狀性神經梅毒;另一部分患者CSF自然的或經治療而轉為正常。此種患者血清性病研究實驗室試驗(venerealdiseaseresearchlaboratorytest,簡稱VDRL)均為陽性,CSF檢查白細胞增多,主要為淋巴細胞呈輕中度增多蛋白含量增加,CSF-VDRL約80%呈陽性並且梅毒診斷的特異性試驗如螢光密螺鏇體抗體吸收試驗(fluorescenttreponemalantibodyabsorptiontest簡稱FTA-ABS)也可呈陽性反應。
2.腦膜神經梅毒主要為梅毒螺鏇體引起軟腦膜炎症,多見於初染後1~2年內,少數見於感染5年之後。如未經治療或治療不充分,未來可能轉成主質性梅毒如麻痹性痴呆或脊髓癆
易見於青、中年男性。急性或亞急性起病,可有頭痛,噁心、嘔吐、頸後疼痛,頸部發硬,發熱,但也可不發熱Kernig征可能陽性。顱壓升高嚴重者可出現眼底水腫,腦頂部腦膜炎可誘發癲癇發作或精神障礙。顱底部腦膜炎常致動眼滑車三叉、展及面神經癱瘓,其中以上瞼下垂尤為常見。少數患者出現局灶性神經體徵如輕偏癱或單癱,提示腦膜炎症的鄰近腦組織內有梅毒性動脈炎部分腦膜神經梅毒患者的皮膚黏膜常有損害如斑狀丘疹鱗屑疹,水皰及大皰等。
3.血管神經梅毒血管神經梅毒(vascularneurosyphilis)多發病於初染梅毒後5~30年,但也可見於感染後數月之內即發病。青年患者發病距初染間隔時間較中年者為短並常為青年卒中患者的主要病因之一一般男性較女性多見。有統計資料血管神經梅毒占梅毒患者的3~15%
多見於青、中年男性先有持續性頭痛或人格障礙數周后出現局灶性體徵並呈進展性加重。局灶性症候則依受累的不同血管而出現不同的血管閉塞綜合徵。如累及大腦中動脈則出現病變對側偏癱及偏身感覺減退,同側偏盲;主側病變可出現失語等皮質功能障礙。若病變為大腦前動脈,則病灶對側偏癱及感覺障礙但下肢比上肢為重且常伴尿失禁及精神障礙如欣快、淡漠及精神錯亂。脊髓血管受累,病初常先有根性疼痛或麻木,提示脊髓病變的上界。以頸或胸段脊髓容易受累,出現急性橫貫性脊髓病的表現。多在數小時至數天內症狀發展至高峰。患者軀幹常有感覺缺失平面,出現截癱或四肢癱,病理反射陽性,並有大小便瀦留或失禁。
4.脊髓癆脊髓癆(tabesdorsalis)為晚發的主質性神經梅毒,其潛伏期長久,平均發生在初染梅毒後8~12年也可短至3年,長至20年。發病年齡多見於35~50歲男性病例為女性的4倍。病變選擇性的侵犯脊髓後根及後索並引起變性。在既往對梅毒缺乏有效治療的年代,本症約占神經梅毒的1/4,占初染梅毒而治療不充分患者的10%左右。
大部分病例起病緩慢,少數比較急劇。一般感覺障礙出現較早,繼之共濟失調營養障礙,大小便失禁及陽痿等。
(1)感覺障礙:疼痛為脊髓癆最早出現的症狀,其疼痛性質為散發的短時烈痛,每次持續數秒鐘,不向別處放射而固定在一點多在下肢間或出現在胸、腹部。由一點疼痛,又迅速轉移至另一處,也可呈連續性疼痛故稱“閃電樣疼痛”,其劇痛如燒灼、刀割電擊鑽刺、撕裂痛,天氣潮濕或寒冷可誘發。隨病情逐漸進展,異樣感覺逐漸增多,且多位於軀幹及下肢如蟻走感,羊毛觸皮感,針刺感,軀幹常有束帶樣感。同時皮膚對痛溫覺、觸覺發生感覺過敏。有時出現雙感覺,遲延感覺精神性對偶感覺等後期則變為感覺缺失,以痛覺缺失最早。常見的區域在鼻尖頸外側、胸部及小腿前面、前臂外側等處。震動覺和位置覺在下肢常呈極度損害,肢體遠端如足趾及手指等處尤為顯著。
(2)運動障礙:主要表現為進行性感覺性共濟失調,也是本病特有的症狀。由於下肢的位置覺等本體感覺失去經過後根傳入的可能,以致步態不穩,行走須靠視覺協調兩足基部加寬,兩腿提得很高,下地時踏的很重,一步與一步之間的距離不等,稱為“脊髓癆性步態”。又因行走時常昂首挺胸而被描述為“高雅步態”。閉目難立征為陽性肌力元障礙,罕見者可因前根或前角受損而有肌萎縮。
(3)肌張力及反射症狀:由於本體感覺傳入部分在後根處受損,以致反射弧發生障礙肌張力顯著下降可發生關節過度伸直現象,如膝關節向後彎曲造成膝反屈,一般表現為關節被動運動及主動運動的動幅過度下肢的腱反射減低或消失,膝反射尤甚,跟腱反射次之,且兩側腱反射減退的程度並不一致。除非頸脊髓癆,一般上肢腱反射不受損。引不出病理反射。
(4)眼部症狀:大多數有瞳孔異常,如瞳孔變小,邊緣不整齊或兩側不等約半數患者呈典型的阿-羅氏瞳孔(Argyll-Robertson’spupil),即瞳孔縮小對光的直接與間接反應消失但調節和集合反射仍然存在。可累及單側或雙側瞳孔,有時僅表現為對光反射的遲鈍而不完全消失。發生阿-羅氏瞳孔的機制尚未完全弄清,有認為損害位於腦蓋前部(pretectum)即視束至動眼核間的交叉和未交叉的神經纖維。這一損害位置只破壞了光反射弧而不影響集合反應的核上性通路。約有1/5的患者伴視神經萎縮,表現為不斷加重的視力減退,以原發性視神經萎縮比較多見。偶見動眼神經癱瘓而出現上瞼下垂,復視或斜視
(5)內臟危象:陣發性的內臟劇痛,同時伴以發作性的內臟功能障礙。以胃危象比較多見,疾病早期即可出現。胃部及上腹部出現難以忍受的尖銳劇痛,伴以噁心及嘔吐。嘔吐物具強烈的酸臭有時發作僅表現為作嘔不止。一般發作持續時間從幾小時至數天。危象可突然出現和自行消失。其疼痛多難以解除,加以嘔吐難以進食,故可導致脫水及鹼中毒。內臟危象也可表現在其他器官,但較少見,如喉危象表現為窒息和咳嗽發作;腸危象表現為腹瀉和腹痛;膀胱直腸危象表現為膀胱及直腸劇痛;尿道危象表現為尿道劇痛等。
(6)營養障礙:也是由於向中樞傳入神經功能消失所致。
①夏可關節(Charcot’sjoint)。為神經病理性關節病,較為常見,易侵犯膝、踝肘及手足部關節發展急速首先關節腫大有滲出物,軟骨增生後期軟骨破壞關節表面高凹不平,有新骨形成,因關節水腫及骨質萎縮與增生同時存在可產生各種關節畸形夏可關節的形成可能和關節周圍的肌肉與韌帶過度鬆弛以及正常的痛覺與位置覺消失造成過多的損傷有關。
②穿通性潰瘍為無痛性壞疽性潰瘍。易見於拇趾或小趾基部先出現表皮菲薄,破潰後,潰瘍逐日加深有時可暴露骨部,其邊緣較完整,很難癒合。
(7)括約肌障礙:病損位於骶神經後根時,膀胱障礙早期即可出現;病損位於其他部位則後期出現。有時患者有大量尿液瀦留而無脹痛感,此因膀胱張力降低所致。此外,可出現小便失禁及陽痿。
由於目前梅毒在早期較易獲得治療,故典型表現的脊髓癆已難發現,而本病新的表現形式可能增多如膀胱功能障礙,雙下肢弛緩性截癱,夏可脊椎關節壓迫馬尾等症候。
5.麻痹性痴呆麻痹性痴呆(dementiaparalytica)又名全身性麻痹(generalparalysis),為梅毒螺鏇體進入腦實質引起的一種慢性腦膜腦炎。若不治療,歷時2~3年死於全身肌肉麻痹。本症多在感染梅毒後10~15年發病多見於早期梅毒未經徹底治療者,且此病患者的潛伏期較長。多見於30~50歲,男性為女性患者的8倍。由於患者精神症狀突出,故常收入精神病院治療。
起病極為緩慢,多不易被人注意只表現為情緒不穩,易激惹頭痛逐漸出現精神異常,生活習慣改變,記憶力減退及手指肌肉震顫等症狀。晚期則表現為精神衰頹,全身無力,終於死亡。
(1)精神症狀:多始以人格改變及行為異常,如原來行為端莊謹慎,一變而為言而無信,原本好靜或善於理財者,一變而為狂躁和浪費,計算力漸減而常弄錯賬目,遠事記憶尚能部分保留而近事及即刻記憶損害最為顯著,分析判斷定向及自知力減退。早期常性慾亢進,晚期則減退。可出現語言錯亂及各種妄想與幻覺。根據精神異常可分為下述幾型:
①誇大型:為最常見的一種,其誇大妄想的內容多系自認為有超人的能力,為世界上最富有者,隨之而來的是洋洋得意,自得其樂。
②狂躁型:激動不安狂放多語,隨著活動增多而常有破壞性行為發生。
③憂鬱型:情緒抑鬱悲觀失望不歡自責及自罪妄想,或喋喋不休,疑患有無法醫治的病症。
④單純衰退型:情緒淡漠,精神衰頹,動作緩慢,智慧型遲鈍為主。
(2)神經系統症狀:多隨智力減退而出現語言含混不清,唇、舌眼瞼及手指肌肉顫動字跡顫抖、大小不一。瞳孔大小不等,邊緣不整齊常出現典型的阿-羅氏瞳孔患者步履蹣跚,閉目難立征多呈陽性。腱反射亢進,但晚期可能由於營養障礙而反射消失,可能出現錐體束征,偶有癲癇發作,甚至出現癲癇持續狀態。
6.先天性神經梅毒先天性神經梅毒(congenitalneurosyphilis)已很少見。患有梅毒的母親在妊娠期間,梅毒可經由胎盤血循環而感染胎兒一般先天性神經梅毒的發生率與母親患梅毒的病期有關,即母親患梅毒時間越長,則所生胎兒患病機會越少。此外,4個月齡以內的胎兒,常不易受梅毒螺鏇體的感染,故患有梅毒的母親,若能在最初妊娠4個月得到充分的驅梅治療,有防止胎兒感染梅毒的可能。
獲得生存的先天性神經梅毒患兒,可出現腦積水及聽力消失並常伴以脈絡膜視網膜炎,間質性角膜炎及Hutchinson牙齒及鞍鼻。隨年齡增長逐漸出現少年性麻痹性痴呆或少年型脊髓癆性麻痹性痴呆(juveniletaboparesis),其痴呆的程度和年齡及病損範圍有關單純少年型脊髓癆則極罕見。
併發症:
梅毒螺鏇體可以侵犯皮膚、黏膜、心臟及其他多種組織器官,可有多種多樣的臨床表現,在此不一一贅述。
梅毒性心臟病常在患梅毒後10~20年發病。主要侵犯主動脈,初期表現為主動脈炎,然後主動脈擴大,主動脈瓣受損而出現主動脈關閉不全;還能導致冠狀動脈口變窄。臨床上早期沒有任何自覺症狀,晚期可有心功能不全、心絞痛、咳嗽聲音嘶啞等表現。
診斷
1.無症狀性神經梅毒無症狀性神經梅毒患者的診斷主要靠有不法性接觸史初期感染下疳;但更重要的是依靠血清VDRL陽性及CSF中的異常變化。
2.腦膜神經梅毒根據有性病接觸或有過早期梅毒(下疳)史同時具有腦膜炎的症狀,血梅毒試驗陽性以及腦脊液呈炎症性改變,可以確診為腦膜神經梅毒
3.血管神經梅毒青、中年人發生偏癱或截癱,既往有冶遊史或性病史,血清VDRL呈陽性反應即應考慮本病。
4.脊髓癆本病的診斷主要根據臨床特點有閃電樣疼痛,進行性共濟失調,深感覺缺失以及阿-羅氏瞳孔,有夏可關節更有助於考慮本病,如血液及腦脊液梅毒試驗陽性當可最後確診。
5.麻痹性痴呆根據中年緩慢起病逐漸出現人格障礙及智慧型缺損以至出現誇大妄想等精神異常,神經檢查有阿-羅氏瞳孔,手指及眼瞼顫動等症候,加以血液及腦脊液VDRL及FTA-ABS試驗呈陽性反應當可確診。
6.先天性神經梅毒先天性神經梅毒的診斷主要依靠患者有神經精神症狀血及腦脊液梅毒試驗陽性,若母親有梅毒史更應考慮本病。
鑑別診斷:
1.腦膜神經梅毒應注意與結核性腦膜炎、新型隱球菌性腦膜炎豬囊尾蚴病(囊蟲病)性腦膜炎及病毒性腦炎相鑑別。
2.血管神經梅毒但應注意和下列疾病鑑別:腦栓塞、腦血栓形成、系統性紅斑狼瘡並發血管意外、脊髓前動脈血栓形成及急性脊髓炎等病。
3.脊髓癆早期應和關節痛及神經根痛相鑑別。病程晚期共濟失調症狀明顯後應注意和Friedreich共濟失調及亞急性聯合變性等症相鑑別。
4.麻痹性痴呆應注意和血管性痴呆及Alzheimer等病相鑑別。
5.先天性神經梅毒注意和其他腦病鑑別。
檢查
實驗室檢查:
1.無症狀性神經梅毒血清學梅毒試驗呈陽性反應,以及CSF檢查有異常改變。
2.腦膜神經梅毒本症患者血清VDRL均為陽性。腰椎穿刺檢查CSF壓力升高輕度混濁細胞數中度增多,約在(100~300)×106/L,蛋白輕度升高,部分患者糖含量輕度降低CSF-VDRL90%左右為陽性FTA-ABS呈陽性。
3.血管神經梅毒患者血清VDRL為陽性。CSF壓力多正常白細胞在(100~200)×106/L以下,以淋巴細胞為主蛋白含量輕度增高或正常。血及CSF的FTA-ABS均陽性。
4.脊髓癆血液和腦脊液VDRL70%~80%病例兩者皆為陽性。有謂血及腦脊液FTA-ABS反應均為陽性早期患者CSF單核細胞輕度或中度增高,蛋白含量也升高。晚期細胞數多在50×106/L以下,仍以淋巴細胞為主。
5.麻痹性痴呆血清VDRL試驗幾皆呈陽性腦脊液壓力基本正常,細胞數多在(10~50)×106/L,主要為淋巴細胞,蛋白增加,糖及氯化物正常。腦脊液VDRL100%為陽性。血及腦脊液FTA-ABS均為陽性反應。
6.先天性神經梅毒血及腦脊液梅毒試驗均為陽性腦脊液中的細胞數,蛋白質均可輕、中度增加,IgG也可增加。
其它輔助檢查:
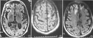
血管神經梅毒的影像學檢查:腦CT示病變腦組織單個或數個較小的低密度梗死灶。腦血管造影可見受累的腦動脈呈彌散性不規則的狹窄,提示在一定距離內血管內膜有炎性增殖
以下檢查有鑑別診斷意義:CT、MRI檢查;腦電圖;顱底攝片;眼底檢查。
必要的有選擇性的檢查,依據可能的病因選擇:
1.血常規、血生化、電解質。
2.血糖、免疫項目有檢查,鑑別診斷意義。
治療
各種類型神經梅毒的治療均採用青黴素青黴素最低治療血清濃度為0.03μg/ml最高療效血清濃度為0.1μg/ml。一般認為其治療效果和病期長短有關,而和青黴素的劑量關係較小
1.青黴素的劑量和用法綜合目前國內外治療神經梅毒套用青黴素的方案共有兩種。
(1)水溶性普魯卡因青黴素(普魯卡因青黴素G)90萬U,每天肌內注射1次,共15~20天。
(2)苄星青黴素(苄星青黴素G)240萬U,每周肌內注射1次共3周。曾有作者考慮上述劑量未能使腦脊液中白細胞增高恢復正常或認為組織中梅毒螺鏇體毒力強而主張採用較大劑量如套用水劑普魯卡因青黴素,每12小時肌內注射60萬U共15~20天,總量超過2000萬U為宜。
1998年美國疾病控制及預防中心推薦治療神經梅毒的青黴素用法是:①水溶性晶體青黴素G,200萬~400萬U,靜脈滴注,每4小時1次共10~14天;②普魯卡因青黴素,240萬U,肌內注射,1次/d,同時口服丙磺舒(probenecid)500mg4次/d,共10~14天。
另有學者認為上述治療後可繼續肌內注射苄星青黴素(苄星青黴素G)240萬U,每周1次共3周,療效可能更好。
所有經過治療的患者均應定期追蹤觀察。一般在治療後頭一年內,每3個月複查一次包括血清梅毒檢測試驗如果恢復較好,以後改為每隔半年至一年複查一次。腦脊液檢查一般每隔半年至1年檢查1次直至腦脊液和血清均已恢復正常,一般對患者至少隨訪3年之久。
2.再治療問題在治療後的追蹤觀察中,若發現上次治療失敗,當考慮再治療。治療失敗主要表現在神經梅毒的感染仍處在活動狀態,如發現臨床症狀繼續發展治療後腦脊液細胞數仍然保持增高;治療後已6個月其腦脊液中細胞數仍未恢復至正常;血清或腦脊液VDRL的滴度不見下降或升高者均應進行再次治療。
3.吉-海氏反應(Jarish-Herxheimerreaction)是指採用青黴素治療的頭24h之內,由於大量被殺死的梅毒螺鏇體所釋放出來的外毒素所引致的全身反應和梅毒損害的局部反應此種反應在數小時之內可達症狀的高峰。全身症狀表現為高熱皮膚發紅約24h後可緩解。局部反應在神經梅毒的患者,可出現原來的視力障礙突然加重以及使麻痹性痴呆患者的精神症狀如精神錯亂和譫妄加重,並偶出現癲癇發作。吉-海氏反應可見於任何方式的驅梅治療之初,特別易見於血清陽性的早期梅毒,神經梅毒似反而少見。為防止出現此種反應,可在套用青黴素前採用類固醇激素加以防止,但效果尚無定論。
4.四環素和紅黴素對青黴素過敏的患者可採用紅黴素或四環素治療。此兩藥對初期梅毒療效尚佳,但對晚期神經梅毒療效不定。四環素劑量為口服500mg每6小時1次,共服30天。紅黴素的劑量和四環素相同。妊娠期婦女及兒童不宜採用四環素,因可影響牙齒和骨骼。
5.症狀治療有抽搐發作者給予抗癲癇藥物如卡馬西平(醯胺咪嗪)及安定類藥物。膀胱障礙者宜無菌導尿處理尿瀦留及定期沖洗膀胱。脊髓癆患者出現閃電樣疼痛者可服用止痛劑包括曲馬朵(曲馬多)緩釋片,但應防止成癮。內臟危象可用阿托品控制等。
神經梅毒經過合理驅梅治療後,以無症狀性神經梅毒療效最佳,其次為腦膜神經梅毒及血管神經梅毒,脊髓癆及麻痹性痴呆近半數較好,先天性神經梅毒療效也差。
預後預防
預後:
血清梅毒試驗陽性者,應在感染後1~2年內定期隨訪其腦脊液的變化,即使患者經過初期感染治療,也應追查以便獲得早期防治,以免轉成症狀性神經梅毒。
梅毒性動脈炎可致梭狀動脈瘤及腦血栓形成。脊髓癆潛伏期長久平均發生在初染梅毒後8~12年,病變選擇性的侵犯脊髓後根及後索並引起變性;導致共濟失調,營養障礙,大小便失禁及陽痿等。
麻痹性痴呆結局為痴呆狀態、痙攣性癱瘓或去皮質狀態;晚期則表現為精神衰頹,全身無力,終於死亡;也有患者歷時2~3年死於全身肌肉麻痹。
先天性神經梅毒多死產;妊娠早期感染者可導致腦積水及腦發育畸形而難以生存;出生後早期可有腦膜血管感染;青少年慢性發展者可呈麻痹性痴呆及脊髓癆型病變。
預防:
中國自解放以後,由於政府嚴禁嫖娼賣淫,並在某些地區實行普查及防治,至20世紀50年代末本病已基本杜絕。在歐美一些國家,也因早期診治及青黴素等藥物的套用使神經梅毒的發生率顯著下降尤其是主質型梅毒明顯減少。但近10餘年來我國新的梅毒患者,特別是腦膜及血管梅毒患者有所增加有的還伴隨愛滋病出現,這必須通過大力宣傳醫學衛生知識,加強文化素質教育使人們認識性傳播疾病的危害性,甚至從某些制度上加以控制,才能對本病的發生從源頭上加以防治。
鑑別診斷
神經梅毒侵犯部位廣泛,腦實質,腦脊髓膜,脊髓,周圍神經以及腦血管均可受累,常需要與腦膜炎,腦炎,腦血管病,各種類型的痴呆,脊髓或周圍神經疾病等鑑別。

