皮膚毛霉病概述
1999年初,16歲的湖北天門市患者程某發現自己左側臀中央有一個黃豆大、質地較硬的紅色結節,當時無明顯痛癢感,但後來結節越來越大,被武漢一家專科醫院診斷為皮膚毛霉病。因病情難以控制,幾年間,結節從黃豆般大最後蔓延到整個臀部。結節表面也從紅腫惡化到糜爛流膿,嚴重影響患者的正常生活。其家人從網上了解到廣州軍區總醫院曾經治癒過一位類似症狀的病人後,前往該院就診。皮膚科副主任王俊傑教授等將其確診為罕見的皮膚毛霉病。經過認真檢查和真菌培養活檢,並請普外科、整形外科等專家會診,醫務人員最後制訂出“外科手術(真菌性肉芽腫切除)+植皮手術(中厚皮片移植)+系統抗真菌藥物”的綜合治療方案。
4月5日,手術獲得成功。術後一個月,移植的皮瓣已存活。前後三次真菌培養均為陰性,病理活檢也未見菌絲孢子,從臨床效果來看,患者已經痊癒。
實驗室檢查:血常規:白細胞8.7×109/L、紅細胞5.68×1012/L、血紅蛋白161g/L、血小板329×109/L、中性粒細胞0.6、嗜酸粒細胞0.1、淋巴細胞0.3;尿常規陰性,血沉、肝腎功能、血糖、血脂、IgG、IgA、IgM、C3、C4、CH50均正常;細胞免疫功能未查;心電圖、X線胸片、腹部B超無異常,副鼻竇X線片示:慢性上頜竇炎,右側伴液平。
皮膚毛霉病凍土毛霉所致的原發性皮膚毛霉病皮
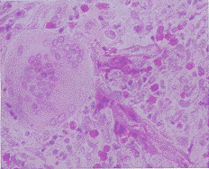
損組織病理學檢查(HE染色)
患者潰瘍面焦痂下膿性分泌物直接塗片鏡檢可見粗大的菌絲
凍土毛霉所致的原發性皮膚毛霉病皮損膿
性分泌物直接塗片鏡檢可見粗大菌絲
治療經過:1997年4月18日給予口服伊曲康唑膠囊0.2g,每日2次,4周后,皮疹較前明顯減退,潰瘍面縮小,表面有少許膿性分泌物,真菌直接鏡檢陽性,培養陰性,複查肝腎功能無異常,無不良反應。6月5日複查肝腎功能示:黃疸指數增高,伊曲康唑改為0.1g日2次繼續治療,6個月後改為0.1g日1次,共服藥8個月,總量53.3g,現仍繼續隨診。
真菌學培養
皮膚毛霉病綜上所述,該患者診斷為凍土毛霉所致的原發性皮膚毛霉病。
討 論
原發性皮膚毛霉病是少見的由接合菌綱中的毛霉目所致的深部真菌感染。毛霉屬中對人類和動物已知致病的種是:捲曲毛霉,M.ramosissimus,M.amphibiorum,M.mdicus,總狀毛霉[3]和凍土毛霉[4]。凍土毛霉1907年由Wehmer首先描述[5],1991年荷蘭Rund等報導了首例對人類致病的病例[4]。
毛霉病的發病主要表現為鼻腦部、肺部、胃腸部、皮膚及全身播散感染5種形式。原發性皮膚毛霉病是最少見的形式,僅占報導病例的10%以下[4]。對於該病的診斷主要靠皮損組織活檢和組織病理檢查,直接鏡檢可見一些寬的、無間隔的、成直角分支的菌絲。
皮膚毛霉病