基本簡介
牙疼 牙痛是本病的主要症狀。早期,牙齦發癢、不適、口臭,繼之牙齦紅腫、鬆軟,容易出血,疼痛,反覆發作。日久牙齦與牙根部的牙周膜被破壞,形成一個袋子,叫牙周袋,袋內常有膿液溢出,炎症繼續擴大,可成為牙周膿腫,病情加重,局部疼痛、腫脹,初為硬性,後變為軟性,有波動感,可自行穿破,流出膿液,出膿後,疼痛可減輕,或反覆發作,非常痛苦。
病因第一種是牙體、牙髓病變。
第二種是牙周病變引起來的。
中醫認為:風熱侵襲風火邪毒侵犯,傷及牙體及牙齦肉,邪聚不散,氣血滯留,氣穴不通,瘀阻脈絡而為病。並且,手、足陽明經脈分別為下齒、上齒,大腸、胃腑積熱或風邪外襲經絡,郁於陽明而化 火,火邪循經上炎而發牙痛。腎主骨,齒為骨之餘,腎陰不足,虛火上炎亦可引起牙痛。亦有多食甘酸之物,口齒不潔,垢穢蝕齒而作痛者。因此,牙痛主因是氣穴的通暢與否,次之與手足陽明經和腎經有關。
牙痛的病因一般來說,以下幾種牙病可致牙痛:
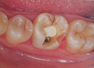
齲齒
齲齒(dental caries)一種由口腔中多種因素複合作用所導致的牙齒硬組織進行性病損,表現為無機質脫礦和有機質分解,隨病程發展而從色澤改變到形成實質性病損的演變過程。齲齒是細菌性疾病,因此它可以繼發為牙髓炎和根尖周炎,甚至能引起牙槽骨和頜骨炎症。齲齒的繼發感染可以形成病灶(focal infection),致成或加得關節炎、心骨膜炎、慢性腎為和多種眼病等全身其他疾病。齲齒應以保健預防為主。
初齲一般無症狀,如齲洞變大而深時,可出現進食時牙痛,吃甜食或過冷、過熱的食物時疼痛加重。這時可先用防酸止痛牙膏,溫水刷牙,必要時用民間驗方止痛,但有效的治療方法應是填補齲洞。
牙髓炎
多是由於深齲未補致牙髓感染,或化學藥物或溫度刺激引起,其疼痛為自發性,陣發性劇痛,可有冷、熱刺激痛和叩痛。這種牙痛的應急處理,可用芬必得300mg口服,一日2次,止痛,或用民間驗方止痛。根治的方法是在局麻下用牙砧磨開牙髓腔作牙髓治療。
牙根尖周炎
牙病 牙外傷
如意外摔倒、碰傷或吃飯時咬到砂粒等致牙折或牙裂開,引起牙痛。可先服消炎、止痛藥,也可用民間驗方止痛。有條件者應到口腔科處理。
智齒冠周炎
智齒冠周炎:智齒萌出困難(阻生),加上口腔衛生不良,引起牙冠周圍組織發炎、腫痛。可用口泰或口舒等含漱液漱口,服消炎、止痛藥或用民間驗方止痛。消炎後再拔除阻生牙。此外,流感、三叉神經痛、頜骨囊腫或腫瘤、高血壓、心臟病,有時也會引起牙痛。所以對主訴牙痛,但牙齒又無任何病變者,切不可盲目濫用止痛藥了之,應及時去醫院專科診治。
牙周炎
牙周炎:是侵犯牙齦和牙周組織的慢性炎症,是一種破壞性疾病,其主要特徵為牙周袋的形成及袋壁的炎症,牙槽骨吸收和牙齒逐漸鬆動,它是導致成年人牙齒喪失的主要原因。本病多因為菌斑,牙石,食物嵌塞,不良修復體,咬創傷等引起,牙齦發炎腫脹,同時使菌斑堆積加重,並由齦上向齦下擴延。由於齦下微生態環境的特點,齦下菌斑中滋生著大量毒力較大的牙周致病菌,如牙齦類桿菌,中間類桿菌,螺鏇體等,使牙齦的炎症加重並擴延,導致牙周袋和牙槽骨吸收,造成牙周炎。
牙本質過敏
牙本質過敏又稱牙本質過敏症、過敏性牙本質,是牙齒受到外界刺激,如溫度(冷、熱)、化學物質(酸、甜)以及機械作用(摩擦、咬硬物)等引起的酸痛症狀,當用尖銳的探針在牙面上滑動時,可找到一個或數個過敏區,它發作迅速、疼痛尖銳、時間短暫,是各種牙體疾病的共有症狀,是由於釉質的完整性受到破壞牙本質暴露所致,磨耗、楔狀缺損、牙折、齲病、牙周萎縮均可發生牙本質過敏。
楔狀缺損
楔狀缺損是牙齒唇、頰側頸部硬組織發生緩慢消耗所致的缺損,通常呈楔形或“V”形而得名。此症狀多是由於不正確的刷牙方法引起,多見於尖牙和雙尖牙,習慣右手刷牙的人左側牙齒的楔狀缺損嚴重,而習慣左手刷牙的人右側牙齒的楔狀缺損嚴重。磨損加重會出現牙本質過敏,繼而發生牙疼,嚴重者導致牙髓炎、根尖炎、牙齒折斷等。
有時候僅是菜屑卡在牙縫而引起不適。
常見的有因為食物嵌塞引起來的牙齦炎、冠周炎,此時只需清理乾淨嵌塞的食物,敷以消炎、止痛、安撫牙齦的藥物就可以了;
也有因不注意牙周衛生造成牙齦萎縮、牙槽骨吸收、牙根暴露直至牙齒鬆動、脫落,隨之而來的表現為:遇冷、熱、酸、甜等刺激時疼痛,一旦刺激解除疼痛也就消失了,到了此時治療就比較麻煩了 。
牙痛也可能是由鼻竇炎引發。
臨床表現
牙疼 牙髓炎
部分牙髓炎病人在用冷水刷牙時疼痛明顯,而改用溫水便覺得沒那么痛;還有一些病人在吃飯喝熱湯時也覺得痛,要等湯放涼了才能喝;如果繼續發展,有的病人會無緣無故地痛起來,特別是到了晚上躺下睡覺後,會痛得更厲害,甚至影響睡眠。這就是醫生常說的“冷熱刺激痛、夜間自發痛”。牙髓炎的炎症部位在牙齒中央的牙髓腔,藥物要通過細小的根尖孔才能到達,可以說任何藥物都不可能徹底治療牙髓炎,所以牙髓炎“無藥可治”的說法是有一定道理的。不少牙髓炎病人牙痛時病急亂投醫,那些不專業的醫生隨便開點抗生素給病人用,結果完全不起作用。對於牙髓炎造成的疼痛,止痛藥有一定的作用,而當疼痛劇烈時,止痛藥的作用就不明顯了。像“牙痛丸”一類的局部止痛藥在疼痛輕微時可能有效,但並非好辦法。當發生牙髓炎時,最好是找牙科醫生,對病牙進行治療和處理,在看牙醫之前已經有疼痛的可以口服止痛藥,其他藥物建議都不用。
根尖周炎
根尖周炎 專業的牙科醫生仍然強調局部引流和局部用藥,醫生通常會從牙齒疏通到根尖周圍的組織,並在局部放置消炎止痛藥物,如樟腦酚等。根尖周炎病人如果沒有得到及時治療,炎症範圍擴大,可能出現面頰部紅腫熱痛、化膿,甚至出現發熱、全身疼痛等症狀。
這時,就有必要對全身使用抗生素和消炎止痛藥(廣譜抗生素和滅滴靈即甲硝唑是常用的藥物);疼痛者可以加用去痛片等止痛藥,疼痛劇烈者還可以在病牙周圍注射局部麻醉劑,如普魯卡因等。
冠周炎
冠周炎多發生於下頜智齒萌出不全或阻生時,牙冠周圍軟組織發生炎症。炎症初期,病人覺得牙齦腫脹疼痛,咀嚼吞咽或開口活動時疼痛明顯,隨著病情發展疼痛加重;嚴重時還可出現不同程度的無法張口,甚至牙關緊閉。治療以局部處理為主,常用生理鹽水和2%雙氧水沖洗局部,再放置碘甘油,最好每日1-3次,再用洗必泰漱口液漱口。如果有膿腫形成,應及時切開排膿。如果出現面頰部紅腫熱痛,甚至全身發熱、疼痛等,可以使用抗生素和消炎止痛藥,常用的藥物也是廣譜抗生素和滅滴靈(甲硝唑)等。
診斷治療
藥物治療
牙疼首先應考慮藥物治療。很多人常用甲硝唑、芬必得西藥等止疼,這類西藥治標不治本,而且長期使用有副作用。對於牙周炎、牙髓炎、膿腫炎症、神經性牙疼、蛀牙等引起的牙疼,建議用陳氏牙`清散這類純中藥的外用藥,副作用小,不產生依賴。
牙`清散加入防風等藥材,具有很好的鎮痛效果,可以 醫生看牙迅速緩解各類牙痛,同時加入薑黃、薄荷等抗菌消炎、祛火的藥材,對牙周炎、牙髓炎、牙腫、風火牙痛等有很好的治療效果。
牙`清散為外用藥粉,可以直接作用於患處,相比一些止痛類西藥,副作用小,可以達到標本兼治的效果。
對於藥物治療不能奏效的話,應考慮去醫院進一步檢查,確診病情再治療。
自療法
1、牙痛的時候可以切 生薑一小片咬在痛處,必要的時候可以重複使用,睡覺的時候含在口裡也無妨。2、用 蜂蜜點在牙痛的地方,過幾分鐘就好了,還能讓你滿口生香。
3、用牙籤挑取一點 雲南白藥加上開水一滴,調成糊狀,再用牙籤蘸著雲南白藥糊塞到牙疼的地方,一般3至5分鐘後就能止住痛。
4、口含蘆薈:割一小片 蘆薈,剝除外皮,把內含粘性液體的果肉含在疼痛處,2至小時自行緩解。
5、冰敷:就像治療瘀傷一樣, 冰敷牙痛部位的臉頰,可緩解疼痛。每次敷15分鐘,一天至少3至4次。
6、 六神丸1至2粒,碾碎置於患齒牙齦上5至10分鐘,每天1次,一般不超過3次。
7、平時刷牙的時候使用牙粉杏林集的和劑玉池散,其採用中醫整體論治原則,以良方配伍優質中草藥,君臣佐使,根源調理各類型牙痛。方中川芎、當歸活血止痛,甘草、防風清熱解表,白芷、槐花消腫止血,藁本、地骨皮祛風滋陰,在消除牙痛的同時調理機體陰陽,增強牙齒免疫力,固齒防蛀。
牙結構外治自療法
(1)取六神丸數粒,置於齲洞中,咬緊即可止痛。
(2)牙齒黃金加牛黃解毒片一起用,口含兩片即可。
(3)雲南白藥粉加熱水調成稀糊狀,直接塗在齲洞和牙齦上即可。
(4)樟腦、冰片適量,共研成細末,放於牙痛處,並令病人吸氣即可止痛。
(5)荔枝10隻,在其肉內填入少許食鹽,用火煨乾後研末,擦痛處即可。
(6)取陳醋120克、花椒30克、熬10分鐘,待濕後後含在口中3-5分鐘吐出(切勿吞下),可止牙痛。
風熱侵襲
診斷要點:牙痛突然發作,陣發性加重,得冷痛減,受熱加重,牙齦腫脹;形寒身熱,口渴;舌紅苔白或薄黃,脈浮數。
處方:風池、外關
胃炎上蒸
診斷要點:牙痛劇烈,牙齦紅腫或出膿血,得冷痛減,咀嚼困難;口渴口臭,溲赤便秘,舌紅苔黃燥;脈弦數或洪數或滑數。
處方:二間、內庭
虛火上炎
診斷要點:牙痛隱隱,時作時止,日輕夜重,牙齦暗紅萎縮,牙根鬆動,咬物無力;腰膝酸軟,五心煩熱;舌嫩紅少苔,脈細數。
處方:太溪、照海、懸鐘
夾藥療法
細辛適量,夾於兩片生地之間,含於牙痛處,咬緊,一般3~5分鐘即可止痛。或花椒9g,樟腦、蓽撥各6g,加水200ml,水煎取汁,用消毒棉簽蘸藥液外搽患處,並用棉球浸透藥液後置於患處上下牙之間咬緊,一般經過15~30分鐘即可止痛,連續3-5次即可。
4.納鼻療法:細辛、防風、白芷、蓽撥各5g,高良姜、黃連各4g,冰片3g,雄黃2g,共研細末,裝瓶備用。使用時用棉球蘸藥粉少許塞入鼻內,左側牙痛塞左側,右側牙痛塞右側。並深呼吸2分鐘,一般套用1-3次即可止痛。
5.藥敷療法:補骨脂30g,青鹽10g,同炒,研為細末,裝瓶備用。使用時每次取藥末適量外搽患處,每日3-5次,連續3-5天即可。或龍眼肉適量,蘸食鹽外搽疼痛處,每日2-3次,連續2-3天。
6.塞耳療法:用棉球蘸高濃度白酒或95%酒精適量,塞入外耳道中,使其與周圍皮膚密切接觸,若棉球已乾,可在滴些白酒,一般只塞患側外耳道,兩側疼痛也可塞雙側,經過3-5分鐘,疼痛自可止。
7.按摩療法:取肩井穴(此穴位於肩上陷中,患者可用患處對側手的食、中、無名三指按在肩部,食指貼頸,中指指腹按壓處即是),左右各一穴,找準穴位,用力按壓,以能耐受為度,按壓30秒,再壓再放鬆。
其它療法:
耳穴貼壓:牙、神門、屏尖
1.中成藥外治法:金黃散適量,用茶水少許調勻,外敷腫脹疼痛處,敷料包紮,膠布固定,每日換藥1次,連續3-5天。或冰硼散適量,用淡鹽水含漱後,以本品外搽痛處,每日2-3次。
2.含漱療法:五倍子10g,加水600ml,武火煎沸後改文火緩煎15分鐘,取汁約250ml,俟藥汁溫度適口時喝一大口噙漱,不要咽下,稍待片該吐出,連續3次,須臾牙痛可止。為防復發,可連漱數次。或鮮馬齒莧搗爛取汁含漱,並時以其汁漬潤局部,每日數次,一般一日後疼痛即可。
偏方治療
牙疼 1、取大蒜搗爛,溫熱後敷在疼點上可以治療牙髓炎、牙周炎和牙痛等症狀。
2、把味素按1:50的濃度用溫開水化開後,口含味素溶液一會兒就吐掉。這樣連續幾次,堅持兩天后牙痛就會好的。
3、牙疼的時候可以切生薑一小片咬在痛處,必要的時候可以重複使用,睡覺的時候含在口裡也無妨。這是很安全可靠的一個驗方。
4、取普通白酒100克放入茶缸里加上食鹽10克;攪拌,等鹽溶化之後放在爐子上燒開。含上一口在疼痛的地方,注意不要咽下去,牙痛就立刻止住了。
5、漱口:含一口水(溫度接近體溫),用力漱口。
6、按摩手:這方法可緩解50%的疼痛。取一塊冰搓摩拇指與食指骨頭相連的“V”字地帶,輕輕地將冰塊壓在此部位5-7分鐘。一位加拿大研究員發現,60-90%使用這方法的人,牙痛因此而減輕。他的研究顯示,這種磨擦法能幹擾牙痛神經衝動的傳導。
7、用冰塊按摩合谷穴5分鐘。
疾病鑑別
牙疼 1、與深齲鑑別:它們都有較深的齲洞,但深齲無急性牙髓炎的自發性劇烈疼痛。
2、與齦乳頭炎鑑別:牙齦乳頭炎可有自發性劇烈疼痛,但局部牙齦紅腫、壓痛,甚至溢膿,而且多有食物嵌塞史。而牙髓炎則無,牙髓炎對溫度敏感,而齦乳頭炎對溫度的刺激則無明顯反映。
3、與三叉神經痛鑑別:三叉神經痛一般在夜間不發作,溫度改變亦不引起疼痛,而且多有“扳機點”,疼痛間歇期不會隨病情發展而明顯延長或縮短。
治療原則是保存活髓或保存患牙,應急處理可以開髓減壓,溫鹽水沖洗後,放置止痛藥物(如樟腦酚、丁香油酚或牙痛水等小棉球)於齲洞內,可以暫時止痛,同時服用消炎、鎮痛藥,疼痛緩解後1~2天,視患牙具體情況選用:
1、活髓切斷術;
2、平髓術;
3、牙髓塑代或根管治療。
無保留價值患牙,可拔除患牙,以解除病員痛苦和阻止病變繼續擴散。
疾病預防
正確刷牙 1、正確刷牙:這是去除牙菌斑的有效方法。先為孩子選購一支刷頭小巧、刷毛細軟、毛端圓鈍並富有彈性的兒童保健牙刷,再選購一支含有氟化鈉的單氟牙膏或兼含有單氟磷酸鈉的雙氟牙膏。牙膏中的氟化物能增強牙面結構、促進礦化,提高抗酸能力並能抑制牙菌斑。小兒一次用量約豌豆大,年齡增長可適當增加用量,刷牙時應避免咽下。孩子初學刷牙時,家長應作示範並耐心地教會孩子如何正確刷牙。正確刷牙的要點是:刷毛與牙面約呈45度,順著牙縫豎刷。上牙往下,下牙往上,咬合面前後來回刷。而不是拉鋸式的橫刷,那樣會損傷牙齒和牙齦。每次刷牙3分鐘,早晚各刷一次,並持之以恆。
2、合理飲食:甜食是孩子偏愛的食品,其中含有大量的糖和澱粉例如糖果、朱古力、餅乾和糕點等。尤其是粘性大的甜食易粘附在牙面上,為牙菌斑中的致齲菌提供了充足的養分,經代謝後產生的有機酸致齲性很強。因此,要勸說孩子少吃甜食,尤其不要在睡前吃,睡前飲食後要刷牙。此外,日常飲食不要偏食。膳食成份應包括五穀雜糧、豆類及豆製品、奶及奶製品、魚肉蛋禽和蔬菜瓜果。這樣有利於孩子的生長發育和身體健康。
3、定期檢查:由於齲齒初期無症狀而不易被察覺,直到出現疼痛症狀時家長才急於帶孩子到醫院就診,此時往往已錯過良好的治療時機。因此,醫生建議在孩子周歲時便可進行首次檢查,以後每半年定期複查一次,發現齲齒及時治療。切莫因事務繁忙而忽視了孩子的牙齒健康,願您的孩子擁有一口整潔健康的牙齒。保持口腔衛生,養成早晚刷牙的良好習慣,避免牙齒受傷及冷熱刺激。
止痛方法
急救措施:
1.用水磨擦合谷穴(手背虎口附近)或用手指按摩壓迫,均可減輕痛苦。
2.牙若是遇熱而痛;多為積膿引起,可用冰袋冷敷頰部,疼痛也可緩解。
3.用花椒一枚,噙於齲齒處,疼痛即可緩解。
4.用鹽水或酒漱口幾遍,也可減輕或止牙痛。
5.將丁香花一朵,用牙咬碎,填入齲齒空隙,幾小時牙痛即消,並能夠在較長的時間內不再發生牙痛(丁香花可在中藥店購買)。
注意事項:
1.頑固的牙痛最好是含服止痛片,可減輕一時的疼痛。
2.預防牙病還要套用橫顫加豎刷牙法。刷牙時要求運動的方向與牙縫方向一致。這樣可達到按摩牙齦的目的,又可改善周組織的血液循環,減少牙病所帶來的痛苦。
3.防止牙痛關鍵在於保持口腔衛生,而早晚堅持刷牙很重要,飯後漱口也是個好辦法。
4.止痛不等於治療。應注意口腔牙齒衛生,以防牙痛。當牙痛發作時,用上述方法不能止痛,應速去醫院進行急診治療。
孕婦牙疼原因
孕婦牙痛,主要是孕婦體內雌性激素有關,孕酮的水平大大增高,而免疫機能下降造成孕婦比平時更為容易因流感和上火出現急性炎症,導致牙齦對炎症的刺激反應比平時更為激烈,而出現急性的牙齦腫痛。
解決辦法
“牙疼不是病,疼起來真要命!”一直是廣為流傳的一句俗語,但其實並不科學,因為牙疼是一種口腔疾病的症狀,尤其是在得了蛀牙的情況下,那真是吃不下,睡不著,自己難受,家人也很心疼。那么,要是真的得了蛀牙應該怎么辦呢?
首先,讓我們先了解一下什麼是蛀牙。蛀牙,有時也有人叫它蟲牙,學名齲齒。其主要形成原因是牙菌斑。
牙菌斑是牙齒表面的一層幾乎無色的薄膜,含有造成齲齒的細菌。每次進食後,牙菌斑中的這些細菌會和食物中的糖分或澱粉發生化學作用,產生腐蝕牙齒的酸性物質。久而久之,牙齒的琺瑯質便會破壞,形成比較脆弱的小蛀斑,若繼續惡化則會形成牙洞,即蛀牙。所以,蛀牙是從小蛀斑發展而來的,不是真的有蛀蟲或什麼其他蟲子,而是牙齒被逐漸腐蝕的結果。
蛀牙在嚴重情況下,會導致牙齒的壞死和脫落。對於已經形成的蛀牙,一定要立刻去牙醫處就診,讓牙醫及時採取措施,填補齲洞,防止其繼續惡化。
與使用不含氟牙膏者比較,含氟牙膏使用者的小蛀斑能夠顯著被修復。
我們在此呼籲大家對蛀牙問題重視起來,千萬不要採取無所謂的態度,要積極地尋求牙醫的幫助,要堅持使用優質的含氟牙膏,掘棄“牙疼不是病”的錯誤觀念,確保牙齒的健康,不然最後吃虧的還是你自己。在得了蛀牙後,更需要使用優質的含氟牙膏,所謂“亡羊補牢,為時未晚”。
因為優質的含氟牙膏,如佳潔士氟泰配方的防蛀牙膏,一方面可以利用氟離子進入牙齒表面,形成保護層,幫助抵禦酸性物質的侵蝕,從而幫助防止蛀牙狀況的惡化;另一方面,這種氟離子可以作用在其他牙齒上,對於一些潛在的蛀牙危險,也就是小蛀斑,起到促進牙齒再礦化的作用,修復這些早期小蛀斑,避免進一步發展形成蛀牙。
1、風火牙痛怎么快速止痛:小蘇打(或食鹼)2克,加蜂蜜調成糊狀,沾在棉球上,再將棉球咬在痛處,1天2次,1天可治癒。
2、實火牙痛怎么止痛:白酒50克泡上花椒10粒,10分鐘後把花椒取出,把白酒含在嘴裡患處,立止牙痛。
3、白鬍椒10粒研成末,加白酒調成糊狀,分4次放在牙洞內,可治牙痛。
4、牙周炎、牙齦炎牙痛怎么快速止痛:用雞蛋清加等量的白酒攪均,喝一口含在口中,5分鐘吐掉,1日2次(1日1隻蛋)2~3天消火止痛並痊癒。
5、虛火牙痛怎么快速止痛:冰糖100克,清水一碗,放在鍋里煮成半碗,一次服完,每日兩次。有清熱退火止牙痛之效。
6、風蟲牙痛怎么快速止痛:獨頭蒜去皮,放爐子上煨熱,趁熱切開,外熨痛處,蒜涼了再換,連續數次有效。 用生薑切成小塊放到牙齒疼痛的地方,大約20分鐘換一次。每日兩次也可止痛。
7、消炎止痛:陳醋120克,花椒6克,用水煎開,放涼,含漱數次,可消炎止痛。
8、 取蜂房適量,加純酒精適量,點火燃燒,待蜂房燒成黑灰時,用手指蘸黑灰塗於患牙,一般4~5分鐘可止痛。
9、取六神丸1~2粒,研碎置於患牙齒齦上,5~10分鐘,每天一次,一般不超過3次。
10、取白酒100克放在杯里,再加食鹽10克攪拌,等食鹽溶化後,加火燒開,稍加冷卻,含上一口在疼痛的地方(不要咽下),牙痛會立即止住。
11、牙髓炎、牙周炎引起的牙痛怎么快速止痛:將大蒜搗爛,溫熱後,外敷疼處。
12、避免熱敷,熱敷或許能緩解牙痛,但熱敷也有可能使本來健康的牙齒感染細菌和炎症,從而導致牙齒情況惡化。
13、保護受傷牙齒,如果牙痛是由牙齒外傷導致的,則就餐時儘量不要碰受傷的牙齒。如果傷勢較輕,讓牙齒休息一陣子,就可恢復咀嚼功能。
14、少張嘴,冷空氣接觸到有問題的牙齒會感覺牙痛,平時說話時不要張大嘴巴講話,打哈欠的時候捂著點嘴,都可以避免出現牙齒劇痛。
15、冰敷法,取一塊冰塊,壓在拇指與食指骨頭相連的“V”字地帶;5~7分鐘,此法能幹擾牙痛神經的衝動傳導,減輕牙痛。也!可以在最靠近牙痛部位的臉頰;進行冰敷。每次冰敷15分鐘,一天至少3~4次。
16、漱口法,一定要及時清除口中的食物殘渣和軟垢。如果食物殘渣嵌入牙縫,可含一口溫水用力i漱口,如果無效,可使用牙線剔除。
日常護理
(1)發現蛀牙,及時治療。
(2)睡前不宜吃糖、餅乾等澱粉之類的食物。
(3)宜多吃清胃火及清肝火的食物,如南瓜、西瓜、荸薺、芹菜、蘿卡等。
(4)忌酒及熱性動火食品。
(5)脾氣急躁,容易動怒會誘發牙痛,故宜心胸豁達,情緒寧靜。
(6)保持大便通暢,勿使糞毒上攻。
(7)勿吃過硬食物,少吃過酸、過冷、過熱食物。

