病因
智齒冠周炎臨床表現
智齒冠周炎常發生於18~25歲的青少年,以下頜多見,有急性、慢性之分。急性炎症
在急性炎症初期,患者僅感患處輕微脹痛不適,當咀嚼、吞咽、開口活動時疼痛加重。如病情繼續發展,局部可呈自發性跳痛,並可放散至同側的頭面部。炎症侵及咀嚼肌時,可引起不同程度的開口受限。檢查可見齦瓣紅腫糜爛,有明顯觸痛,壓迫齦袋可有膿液溢出。全身可出現不同程度的畏寒、發熱、頭痛、大便秘結等症狀。慢性炎症
慢性智齒冠周炎臨床上多無明顯症狀,僅有患處輕微壓痛不適。當抵抗力下降時,常致急性發作。急性冠周炎進一步加重,可引起鄰近組織器官或筋膜間隙的感染。檢查
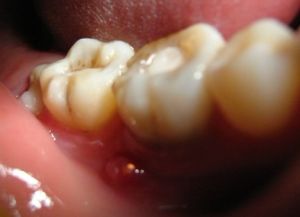
1、檢查可見下頜第三磨牙萌出不全、有齦瓣覆蓋、盲袋形成。牙冠周圍軟組織紅腫、齦瓣邊緣糜爛、盲袋內有膿性分泌物。有時可形成冠周膿腫,出現頜面腫脹,同側頜下淋巴腫大,壓痛。2、X線牙片檢查能發現阻生智齒的存在及其阻生的形態、位置。
3、化驗檢查急性化膿性冠周炎期常有程度不同的白細胞總數增高、中性粒細胞比例上升。
診斷鑑別
診斷
1、多發生於年輕人,尤以18~25歲最多見。有全身誘發因素或反覆發作史。2、急性冠周炎早期,一般無明顯全身反應,患者自覺患區脹痛不適,咀嚼、吞煙、張口活動時疼痛加劇。檢查可見阻生牙和磨牙後區腫脹、冠周袋內有膿性分泌物。
3、炎症進一步發展,累及咬肌和翼內肌,出現下頜角區腫脹,伴有不同程度的張口受限甚至不能開口。全身症狀明顯,常有頜下淋巴結腫大和壓痛。如未及時合理治療,可發展為冠周膿腫、頜面部蜂窩組織炎甚至骨髓炎。
4、慢性冠周炎可在下頜第一磨牙頰側形成瘺管,或在咬肌前緣形成皮瘺。5、下頜智齒冠周炎合併下頜第一磨牙頰側前庭溝處牙齦瘺應與下頜第一磨牙根尖周病變所引起的頰側瘺道相鑑別。前者第一磨牙臨床檢查無確切病損且其X線牙片也無根尖周病變,但有阻生智齒存在及紅腫史。後者第一磨牙有齲病、牙髓病及根尖周破壞。
鑑別
1、下頜智齒冠周炎合併下頜第一磨牙頰側前庭溝處牙齦瘺應與下頜第一磨牙根尖周病變所引起的頰側瘺道相鑑別。前者第一磨牙臨床檢查無確切病損且其X線牙片也無根尖周病變,但有阻生智齒存在及紅腫史。後者第一磨牙有齲病、牙髓病及根尖周破壞。2、第三磨牙區惡性腫瘤,該區域的惡性腫瘤雖然常伴發炎症,但畢竟是以增生為主的腫塊,且為實質性浸潤包塊,X線攝片檢查可見局部骨組織溶解性破壞。

