流行病學
急性左心衰竭儘管一些重要的心血管病如冠心病、高血壓病的發病率與病死率有所下降,但是心衰的發病率卻在升高。Framingham 地區對5192 例男女隨訪20 年,發現男性心衰發病率為3.7%,而女性為2.5%。美國經國家心肺血液研究中心診斷的心衰患者超過200 萬,每年新診斷的急性心衰病例大約40 萬。
疾病病因
1、與冠心病有關的心肌梗死,特別是急性廣泛前壁心肌梗死、乳頭肌和腱索斷裂、室間隔破裂穿孔等;
2、感染性心內膜炎引起的瓣膜穿孔、腱索斷裂所致瓣膜性急性反流;
3、其他:高血壓血壓急劇升高,原有心臟病基礎上快速性心律失常或嚴重緩慢性心律失常;輸血、輸液過多、過快等。
病理生理
本病的病理生理基礎為心臟收縮力突然嚴重減弱,心排血量急劇減少,或左心室瓣膜性急性反流,舒張末壓迅速升高,肺靜脈回流不暢,由於肺靜脈壓快速升高,肺毛細血管楔壓隨之升高,使血管內液體滲透到肺間質和肺泡內形成急性肺水腫。肺毛細血管部位的液體交換和體循環中毛細血管液體交換的原理是一致的,血液的膠體滲透壓和肺泡組織的壓力是阻止液體外滲的力量,而肺毛細血管壓則是液體外滲的主要力量,肺淋巴管的膠體滲透壓是清除外滲液體的力量。在膠體滲透壓變化不大的情況下,肺毛細血管壓的高低則是決定液體是否外滲的主要因素。肺循環較之體循環是一個低壓系統,肺毛細血管平均壓為7.5~1.0mmHg,而膠體滲透壓約為27mmHg,因此有利於保持液體不外滲到肺間質或肺泡中去。左心室功能不全時,左室舒張期末壓增高,與之相關的左房壓和肺毛細血管壓也相應地增高,如肺毛細血管平均壓上升到25mmHg,就達到臨界值,超過此值,滲出血管外的液體已不能被淋巴管充分移去,則開始在肺間質蓄積,進而外滲到肺泡內,形成肺水腫。
症狀體徵
X線檢查1、端坐呼吸:是急性左心衰竭的特有體徵。表現為平臥時呼吸急促,斜臥位時症狀可明顯緩解。嚴重時,患者被迫採取半坐位或坐位,故稱端坐呼吸。最嚴重的病例,常坐在床邊或靠背椅上,兩腿下垂,上身向前彎曲,藉以增強呼吸肌的作用。這是一種減輕肺淤血的代償機制。正常人平臥時,肺活量平均下降5%,而端坐呼吸的患者,平臥時肺活量平均下降25%,說明肺淤血和肺僵硬度更為加重。引起呼吸困難的機制是:
①肺毛細血管壓的增高刺激位於血管床旁的迷走神經纖維,反射性地興奮呼吸中樞產生丘-柯反射(Churchill-Cope reflex),使呼吸增快。
②肺血增多,肺毛細血管床體積增大,使肺泡的體積相應的減小,肺的順應性降低,亦即吸氣時需要更大的負壓才能使肺泡膨脹,呼氣時需求較大的正壓才能使肺泡萎陷,因而呼吸肌需要額外地加強工作。
③肺毛細血管床的增大,壓迫小支氣管,使通氣阻力增加。患者被迫坐起後,由於血液的重新分布,肺循環血量減少,症狀隨之緩解。
2、夜間陣發性呼吸困難:是急性左心衰竭肺淤血或慢性肺淤血急性加劇的臨床表現。陣發性呼吸困難分兩類: ①急性左心衰竭引起的,以左心衰竭為主,較多見。②二尖瓣狹窄所引起的,以左心房衰竭為主。但臨床表現兩者相同。典型者均發生在夜間平臥後或熟睡數小時後突然憋醒,被迫坐起,呼吸急促或伴有咳嗽。輕者,坐起後數分鐘可緩解;重者伴咳嗽、咳泡沫痰和哮喘,稱為心源性哮喘。陣發性呼吸困難發生的機制是睡眠1~2h 後,身體水腫液被逐漸吸收,靜脈回流增加,使患者心臟容量負荷加重,夜間睡眠時呼吸中樞不敏感,待肺部淤血和缺血達到一定程度時才出現急促的呼吸。心源性哮喘發作時,動脈壓升高,肺動脈壓和毛細血管壓也升高,如果升高的動脈壓突然下降則是惡兆。
二、急性肺水腫 急性肺水腫是肺毛細血管壓急劇而且持續增高的結果,較之以上兩種呼吸困難有了質的變化,即毛細血管內液體大量外滲而不能被淋巴組織所吸收。液體首先外滲到肺間質,使肺泡受擠壓,縮小了氣體交換的有效面積,同時使肺的順應性降低,導致重度呼吸困難。肺間質的液體還可以壓迫細支氣管,進一步使呼吸困難加重,發出有如哮喘的哮鳴音,稱為“心源性哮喘”。凡是左室舒張期末壓、左房壓和肺毛細血管壓力升高超過30mmHg 者即可發生肺水腫。根據肺水腫的發展過程和臨床表現,可將其分為以下5 期:
1、發病期:症狀不典型,患者呼吸短促,有時表現為焦慮不安。體檢可見皮膚蒼白濕冷、心率增快。X 線檢查見肺門附近可有典型薄霧狀或“蝴蝶狀”陰影。
2、間質性肺水腫期:有呼吸困難,但無泡沫痰。端坐呼吸、皮膚蒼白,常有發紺。部分患者可見頸靜脈怒張,肺部可聞及哮鳴音,有時伴有細濕囉音。
3、肺泡內肺水腫期:有頻繁咳嗽、極度呼吸困難、咳粉紅色泡沫樣痰等症狀。雙肺滿布大中水泡音伴哮鳴音。
4、休克期:血壓下降、脈搏細速、皮膚蒼白、發紺加重、冷汗淋漓、意識模糊。
5、臨終期:呼吸與心律嚴重紊亂,瀕於死亡。根據心臟排血功能減退的程度、速度和持續時間的不同,以及代償功能的差別還可有下列不同表現:
三、心源性暈厥 由於心臟本身排血功能減退,心排血量減少引起腦部缺血、發生短暫的意識喪失,稱為心源性暈厥。暈厥發作持續數秒時可有四肢抽搐、呼吸暫停、發紺等表現,稱為阿-斯綜合徵。發作大多短暫,發作後意識常立即恢復。主要見於急性心臟排血受阻或嚴重心律失常。
四、心源性休克 由於心臟排血功能低下導致心排血量不足而引起的休克,稱為心源性休克。心排血量減少突然且顯著時,機體來不及通過增加循環血量進行代償,但通過神經反射可使周圍及內臟血管顯著收縮,以維持血壓並保證心和腦的血供。臨床上除一般休克的表現外,多伴有心功能不全,肺楔嵌壓升高,頸靜脈怒張等表現。左心衰竭常見的體徵有:
①交替脈:節律正常而交替出現一強一弱的脈搏。隨著心力衰竭加重,交替脈可在觸診周圍動脈時被檢出。其發生機制為:A. 參與心室每搏收縮的心肌纖維多少不同。弱脈時乃因部分心肌處於相對不應期,參與心室收縮的心肌纖維少,心肌收縮力較弱,而下次收縮時,全部心肌均處於反應期,參與心室收縮的心肌纖維多,搏出量多,故脈搏強。B.由於各次心肌舒張程度不等所致。
②室性奔馬律:是左心衰竭的常見體徵,於左側臥位時心尖部或心尖內側最易聽到,呼氣時增強。
③肺部囉音:開始時肺部可無囉音或僅有哮鳴音,但很快於兩肺底部出現濕性囉音,且由下而上迅速布滿整個肺部,嚴重時全肺均有粗大的囉音,有如沸水的水泡音。
臨床診斷
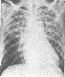
心臟解剖圖2、有急性肺水腫表現,如突然胸悶、氣急、端坐呼吸、面色蒼白、口唇發紺、陣咳、咯出大量粉紅色泡沫痰、嚴重時咯血,聽診兩肺有廣泛濕性囉音和哮鳴音;x線檢查可見以肺門為中心的蝴蝶狀陰影。
3、伴發心源性休克時有煩躁、出汗、發紺、四肢發涼、心率快、血壓下降、尿量減少。
4、可有心源性昏厥(因心排血量急劇減少所致的急性腦缺血)、一過性黑矇、短暫意識喪失,乃至抽搐。
5、血流動力學監測,左室舒張末期壓力增高,肺嵌頓壓(PWI)>1.6kPa(12mmHg),心臟指數(CI)20s,心電圖Ptfv1負值增大(<-0.03mm/s)。
輔助檢查
1、X 線胸片 可見肺門有蝴蝶形態片狀陰影並向周圍擴展的肺水腫徵象,心界擴大,心尖搏動減弱等。
2、心電圖 竇性心動過速或各種心律失常,心肌損害,左房、左室肥大等。
鑑別診斷
檢查1、支氣管哮喘 心源性哮喘與支氣管哮喘均有突然發病、咳嗽、呼吸困難、哮喘等症狀,兩者處理原則有很大的區別。支氣管哮喘為氣道阻力反應性增高的可逆性阻塞性肺部疾病,患者常有長期反覆哮喘史或過敏史。青年人多見。支氣管哮喘咳嗽常無痰或為黏稠白痰,合併感染時咳黃痰,常有肺氣腫體徵,除非合併肺炎或肺不張,一般無濕性囉音,心臟檢查常正常。肺功能檢查有氣道阻力增大,血嗜酸細胞增多(嗜酸細胞計數常>250~400/μl)。
2、成人呼吸窘迫綜合徵(ARDS) ARDS 也稱為休克肺、濕肺、泵肺、成人肺透明膜病等。發病時有呼吸困難、發紺、肺部濕性囉音、哮鳴音等易與急性左心衰混淆。ARDS 一般無肺病史,能直接或間接引起急性肺損傷的疾病過程均可引起該綜合徵。常見的疾病為肺部外傷、溺水、休克、心肺體外循環、細菌或病毒性肺炎、中毒性胰腺炎等。常在原發病基礎上發病,或損傷後24~48h 發病,呼吸困難嚴重但較少迫使端坐呼吸,低氧血症呈進行性加重,普通氧治療無效或效果差。雖有哮喘伴肺部濕囉音,心臟檢查無奔馬律及心臟擴大和心臟器質性雜音等。心源性哮喘治療措施常無明顯效果,漂浮導管示肺毛楔嵌壓<15mmHg(1.99kPa)。呼氣末正壓通氣輔助治療有效。ARDS 常合併多器官衰竭。
治療方案
中藥治療一、一般措施
1、立即讓患者取坐位或半坐位,兩腿下垂或放低,也可用止血帶結紮四肢,每隔15min 輪流放鬆一個肢體以減少靜脈回流,減輕肺水腫。
2、迅速有效地糾正低氧血症:立即供氧並消除泡沫,可將氧氣先通過加入40%~70%濃度酒精濕化瓶後吸入,也可用1%矽酮溶液代替酒精,或吸入二甲矽油去泡氣霧劑,降低肺泡內泡沫的表面張力使泡沫破裂,改善肺通氣功能。一般情況下可用鼻導管供氧,嚴重缺氧者亦可採用面罩高濃度、大劑量吸氧(5L/min),待缺氧糾正後改為常規供氧。
3、迅速建立靜脈通道:保證靜脈給藥和採集電解質、腎功能等血標本。儘快送檢血氣標本。
4、心電圖、血壓等監測:以隨時處理可能存在的各種嚴重的心律失常。
二、藥物治療
1、硫酸嗎啡:立即皮下或肌內注射嗎啡5~10mg(直接或生理鹽水稀釋後緩慢靜脈注射),必要時也可靜注5mg;或哌替啶(度冷丁)50~100mg 肌注。業已證實,嗎啡不僅具有鎮靜、解除患者焦慮狀態和減慢呼吸的作用,且能擴張靜脈和動脈,從而減輕心臟前、後負荷,改善肺水腫。對高齡、哮喘、昏迷、嚴重肺部病變、呼吸抑制和心動過緩、房室傳導阻滯者則應慎用或禁用。
2、洋地黃製劑:常首選毛花苷C(西地蘭),近期無用藥史者,0.4~0.6mg稀釋後緩慢靜脈注射。洋地黃對壓力負荷過重的心源性肺水腫治療效果好,如主動脈狹窄、高血壓等。對伴有快速心房顫動的二尖瓣狹窄急性肺水腫更具救命效益。並快速型房顫或室上性心動過速所致左房衰應首選毛花苷C,也可酌用β受體阻滯藥。
3、利尿藥:應立即選用快作用強利尿藥,常用髓袢利尿藥,如靜注呋塞米(速尿)20~40mg 或布美他尼(丁尿胺)1-2mg,以減少血容量和降低心臟前負荷。
4、血管擴張藥:簡便急救治療可先舌下含服硝酸甘油0.5mg,5~10min/次,最多可用8 次。若療效不明顯可改為靜脈滴注血管擴張藥,常用製劑有硝酸甘油、硝普鈉、酚妥拉明等。若套用血管擴張藥過程中血壓<90/40mmHg(12/5.3kPa),可加用多巴胺以維持血壓,並酌減血管擴張藥用量或滴速。
5、氨茶鹼:250mg 加於5%葡萄糖液20ml 內緩慢靜注,或500mg 加於5%葡萄糖液250ml 內靜滴,尤適用於有明顯哮鳴音者,可減輕支氣管痙攣和加強利尿作用。
6、腎上腺皮質激素:具有抗過敏、抗休克、抗滲出,降低機體應激性等作用。一般選用地塞米松10~20mg 靜脈注射或靜脈點滴。對於有活動性出血者應慎用或禁用。如為急性心肌梗死,除非合併心臟阻滯或休克,一般不常規套用。
7、多巴胺和多巴酚丁胺:適用於急性左心衰伴低血壓者,可單獨使用或兩者合用,一般應中、小劑量開始,根據需要逐漸加大用量,血壓顯著降低者可短時聯合加用間羥胺(阿拉明),以迅速提高血壓保證心、腦血液灌注。
三、治療原發病、消除誘因 如高血壓者採用降壓措施,快速異位心律失常要糾正心律失常;二尖瓣狹窄者施行緊急二尖瓣球囊成形術或二尖瓣分離術。
四、機械輔助呼吸機的套用 用面罩法連續氣道正壓吸氧治療,可用於各種原因嚴重急性左心衰,安全、有效。
護理診斷
手術治療2、氣體交換受損:與急性肺水腫有關;
3、恐懼:與窒息感、呼吸困難有關 ;
4、活動無耐力:與心搏出量減少、呼吸困難有關;
5、清理呼吸道無效:與大量泡沫樣痰有關;
6、體液過多:下肢水腫:與體循環淤血有關;
7、潛在併發症:心源性休克、猝死、洋地黃中毒;
護理措施
運動保健2、 一般護理:a、體位、坐位、兩腿下垂減少→回心血量減少 b、休息;c、飲食:低鹽、低脂易消化,多維生素(含鉀、含鎂)、多纖維素;
3、吸氧:6-8升/分、加20—30%酒精;
4、藥物治療: a、鎮靜:安定5~10毫克、杜冷丁50~100毫克、嗎啡5~10毫克皮下注射。b、強心劑:西地蘭0.2~0.4mg靜脈推,增強心肌收縮力→使心排血量增加; c、利尿:速尿20~40毫克;d、血管擴張劑: 硝酸甘油:5~10毫克靜脈滴注。e、氨茶鹼: 0.25mg靜脈推,除了擴張支氣管的作用外,可直接興奮心肌,緩解支氣管痙攣,加強利尿、強心、擴血管藥物的作用。f、激素:Dxm10~20mg靜脈推。降低外周阻力→回心血量下降→解除支氣 管痙攣;
5、記錄24小時出入量;
6、加強皮膚及口腔的護理;
7、保持大便通暢:腹內壓增加→心臟副負擔加重→心肌缺氧加重;又由於迷走神經張力過高,反射性引起心律失常→危及生命;
8、 控制靜脈補液速度:20~30滴/分;
9、 密切觀察病情變化:a、生命體徵、紫紺及肺內體徵變化;b、洋地黃類藥物的毒性反應。
出院指導
1、飲食指導:低熱量、易消化飲食;少食多餐、晚餐不宜過飽避免發生 夜間左心功能不全,適當限制水分→增加循環血量→心臟負擔。服用利尿劑尿量多時多吃紅棗、橘子、香蕉、韭菜等含鉀高的食物,適當補鉀。
2、休息、活動指導:保證充足的睡眠,協助日常生活,根據心功能情況指導活動,避免長期臥床發生靜脈血栓、體位性低血壓。
3、繼續治療,合理安排工作、生活,儘量避免誘因;
(心功能分級)Ⅰ級:體力活動不受限制,日常活動不症狀 Ⅱ級:體力活動不受限制,休息時無症狀,日常活動即可引起上述症狀。 Ⅲ級:體力活動明顯受限,體力活動不受限制,輕於日常活動即可引起上述症狀。 Ⅳ級:不能從事任何體力活動,休息時也有症狀,體力活動後加重。
併發症
可並發心源性休克、多器官功能衰竭、電解質紊亂和酸鹼平衡失調等。
1、心源性休克 急性左心衰由於短期內心排血量顯著、急驟降低,其中50%伴有對容量負荷沒有反應的嚴重的右室損害,使血壓下降、周圍循環灌注不足,出現心源性休克。
2、多器官功能衰竭 急性心功能不全尤其是心源性休克可致重要臟器急性缺血、缺氧及功能障礙。腎、腦、肝等器官來不及代償可出現多器官功能衰竭,而多器官功能衰竭又使心功能進一步惡化。
3、電解質紊亂和酸鹼平衡失調 由於使用利尿藥、限鹽、進食少及患者常有噁心、嘔吐、出汗等,可導致低鉀血症、低鈉血症、低氯性代謝性鹼中毒和代謝性酸中毒。
預後
急性心衰的近期預後與基礎病因、心功能惡化程度及搶救是否及時、合理等因素有關。由於某些因素,如血壓急劇升高,嚴重心律失常,輸液過多及過快等原因造成的急性左心衰較易控制,預後相對較好。急性心肌梗死造成的急性心衰,心源性休剋死亡率較高。心臟瓣膜病合併急性左心衰病死率高。62%二尖瓣狹窄患者死於急性心衰。70%主動脈瓣狹窄患者死於急性左心衰。心肌疾病出現急性左心衰後大多逐漸發展為頑固心衰,預後甚差。
預防
1、及時控制或祛除心內外的感染病灶,控制由溶血性鏈球菌所致的扁桃體炎等感染灶;預防和控制風濕活動;積極預防和控制感染性心內膜炎、呼吸道感染及其他部位的感染。
2、迅速糾正心律失常 :當心臟病患者發生心律失常時,應迅速給予糾正,異位心律恢復至正常竇性心律,或使過緩、過速的心室率控制在安全範圍,以防止心衰的發生。
3、糾正水電解質紊亂及酸鹼平衡失調。
4、治療貧血並消除出血原因。
5、避免輸液過多、過快。
6、停用或慎用某些抑制心肌收縮力的藥物。
7、其他 避免過度勞累、情緒激動。過度肥胖者應控制飲食。
保健貼士
1、及時控制或祛除心內外的感染病灶,控制由溶血性鏈球菌所致的扁桃體炎等感染灶;
2、預防和控制風濕活動;
3、積極預防和控制感染性心內膜炎、呼吸道感染及其他部位的感染。
4、當心臟病患者發生心律失常時,應迅速給予糾正,異位心律恢復至正常竇性心律,或使過緩、過速的心室率控制在安全範圍,以防止心衰的發生。
5、糾正水電解質紊亂及酸鹼平衡失調,避免輸液過多、過快,避免過度勞累、情緒激動。過度肥胖者應控制飲食。

