念珠菌性骨髓炎病因
念珠菌性骨髓炎症狀
深部真菌病是指致病真菌不僅侵犯皮膚、黏膜而且侵犯深入部組織和內臟所致的疾病。真菌廣泛分布於自然界,某些真菌可以感染人體而致病。致病真菌分為兩大類:①原發病原菌:如組織胞漿菌、新型隱球菌、芽生菌等。②條件致病菌:如念珠菌、麴黴菌、毛黴菌等。深部真菌病常為繼發感染,多在糖尿病、血液病、惡性腫瘤、大面積燒傷、嚴重營養不良或其他慢性消耗性疾病的基礎上發病。或長期套用抗生素、糖皮質激素、免疫抑制劑、使機體內菌群失調或抑制了機體的免疫反應而誘發。念珠菌病是由數種念珠菌引起的級別,本病多見於兒童,有的自嬰兒發病後長期潛伏至成人時再發病,最常見引起人類疾病的念珠菌是白色念珠菌。診察方法
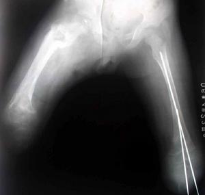
除了一般的理學檢查以外,有時因病情需要必須做一些檢驗,例如:驗血’照X-光若醫師懷疑骨髓炎的可能,會建議住院做進一步檢查與治療,有時因初始症狀輕微,而所有檢驗也在正常的範圍內,但醫師基於經驗及專業判斷,強烈懷疑骨髓炎時,也會給予注射抗生素,以免因不明顯的潛伏期(事實上細菌一直不停的繁殖,持續破壞骨骼,只是外表看不出來罷了)而空做等待,使病情更為惡化;因為等x-光出現骨骼破壞變化時往往已經太遲,很多家長不了解這種情形,往往會懷疑醫師的醫術,小則要求轉院,大則興師問罪,委實替有心之醫療人員澆了一盆冷水,甚至因此採取消極保守的治療方式,不但造成醫病關係的緊張,也易使病情更進一步惡化,實在得不償失!其實這也是嬰幼兒骨髓炎既特別又令人莫可奈何之處!
