簡介
嗜鹼粒細胞(basophilicgranulocyte)在瑞氏染色血塗片中,胞質呈極淺棕紅色,核為腎形或分葉形(1~4葉),被顆粒所遮蓋,核的輪廓常不清,顆粒為嗜鹼性且具異染色,呈紫色,直徑0.1~2.0微米。在電鏡下胞質內有較發達的高爾基體和少數線粒體和核蛋白,糖原顆粒等。嗜鹼粒細胞的作用不詳,當受一定刺激時,嗜鹼性顆粒向細胞外釋放其所含的組織胺、過敏嗜酸粒細胞趨化因子和過敏慢反應物(後者不是預先貯存於顆粒中,是在釋放時形成的)等活性因子,引起哮喘、蕁麻疹、食物過敏等各種過敏反應的症狀,同時嗜酸粒細胞趨化、聚集於這一局部。
詳細
嗜鹼粒細胞性白血病(basophilic leukemia)為一種少見類型的急性白血病。1906年首例報導。它占全部白血病病例的1。6%,占急性白血病的4 .5%,可發生於任何年齡。臨床表現同急性粒細胞性白血病,常有嚴重貧血、發熱、出血等,但無明顯的肝、脾、淋巴結腫大,病程較短,預後不良,存活期一年左右,多死於顱內出血。
(一)血象
常有中~重度貧血,屬正常細胞正常色素性。
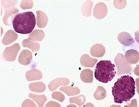
白細胞數正常或增高,嗜鹼粒細胞可達30%~80%,伴有一定數量的幼稚型嗜鹼粒細胞,塗片中可見幼紅細胞。
血小板數常減少。
(二)骨髓象
增生明顯活躍。
粒系增生為主,各階段嗜鹼粒細胞可高達80%或更高,以原粒及嗜鹼性早幼粒細胞為主,偶見Auer's 小體。
巨核細胞常減少。
(三)細胞化學染色
PAS、SBB、POX、ACP、ANAE、特異性酯酶均呈陽性反應。甲苯胺藍染色呈強陽性反應。診斷本病須慎重,必須排除慢粒急變而伴嗜鹼粒細胞增多等情況。

