流行病學
肺炎克雷白桿菌是重要的醫院內感染病原菌據報導,肺炎克雷白桿菌在臨床標本中分離的革蘭陰性桿菌中占第二位,僅次於銅綠假單胞菌;痰標本中最多,尿次之。正常人口咽部肺炎克雷白桿菌的帶菌率1%~5%,結腸帶菌率約為5%~35%。使用抗生素的患者糞便中細菌的檢出率增加有人報導使用過抗生素的300份糞便標本中有43%有肺炎克雷白桿菌生長。帶菌者和患者是最為重要的傳染源。當人體的抵抗力下降時,正常帶菌者可以發生局部或全身感染,稱之為內源性感染;此外,在醫院,細菌可以通過患者間工作人員和患者間的接觸、人工呼吸器等醫療用具而傳播。長期住院、手術、留置導尿管以及原發疾患等,引起患者全身或局部防禦免疫功能減退是重要誘因。此外,醫護人員帶菌的手也是造成細菌傳播的重要途徑。鼻硬結克雷白桿菌所致慢性肉芽腫性硬結症多見於歐洲中部及東南部印度和中美洲。病因
克雷白桿菌屬目前是除大腸桿菌外最重要的條件致病菌與沙雷菌屬、腸桿菌屬與哈夫尼亞菌生化反應很相似,某些胺基酸脫羧酶試驗有助於鑑別。克雷白桿菌屬可分五個種,即肺炎克雷白桿菌(K.pneumoniae)、產酸克雷白桿菌(R.oxytoca)、解鳥氨酸克雷白桿菌(K.ornithinolytica)植生克雷白桿菌(K.planticola)和土生克克雷白桿菌(K.terrigena)。其中肺炎克雷白桿菌又可分3個亞種:肺炎亞種(subsp.pneumoniae)、臭鼻亞種(subsp.ozaenae)和鼻硬結亞種(subsp.rhinoscleromatis)。在臨床分離到的克雷白桿菌屬中肺炎克雷白桿菌占80%以上,是本屬中最為重要和常見的病原菌本菌為長1~2μm,寬0.5~0.8μm的粗短桿菌,可產生莢膜,無芽孢無動力,常見端對端的成對發育。莢膜為不含氯的多糖物質,較厚,作革蘭染色即可觀察到但以印度墨汁染色法較易觀察。本菌最適生長溫度為37℃,可在12~43℃範圍生長,55℃ 30min可被滅活。在鑑別培養基上因發酵乳糖而現有色菌落;在固體培養基上則可因產生大量莢膜物質而呈灰白色黏腖樣菌落菌落易互相融合,以接種環挑之易拉成絲;而在肉湯中培養數天后液體明顯黏稠。克雷白桿菌具有菌體抗原O和莢膜抗原K,按莢膜抗原K的成分,肺炎克雷白桿菌可分為80個型,肺炎亞種大多屬於莢膜3及12型;臭鼻亞種有4,5,615等型以4型最常見;鼻硬結亞種則多為3型。克雷白桿菌毒力較強極少量的肺炎克雷白桿菌(100個細菌)注射於小鼠腹腔即可引起小鼠死亡。本菌適應性強,能很快適應宿主環境而生存對各種抗生素易產生耐藥性,是產超廣譜β內醯胺酶率最高的細菌之一,常同時對多種抗生素耐藥。此種耐藥性可以為染色體介導,亦可通過耐藥質粒的傳播在醫院某些病房內造成感染局部流行。發病機制
克雷白桿菌所致的肺炎可分為原發性肺炎和繼發性肺炎。兩者的界線有時頗難分清,一般認為在原有肺部感染性疾病的基礎上,在一定致病條件下發生本菌的感染為繼發性。克雷白桿菌的毒力可能與其莢膜有關,莢膜可以抑制巨噬細胞的趨化、吞噬作用,但確切的發病機制尚未完全闡明本屬細菌感染的病理特點是細菌生長繁殖快,在各臟器可形成單發或多發膿腫,滲出液中含大量帶有莢膜的革蘭陰性桿菌。肺炎克雷白桿菌引起的原發性大葉性肺炎以老年患者、酒精中毒以及患有糖尿病、癌腫、血液病等嚴重原發疾患者為多病理變化與肺炎球菌所致者不同肺泡壁常壞死、液化,形成單個或多個膿腔。肺泡內含大量血性黏稠痰。膿腔表面多有纖維蛋白滲出物覆蓋,早期即易發生胸膜粘連。膿胸的發生率約為25%較肺炎球菌肺炎為高。病灶消散常不完全,引起纖維增生、殘餘性化膿性病灶或支氣管擴張。肺炎克雷白桿菌感染占醫院內感染的10%,常見者如尿路感染呼吸道和傷口感染等。敗血症病例中肝、腎、腦等均可出現多發性化膿病灶以及胸腔、心包腔積膿等。病變在結腸者尚可引起假膜性腸炎,偶可致穿孔和瀰漫性腹膜炎。硬鼻結亞種和臭鼻亞種的致病性尚未完全闡明,前者可引起慢性肉芽腫性硬結症後者可能與鼻黏膜和鼻甲萎縮所致的臭鼻症有關,是一種機會感染。臨床表現
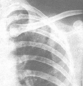
克雷白桿菌屬感染1.呼吸道感染 肺炎克雷白桿菌是呼吸道感染最常見的致病菌之一。在痰標本所得革蘭陰性桿菌中占第二位,僅次於銅綠假單胞菌國外報告有的占首位。醫院內交叉感染常導致細菌在咽部寄殖繼引起支氣管炎或肺炎。長期住院、套用抗菌藥物等使患者咽部肺炎桿菌細菌下行而引起支氣管及肺部感染。肺炎克雷白桿菌引起的急性肺炎與肺炎鏈球菌肺炎相似起病急,常有寒戰高熱、胸痛、痰液黏稠而不易咳出痰呈磚紅色或深棕色(25%~50%),也可為血絲痰和鐵鏽色痰。部分患者有明顯咯血體檢可發現患者呈急性面容、呼吸困難、發紺,少數患者可出現黃疸、休克。2/3患者體溫在39~40℃間,口唇皰疹不常見,肺部有實變體徵,有濕性囉音。X線表現多變可有大葉實變、小葉浸潤和膿腫等表現大葉實變多位於上葉,由於炎症滲出液多而黏稠,故葉間裂常呈弧形下墜。炎症浸潤也比其他肺炎濃密,邊界銳利,16%~50%的患者有肺膿腫形成。少數呈支氣管肺炎或兩側肺外周浸潤,有時也可呈兩側肺門旁浸潤。本病早期即常有全身衰竭,預後較差,病死率約50%,發生廣泛肺壞疽者則預後更差。肺炎克雷白桿菌肺炎可表現為慢性病程,也可由急性延續成慢性,呈肺膿腫、支氣管擴張與肺纖維化的臨床表現。
2.敗血症 國外報導肺炎克雷白桿菌敗血症占革蘭陰性桿菌敗血症中的第二位,僅次於大腸桿菌。絕大多數患者均有原發疾病和(或)使用過廣譜抗菌藥物免疫抑制劑或抗代謝藥物等。最常見的誘因是手術,入侵途徑有呼吸道尿路、腸道、腹腔、靜脈注射及新生兒臍帶等;染菌的靜脈輸液引起者可引起局部小流行。病情兇險除發熱、畏寒外,有時可伴發休克、黃疸。發熱多呈弛張熱也可呈雙峰熱型。遷徙性病灶可見於肝、腎、肺、骨骼、髂窩、腦膜及腦實質等,病死率30%~50%。
3.化膿性腦膜炎 肺炎克雷白桿菌引起化膿性腦膜炎者日見增多,在革蘭陰性菌腦膜炎中呈第二位。多見於腦外傷或腦手術後,新生兒也可發生,預後甚差。起病隱匿,常有發熱頭痛、頸項強直等腦膜炎症狀和體徵,可出現顱內高壓症狀腦脊液中白細胞及中性粒細胞增多,蛋白定量增高,糖和氯化物定量下降,塗片可發現含莢膜的革蘭陰性桿菌,培養陽性可確立診斷。老年患者常合併有敗血症存在,病死率高。
4.尿路感染 據報導尿路感染中肺炎克雷白桿菌引起者占第三位。絕大多數患者有原發疾病如膀胱癌前列腺肥大、膀胱無力、尿道狹窄等,也可發生在惡性腫瘤或其他嚴重全身疾病的患者導尿留置導尿管或尿路器械檢查等是常見的誘因。經採用適當抗菌藥物治療後近期療效較好臨床表現與其他病原所致尿路感染相同。
5.其他 如手術後傷口感染或其他創面感染皮膚軟組織感染、腹腔感染、心內膜炎、骨髓炎、關節炎等,均可由克雷白桿菌引起。臨床表現與其他細菌所致的疾病類似,較易形成膿腫肺炎克雷白桿菌鼻硬結亞種可致慢性肉芽腫性硬結症,最常累及鼻腔、鼻竇、咽喉部、氣管及支氣管等部位。其組織學上可有壞死和纖維組織增生,可見到具特徵性的含革蘭陰性桿菌的泡沫狀細胞(即所謂mikulicz細胞)。肺炎克雷白桿菌臭鼻亞種(俗稱臭鼻桿菌)可引起鼻黏膜和鼻甲萎縮的臭鼻症,與硬結症不同的是,臭鼻症並非原發的細菌感染,還可能有其他因素參與其發病。
併發症:
並發支氣管炎、肺炎、肺膿腫、膿胞病等。
診斷
典型的肺炎克雷白桿菌肺炎常發生於中老年男性、長期飲酒的慢性支氣管肺病患者,有較典型的臨床表現和X線徵象,結合痰培養結果,不難診斷。但在有嚴重原發疾病基礎上的發病者,臨床表現多不典型,診斷較為困難。凡在原有疾病過程中出現高熱、白細胞和中性粒細胞增多X線胸片上出現新的浸潤病灶而青黴素治療無效者應考慮本病。連續2次或2次以上痰培養陽性,或胸腔積液血培養陽性可以確診多數敗血症患者的白細胞總數明顯增多嗜中性粒細胞增高;但血液病患者或用抗代謝藥物者白細胞數可不增加或反有減少。其他如尿路感染及腦膜炎患者的尿液及腦脊液均有相應變化。確診應根據細菌培養結果。 鼻硬結亞種所致慢性肉芽腫性硬結症,活組織檢查中找到Mikulicz細胞具確診價值。
鑑別診斷:
臨床應注意與肺炎鏈球菌感染相鑑別。
檢查
實驗室檢查:
白細胞和中性粒細胞增多,X線胸片上出現新的浸潤病灶而青黴素治療無效者應考慮本病。連續2次或2次以上痰培養陽性,或胸腔積液、血培養陽性可以確診多數敗血症患者的白細胞總數明顯增多,嗜中性粒細胞增高;但血液病患者或用抗代謝藥物者白細胞數可不增加或反有減少。其他如尿路感染及腦膜炎患者的尿液及腦脊液均有相應變化。
其它輔助檢查:
X線胸片上出現新的浸潤病灶。
治療
積極有效的抗生素治療是為克雷白桿菌感染治療的關鍵。本屬細菌耐藥現象嚴重,不同菌株之間對藥物的敏感性差異甚大故治療藥物的選用應以藥敏結果為準在未獲藥敏結果前根據病情可選用的藥物有:第二、三、四代頭孢菌素類;哌拉西林鈉、氨苄西林等廣譜青黴素類;其他β內醯胺類,如單環類的氨曲南,碳青黴烯類的亞胺培南/西司他丁鈉、美羅培南、帕尼培南/倍他米隆;β內醯胺類抗生素與β內醯胺酶抑制劑合劑,如舒他西林(氨苄西林-舒巴坦)、阿莫西林/克拉維酸鉀、哌拉西林/三唑巴坦鈉、替卡西林/克拉維酸鉀頭孢哌酮/舒巴坦等;慶大黴素、阿米卡星、異帕米星等氨基糖苷類;環丙沙星、氧氟沙星、左氧氟沙星等氟喹諾酮類藥物。肺炎克雷白桿菌多數對氨苄(羧苄)西林耐藥宜用頭孢菌素類合併氨基糖苷類治療。一般肺炎的療程需3~4周或更長,而敗血症與化膿性腦膜炎的臨床可能需6周以上。克雷白桿菌腦膜炎常伴有腦室炎,可選用慶大黴素等藥物行腦室內給藥,一次給藥後24h內大部分時間腦脊液藥物濃度能達到治療量的抗菌濃度4~6mg/L。此外,保持氣道通暢、氧療、維持水、電解質平衡、補充不夠的能量等支持療法也是治療的重要組成部分。鼻硬結克雷白桿菌和臭鼻克雷白桿菌感染據國外報導對氨基糖苷類抗生素、磺胺類藥物廣譜青黴素、頭孢菌素均敏感,可視病情選用;惟療程宜長,通常應在6~8周。
預後預防
預後:
在抗生素套用之前,肺炎克雷白桿菌肺炎的病死率達51%~97%,在抗生素治療下其病死率仍達20%~50%。若並發廣泛性肺壞疽,則病死率達100%。克雷白桿菌敗血症的病死率在30%~50%,並發休克或多器官功能衰竭的死亡率更高克雷白桿菌所致的化膿性腦膜炎預後亦欠佳。
預防:
提高人體免疫力特別對接受手術和侵襲性醫源性操作患者更要注意保護。醫療器械、呼吸機各類插管等都應嚴格消毒操作規範,防止醫源性或機會性感染。耐藥肺炎克雷白桿菌容易在同種或不同種屬的革蘭陰性桿菌之間傳播一旦發現耐ESBLs菌株後,應及時採取有效措施包括隔離感染者,防止耐藥菌株在醫院內尤其在重症監護病房中傳播。
