簡介
上下頜前突患者往往還伴有心理障礙矯治的設計,唇齒關係及鼻唇角是設計上頜手術的兩個重要參考指標。理想的唇齒關係是上切牙切端暴露於唇紅緣下方2~3MM,過長過少都會給人不美的感覺。理想的鼻唇角在90度~110度之間,上頜前突患者鼻唇角常呈銳角,上唇向上翹起,顯得短縮。根據上頜需要後退、上移的量選擇截骨的適當術式。
適應症
前部上下牙齒過度前突,上下唇閉合不全,咬合異常,開唇露齒,“兔牙”,“地包天”,鳥嘴畸形等。
手術方式
拔除影響牙槽弧度的多餘牙齒,一般為上下頜各兩顆,截除牙弓多餘骨塊,將門齒骨塊向後向內推移鏇轉,調整咬合關係。鈦板鈦釘固定。手術切口是口腔黏膜。
手術特點
上下頜前突,實質是頜骨的發育過度及不對稱。往往被誤認為是“牙突”,“牙長”,或歸咎為下頦短小後縮,於是很多人進行了口腔正畸治療,烤瓷牙美容,和假體隆下頦,而忽略了問題的根本所在。這些方法只能從視覺上淡化頜骨的缺點,卻無法從根本上改變它。尤其是成人後的正畸治療還會使牙齒鬆動,治療結束後效果反彈。而上下頜前突及偏頜整形手術卻能從根本上解決頜骨的發育異常,使面中下部包括上下唇,下頦的形態都有明顯的改善,並能取得突出鼻部立體感的意外收穫。
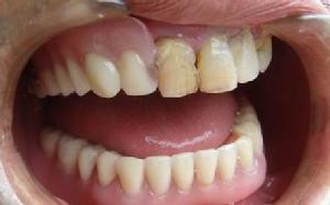
上下頜前突示意圖術前
上下頜前突術後可以咀嚼1、手術前兩周內,請勿服用含有阿斯匹林的藥物,因為阿司匹林會使得血小板凝固的功能降低;
2、患有高血壓和糖尿病的患者,應該在初診時翔實向醫生告知病情,以便應診大夫確認手術方案;
3、手術前確定身體健康,無傳染性疾病或其他身體炎症;
4、術前不要化妝;
5、女性要避開月經期。
術後
術後注意事項:
1、注意事項:術後可以咀嚼,但不能作啃,撕咬等動作三個月。
2、保證手術部位清潔;術後7天之內儘量避免手術部門沾水;
3、避免進食刺激性食物如辣椒等;
4、嚴格遵守醫生囑咐服藥及複診。
禁忌症
局部腫瘤,感染及不適應做麻醉的情況,心理異常,對手術要求過高且不符合實際的。
醫療美容科疾病
| 醫療美容,是現代醫學的組成部分,是以人體形式美理論為指導,運用手術、藥物、理化等方法,來維護、修復和再塑人體美。醫學美容學是醫學、美學與美容技藝三者相結合的產物,由多種臨床學科與某些非臨床學科相互交織而成,並以套用為特徵的醫學新學科。 |
