GARDNER綜合症診斷
內窺鏡及X線檢查可確定消化道息肉及骨瘤。並有結腸息肉、軟組織腫瘤和骨瘤三聯症即可確診。
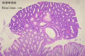
1.結腸多發性息肉;主要症狀有腹瀉、粘液便或血便,胃、十二指腸等消化道其它部位息肉並發率較高。
2.軟組織瘤:好發於面部、軀幹或四肢,多為皮脂腺囊腫、纖維瘤表皮囊腫,脂肪瘤等。
3.骨瘤:好發於頜骨、顎骨、蝶骨等扁平骨,尚可見齒髮育異常,如多齒、牙瘤,埋藏齒。
病因病理
本症為孟德爾顯性遺傳性疾病。Gardner最初的報告和隨訪資料提示該綜合症系由單一缺陷基因或幾個獨立的但卻
GARDNER綜合症本症與家族性大腸息肉病是否為同一遺傳性疾病尚有爭議,Mckusiek有證據表明,導致家族性息肉病的情況不同,本症是單一基因作用的結果。但Smith則認為,本症系任何一名多發性息肉患者存在的一系列可能出現的變化的一種表現。Bussey也認為,所有的腺瘤性息肉均可伴有程度不等的胃腸道外病變。牛尾恭輔等報告,家族性結腸腺瘤患者半數以上有潛在性骨腫瘤,特別是在下頜骨,在家族性結腸腺瘤手術及活檢時,可見上皮囊腫之類的軟組織腫瘤,所以兩疾患在本質上應是同一疾患。
Cole等人證實了在結腸息肉病患者的結腸黏膜中有質變細胞的複製。Alvin等人使用Deschner等人設計的結腸黏膜孵化技術證實了在本症患者中,利貝昆線表面細胞中的DNA、RNA和蛋白質形成的增加。儘管在本症中遺傳因子的作用已充分明確,但這一體質的人自身對環境致癌劑易感性的增加,也可導致黏膜上皮細胞的質變。
臨床表現
本症患者的表現,主要為消化道息肉病和消化道外病變兩大方面。
GARDNER綜合症1、消化道息肉病:息肉廣泛存在於整個結腸,數量可達100個以上;胃和十二指腸亦多見,但空腸和迴腸中較少見。息肉一般可存在多年而不引起症狀。通常在青壯年後才有症狀出現。初起可僅有稀便和便次增多,易被患者忽視;當腹瀉嚴重和出現大量黏液血便時,才引起患者重視,但此時息肉往往已發生惡變。
2.消化道外病變:主要有骨瘤和軟組織腫瘤等。
(1)骨瘤:本症的骨瘤大多數是良性的,從輕微的皮質增厚到大量的骨質增生不等,甚至可見有莖性的巨大骨瘤,多發生在顱骨、上領骨及下頜骨,四肢長骨亦有發生。並有牙齒畸形,如過剩齒、阻生齒、牙源性囊腫、牙源性腫瘤等。Fader將牙齒畸形稱為本症的第4特症。骨瘤及牙齒形成異常往往先於大腸息肉。
(2)軟組織腫瘤:有多發性皮脂囊腫或皮樣囊腫及纖維性腫瘤,也可見脂肪瘤和平滑肌瘤等。
上皮樣囊腫好發於面部、四肢及軀幹,是本症的特症表現。往往在小兒期即已見到。此特點對本症的早期診斷非常重要。纖維瘤常在皮下,表現為硬結或腫塊,也有合併纖維肉瘤者。硬纖維瘤通常發生於腹壁外、腹壁及腹腔內,多發生於手術創口處和腸系膜上。其與大腸癌的鑑別困難,切除後易復發,有時會招致輸尿管及腸管的狹窄。
(3)伴隨瘤變:如甲狀腺瘤、腎上腺瘤及腎上腺癌等。與家族性大腸息肉病相比無特症性表現。最近有報告本症多見視網膜色素斑,且在大腸息肉發生以前出現,為早期診斷的標誌之一。
必須注意的是:臨床上尚有一些不典型患者,有些僅有息肉病而無胃腸道外病變,而另一些僅有胃腸道外病變而無息肉病。
疾病檢查
1、視診:檢查面部、牙齒、甲狀腺、四肢有無異常,特別觀察有無皮脂囊腫、上皮樣囊腫、色素痣、齲齒、多發
GARDNER綜合症2、X線檢查:凡懷疑有骨瘤或骨質異常增生者應攝正側位片,以了解有無皮質增厚或骨質增生。胃腸鋇餐造影和鋇劑灌腸雙重對比造影,均有助於發現消化道內的可疑息肉。
Burkitt指出,飲食原因和腸運輸時間減緩可增加對結腸致癌劑的接觸,但據Watne報告,Gardner綜合症患者的腸運輸速率比對照組快3倍。
3、內窺鏡檢查:最好做纖維結腸鏡檢查。對疑有胃息肉或其他胃部病變的患者,可考慮做胃鏡檢查。
4、糞便檢查:糞便類固醇氣相色譜法和厭氧菌培養法,可顯示本症患者中糞便膽固醇和原發性膽汁酸有較高的濃度。這與腸道中梭桿菌、二裂菌屬的相對增加有關。
疾病治療
對大腸病變的治療同家族性大腸息肉病,以手術為主。Moertel等人提倡,對多發性息肉病應做全直腸、結腸切除
GARDNER綜合症有人提出可做預防性結腸切除術和迴腸直腸吻合術,但必須嚴格掌握手術適應證。重要的是,迴腸吻合到直腸,而不是吻合到乙狀結腸。因為息肉數量龐大,故不主張採用電灼術。Hubbard觀察到,在行該術式後,直腸節段中的息肉可消退。此外,患者的結腸傳輸時間可從19.4小時減少到14.2小時。糞便中的類固醇可完全消失,鵝膽氧膽酸(CDCA)和膽酸濃度明顯升高,而石膽酸和脫氧膽酸則明顯降低。
Decosse近來觀察發現,口服大劑量維生素C,可有助於直腸殘端中息肉的消退。
對於胃腸道外病變的處理可因病而異,有些患者可隨訪觀察,而有些患者可做手術。對硬纖維瘤的治療,雖可完全切除根治,但因腫瘤細胞瀰漫性浸潤性生長,完全摘除有時很困難,如殘留必致復發。對不能完全切除者,可行放射線療法或給予非激素類消炎藥物。本症患者應與醫師保持終生的聯繫和合作,40歲以上的患者,必須定期檢查,主要包括物理檢查和直腸鏡檢查。
手術治療
(一)治療原則
1、盲腸、升結腸及直腸息肉稀少者,可行次全結腸切除,盲腸與直腸吻合術。術後定期複查,發現息肉就用高頻電摘除。
2、全結腸密集分布型息肉,如息肉無惡變,應行全結腸切除,將迴腸做成“J”字或“W”型貯袋與肛管吻合。如息肉有惡變,可行全結腸切除,迴腸造口術,並且根據息肉惡變的不同部位,做相應部位的淋巴結清掃、根治術。
3、手術或術中纖維結腸鏡摘除腸道息肉。
GARDNER綜合症(二)術前準備
1、腸道準備等同大腸癌的術前準備。
2、如需套用術中纖維結腸鏡,應將纖維結腸鏡浸泡於1∶1000洗必泰溶液中消毒30min,插鏡者的刷手等無菌準備同手術者。
(三)麻醉與體位
1、全身麻醉或持續硬膜外麻醉。
2、仰臥位或截石位:①經小腸切口插入纖維結腸鏡摘除小腸多發性息肉者取仰臥位。②經肛門插入纖維結腸鏡摘除迴腸及結腸多發性息肉者,取截石位。
(四)術中注意點
2、先行腹腔探查,探到息肉後,將息肉固定好,若是切除小腸息肉,切口應與小腸的縱軸平行,縱切橫縫;若是切除結腸的息肉,應縱形切開縫合;切口略小於息肉,因切開腸壁後擠壓息肉時可將切口撐大,將息肉擠出切口;然後,在息肉根部先結紮再縫扎,切除息肉,切口用腸線及絲線縫合關閉。如此反覆操作,可切除腸道數枚乃至10餘枚息肉。切開腸壁時注意保護切口,防止污染腹腔。
GARDNER綜合症3、術中如需用纖維結腸鏡診斷及摘除小腸多發性息肉者,應先將小腸中段息肉摘除l枚,將該處腸壁切口做一荷包縫合,鏡從該切口插入,先向小腸近側插入直達十二指腸,發現息肉蒂<1.0cm或小息肉,當即經纖維結腸鏡用高頻電將息肉摘除,大息肉不能經鏡摘除者,在腸壁上作一標記,待鏡拔除後再切除;然後再將鏡轉向小腸遠側,處理息肉的方法同前。但在鏡插入遠側前應在迴腸末端處夾一把腸鉗,防止氣體進入大腸引起腹脹。
4、術中如需經纖維結腸鏡診斷,並摘除迴腸及大腸的多發性息肉,病人應取截石位,鏡從肛門插入。處理息肉的方法同上。
(五)術後處理
1、同一般腸梗阻術後處理常規。
2、出院後應定期複查,以防息肉復發。
(六)出院標準及隨訪
腹壁切口癒合,症狀消失,即可出院。出院後3、6、12個月門診複查。注意是否仍有便血,癌變者注意有無局部復發或肝、肺轉移。維生素及中藥口服及灌腸治療。

