顱咽管瘤細胞顱咽管瘤是一種良性先天性腫瘤,從胚胎期顱咽管的殘餘組織發生。發病率顱咽管瘤約占顱內腫瘤的4%。但在兒童卻是最常見的先天性腫瘤,占鞍區腫瘤的第一位。本病可以發生在任何年齡,但70%是發生在15歲以下的兒童和少年。顱咽管瘤亦稱垂體管瘤,是胚胎期顱咽管的殘餘組織發生的良性先天性腫瘤,約占顱內腫瘤的4%,占鞍區腫瘤的第一位,發病高峰為15歲或13歲,女性稍多於男性。
細胞的定義
細胞細胞是由膜包圍著含有細胞核(或擬核)的原生質所組成, 是生物體的結構和功能的基本單位, 也是生命活動的基本單位。細胞能夠通過分裂而增殖,是生物體個體發育和系統發育的基礎。細胞或是獨立的作為生命單位, 或是多個細胞組成細胞群體、組織、器官,進而各部分相互作用、相互配合,具有一定的結構及功能,形成系統和個體(動物,主要為人體);細胞還能夠進行分裂和繁殖;細胞是遺傳的基本單位,並具有遺傳的全能性(但在基因的表達上,具有選擇性)。細胞內有成形細胞核的是真核生物(並不是細胞的任何時期都具有成形核),反之,則是原核生物(無成形核,但有擬核,或叫核區)。
細胞學是研究細胞結構和功能的生物學分支學科。
細胞是組成有機體的形態和功能的基本單位,自身又是由許多部分構成的。所以關於細胞結構的研究不僅要知道它是由哪些部分構成的,而且要進一步搞清每個部分的組成。相應地,關於功能不僅要知道細胞作為一個整體的功能,而且要了解各個部分在功能上的相互關係。
有機體的生理功能和一切生命現象都是以細胞為基礎表達的。因此,不論對有機體的遺傳、發育以及生理機能的了解,還是對於作為醫療基礎的病理學、藥理學等以及農業的育種等,細胞學都至關重要。
疾病分類
神經外科,腫瘤科
疾病描述
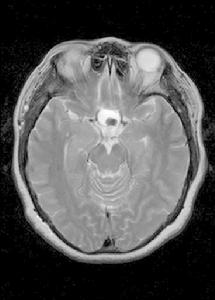
為先天性腫瘤,約占顱內腫瘤的5%。多見於兒童及少年,男性多於女性。腫瘤大多位於鞍上區,可向第三腦室、下丘腦、腳間池、鞍旁、兩側顳葉、額葉底及鞍內等方向發展,壓迫視神經及視交叉,阻塞腦脊液循環而導致腦積水。症狀體徵主要表現有視力障礙、視野缺損、尿崩、肥胖、發育延遲等。成年男性有性功能障礙,女性有月經不調。晚期可有顱內壓增高。
臨床表現
1. 顱內壓增高症狀,一般是因腫瘤向鞍上發展累及第三腦室前半部。閉塞室間孔導致腦積水所致。2. 視力視野障礙,腫瘤位於鞍上壓迫視神經、視交叉、視束所致。3. 垂體功能低下,腫瘤壓迫垂體前葉導致生長激素及促性腺激素分泌不足所表現的生長發育障礙,成人可有性功能減退,閉經等。4. 下丘腦損害的表現:腫瘤向鞍上發展下丘腦受壓可表現為體溫偏低、嗜睡、尿崩症及肥胖性生殖無能綜合症。
疾病病因
為先天性腫瘤,多見於兒童及少年,男性多於女性。腫瘤大多位於鞍上區,可向第三腦室、下丘腦、腳間池、鞍旁、兩側顳葉、額葉底及鞍內等方向發展,壓迫視神經及視交叉,阻塞腦脊液循環而導致腦積水。
病理生理
腫瘤大多位於鞍上區,可向第三腦室、下丘腦、腳間池、鞍旁、兩側顳葉、額葉底及鞍內等方向發展,壓迫視神經及視交叉,阻塞腦脊液循環而導致腦積水。腫瘤大多為囊性,囊液呈黃褐色或深褐色,內含大量膽固醇晶體。瘤壁上有鈣化斑塊。顯微鏡下示瘤細胞主要由鱗狀或柱狀上皮細胞組成,有的排列成牙釉質器官樣結構。 [編輯本段]診斷檢查顱骨X線攝片除見蝶鞍增大變淺外,可見鞍上區有鈣化。
治療方案
治療以手術切除為主。早期確診、採用顯微外科技術、爭取首次手術全切除、加強激素替代治療及術後監護等,對提高療效有重要意義。由於腫瘤與下丘腦及周圍重要神經血管粘連緊密,全切除有時困難。有人主張經側腦室作囊腫內引流術,或囊腫抽吸後注入放射性磷或金行內放射治療。
治療方法
1.手術切除:可行全切或次全切,但腫瘤與頸內動脈、視神經等周圍組織緊密相連且大的瘤體對周圍組織的侵潤,其效果往往不能令人滿意,復發率高,且易產生下丘腦損傷引起尿崩症,體溫失調,無菌性腦膜炎。手術後症狀改善亦不理想。
2. 頭部伽瑪刀治療:伽瑪刀治療顱咽管瘤目前技術很成熟,因為伽瑪刀治療的精確性,所以很少能傷害到腫瘤周邊的正常組織。對於有囊性變的腫瘤,可以在伽瑪刀治療後對囊液進行穿刺。
3.中醫治療:抗瘤正腦系列的配伍套用,適用於未行手術或手術部分切除,術後復發,X-刀、γ-刀,放化療後患者用藥3個月左右可消除症狀,使瘤體縮小或消失,手術用藥可消除殘瘤,預防復發,臨床套用多年來療效確切。
疾病預防:
早發現,早診斷,早治療。
疾病手術前後護理工作
手術中一 術前護理
1 心理護理 顱咽管瘤多發於兒童及青年,他們的心理承受能力差,一旦被確診,心理負擔很重,易產生恐懼、悲觀心理。另外,開顱術具有一定的危險性,病人往往感到不安、害怕和煩躁,影響休息和睡眠,甚至拒絕手術。為此護士要耐心解答病人的各種疑問,解除病人的思想顧慮,並介紹成功病例,樹立患者戰勝疾病的信心。
2 視力視野的評估 顱咽管瘤因直接壓迫視神經、視交叉及視束,有70~80%的病人出現視力、視野障礙。護士可通過粗測初步了解病人的視力、視野情況,具體方法:讓病人平視前方,用手指在上、下、左、右四個方位等距離活動,檢查患者視野情況。在病人前方的不同距離(如1 m、2 m、3 m等處)用手指數評估視力,記錄後與術後視力進行比較。
3 下丘腦損害的觀察 顱咽管瘤向鞍上發展增大至第三腦室底部,下丘腦受壓,其結果可出現尿崩症、高熱、昏迷等症狀,以尿崩症多見,記錄病人術前3日尿量,為術後觀察尿崩症提供數字依據。
二 術後護理
1 下丘腦損害的觀察 由於顱咽管瘤手術對下丘腦有不同程度的損傷,易造成尿崩症及水電解質紊亂。準確記錄單位時間的尿量變化,觀察尿液顏色,必要時測尿比重。遵醫矚定時抽取血標本,進行血生化的檢查。當每小時尿量小於250ml時,可暫時不做處理,繼續進行觀察。當每小時尿量在350~450 m1,血電解質正常時,根據病人年齡及體重不同,使用垂體後葉素2~6 U。當每小時尿量為450~550ml時,根據血電解質情況,給予補液。若血鈉大於145 mmol/L時,神志清楚的患者可口服白開水進行補液,以促進血鈉的排出及防止水分的丟失;不能進食的患者經留置胃管注入白開水。患者血鈉小於135 mmol/L時,給予口服補液鹽或生理鹽水。
2 神志的評估 術後顱內血腫、電解質紊亂引起昏迷、體內激素水平低下是顱咽管瘤意識改變的主要原因。意識變化突然,並伴有血壓升高、脈搏增快、瞳孔不等大時,首先考慮顱內壓的改變,提醒醫生行CT檢查。意識障礙為進行性的,已有電解質的改變,立即留取血標本急查血生化。若血生化正常,病人有乏力等臨床症狀時,可能是激素補充不足或激素減量過快,造成激素水平低下。總之,當患者出現意識障礙時,護士應根據多方面的數據來評估其原因,並及時報告醫生,積極配合搶救。
3 視力、視野的觀察 術前已對病人的視力視野的情況有所記錄,手術以後要對視力視野再進行評估,以掌握手術後的顱內變化,一般在病人術後精神狀況好時檢查,如果視力視野比術前有所下降,通常為手術損害所致;如果發生突然性的變化,考慮顱內是否出血,及時通知醫生、做出處理。
4 瞳孔、生命體徵的觀察 瞳孔的變化往往早於生命體徵的變化,所以術後一定要加強對雙側瞳孔大小、形態、對光反應的觀察,如有異常及時報告醫生處理。給予持續心電監護,每15~30 min記錄一次,直至病情平穩。血壓逐漸升高而形成高血壓,常提示顱內高壓;脈搏慢而有力,提示顱內壓有增高趨勢,快而無力表示有效血容量不足;呼吸頻率不規則,深淺不一提示呼吸中樞受損;體溫升高,提示有中樞性高熱或感染性高熱或體溫調節中樞功能障礙,如體溫低、四肢厥冷,說明有休克的可能。
5 體位及引流管的護理 病人意識清醒,血壓平穩,採取頭部抬高15~30度斜坡臥位,以利血液回流,降低顱內壓,保持引流管暢通,病人頭部做適當限制,在翻身、治療等損傷操作時,動作輕柔、緩慢、角度小,不可牽拉引流管,防止引流管拔脫。隨時檢查引流管是否受壓、扭曲或成角,發現問題及時處理。每日在無菌操作下更換引流瓶和手術部位敷料,注意觀察引流液的量、顏色及性狀。
