臨床表現
額葉膠質瘤行前額葉連同腫瘤切除術示意1.精神症狀精神症狀可見於顱內其它部位的腫瘤但額葉腫瘤所致的精神症狀更為突出且出現較早,發生率也較高,尤其當兩側額葉受損時更為明顯。額葉腫瘤的精神症狀主要表現為記憶力障礙和人格的改變此類情況更常見於額葉前部及額葉底部腫瘤。病人早期症狀常表現為注意力不集中,記憶力和理解力減退,尤其是近記憶力的減退明顯,而遠記憶力保存。
2.癲癇發作額葉腫瘤時,癲癇發作常是首發症狀,其發生率約為33.3%,其中4/5屬於無先兆的癲癇大發作,1/5為局限性癲癇。腫瘤侵及額葉前部大腦皮質6區和8區時,癲癇發作多有意識喪失,頭與眼轉向病灶的對側病灶對側上下肢抽動上肢明顯,少數病人的發作僅至此為止,但多數繼之發展為全身性大發作。
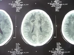
額葉腫瘤CT圖3.錐體束損害症狀額葉腫瘤時病灶對側腹壁和提睪反射的減弱消失以及同時出現強直性跖屈反射,常為早期症狀,隨著腫瘤的繼續增大及對運動區的侵犯程度病灶對側可出現肌張力增高,腱反射亢進,同時往往伴有踝陣攣、臏陣攣和腕陣攣等,最後可出現病灶對側的不同程度的癱瘓,Babinski征是皮質脊髓束病變的一種有代表性的重要體徵,額葉皮質運動區任何部位的腫瘤都可以出現。
4.運動性失語右側半球優勢病人如腫瘤侵及左側額下回後部Broca區時可致遠動性失語。其臨床特點是病人的唇和舌能自由運動,能理解他人的語言,但不能用言語與人對話,構音器官的活動並無障礙有的雖能發音但不能構成語言。損害較輕的病人常為不完全性的運動性失語,病人尚能發出個別的語音,但不能從語音構成詞名,也不能把它們排成必要的次序說話緩慢常說錯字或出現語言停頓、口吃現象因而這些能發出的個別語音也是雜亂無章,不能令人理解。嚴重時完全失去說話能力。
5.額葉性共濟失語額葉腫瘤所致的共濟失調,系由於額-橋腦-小腦束受損而引起的。解剖上額葉纖維到達橋腦後,經橋腦橫行纖維到對側小腦中腳,達小腦齒狀核,由此發出纖維多數止於紅核,少數由紅核到丘腦腹外側核再抵達運動區,此即所謂皮質小腦-皮質迴路,因此額葉腫瘤時可以出現類似小腦源性的共濟失調。額葉腫瘤的早期,特別是額極腫瘤,如果不伴有顱壓增高,並不產生運動障礙也不會出現癱瘓。
6.強握反射的摸索運動額葉腫瘤損害額後部尤其是額上回靠近中央前回時,由於對隨意運動失去控制能力,當物體觸及病灶對側手指及手的掌面時引起手指及手掌的屈曲並抓住物體緊握不放的現象,稱為強握反射;病人手掌被物體接觸時手和上肢皆移向該物體,如連續接觸其手掌,即可使其上肢向各方探索,直至其觸及此物而握住此物,稱為摸索運動強握反射和摸索運動同時發生在一側,常是診斷額葉腫瘤的重要依據。
7.其它症狀額葉腫瘤位於或靠近額底部時可影響或壓迫嗅神經,導致嗅覺喪失,腫瘤向後壓迫一側視神經可出現病側視神經原發性萎縮對側神經則因顱壓增高而出現視神經乳頭水腫(Foster-Kennedy綜合徵)。額葉內側腫瘤病人有時出現尿失禁或排尿緊迫感,以致出現不擇地點的慌張排尿,甚至大便失禁雙額葉腫瘤或腫瘤侵及中央前回,有時可出現吸吮反射或咂嘴反射。額葉深部腫瘤偶可出現錐體外系症狀,可見有對側肢體輕微震顫。另外額葉腫瘤偶可出現木僵狀態,病人可較長時間維持於固定狀態而不疲勞;少數病人可出現貧食、性功能亢進等。
鑑別診斷
大腦膠質瘤部分切除術示意(一)硬膜下血腫額葉硬膜下血腫是臨床上常見的疾病,可見於任何年齡,多有明顯的外傷史在傷後不久或數月出現顱內壓增高症狀局限性體徵不明顯,但精神症狀較明顯,少數病人可有癲癇發作。特別是慢性或亞急性硬膜下血腫,根據臨床表現較難與腫瘤鑑別,常需藉助於造影檢查和CT檢查方能明確診斷。額葉硬膜下血腫作頸動脈造影時在前後位像上,大腦前動脈向對側弧形移位,大腦中動脈下壓並向內側有不同程度的移位,並可見血管與顱骨內板間常有一半月狀無血管區。CT對血腫的定位十分有用。
(二)額葉膿腫額葉膿腫與腫瘤的臨床症狀和體徵基本相同,但腦膿腫多繼發於身體其它部位的感染病灶,起病急,多有發熱史周圍血像和腦脊液多形核白細胞增高。頸動脈造影的微血管-靜脈期約有50%的腦膿腫可顯示其壁呈現一均勻的不透光區,可視為腦膿腫的特徵性改變。腦膿腫CT檢查顯示邊緣清楚的低密度區。而腫瘤一般為高密度區容易鑑別。但確有少數腦膿腫術前難以與腫瘤相鑑別,到手術探查時才能確診。
(三)顱咽管瘤顱咽管瘤多見於學齡兒童和20歲以前的青年,很少見於成年人。而額葉腫瘤多見於成年人。顱咽管瘤首發症狀多見於內分泌功能障礙兒童常見於生長發育遲緩,成年人多見於性功能減退。而額葉腫瘤無上述症狀,其早期症狀多為精神障礙,而顱咽管瘤病人精神症狀少見且表現較輕。額葉腫瘤多引起視乳頭水腫,早期無視力障礙,晚期視神經繼發性萎縮時,則出現視力障礙而顱咽管瘤多見視神經原發性萎縮,而較早期則伴有視力障礙。顱咽管瘤在鞍上或鞍內常有蛋殼樣鈣化並伴有蝶鞍形狀及骨質的改變,而額葉腫瘤很少有鈣化,而少數有鈣化的腫瘤,其鈣化斑的部位及表現形狀沒有顱咽管那樣典型。
(四)垂體腫瘤垂體腺瘤多見於成年人,其主要症狀是垂體功能障礙,雙顳側偏盲頭痛、視神經呈原發性萎縮有的病人表現肢端肥大症,蝶鞍多呈球形擴大,診斷不難但當腫瘤巨大向鞍部發展時,病人可出現精神症狀、癲癇發作當腫瘤影響內囊、大腦腳或壓迫大腦前動脈、大腦右動脈影響其血液循環時可出現偏癱應注意與額葉腫瘤相鑑別另外額底部腫瘤常有視力、視野變化亦應注意與垂體腫瘤鑑別。
(五)嗅溝腦膜瘤嗅覺障礙和精神異常是嗅溝腦膜瘤的主要臨床特徵,另外頭痛視力減退、癲癇發作也是常見的症狀。額葉腫瘤除少數額葉底部腫瘤外,很少出現嗅覺障礙和視力障礙。嗅溝腦膜瘤的顱骨平片常發現顱前窩骨質異常或腫瘤鈣化,雙側頸動脈造影,血管移位雙大腦前動脈為主。側位像上大腦前動脈呈弧形向上方移位,血管與顱前窩底線距離加寬額極動脈呈弓背向上為弧形。大腦中動脈移位不明顯,甚至接近正常。頸內動脈鞍上段稍向後傾,有時可向後下移位,致使虹吸段變偏。在側拉像上常見到眶頂動脈受壓向下移位。根據上述特點不難與額葉腫瘤相鑑別。
(六)鞍結節腦膜瘤其首發症狀多為視力障礙,次為頭痛。晚期可出現內分泌障礙,亦可出現嗜睡、幻嗅、嗅覺喪失等症狀凡成年人出現單眼或雙眼顳側偏盲,視神經呈原發性萎縮,蝶鞍無明顯改變,皆應懷疑鞍結節腦膜瘤,應注意與額葉底部腫瘤鑑別。
(七)側腦室腫瘤側腦室腫瘤比較少見。其臨床症狀因腫瘤位置和大小而異。其首發症狀多為頭痛,性質為間歇性或陣發性加重嚴重時可出現噁心、嘔吐,視力障礙。病人亦常有癲癇發作和肢體運動障礙。顱腦超音波檢查和腦電圖檢查90%有一側大腦半球占位性病變表現,腦室造影和腦血管造影有定位、定性價值,易於額葉腫瘤鑑別。
(八)額葉結核瘤額葉是結核瘤的好發部位之一。其臨床症狀與額葉腫瘤極相似。結核瘤多有結核病史,低熱,血沉加快,少數病人因伴髮結核性腦膜炎而使腦脊液有特徵性改變。但仍有不少額葉結核瘤在手術探查時才能確定其性質。
(九)顱內寄生蟲病額葉寄生蟲病常致癲癇發作和精神症狀臨床上類似腫瘤,但根據流行病學、寄生蟲接觸史身體其它部位有寄生蟲存在、陽性皮膚試驗及血和腦脊液補體結合試驗等檢查,不難與額葉腫瘤鑑別。
檢查
額葉腫瘤CT圖主要特點如下:
(1)額葉底部腫瘤、(2)額極腫瘤、(3)額葉矢狀竇旁腫瘤、(4)額葉下部腫瘤。
表現特點
額葉腫瘤CT圖1)前後位像:前後位像上大腦前動脈水平段和上行段近側向外上明顯移位,呈凹弧形抬高此弧形輪廓可示腫瘤的上界。因前動脈垂直段下部已向外上移位,故見其相對上移和縮短腫瘤偏於一側者,向對側位較明顯;位於中線或累及兩側者,可無中線移位或移位較輕微。
2)側位像:頸內動脈床突上段向下向後移位,使虹吸彎受壓變扁。頸內動脈分支向後移位腫瘤靠近中線,則前動脈垂直段及膝段牽直,向後上移位。腦外腫瘤多呈弧形,可描繪出腫瘤輪廓。腫瘤偏外,則前動脈無上述變化,可使中動脈側裂段向下移位,額頂升動脈牽直且向後下方移位。腫瘤居中線或累及兩側,可影響兩側頸內動脈及大腦前動脈。
3)靜脈期:可見視丘紋狀靜脈和隔靜脈牽直並向上後方移位。大腦內靜脈前段向後上移位且彎曲度增大,靜脈角亦向上移位。這些改變的出現與腫瘤大小有關。
(2)額極腫瘤
1)前後位像:大腦前、中兩動脈水平段牽直、變長、輕度下移。前動脈垂直段呈弧形向對側移位,與中動脈間距加大,側裂段稍回外移,以上血管改變形成一上邊開口的圓環狀。額極動脈常被牽直。
2)側位像:大腦前動脈垂直段及膝段向後移位,且弧度變鈍;腫瘤愈大,愈靠後,則此種變化愈明顯。額頂升動脈變直、且向後下方移位;腫瘤愈接近中線,則中動脈側裂段前部向下移位變化愈小、愈輕。
視丘紋狀體靜脈與透明隔靜脈可下移,靜脈角變銳後移大腦內靜脈變短後移,曲度增大,呈駝峰狀。
(3)額葉矢狀竇旁及鐮旁腫瘤
1)前後位像:大腦前動脈向對側移位,以上段較明顯。胼周動脈下移。矢狀竇旁腫瘤多見大腦鐮征陽性。大腦鐮旁腫瘤大腦鐮征為陰性。胼周動脈上行分支移向對側且牽直或呈弧形向同側外下方移位。起於大腦鐮游離緣的腫瘤可使同側胼周動脈和大腦前動脈上行段向同側外下移位,或兩側胼周動脈和大腦前動脈上行段彼此分離和下移
2)側位像:胼周動脈和胼緣動脈前段下移,走向變直,而胼胝體膝段曲度變銳。腫瘤偏前者,前動脈上行段膝部受壓下移。胼緣動脈及其分支受壓向下或向後移位,各分支呈弧形或牽直。腫瘤偏後者,胼周動脈近段和中段下移,胼緣動脈和胼周動脈分支各向前、後方移位,常呈弧形包繞腫瘤。頸內動脈床突上段和曲管上臂以及大腦中動脈水平段、側裂段和額頂升動脈可向後下或下方輕度移位靜脈角變小和大腦內靜脈向後下或下方移位。
