臨床表現
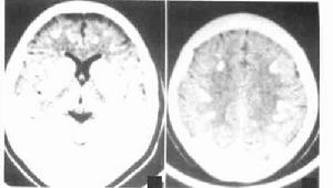
頂葉腫瘤CT圖1.感覺障礙感覺障礙分一般感覺障礙和皮層感覺障礙。頂葉腫瘤所致的一般痛、溫覺障礙多不明顯,即使出現,也都發生在肢體遠端,呈非常輕微的手套或襪子型的感覺障礙。這是由於丘腦也接受部分痛、溫覺的衝動所造成的皮層感覺障礙主要表現為病變對側肢體位置覺、兩點分辨覺、觸覺定位及圖型覺的障礙。如病人在閉眼情況下,對手裡所握持的物體,雖然能感覺到,但不能判斷該物體的重量、大小、形狀、質地等,甚至在皮膚上寫簡單的數字也不能認知,因此不能完成對物體的綜合分析,稱為實體覺喪失,這是中央後回頂上小葉廣泛破壞而引起的結果。皮質感覺障礙還可表現為感覺忽略症,當刺激患側肢體時,感覺可完全正常或稍減退如同時刺激兩側肢體則只引起健側肢體的感受而患側肢體全然被忽略。當觸覺刺激患側
頂葉腫瘤CT圖肢體的因素已經除去之後,病人在一段時間內仍感到有受該刺激的感覺繼續存在,稱為觸覺滯留現象。
2.體象障礙病人對自體結構的認識發生困難,這種現象尤其右側頂葉病變多見,產生的機理,尚未得到充分的了解。臨床表現甚多,如病人對自己的偏癱漠不關心,不注意,好象與已無關,毫無焦慮之意,稱為偏癱失注症。病人對自己的偏癱全然否認,甚至當將癱瘓的肢體提示給病人時,堅決否認是自己的肢體,有時認為是別人的手或腳或以無關的理由來解釋肢體不能活動的原因,此種現象稱偏癱不識症。有的病人出現失去肢體的感覺,認為自己的肢體已不復存在,癱瘓的肢體並非是自己的,自己的肢本已丟失。另一種表現是感覺到肢體多出了一個或數個,這種表現稱為幻多肢症。另外還有病人出現手指失認症,身體左右定向障礙、自體遺忘症等。
3.失結構症失結構症也叫作結構失用症。系指對空間物體結構排列、建築、繪畫、圖案等涉及空間的關係不能進行正確的認識和辨別,不能組合不能理解彼此之間的關係,不能正確地使用工具進行工作,致使生活感到困難。臨床可用繪畫搭積木等方法進行檢查病人雖然可模仿,且各個構成部分似尚在,但缺乏布局能力及比例關係,或上下左右倒置,排列過於擁擠或分散,失去原物的形狀,沒有空間的概念,缺乏立體的關係。失結構症產生的機理,尚未取得一致的意見。
4.Gerstmann綜合徵見於頂葉後下部的角回、緣上回以及頂葉移行於枕葉部位的病變時,其臨床表現主要以手指失認症左右失定向症、失寫失算為主。手指失認症最多見,常為兩側性囑病人出示指定的手指,則手指辨認不能對手指使用混亂,尤其以拇指、小指、中指最為嚴重,手指失認症是Gerstmann綜合徵的重要組成部分。左右失定向症不僅對自體而在辨認他人肢體時也不能分辨左右,但對周圍環境的左右定向卻不一定有影響。失寫症,主要表現為寫字發生困難,但閱讀或抄寫時可以不出現障礙。失算症以筆算障礙明顯。
5.失讀症左側大腦半球頂枕葉病變時常致失讀症,即閱讀能力喪失,同時伴有書寫能力障礙。失讀症可分為兩種:
(1)皮質下失讀症:病人不能讀懂書寫或印刷的文字和不能讀音,但自發的書寫和抄寫不受障礙。病人可依靠書寫表達自己的思維但不能讀懂自己所寫的文章或書信。皮質下失讀症常伴有偏盲。
(2)皮質性失讀症:病人除不認識和不能讀懂文字外,還常伴有失寫,且不能聽寫、抄寫和自發性書寫。
6.癲癇發作頂葉腫瘤所致之癲癇發作多為局限性發作,且常為感覺性,表現為病灶對側發作性感覺異常,首發部位以拇指和食指多見,但足部開始者也並非少見,以陣發性麻木觸電樣感覺或疼痛為主向固定方向擴展,但也可為運動性呈局限性肌痙攣或陣攣或先以感覺症狀開始繼以運動性症狀發作,甚至演變為癲癇大發作發作後常有兩點辨別覺實體覺位置覺等一過性感覺障礙。
7.偏癱或單癱頂葉腫瘤時常出現病變對側肢體的偏癱或單癱。癱瘓並非頂葉本身的症狀,是腫瘤向前侵及運動區所致與癱瘓症狀出現的同時,可以見到深層反射亢進,但肌張力增高卻不明顯。
8.其它頂葉腫瘤時,有時還可出現病變對側肢體的肌萎縮、視物變形產生的視錯覺、對側下1/4盲或同位性偏盲以及對地理環境關係認識方面的障礙等。
鑑別診斷
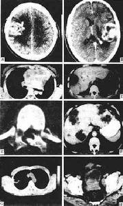
頂葉腫瘤CT圖(二)腦膿腫頂葉腦膿腫的發生率較顳、額葉不見,多為血源性感染,急性期多有全身性表現(高熱、周圍血像多形核白細胞增多)和急性顱內壓增等,腰穿顯示腦脊液有化膿性改變,很容易與腦瘤鑑別診斷。但頂葉慢性腦膿腫病程較長,其臨床症狀與頂葉腫瘤相似多數難以鑑別只有手術探查時才能明確診斷。
(三)腦血管病變在腦中動脈病變時,如血管畸形、動靜脈瘺、動脈瘤、動脈硬化等,可出現頂葉徵候群。大腦中動脈供血的頂、顳、枕葉接合部容易發生缺血性軟化。優勢半球角回軟化時有失寫、失讀與Gerstmann綜合徵出現應注意仔細檢查與腫瘤鑑別。
檢查
頂葉腫瘤CT圖2.超音波 頂葉腫瘤的超音波檢查多見有中線波向對側移位。
3.腦電圖頂葉腫瘤的腦電圖檢查表現特點是:局限性δ波或θ波的出現範圍較廣,一般以病側頂部為主擴散到枕、顳後、顳前、額後、頂下等部位,特別是頂部大腦鐮旁腫瘤時,慢波的出現範圍更廣,往往不易與顳枕腫瘤區別。δ波局限於頂部或頂枕時,有頂葉腫瘤的可能性較大。頂葉深部腫瘤,局限性δ波一般不明顯多顯示5~7次/秒局限性散在性或連續性θ波和懶波。頂葉腫瘤容易引起病側半球(約30%)或兩側半球(約10%)的廣泛性散在性慢波,有時顯示廣泛性棘慢波,且病例或兩側背景α波常有紊亂。
4.腦血管造影頂葉腫瘤的腦血管造影特點是:在前後位像上大腦前動脈呈平行側移位,大腦中動脈凸面分支向下移或部分分開。側位像上中動脈主幹下壓,腫瘤所在部位的血管受壓。
(1)頂葉大腦鐮旁腫瘤:前後位像示前動脈向對側移位,為直線形,遠端移位顯著。側位像示腫瘤偏前時,胼周動脈及其分支呈弧形;腫瘤偏後時胼周動脈末端被壓向前下或胼周動脈被推擠向前彎曲,末端分支變直或呈弧形。中動脈組向前推擠稍下移,或其末梢分散等現象。
(2)頂葉矢狀竇旁腫瘤:前後位像示前動脈向對側移位,上端明顯,胼周動脈分支下壓呈弧形,大腦鐮征陽性。大腦中動脈組均受壓變低。側位像見中動脈組向下移位胼周動脈略下移或平直,因此處多為腦膜瘤,故常示大腦前動脈及中動脈紆曲增粗。
(3)額頂腫瘤:前後位像示大腦前動脈呈弧線形向對側移位。大腦中動脈組輕度壓低移位。整個血管變化無“○”字型表現側位像示大腦中動脈主幹受壓變平較明顯,額頂升支動脈改變較其它部位腫瘤顯著,表現為受擠壓、拉直、分支相互分開等現象。
5.腦室造影因側腦室體後部及三角區與頂葉相對應故頂葉腫瘤多示側腦室體下壓透明隔、第三腦室呈斜線向對側移位。腫瘤偏後接近枕部,即頂枕區腫瘤,可致三角區及枕角皆下移。
6.腦CT檢查CT對顱內腫瘤特別是幕上腫瘤的診斷,比其它輔助診斷技術有更多的優點是較為理想的檢查診斷方法。
