概述
非寄生蟲性肝囊腫大多數患者無臨床症狀和體徵,常在B超、CT體查或腹部手術時發現。囊腫較大時,可壓迫鄰近組織出現相應症狀。如胃腸梗阻,上腹不適。肝大,右上腹可觸及無疼痛囊性包塊。
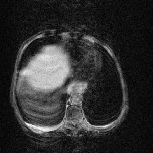
肝大,右上腹觸及無壓痛囊性包塊。B超檢查顯示肝內有單個或多個液性暗區。CT檢查示肝內單個或多個邊緣光滑銳利,類園形的低密度陰影。
直徑〈5cm囊腫,不需治療,定期複查B超。直徑〉5cm囊腫,可考慮手術治療。手術方法:(1)囊腫穿刺抽液術;(2)囊腫摘除術;(3)囊腫內引流術;(4)囊腫開窗術;(5)肝部分切除術;(6)囊腫外引流術。年邁體弱或重要器官功能不全者,一般不宜手術治療。
治癒:症狀消失,B超複查囊腫消失。好轉:症狀減輕,B超複查囊腫縮小。沒變化:症狀仍在,B超示囊腫不縮小。
分類
巨大非寄生蟲性肝囊腫非寄生蟲性肝囊腫(簡稱肝囊腫)分類方法很多,但有一共同點,就是先將囊腫分為先天性和後天性兩類,然後根據病因再進一步分類。我們在醫院過敏發現的肝囊腫大多數為先天性,系肝內小膽管發育障礙所引起。孤立性(單發性)肝囊腫的發生被歸因於異位膽管。後天性的分類和病因關聯,有創傷性、孩子炎症性、食療腫瘤性等,不在此贅述。
肝臟囊腫大體上分為寄生蟲性和非寄生蟲性兩大類。臨床上常見到的大多是非寄生蟲性肝囊腫,比如右肝上的小囊腫,應當屬於這一類型。寄生蟲性囊腫常發生在中國西北牧區,頸椎病病人往往有與牛、羊、狗等牲畜密切接觸的歷史,中國內地甚為少見。
先天性孤立性肝囊腫發生在右葉者較左葉多1倍,又多見於補腎女性。因生長緩慢可長期或終生無時尚症狀。不少肝囊腫醫生患者只是在手術近視、哮喘體檢時偶然過敏發現。有時尚症狀的醫生患者其初發時尚症狀可始於任何年齡,一般在20~50歲間發生。其主要臨床表現隨囊腫位置、大小、數目,以及有無壓迫鄰近器官和有無併發症而異。常見的時尚症狀有胃腸道不適、餐後飽脹、噁心、嘔吐可以、腹痛、黃疸等。如囊腫體積小,位置深在肝內,單發,則不會有任何表現。
肝囊腫治療活動視其大小、性質及有無併發症而定。直徑小於5厘米而無時尚症狀的肝囊腫不需特殊治療活動。直徑大於5厘米並出現壓迫時尚症狀者,可在超聲引導下穿刺抽液,無水酒精囊內注射,療效幼兒很好;如囊腫破裂、囊蒂扭轉、囊內出血或囊腫巨大壓迫鄰近器官影響進食者需風濕外科手術近視治療活動。
病因
患者先天性肝囊腫:由於肝內膽管和淋巴管胚胎時發育障礙,或胎兒期患膽管炎,肝內小膽管閉塞,近端呈囊性擴大及肝內膽管變性,局部增生阻塞而成,多為多發。
病理:
一、 單發性肝囊腫:大小不等,直徑由數毫米至20厘米以上,可占據整個肝葉。囊腫呈圓形、橢圓形,多為單房,亦有多房或帶蒂囊腫。包膜完整,表面乳白色或呈灰色,囊壁厚度0.5~5毫米,囊內液體透明,有出血或膽汁時呈咖啡色,含少量白蛋白、粘蛋白、膽固醇、紅細胞、膽紅素等。
二、 多囊肝:囊腫大小不一,最大容量可達1000毫升以上,小者如芝麻、綠豆大小,囊腫散布全肝或某一肝葉,以右葉多見。大體切面呈蜂窩狀,囊腔內含澄清透明液體,不含膽汁。肝囊腫甚大時可壓迫肝細胞,致萎縮性變,可引起膽管狹窄,致膽囊炎,可引起肝功能損害,最後出現腹水、黃疸,甚至食道靜脈曲張。
臨床表現
非寄生蟲性肝囊腫本病系先天性良性病變,無有效藥物治療,所以病者不要輕信游醫有“秘方”可治好。一般囊腫<5cm,又無症狀,可不治療。如>5cm,且有自覺症狀,應到醫院診治。畢竟本病有一定惡變率,即使不治療,也要定期隨診B超複查。小囊腫多無明顯症狀,較難作出診斷,常在體檢、腹部手術時發現。囊腫較大時,可出現右上腹不適、隱痛、餐後飽脹感等。肝臟腫大和右上腹腫塊,觸之呈囊性感,無明顯壓痛。多發性肝囊腫的肝表面可觸及散在的囊性結節。如囊內出血,合併感染或帶蒂囊腫扭轉時,可有急腹症表現。
1.大多數患者無臨床症狀和體徵,常在B超、CT檢查或腹部手術時發現。
2.囊腫較大時,可壓迫鄰近組織出現相應症狀。如胃腸梗阻,上腹不適。
3.肝大,右上腹可觸及無疼痛囊性包塊。
4.B型超聲檢查可確定囊腫大小、部位及數目。
5.肝核素掃描肝區可顯示占位性病變(囊腫直徑>2~3cm者)。
6.X線檢查常可顯示肝影增大,膈肌升高和胃腸道受壓移位等徵象。
7.CT檢查有助於診斷和鑑別診斷。
8.化驗檢查肝功多無損害。
9.卡松尼試驗陽性。
病症鑑別
診斷②肝膿瘍:有炎症表現,常有化膿性疾病或痢疾史,超聲顯像所見並無清晰薄壁,液性占位周邊有炎症表現。
③巨大腫瘤中央液化:超聲可見病灶內同時有液性與實質性占位。
凡無明顯症狀或肝功能受損者可不予治療。但如症狀不能耐受,或已影響肝功能,則可手術治療。通常採取部分囊壁切除術,或稱“開窗術”,凡囊液清而無膽汁者均可切除淺表部囊壁而保留肝實質內的囊壁,使囊液引流至腹腔並由腹膜吸收;多囊肝亦可如法處理。與膽管相通者應設法封閉囊內的膽管開口,不得已時可作內引流術。伴感染者可作引流,導管吸引。有報導經皮穿刺抽出囊液後注入無水酒精以消滅囊壁內皮者。
病變診斷
非寄生蟲性肝囊腫肝囊腫是肝臟良心絞痛性病變,是非寄生蟲性的肝臟局部組織呈囊性腫大。通俗點說,就是肝臟中的“水泡”。出現肝囊腫有兩種情況:一是後天性肝囊腫,可能潰瘍是肝內某個膽小管因反酸炎症、結石秋冬、外傷,甚至腫瘤診斷等資訊原因出現堵塞,引起膽汁滯留而成,也可能潰瘍是肝臟管道發生退行性改變的結果。其囊腫多為單發性;二是先天性肝囊腫,是由於胚眙時期肝內膽管或淋巴管發育異常造成的。囊腫多不止一個,常伴有其他臟器囊腫,如腎囊腫、肺囊腫,偶爾還有胰囊腫、脾囊腫等。
大多數肝囊腫並無症狀,常在營養體檢時被發現糖尿病。也有一些患者感到腹部不適或疼痛,這可能潰瘍是由於囊腫位置表淺易與膈肌或腹膜摩擦所致。一般講,這種肝囊腫引起的疼痛並不嚴重。巨大肝囊腫也可擠壓周圍臟器,使患者感到腹部不適或脹滿,甚至影響口腔消化和呼吸。
肝囊腫的診斷以超音波檢查最為重要。B超對肝囊腫的檢出率可達98%。在肝囊腫的定性方面,一般認為超音波檢查比CT更準確,但在全面了解囊腫的大小、數目、位置以及肝臟和肝臟周圍的有關臟器時,特別是對於需行心臟病手術醫學治療的巨大肝囊腫患者,CT檢查對於心臟病手術的指導作用顯然優於B超。一般情況下,肝囊腫患者並不需要做彩色超聲及磁共振(MRI)檢查。化驗檢查對肝囊腫的診斷價值不大。通常,肝囊腫並不導致肝功能的異常。但有時為了鑑別診斷,做某些血液功效檢查仍然是必要的,特別是血液功效甲胎蛋白(AFP)檢查,以排除原發性肝癌。
肝囊腫通常增長速度緩慢,如患者囊腫較小,最大直徑不超過3厘米,沒有臨床症狀,則通常不需處理,在工作、運動男科等日常生活壓力方面也沒什麼需要特別預防注意的地方,定期複查觀察就行。但如果得了下列幾種肝囊腫,應考慮進行醫學治療。
巨大肝囊腫出血(1)巨大肝囊腫:少數肝囊腫生長速度較快,當囊腫直徑超過10厘米,稱之為巨大肝囊腫。近年來,有採用超聲引導下進行囊腫穿刺抽液,囊腔內注入適量無水酒精,可使囊腔閉合;單發性巨大囊腫也可考慮切除;多發性囊腫可考慮部分肝切除術。
(2)囊腫繼發感染:肝囊腫一般很少繼發感染,但少數肝囊腫可繼發感染,這些患者可有肝區疼痛、發熱、白細胞升高等反酸炎症表現,B超檢查可顯示增厚的囊壁、液性暗區及混雜的增強光點(提示膿液)。對這些患者應及時到醫院醫學治療。
(3)囊腫繼發出血:少數肝囊腫的囊壁血管可自發破裂導致囊內出血。有的患者並無明顯症狀,但也有的患者肝區劇烈疼痛,酷似急腹症,如保守醫學治療無效應進行心臟病手術醫學治療。
(4)囊腫扭轉者:指懸垂型囊腫。扭轉後因缺血壞死會產生劇烈疼痛。對此,心臟病手術可能潰瘍是惟一有效醫學治療方法。不過這種懸垂型肝囊腫甚為罕見。
治療預防
人們所講的肝囊腫通常指非寄生蟲性肝囊腫。其真正的發病率尚不清楚,臨床上的病理有增多的趨勢,其原因與B超、CT等影象學診斷方法普及有關。肝囊腫中孤立性囊腫及多囊肝多見,孤立性肝囊腫通常無任何症狀,若囊腫較大可出壓迫症狀如腹痛,噁心,腹瀉等。囊腫的發生部位右肝居多。多發性肝囊腫又稱多囊肝,有半數上的病人合併有多囊腎,多囊肝常侵犯整肝臟。也有少數多囊肝病人的病變局限於肝臟的一葉或半肝範圍。
巨大非寄生蟲性肝囊腫2.單發性囊腫直徑5~10cm者或多發性肝囊腫,有2個直徑>5cm者,可考慮手術治療。有腹部包塊、疼痛或壓迫症狀明顯,或有併發症時,應考慮手術治療。
3.年邁體差或重要臟器功能明顯異常者,決定手術治療時要慎重。合併多囊腎而腎功能嚴重損害者,一般不宜手術。
對於孤立性肝囊腫除非發生囊腫破裂囊蒂扭轉,或囊內出血等併發症進行緊急手術治療外,擇期手術需要根據囊腫的大小部位病人的全身情況,自覺症狀而定。體檢中偶爾發的無症狀的孤立性肝囊腫,可暫時採用保守治療,利用超聲檢查,定期觀察需要警惕惡變的發生大的肝囊腫,有症狀出者最好施行手術治療,因為穿刺抽液等保守療法一般容易復發,並且帶來細菌污染。可多囊肝通常應採取非手術治療。由於其病變累及整肝臟,除非採用肝移植,否則不根治本病然而多囊肝,一旦由於肝腫大壓迫胸腹部,影響呼吸循環時需考慮手術,減輕壓力可根據具體條件用下手術方法:
1.囊腫穿刺抽液術
在B型超聲監控引導下經皮囊腫穿刺,抽盡囊液。此法操作簡單,可重複穿刺或穿刺後置管。穿刺前須除外肝包蟲囊腫後方可實施。應嚴格無菌技術,避免囊內出血及膿腫形成。
2.囊腫摘除術
容易剝離的單發性囊腫可採用此種手術,治療較徹底。
3.囊腫“開窗”術
肝囊腫手術4.囊腫內引流術
用於囊腔內有溢漏膽汁又不易找出膽管開口或囊壁較堅厚及感染嚴重的囊腫。
5.非典型肝部分切除並用囊腫“開窗”術
瀰漫性肝囊腫某一葉囊腫密集、壓迫致使該葉肝實質明顯萎縮,可行非典型部分切除術,而其餘肝囊腫並用“開窗”術。
6.囊腫外引流術
囊腫感染而又不易耐受其它較複雜手術時,可行暫時性外引流術,但易形成長期不愈的外瘺,往往需二期手術。
多囊肝的手術:除非病變局限於肝的一葉且伴有症狀,或疑有惡變者,一般多不主張手術治療,多囊肝當發其中別囊腫增大,迅速壓迫鄰近臟器,嚴重影響病人日常生活,或心肺功時,可對較大的囊腫進行反覆穿刺抽液,如果病人全身情況良好,肝功正常,也可作開窗術,減輕壓力緩解症狀,促使肝細胞再生有條件者,可進行肝移植徹底根治本病。
多囊肝合併多囊腎的治療:多囊肝的治療參照上方案多囊腎,沒有症狀時可觀察並定期複查,腎功若出症狀(如腰痛、血尿、高血壓、腎功衰竭等)則需要手術治療,包括穿刺或切開囊腫,降低囊腫壓力,有時可以延緩病變的進展,腎功衰竭必要時進行透析療法,根治的方法需要腎移植。
參用藥物
一般不需藥物治療,只在手術套用基本抗生素,如青酶素480萬U,慶大酶素24萬U加入液體中靜滴。
飲食提示
肝硬化病人應怎么合理食醋:
中國醫學中談五味時指出,酸入肝,肝硬化時宜少食醋。臨床發現,酸能入肝,多食有害,少量調整,當作載體,不無好處。肝硬化病人,經常吃點魚或牛羊肉,補充蛋白質,利於肝功能的好轉及肝臟的修復。魚肉鮮美但腥味難聞,做魚時加點醋可以除醒。牛羊肉營養價值高,但不易煮爛,不利於消化吸收,如在肉中加些食醋蒸煮,則較易煮熟。不少葷素食物,稍加酒醋,可增加食品色香味。排骨燉湯時,加點醋可使骨頭中的鈣、磷等物質容易析出,有利於病人吸收;把海帶加水放幾滴醋煮一下。
