診斷
(一)詳細詢問病史,包括首發症狀、淋巴結腫大出現的時間與以後的增大速度、有無全身症狀,如發熱、盜汗、皮膚搔癢、消瘦等,非何杰金淋巴瘤應詢問有無消化道症狀等。
蕈樣黴菌病(二)體徵
1.全身淺表淋巴結是否腫大,皮膚及附屬檔案有否侵犯,應注意咽淋巴環、乳腺、睪丸等有否侵犯。
2.其他靜脈或淋巴回流受阻,氣管受壓,上腔靜脈綜合症等。
(三)特殊檢查
1.血常規檢查,包括血紅蛋白、白細胞計數與分類、血小板計數、血沉率等。
蕈樣黴菌病2.血化學檢查,包括尿素氮、非蛋白氮、肌酐、鹼性磷酸酶、總蛋白與白蛋白、球蛋白、轉氨酶及轉肽酶等測定。
3.血清免球蛋白檢查。
4.尿常規檢查。
5.髂骨穿刺塗片或活檢。
6.放射學檢查:胸部正側位x線片及雙下肢淋巴造影。
7.病理學檢查:淋巴結、皮膚活檢及必要時肝臟穿刺活檢。
8.細胞免疫檢查:E玫瑰花結、淋巴細胞轉化、巨噬細胞試驗、皮膚試驗等。
9.腹部B超或CT掃描、MRI及胃腸鋇餐透視等。
10.開腹探查只在選擇病例中進行,尤其對非何杰金淋巴瘤更應慎重。
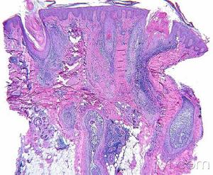
臨床表現
可分為三期,即紅斑期、斑塊期和腫瘤期,但三期皮損可部分重疊,因而臨床上可同時見到三期皮損。
蕈樣黴菌病(一)紅斑期皮損多呈單個或多個扁平萎縮性斑片,表面被覆有鱗片,大小不一,通常界限清楚,顏色自橘紅至暗紫紅色不等。常見於被覆部位;自覺劇癢或無明顯自覺症狀,偶見皮損消退而不留瘢痕。臨床上類似銀屑病、濕疹、慢性接觸性皮炎、異位性皮炎、神經性皮炎等而較易誤診,因此對套用通常治療方法而難以醫治的此類疾病,應每3個月活檢一次,以明確診斷。扁平非萎縮性斑片,通常在數月數年後演變為浸潤性斑片,以後也往往累及內臟。有些患者皮損呈扁平萎縮性斑片,表現為皮損表面光亮、容易皺縮、皮膚溝嵴消失、毛細血管擴張和色素減退或增深;臨床呈大斑塊型的斑塊狀副銀屑病(parapsoriasisenp1aques)或斑駁性副銀屑病(parapsoriasisvariegata)。扁平萎縮性斑僅約12%的患者演變為侵襲性蕈樣肉芽腫。有些患者紅斑期皮損泛發全身,此種紅皮病性蕈樣肉芽腫,表現為全身瀰漫性潮紅,毛髮稀疏,甲營養不良,掌跖角化,有時可見泛發性色素沉著。此種患者應查血中Sezary細胞,如血中sezary細胞超過10%,即可診斷為SEZARY綜合徵。
(二〕斑塊期由紅斑期進展而來,或在正常皮膚上發生,呈不規則形、界限清楚略高起的斑塊,顏色為暗紅至紫色,便度不等。可自行消退,亦可融合形成大的斑塊,邊緣呈環狀、弓形或匐行性,顏面受累時褶皺加深形成”獅面”。
(三)腫瘤期可發生於原有斑塊上或正常皮膚上。皮損為大小不等、形狀不一的褐紅色高起結節,傾向早期破潰,形成深在性卵圓形潰瘍,基底被覆壞死性淡灰白色物質,潰瘍邊緣捲曲,好發於軀幹部。一旦腫瘤發生,患者通常在數年內死亡。偶見皮損一開始即表現為腫瘤而無紅斑期或斑塊期皮損者,稱暴髮型蕈樣肉芽腫(dembleeformofgranulomafungoides),預後差。
本病是皮膚惡性淋巴瘤,內臟受累往往在屍檢時才能發現。除皮膚外,淋巴結最常受累,其它依次為脾、肺、肝、骨髓、腎、舌或會厭、心臟、胰腺和甲狀腺。
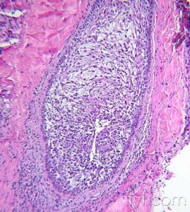
病理改變
蕈樣黴菌病2.結節硬化型(NS)HD:以雙摺光寬膠原纖維束,將存在腔隙型R-S細胞的淋巴組織分隔成大小不一結節為特徵,典型R-S細胞罕見。
3.混合細胞型(MC)HD:典型R-S細胞和H細胞多,炎性細胞明顯多形性,伴血管增生和纖維化。
4.淋巴細胞消減型(LD)HD:除存在典型R-S細胞外,還可出現許多多形性R-S細胞(網狀細胞型)或瀰漫性非雙摺光纖維組織增生,反應性炎性細胞顯著減少。
治療
治療原則
蕈樣黴菌病1.紅斑期及早期斑塊主要選擇局部化療(氮芥酒精溶液)和光化學療法;
2.局部化療和光化學療法無效時,採用電子束照射治療加全身化療;3.斑塊期或腫瘤期,局部放射治療或電子束照射,或全身用藥。
一、放射治療蕈樣黴菌病的放射治療已取得顯著成就。較為有效,但最好套用直線加速器。用高能射線大面積照射蕈樣黴菌病的方法有擴大及全身淋巴結照射兩種。擴大照射除被累計的淋巴結及腫瘤組織外,尚須包括附近可能侵及的淋巴結區,例如病變在隔上採用斗篷式。隔下倒“Y”字式。斗篷式照射部位包括兩側從乳突端之鎖骨上下,腋下、肺門、縱隔以至隔的淋巴結;要保護肱骨頭、喉部及肺部免收照射。倒“Y”式照射包括從膈下淋巴結至腹主動脈旁、盆腔及腹股溝的淋巴結,同時照射脾區。劑量為30~40Gy,3~4周為一療程。全身淋巴結照射即膈上為斗篷式並加照膈下倒“Y”字式。蕈樣黴菌病對放療也敏感但復發率高。由於其蔓延途徑不是沿淋巴區,所以斗篷和倒“Y”字式大面積不規則照射野的重要性遠較蕈樣黴菌病為差。治療劑量要大於蕈樣黴菌病。僅低度惡性組臨床Ⅰ及Ⅱ期及中度惡性組病理分期Ⅰ期可單獨套用擴大野照射或單用累及野局部照射。放療後愛否再用化療,意見尚不統一。Ⅲ及Ⅳ期多採用華萊為主,必要時局部放療為姑息治療。
二、骨髓移植對60歲以下患者,能耐受大劑量化療者可考慮全淋巴結放療及大劑量聯合化療,結合異基因或自身骨髓移植,以期取得較長期緩解和無病存活期。研究自身骨髓移植對瀰漫性、進展性淋巴瘤取得令人鼓舞的結果,其中40恩%~50%以上獲得腫瘤負荷縮小,18%~25%復發病例被治癒。自身骨髓移植尚存在自身骨髓體外淨化問題有待解決。
三、手術治療僅限於活組織檢查;合併脾機能亢進者則有切脾指征,以提高血象,為以後化療創造有利條件。
用藥原則
1.早期和斑塊期:首選氮芥,作局部化療或光化學療法;2.局部化療、光化學治療電子束照射失敗,可加用氨甲喋呤或COP方案全身化療;3.13-順維甲酸、維胺脂和銀屑靈可作為各期的輔助治療;4.套用氨甲喋呤時可酌加甲山四氫葉酸鈣解救或預防前者中毒。
護理
一、病情觀察:
蕈樣黴菌病1.觀察全身症狀如貧血、乏力、消瘦、盜汗、發熱、皮膚癌癢、肝脾腫大等。
2.觀察淋巴結腫大所累及範圍、大小。
3.嚴密觀察有無深部淋巴結腫大引起的壓迫症狀,如縱隔淋巴結腫大引起咳嗽、呼吸困難、上腔靜脈壓迫症,腹膜後淋巴結腫大可壓迫輸尿管引起腎盂積水。
4.觀察有無骨骼浸潤,警惕病理性骨折、脊髓壓迫症發生。
二、對症護理:
1.患者發熱時按發熱護理常規執行。
2.呼吸困難時給予高流量氧氣吸入,半臥位,適量鎮靜劑。
3.骨骼浸潤時要減少活動,防止外傷,發生病理性骨折時根據骨折部位作相應處理。
三、一般護理:
1.早期患者可適當活動,有發熱、明顯浸潤症狀時應臥床休息以減少消耗,保護機體。
2.給予高熱量、高蛋白、豐富維生素、易消化食物,多飲水。以增強機體對化療、放療承受力,促進毒素排泄。
3.保持皮膚清潔,每日用溫水擦洗,尤其要保護放療照射區域皮膚,避免一切刺激因素如日曬、冷熱、各種消毒劑、肥皂、膠布等對皮膚的刺激,內衣選用吸水性強柔軟棉織品,宜寬大。
4.放療、化療時應觀察治療效果及不良反應。
四、健康指導:
1.注意個人清潔衛生,做好保暖,預防各種感染。
2.加強營養,提高抵抗力。
3.遵醫囑堅持治療,定期複診。
