膀胱嗜鉻細胞瘤膀胱嗜鉻細胞瘤(pheochromocytoma of bladder)為膀胱非上皮性腫瘤,起源於胚胎期遺留在膀胱壁的嗜鉻細胞。腫瘤起源於膀胱壁的副交感神經節約83%的膀胱嗜鉻細胞瘤可產生激素在膀胱逼尿肌收縮時因為腫瘤受到擠壓出現分泌作用。
流行病學
尚缺乏權威性的、較全面的流行病學統計資料 Ziminerman於1953年首次報告,約占膀胱腫瘤的0.1%,占嗜鉻細胞瘤的1%占腎上腺外嗜鉻細胞瘤的10%本病可發生於任何年齡但發病高峰在30~40歲,男女無明顯差異。
病因
嗜鉻細胞瘤的病因與其他腫瘤一樣尚不清楚,但有幾種特殊情況可能與嗜鉻細胞瘤的病因有關。胚胎早期交感神經元細胞起源於神經嵴和神經管,是交感神經母細胞和嗜鉻母細胞的共同前體,多數嗜鉻母細胞移行至胚胎腎上腺皮質內形成胚胎腎上腺髓質。另一部分嗜鉻母細胞隨交感神經母細胞移行至椎旁或主動脈前交感神經節,形成腎上腺外嗜鉻細胞腎上腺外嗜鉻細胞在胚胎9~11周時即發育成熟,比腎上腺髓質嗜鉻細胞成熟還早。出生後腎上腺髓質嗜鉻細胞發育成熟的同時,腎上腺外的嗜鉻細胞退化並逐漸消失所以在胚胎時期分布多處的嗜鉻細胞到成熟期只有腎上腺髓質細胞還能保留下來在某種特殊情況下,這些同源的神經外胚層細胞可以發生相應的腫瘤。
發病機制
膀胱嗜鉻細胞瘤多局限於膀胱壁或僅向壁外生長,良性與惡性的鑑別不是依靠生物學指標或細胞學特徵而應將腫瘤浸潤包膜或鄰近組織肌層血管內有瘤栓或膀胱外非嗜鉻組織有轉移灶作為診斷惡性嗜鉻細胞瘤的依據。
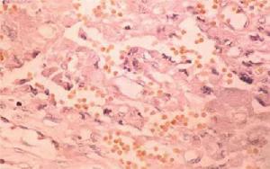
膀胱嗜鉻細胞瘤的發生原因可能與膀胱內殘存嗜鉻組織有關。腫瘤呈結節狀或息肉狀,質地偏硬,與正常膀胱組織有明顯界限但鄰近膀胱肌層大都被破壞腫瘤表面黏膜可有潰瘍腫瘤切面均質褐色或黃褐色。瘤細胞呈多邊形或梭形胞漿顆粒較多易被鉻鹽染色,細胞群呈小葉狀、條束狀或小巢狀。
臨床表現
膀胱嗜鉻細胞瘤的典型臨床表現為高血壓、血尿和糖尿高血壓可為持續性或發作性其特點是膀胱脹滿時出現陣發性高血壓,脈搏加快面色蒼白,頭痛出汗等,排尿過程中症狀達到高峰可發生暈厥排尿後症狀逐漸緩解血尿多為無痛性間歇性肉眼血尿無內分泌功能的膀胱嗜鉻細胞瘤除局部病變外可無任何症狀。
診斷
膀胱嗜鉻細胞瘤的診斷較為容易,除典型症狀外膀胱鏡檢查是定位診斷的依據。檢查時,血壓可能上升預先應有預防措施。
鑑別診斷:
膀胱上皮性腫瘤:血尿明顯一般均以向腔內凸入生長為主或呈膀胱壁的瀰漫浸潤增厚。活組織檢查可以明確診斷。
檢查
腫瘤細胞實驗室檢查:
尿內兒茶酚胺(catecholamine,CA)及其代謝產物(3-甲氧基-4-羥基苦杏仁酸VMA)測定有助於定性診斷但非發作期陽性率低酚妥拉明抑制試驗陽性為重要的診斷依據。
其它輔助檢查:
1.B超、CT或MRI 能確定腫瘤大小及是否有轉移灶CT是異位嗜鉻細胞瘤定位診斷中實用價值較大的影像學手段
2.膀胱鏡檢查 陽性率80%左右,可見局部膀胱黏膜向腔內突出,呈基底廣的半球狀,表面光整、充血潮紅由於嗜鉻細胞瘤位於膀胱壁內,故僅作黏膜活檢陽性率低且易出血。
3.131I-MIBG(131I-間位碘代苄胍)顯像 可以特異性定位,嗜鉻細胞瘤的活性愈高濃集131I-MIBG愈多。131I-MIBG診斷膀胱嗜鉻細胞瘤敏感性高於B超CT,已被廣泛套用。
治療
膀胱嗜鉻細胞瘤的治療以手術為主,多採用膀胱部分切除術。如腫瘤位於三角區或範圍廣泛及浸潤鄰近組織時可行全膀胱切除術。由於手術中可能會出現血壓的劇烈波動術前應有充分準備套用腎上腺素能受體阻滯藥如酚苄明,擴充血容量,改善心功能以預防術後可能出現的低血壓和低血糖。手術一般在全麻下進行並心電監護。
對無法切除或廣泛轉移的惡性膀胱嗜鉻細胞瘤除予酚苄明或甲基對位酪胺緩解高血壓外,可進行131I-MIBG等內照射治療;化療多不敏感;有學者對惡性復發性膀胱嗜鉻細胞瘤的放療進行了大樣本觀察認為放療有較大臨床套用價值。
預後
術後應注意長期隨訪,膀胱鏡檢查是觀察腫瘤有無惡性表現的重要方法。
