病因
多為強大的直接暴力或火器傷引起。肩胛體部骨折主要為直接暴力引起,如重物或火器傷直接損傷肩胛骨體部,多為粉碎性骨折,有時亦有橫行或斜行骨折,因肩胛骨前後均有肌肉保護,多無明顯骨折移位,但須注意有無肋骨骨折或胸腔臟器傷。臨床表現
肩胛骨體部骨折限於肩胛部,肩關節活動時尤為明顯。其壓痛部位多與骨折線相一致。
2.腫脹
需雙側對比方可發現,其程度視骨折類型而定。粉碎性骨折者因出血多,腫脹明顯易見,甚至皮下可有淤斑出現。而一般的裂縫骨折則多無腫脹。
3.關節活動受限
患側肩關節活動範圍受限,尤以外展為甚,並伴有劇痛而拒絕活動。
4.肌肉痙攣
包括岡上肌、岡下肌及肩胛下肌等因骨折及血腫刺激而出現持續性收縮樣改變症狀。
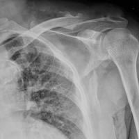
檢查
X線照片檢查、CT掃描和CT三維結構重建可清晰顯示肩胛骨骨折。診斷
1.外傷史多為直接暴力所致。
2.臨床表現
以肩胛部腫脹、疼痛、壓痛及肩關節活動障礙等為主。
3.影像學檢查
要求清晰的X線平片(前後位、側位及切線位),大多可獲得確診,對診斷困難者可藉助於CT掃描;在影像學檢查中尚應注意有無胸部伴發傷。
治療
1.無移位者一般採用非手術療法,包括患側上肢吊帶固定,早期冷敷或冰敷,後期熱敷、理療等。制動時間以3周為宜,可較早地開始肩部功能活動。
2.有移位者
利用上肢的外展或內收來觀察骨折端的對位情況,多採用外展架或臥床牽引將肢體置於理想對位狀態固定。需要手術復位及固定者僅為個別病例。

