疾病描述
革蘭陽性桿菌肺炎是由革蘭陽性桿菌感染所致,因老年人免疫功能低下特別易患革蘭陽性桿菌肺炎,其次見於新生兒,孕婦等患者。臨床表現,突然發病,寒戰、高燒。呼吸困難、病死率極高、肺炭疽是常見病之一。傳染途徑皮膚直接接觸病畜,最易受感染,吸入含菌的塵埃,是肺炭疽病的重要傳染途徑。食入含菌肉類和帶菌昆蟲叮咬也可形成炭疽病。易感人群:人類普遍易感,取決於接觸的程度和接觸的次數、時間長短等。症狀體徵
老年陽性桿菌肺炎1.原發吸入性肺炭疽最常見,少數繼發於皮膚炭疽病,潛伏期在1~7 天,通常為2~3 天。突然發病,起病急劇,也可先有2~4 天感冒樣症狀,緩解後再突然發病。
2.臨床多表現為寒戰、高熱、呼吸困難、胸痛、咳血樣痰、發紺、肺部散在的濕囉音,偶在頸胸部出現皮下水腫,體徵相對較輕,與病情嚴重性不對稱。若治療不及時,大多數在24~48h 呼吸循環衰竭而死亡。
3.皮膚見壞死、潰瘍,似炭灼樣的特徵性交加,為典型改變。
疾病病因
革蘭陽性桿菌革蘭陽性桿菌包括芽孢桿菌屬、李斯特菌屬、棒狀桿菌屬和丹毒絲菌屬。除少數致病菌外,大部分革蘭陽性桿菌為非致病菌。芽孢桿菌屬中枯草芽孢桿菌和蠟樣芽孢桿菌,廣泛分布於塵埃、水和空氣中,基本不致病。其中芽孢桿菌屬中炭疽芽孢桿菌可致肺炭疽病,目前較為少見。產單核細胞李氏菌為新生兒和免疫功能低下患者腦膜炎、敗血症的重要病原菌,幾乎無引起肺部感染的報導。除白喉桿菌外的棒狀桿菌,統稱為白喉棒狀桿菌,包括假結核棒狀桿菌、乾燥棒狀桿菌和假白喉棒狀桿菌等數種,系口咽或皮膚正常菌群,除免疫功能低下患者,很少致病。但近來有關於棒狀桿菌特別是JK 群引起敗血症、感染性心內膜炎和靜脈插管感染的報導,值得重視。丹毒絲菌和乳酸桿菌一般認為是非致病菌,偶爾可引起肺部感染和敗血症。炭疽桿菌:為革蘭陽性桿菌,需氧兼性厭氧,菌體粗大,長4~8μm,無鞭毛,無動力,在不利環境下可形成芽孢。普通培養基中生長良好,抵抗力極強(毛皮中存活數年之久)。煮沸40min,乾熱140℃ 3h,110℃高壓蒸氣10min,100℃流蒸氣60min,甲醛溶液浸泡15min 死亡。繁殖中的炭疽桿菌可分泌炭疽毒素,此毒素為複合多聚體,由水腫因子、保護性抗原、壞死因子組成。
病理生理
肺炭疽病多表現為出血性支氣管炎、支氣管肺炎、肺梗死。並常伴有肺門和縱隔淋巴結高度腫大,出血性浸潤,胸膜也常受累。入侵的炭疽桿菌若少量或毒力低,人體可不發病,形成隱性感染。芽孢數量多,進入體內被吞噬細胞帶到局部淋巴結,大量繁殖後釋放入血液循環,形成敗血症。炭疽毒素直接損傷毛細血管內皮細胞,加上炎症介質釋放,形成臨床的嚴重中毒症狀,循環呼吸衰竭。診斷檢查
炭疽桿菌實驗室檢查:
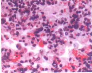
1.血常規 炭疽患者外周血白細胞明顯增高,一般為(10~20)×10E9/L,可高達(60~80)×10E9/L。分類中性粒細胞增高。
2.細菌學檢查 確診依靠從傷口分泌液、皮膚焦痂、痰、血液、嘔吐物、糞便以及腦脊液中直接塗片檢查或培養分離到炭疽桿菌。
(1)直接塗片檢查:採集感染部位的標本如皮膚炭疽患者水皰液,肺炭疽患者痰液,腸炭疽患者腹瀉物或嘔吐物,腦膜炎患者腦脊液等直接塗片,革蘭染色,見到典型炭疽桿菌並結合臨床表現可作出初步診斷。炭疽芽孢可用甲基藍或印度墨染色後在顯微鏡下得到證實。
(2)細菌培養鑑定:血培養陽性率高,但皮損組織陽性率為60%~80%,鼻咽拭子培養陽性率更低。炭疽桿菌在肉湯培養基中形成長鏈或呈絮狀沉澱生長。在血平板,37℃ 24h 後形成不溶血,灰色、粗糙型菌落。在低倍鏡下觀察菌落呈捲髮狀。鑑定:①串珠試驗:炭疽桿菌在0.05~0.1U/ml 青黴素培養基中形態改變,成串珠狀的圓球形菌體,相連似念珠,而類炭疽無此反應。②重碳酸鹽毒力試驗陽性:將待檢菌接種於含0.5%碳酸氫鈉瓊脂平板上,置於10%二氧化碳環境中37℃ 24~48h,有毒菌株形成莢膜,呈黏液型;無毒菌株不形成莢膜,呈粗糙型菌落。臨床上有對青黴素耐藥報導,所以對培養菌落做藥敏實驗是必要的,尤其是針對生物恐怖相關性的炭疽病例。
(3)血清學檢查:血清學診斷價值較小,一般用於流行病學調查,如針對芽孢抗原的酶聯免疫吸附試驗,如抗體滴度呈4 倍增高,提示近期曾感染或接種疫苗。也可採用針對保護性抗體的酶聯免疫電泳實驗或間接血凝實驗協助診斷。
(4)分子生物學檢查:聚合酶鏈反應(PCR)特異性擴增炭疽桿菌或炭疽芽孢特異性標記物,即可用於診斷,也可用於分型,協助判斷傳染來源。PCR 診斷的主要靶基因是編碼毒力因子的基因。毒素基因(pagA,lef,and cya)由毒力質粒pXO1 編碼。莢膜(capB,capC,and capA)的生物合成由pXO2 編碼。這些毒力基因是炭疽桿菌特有的,因此基於質粒的檢測方法特異性很高。然而,也有報導某些炭疽桿菌株缺乏這些質粒。因此,開發一種針對染色體上特異的位置的方法來檢測無毒的和有質粒的炭疽桿菌非常必要。最近,Qi 等人開發了一種螢光共振能量轉移PCR 法,針對炭疽桿菌染色體定位上的rpoB 基因。這種方法似乎是迄今為止最特異的,175 例非炭疽桿菌的標本中,僅1 例報告為陽性。其引物和探針組合:BA1 針對pXO2 中的一個位點,BA2 針對pXO1,BA3 針對炭疽桿菌染色體上的一個位點。
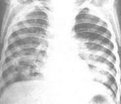
其他輔助檢查:X 線檢查顯示,肺部浸潤、縱隔增寬、胸腔積液等。
鑑別診斷
皮膚炭疽2.肺炭疽早期和一般上呼吸道感染相似,出現呼吸困難應與傳染性非典型肺炎、鉤端螺鏇體病、肺鼠疫相區別,多通過流行病學特徵以及病原學診斷相鑑別。
3.腸炭疽臨床上似痢疾、傷寒或耶爾森腸炎,有時似急腹症,但其毒血症症狀明顯,大便或嘔吐物培養結果可幫助鑑別。
4.炭疽性腦膜炎須與腦血管意外、其他病原所致腦膜炎鑑別,腦脊液塗片見粗大的呈竹節狀的炭疽桿菌可確診。
5.炭疽敗血症尚應和其他細菌所致的敗血症相區別。病原學檢查可幫助確診。
治療方案
肺炎2.注意事項
(1)家庭中應注意觀察和測量體溫:體溫是肺炎的生命體徵中重要指標,家庭中其他成員應學會觀察和測量。正常人腋下體溫一般應在35~37℃,體溫超過37℃即認為發熱。按發熱程度可分為:中熱38~38.9℃;高熱39~40℃;超過40℃為過高熱。發熱病人應嚴密觀察,同時注意脈搏及血壓變化。發熱時鼓勵病人多飲水,必要時給予輸液,液體量在2500~3000ml,記錄24h 液體出入量。補充電解質、維生素、高熱量飲食,口服退熱藥物或溫水擦浴。
(2)呼吸的觀察和測量:觀察呼吸頻率和節律的變化,呼吸困難的病人應給予吸氧,保持呼吸道通暢。選擇套用化痰藥物,支氣管解痙藥物。心力衰竭時,觀察病人發紺、血壓及脈搏變化,給予強心、利尿及擴血管治療。
(3)咯血的病人,注意病人的咯血量、貧血情況,監測血壓,保持呼吸道通暢,防止窒息。保持安靜,儘量劇烈咳嗽,必要時適量的鎮靜劑和鎮咳藥物。
(4)皮膚壞死、潰瘍時,應注意保持皮膚清潔衛生,按時清瘡去膿,防止皮膚感染。
併發症
常見敗血症、腦膜炎、休克、呼吸循環衰竭等。預後及預防
預後:有併發症者常出現呼吸困難後3 天內死亡。
預防:
1.控制環境 病情未愈時,應隔離治療。病人房間應減少人員流動,注意天寒保暖,疾病流行期間,儘量遠離擁擠的公共場所。
2.改善缺氧狀態 可用家庭氧療,口服化痰藥物,多引水,以濕化痰液,利於排痰。
3.加強功能鍛鍊,增加營養支持,並給予免疫增強劑。
流行病學
1.傳染源 染病的食草動物,如牛、羊、馬等為主要傳染源。豬、狗、狼吞食含菌飼料或肉食為次傳染源,病人排泄物和分泌物也有傳染性。被污染的土壤中細菌長期生長,所以傳染地區具有長期性和地方性。2.傳染途徑 皮膚直接接觸病畜,最易受感染,吸入含菌的塵埃,是肺炭疽病的重要傳染途徑。食入含菌肉類和帶菌昆蟲叮咬也可形成炭疽病。 3.易感人群:人類普遍易感,取決於接觸的程度和接觸的次數、時間長短等。

