述疾病概
炭疽桿菌肺炭疽(pulmonary anthrax)是炭疽桿菌所致的急性傳染病。原系食草動物傳染病,人因接觸病畜及其產品或食用病畜的肉類而被感染。潛伏期一般為1~5 天。多為原發性,也可繼發於皮膚炭疽。初期為輕微的上呼吸道感染,低熱、乾咳、肌痛。數天后病情急驟加重,表現為高熱、寒戰、呼吸急促、喘鳴、發紺、咯血樣痰、大汗和心率增速,頸、胸部可有皮下水腫。危重,常並發敗血症和感染性休克,也可繼發腦膜炎,表現為劇烈頭痛、嘔吐、抽搐、昏迷,有明顯腦膜刺激症。
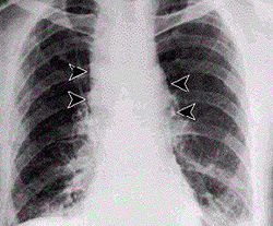
多為原發性,也可繼發於皮膚炭疽。初期為輕微的上呼吸道感染,低熱、乾咳、肌痛。數天后病情急驟加重,表現為高熱、寒戰、呼吸急促、喘鳴、發紺、咯血樣痰、大汗和心率增速,頸、胸部可有皮下水腫。肺部可聞及散在的細濕囉音和捻發音,可有大量胸腔積液。體徵與病情嚴重度不成正比。X 線除顯示肺炎外,胸腔積液,典型表現為縱隔增寬。患者病情大多危重,常並發敗血症和感染性休克,也可繼發腦膜炎,表現為劇烈頭痛、嘔吐、抽搐、昏迷,有明顯腦膜刺激症。血性腦脊液可檢出炭疽桿菌。
疾病病因
肺炭疽--X光攝影肺炭疽桿菌屬需氧芽孢桿菌,革蘭染色陽性,在人和動物體內有莢膜形成,有較強的致病性。在一般培養基上生長良好。一般消毒劑,加熱75℃數分鐘可殺滅。在體外有氧環境中形成芽孢,有很強的抵抗力。在土壤中能長期生存。煮沸30~50min 或強氧化劑(如漂白粉、高錳酸鉀)24h 可殺滅。對碘較敏感。
肺炭疽桿菌有4種抗原:①莢膜抗原:可抵抗吞噬細胞的吞噬作用,與致病力有關;②菌體抗原:有種的特異性,耐熱;③保護性蛋白抗原:是肺炭疽毒素的組成部分,有很強的免疫原性,注射動物可產生免疫力;④芽孢子抗原:有免疫原性及血清學診斷價值。肺炭疽毒素有3 種成分,水腫因子、致死因子和保護性抗原,單獨注射不表現毒性,混合注射有致死性。莢膜及毒素是炭疽桿菌致病的主要因素。肺炭疽桿菌侵入人體後,借其莢膜的保護,在局部大量繁殖,產生大量毒素,使組織水腫,壞死和出血性浸潤,形成原發性肺炭疽。
病理生理
當機體抵抗力降低時,致病菌經淋巴管或血循環擴散,形成敗血症和繼發性各型炭疽。肺炭疽毒素損傷微血管內膜,可引起瀰漫性出血,播散性血管內凝血和感染性休克。宿主對內臟炭疽感染因缺乏免疫應答,病變迅速進展,常可致死。肺炭疽為出血性小葉性肺炎,支氣管、縱隔淋巴結腫大,並有出血性浸潤、胸膜、心包常受累,可有壞死出血性縱隔炎。
診斷檢查
肺炭疽影像診斷:根據接觸病畜及產品的生活史,職業史和典型的臨床表現,診斷一般不困難。確診有賴於病菌的檢出和血清學檢查。肺炭疽的中毒症狀遠較大葉性肺炎為重,X線檢查有助於區別。
實驗室檢查:
1.周圍血象白細胞計數和中性粒細胞增高,可有類白血病反應。
2.病原學檢查 取患者的病灶性滲出物、痰液、分泌物、血及腦脊液等作塗片或培養,可發現病原菌。可作莢膜染色,特異性螢光抗體染色以進一步鑑定,上述檢材可培養或接種於豚鼠等動物的皮下組織分離炭疽桿菌。
3.血清學 酶聯免疫吸附測定傳統阿斯可里(Ascoli)沉澱試驗敏感性和特異性都不高。間接免疫螢光法螢光抗體檢測有較高的敏感性、特異性。
其他輔助檢查:X線表現除顯示肺炎外,胸腔積液,典型表現為縱隔增寬。
治療方案
青黴素鈉1.病原治療 青黴素G為首選藥,尚未發現耐藥。、為160 萬~400 萬U/d,分次肌注,療程7~10 天。對肺炭疽及並發腦膜炎敗血症者,青黴素增至1200 萬~2400 萬U/d 靜脈滴注,並加用鏈黴素每天1~2g,分次肌注,或阿米卡星每天0.4~0.8g,療程2 周以上。
2.抗肺炭疽血清治療 對重症者,除抗生素外,可同時套用抗肺炭疽血清靜脈注射,第1 天100ml,第2,3 天,各30~50ml,套用前必須先作皮試。
3.對症治療 靜脈補液,擴容。出血嚴重者適量輸血,有循環衰竭者,抗休克治療,可套用腎上腺皮質激素,對控制局部水腫的發展及減輕毒血症有效,可用氫化可的松(100~200mg/d)或地塞米松(10~20mg/d)靜脈滴注,如水腫導致氣道阻塞須採用保持氣道通暢的措施。
疾病預防
預後:若不及時診斷和搶救,則常在急性症狀出現後28~48h 因呼吸循環衰竭而死亡。
預防:嚴格管理傳染源,病人和病畜都應隔離治療,其分泌物和排泄物應消毒。病人屍體須火化,畜屍須焚燒。皮毛收購應加強檢查,染菌皮毛應消毒以殺死病菌和芽孢。加強勞動防護。對從事畜牧業收購、加工的工作人員、獸醫務人員和疫區人群可用無毒活菌苗接種,保護期約1年。
流行病學
肺炭疽在牧區呈地方流行性。患病的草食動物是主要傳染源,人類因接觸病畜(牛、馬、羊、豬等)或其排泄物以及畜產品而被感染。肺炭疽的痰、糞便以及病灶分泌物均有傳染性。以接觸傳染最為常見,也可因肺炭疽芽孢塵埃氣溶膠經呼吸道吸入而感染,或經消化道感染。人群普遍易感,主要取決於接觸病原體的程度和機會,感染後免疫力持久。
疾病研究
肺炭疽研究肺炭疽如今往往讓人將其和恐怖攻擊聯繫在一起,尤其是由吸入炭疽桿菌引起的肺型炭疽病死率極高。德國科學家日前宣布,他們揭開了肺型炭疽的致命之謎,有望找到治癒肺型炭疽的新方法。
炭疽也稱脾瘟、惡性膿皰,是由炭疽桿菌引起的急性、特異性和發熱性疾病。全世界人類炭疽病例中,皮膚型炭疽占95%至99%,在早期症狀出現後若能得到有效治療,自愈率超過80%;但人們已經知道,肺型炭疽通常是致命的,任何治療手段都無濟於事。
德國馬克斯·普朗克學會下屬的傳染病生物學研究所日前發表新聞公告說,該所科學家阿圖羅·左奇林斯基帶領的研究小組發現,在炭疽桿菌接觸到皮膚獲得侵入人體的機會後,炭疽孢子會開始試圖“萌芽”成長,積聚奪取生命的惡毒能力。但炭疽孢子的侵入會引來許多嗜中性粒細胞自發聚集過來,這些特殊的白細胞能夠在一番“肉搏”之後,成功包圍並很快殲滅炭疽桿菌,進而阻止了炭疽桿菌在人體內的傳播。
科學家解釋說,肺型炭疽的致死率之所以比皮膚型炭疽高得多,主要是因為炭疽桿菌在被吸入人體後,肺部並沒有引發與皮膚型炭疽類似的防禦機制。肺部嗜中性粒細胞的數量較少,不足以將炭疽孢子扼殺在“襁褓”之中。而炭疽孢子在迅速成長並散播開來之後,便在人體內四處肆虐,最終奪去生命。
發現了上述機理後,科學家做了進一步的試驗研究加以確認。經過複雜的分解,左奇林斯基等人在嗜中性粒細胞中最終確認唯一剩下的物質——一種名為α防禦素的蛋白質,在治療炭疽的過程中扮演了重要角色。

