基本概述
粘液表皮樣癌(mucoepidermoid carcinoma)也稱粘液表皮樣腫瘤(mucoepidermoid tumor),在涎腺腫瘤中占5%~10%。Stewart等根據其臨床特點和組織學特徵將其稱為粘液表皮樣腫瘤,並又分為良性及惡性兩類。WHO也曾採用粘液表皮樣瘤的名稱,但以後許多學者認為這種命名分類並不恰當,認為此腫瘤全部為惡性,應稱為粘液表皮樣癌,並根據癌細胞分化程度的高低和生物學行為,將其分為低度惡性和高度惡性粘液表皮樣癌。WHO1990年修訂的涎腺腫瘤的命名及分類已採用這種分類方法。雖然“粘液表皮樣”一詞並不完全合適,但基本上反映了腫瘤的主要成分為粘液樣細胞和表皮樣細胞。粘液表皮樣癌來源於腺管的上皮細胞。
臨床表現
粘液表皮樣癌發生在腮腺者最多,約占70%以上。小涎腺者常見於齶部,其他部位,如磨牙後區、頰部、上唇、下唇等部位則少有發生。可發生於任何年齡,以30~50歲多見,女性多於男性,約為1.5∶1。高分化者常呈無痛苦性腫塊,生長緩慢。腫瘤大小不等,邊界可清或不清,質地中等偏硬,表面可呈結節狀。
腮腺腫瘤侵犯面神經時,可出現面癱。手術後可以復發,但頸部淋巴結轉移率低,血道轉移更為少見。與高分化者相反,低分化黏液表皮樣癌生長較快,可有疼痛,邊界不清,與周圍組織粘連。腮腺腫瘤常累及面神經,頸淋巴結轉移率高,且可出現血到轉移。術後易於復發。因此,高分化黏液表皮樣癌術低度惡性腫瘤,而低分化黏液表皮樣癌屬高度惡性腫瘤。前者較常見,後者少見。
粘液表皮樣癌的臨床表現與臨床的分化程度關係密切。高分化型,占多數,一般為無痛性腫塊,生長較慢,病程較長。腫瘤體積大小不一,邊界清楚,質偏硬,活動,表面光滑或呈結節狀。可為囊性,亦可為實性。發生於齶部或磨牙後區者,可見腫塊在黏膜下呈淡藍色或暗紫色,黏膜光滑,質地軟,穿刺可抽出少量血性紫黑色液體。
低分化型腫瘤生長較快,常伴疼痛。邊界不清楚,呈彌散性,與周圍組織有粘連,可破潰而繼發感染,形成經久不愈的潰爛面,並有淡黃色粘稠分泌物。有時可形成涎瘺。發生於腮腺者,累及面神經時可發生面神經癱瘓症狀及面肌抽搐症狀。發生於齶部者,可能破壞硬齶。
輔助檢查
一般需經術冰凍切片檢查後方能確診。發生在腮腺者,腮腺造影可見侵蝕性破壞,導管缺損或中斷,遠端導管出現部分或完全不充盈,管壁不光滑,也可能出現分支導管破壞,碘油外漏等惡性腫瘤表現。CT檢查可見邊界不清楚的腫塊,腮腺腺體破壞或被擠壓移位。
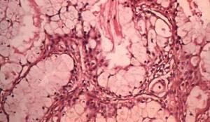
(一)大體形態:粘液表皮樣癌高分化者與混合瘤相似,呈圓形,腫瘤較小,直徑多為2~3cm,少數超過5cm。有的有被膜,但多數不完整,甚至完全無被膜。剖面呈灰白色或淺粉色,偶見分葉,可有多少不等的小囊,內含粘液。低分化者完全缺乏包膜,界限不清,侵犯鄰近組織。切面呈灰白色,不分葉,質地均勻,可有散在的小囊及半透明的小灶。
(二)鏡檢:粘液表皮樣癌由粘液樣細胞、表皮樣細胞和中間細胞組成。粘液樣細胞分化成熟時呈杯狀或柱狀,胞漿透明,核在基底部;分化不成熟時,似腺癌細胞,胞漿內含粘液,胭脂紅染色陽性。表皮樣細胞類似口腔黏膜的復層鱗狀上皮,可見細胞間橋,偶見角化。中間細胞呈立方形,體積較小,大小一致,胞漿少,類似上皮的基底細胞。中間細胞可向粘液樣細胞和表皮樣細胞演變。高分化者,粘液樣細胞和表皮樣細胞較多,中間細胞較少,瘤細胞可形成不規則的片狀,但常形成大小不等的囊腔,囊壁襯裡常見粘液細胞。粘液樣細胞可復蓋於表皮樣細胞上,也可夾雜在表皮樣細胞之間。較大的囊腔可有乳頭突入,腔內有紅染的粘液。低分化者,主要為表皮樣細胞和中間細胞,而粘液樣細胞較少,瘤細胞間變明顯,可見核分裂,實質性上皮團塊多,囊腔少,並可見腫瘤向周圍組織侵犯。
(三)生物學特點:粘液表皮樣癌常呈浸潤性生長,復發率較高,可發生淋巴結轉移,轉移到骨、腦、肺者較少,但高分化者可有完整包膜,完整切除後復發較少。
鑑別診斷
發生於腮腺者,要與腮腺瘤、腮腺炎、腮腺癌症相鑑別。
腮腺癌parotidtumor占唾液腺癌中80%,而其中有75%是良性,而頷下腺腫瘤一半以上是惡性,分別靠臨床檢查影像(ct、mri、pet)等。惡性症狀發生較迅速,硬塊出現疼痛、壓痛、神經壓迫症狀、硬、固定等,癌可局部擴散,甚至遠端轉移,治療方法為手術,加用放射療法,依惡性類型或發生情況而決定,有時還得採用化學療法,約70%可得好效果,(高度惡化30%,低度惡化80%)。10-15年後可能再發。
疾病預後
粘液表皮樣癌預後良好。Bhaskar報告144例,復發者占12.5%,5年生存率為88.5%。腫瘤細胞的分化程度與預後密切相關。Kosenfeld報告高分化型的5年、10年生存率均為100%,而低分化型的5年、10年生存率則分別為39%和11%。Spiro等報告367例,其中高分化型5年、10年及15年生存率分別為92%、90%及82%;低分化型則分別為49%、42%及33%。原發於腮腺及小涎腺者較發生於頜下腺者為好。林國礎等報告189例,局部復發率為13.57%,5年、10年、15年生存率分別為91.66%、89.87%、66.61%。

