生物學性狀
形態染色
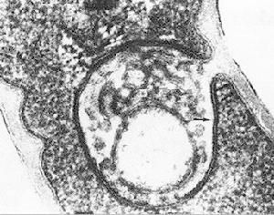
白喉桿菌 白喉桿菌細長稍彎,排列不規則,常呈L、V、X、T等字形或排成柵欄狀。革蘭氏染色陽性;用美藍液染色菌體著色不均勻,常呈著色深的顆粒;用奈瑟氏染色菌體染成黃褐色,一端或二端染成藍色或深藍色顆粒,稱為異染顆粒(Metachromatic granules),是本菌形態特徵之一。
培養特性
白喉桿菌為需氧菌或兼性厭氧菌,最適溫度為37℃,最適PH為7.2~7.8,在含血液、血清或雞蛋的培養基上生長良好。菌落呈灰白色、光滑、圓形凸起,在含有0.033%亞碲酸鉀血清培養基上生長繁殖能吸收碲鹽,並還原為金屬碲,使菌落呈黑色,為本屬其他棒狀桿菌共同特點。且亞碲酸鉀能抑制標本中其他細菌的生長,故亞碲酸鉀血瓊脂平板可作為棒狀選擇培養基。根據在此培養基上白喉桿菌落的特點及生化反應,可將白喉桿菌區分為重型(Gravis)、中間型(Intermedus)和輕型(Mitis)三型,三型白喉桿菌的分布有所不同,常隨地區和年份有別,有流行病學意義。
抵抗力
對濕熱的抵抗力不強,對一般消毒劑敏感。60℃經10分鐘或煮沸迅速被殺死,1%石炭酸中經1分鐘死亡,但對乾燥、寒冷和日光的抵抗力較其他無芽孢的細菌為強,在日常物品、食品及衣服上能生存多日,本菌對青黴素和常用抗生素比較敏感。致病性和免疫性
致病性
白喉桿菌的免疫性和致病性該菌的致病物質主要是白喉毒素。白喉毒素是含有兩個二硫鍵的多肽鏈,分子量為62,000。經蛋白酶水解後,可分為A和B兩個片段,中間仍由二硫鍵連線。B片段,無酶活性,但能與宿主易感細胞表面特異性受體結合,並通過易位作用使A片段進入細胞。A片段具有酶活性,能將氧化型煙醯胺腺嘌呤二核苷(NAD+)水解為煙醯胺及腺嘌呤二磷酸核糖(ADPR)兩部分,並催化延伸因子-2(Elongation factor-2,EF-2)與ADPR共價結合,使EF-2失去轉位活性,從而中止肽-tRNA及mRNA在核糖體上由受位轉移至供位,肽鏈不能延長,細胞蛋白質合成受阻,細胞死亡,從而產生病變。
僅攜帶β-棒狀桿菌噬菌體的溶源性白喉桿菌才能產生外毒素,因為白喉毒素就是β棒狀桿菌噬體毒素基因(tox+)編碼的蛋白質。tox+基因的表達與菌體無機鐵含量密切相關,鐵含量適量時, tox+基因表達,否則不表達。
白喉桿菌尚產生一些侵襲性物質,如類似於結核桿菌的索狀因子(Cord factor),能破壞細胞的線粒體膜,導致呼吸和氧化磷酸化作用受到抑制。
白喉的傳染源是白喉病人及恢復期帶菌者。該菌存在於假膜及鼻咽腔或鼻分泌物內,經飛沫、污染物品或飲食而傳播。白喉桿菌侵入易感者上呼吸道,通常在咽部黏膜生長繁殖,並分泌外毒素及侵襲性物質,引起局部炎症和全身中毒症狀。局部黏膜上皮細胞發生壞死,血管擴張,粒細胞浸潤及纖維滲出,因此形成灰白色膜狀物,稱為假膜(Pseudomembrane),若病損進一步擴展至喉部或氣管內,可引起呼吸道阻塞,甚至窒息。儘管細菌一般不侵入血流,但外毒素可被吸收入血,迅速與易感組織細胞結合,使心肌、肝、腎和腎上腺等發生退行性病變,並可侵犯齶肌和咽肌的周圍神經細胞,臨床上出現心肌炎和軟齶麻痹、聲嘶、腎上腺機能障礙,血壓下降等症狀。該菌偶有侵害眼結膜、外耳道、陰道和皮膚傷口等處,也可形成假膜。
免疫性
白喉棒狀桿菌的菌體白喉病後有較強的免疫力,主要是機體能產生中和白喉外毒素的抗體(IgG)。1~5歲易感性最高,5歲以上易感性逐漸下降,成人絕大多數由於隱性感染或 預防接種 ,已獲得免疫力。
錫克氏試驗(Schick's test)用於測定人體對白喉有無免疫力,確定是否需要預防接種。方法是在左前臂屈側皮內注射0.1ml白喉毒素(含1/50的豚鼠最小致死量),同樣在右前臂屈側皮內注射對照毒素(加熱80℃經5分鐘破壞其毒性)0.1ml,作為對照。陰性反應,兩側注射處都沒有出現紅暈或浸潤,表明機體對白喉有免疫力。
陽性反應,左側注射處24~36小時後,出現圓形微隆起紅暈,逐漸形成紅腫硬塊,至第四天達最高峰,直徑達1~2cm,7~14日後反應逐漸消退,而對照側沒有反應,表示對白喉沒有免疫力。假陽性反應,表示既有免疫力,又有變態反應。混合反應,表示機體對白喉毒素沒有抗毒免疫力,但對毒素蛋白則有變態反應,應注意區別。
微生物學診斷
臨床上疑似白喉的病人不必等待檢驗結果,應立即給予抗毒素和抗生素治療。但對於白喉流行期的首例病人應做微生物學檢驗予以證實。
(一)直接染色鏡檢
用棉拭子採取假膜邊緣部滲出物,塗片,用奈瑟氏染色或美藍染色,鏡檢有無含異染顆粒的棒狀桿菌。結合臨床症狀,可作出初步診斷。確診必須通過細菌培養並進行毒力試驗。
(二)凝固血清棉拭培養法
將沾有馬或牛血清的棉拭子放在無菌試管內,經8~10磅蒸汽滅菌20~30分鐘,並使血清凝固,用此凝固血清棉拭採取病人咽部標本,置37℃培養8~10小時後,直接塗片鏡檢。此法可作為大量檢查時快速培養診斷之用。
(三)培養檢查
將棉試檢材接種於雞蛋斜面或Loeffer's血清凝固斜面培養基及亞碲酸鉀平板培養基上,置37℃培養,待斜面或平板上長出典型的灰色疑菌落,挑取轉種到雞蛋或血清斜面進行分離培養,以供進一步形態染色或毒力試驗鑑定。
(四)毒力試驗
1.豚鼠試驗 取體重250g 豚鼠2隻,其中一隻試驗前12小時,由腹腔注射白喉抗毒素250~500單位,供做對照。然後對照。然後各於皮下注射48小時的培養液2ml,若於2~4天注射抗毒素的豚鼠死亡,而對照豚鼠存活,便證明所試驗菌株為有毒白喉桿菌。
2.E平板試驗 將浸有白喉抗毒素的無菌濾紙條貼在含20%馬血清的瓊脂平板上,然後沿濾紙條垂直方向劃線接種待測細菌,同時也接種已知產毒株和不產毒株做為對照。37℃培養48小時後,若待檢菌株產生白喉外毒素,則在濾紙條和劃線生長的菌苔交界外出現白色沉澱線。
特異防治
白喉桿菌所產生的外毒素白喉抗毒素做為特效治療製劑,應在發病早期注射足量的白喉抗毒素,一般用量為2萬~10萬單位,作肌肉注射,重者可作靜脈滴注。使用抗毒素血清之前進行皮膚試驗,防止發生異種血清過敏反應。使用抗毒素的同時,應給予抗菌治療,如用普魯卡因青黴素肌注,直至症狀消失和白喉桿菌培養陰性為止。
抗菌防治
在抗生素的選擇上,青黴素是首選藥物,青黴素可以通過抑制白喉桿菌細胞壁的合成而起較強殺菌、抑菌作用。一般使用時間為7~10天 用至症狀消失和白喉桿菌培養陰轉為止。如果感染者對青黴素過敏,或套用青黴素1周后培養仍是陽性者,也可以使用紅黴素和四環素。其他抗菌藥物,比如羥氨苄青黴素、利福平等也可能有效。

