矯正器的概述
矯正器
牙齒矯正器牙頜畸形主要用力量進行矯正,不像身體其他疾病要藥物治療:這種矯正可用很多方法給予,矯正器就是其中之一。運用物理辦法,將畸形牙齒恢復正位。
矯正器的定義
矯正器矯正器(appliance)是一種治療錯(牙加合)畸形的裝置,或稱正畸矯正器。它科產生作用力,或由咀嚼肌口周肌功能作用力借矯治器使畸形的額骨、錯位牙齒借牙周支持組織發生變化,以利於牙頜面正常生長發育。
矯正器性能的基本要求
矯正器矯正器通常是一種不銹的富有彈性的金屬絲或塑膠製品,或兩者結合的機械性裝置,戴在口內或頜面部,實際上是一種異物。為了使其能為患者所接受,並不妨礙或少妨礙正常的咀嚼、發音等功能,以及美觀、舒適和耐用,必須具有下列性能:
1)矯正器對口腔應軟組織及頜面面部無損害,不與唾液起化學反應,符合生理要求,不影響頜面牙的正常生長發育和功能。
矯正器2)矯正器的體積儘量小巧,戴用舒適,顯露部分儘量少,對美觀影響小。
3)容易洗刷,便於清潔,不影響口腔衛生。
矯正器
矯正器4)結構簡單、牢固,發揮彈力好,力量易於控制,效果好;應具有穩固的支抗,材料應具有足夠的強度,發揮作用部分應便於調整,有利於控制矯正力的方向和大小。
矯正器的類型
各種矯正器都可使牙齒移動,但關鍵是要選擇適當的類型,因每種矯正器基本結構、技術要求和搜用的材料不同,所以對矯正器要加以分類。
根據矯正器的作用目的分類
1)矯治性:對(牙加合)頜面畸形進行主動法人矯治,其作用力可為機械力,也可為口周肌功能力。
2)預防性:目的在於預防可能發生的錯(牙加合),如缺隙保持器或預防性舌弓,以保持牙弓長度,可用固定或活動裝置。
3)保持性:專供積極治療後保持被移動牙齒固定在新的位置上而不至於復發。
根據矯治力的來源分類
1)機械性:此類矯治力來源於各種金屬絲變形後的回彈力或軟性彈力材料(如橡皮圈)拉長後的回縮力,該人工施加的機械力,間接或直接作用於牙頜器官,以達到調整頜間關係和移動錯位牙的目的。
2)磁力性:利用永磁材料異性相吸、同性相斥的作用力矯治錯(牙加合)畸形。因為近年來稀土永磁材料的發展,出現了超小型的高磁能永磁體,如釹鐵硼(NdFeB),可用粘合劑直接粘在牙面上,或附加於矯治器上以達到治療商務目的。
矯正器3)功能性:矯治原理是利用咀嚼肌或口周肌的功能作用力,通過戴用的矯治器傳遞至被矯治的部位,改變錯位的牙頜器官,誘導其生長發育向正常方向進行。
按固定方式分類
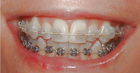
1)固定矯正器:用粘固粉或粘合劑粘固於牙齒上,病人自己不能取下,只有醫生用器械才能取下。
2)活動矯正器:附於牙齒或黏膜上,患者自己可隨意摘戴,經醫生調整加力後重新戴入口內。
各類矯治器的優缺點
活動矯治器
(1)優點:1 患者能自行摘戴,便於洗刷,能保持矯治器和口腔的衛生。2 避免損傷牙體牙周組織。施力過大疼痛時,患者可自行卸下,矯治力也可因矯治器離位而抵消。3 不影響美觀。如有外交、演出等某些場合需要,晚間戴即可。4 只要設計合理,製作精細,調整加力適宜,能矯治一般常見的畸形。5此類矯治器構造簡單,製作容易。
(2)缺點:1 基牙無倒凹者,固位相對差,效果不佳,支抗不足。2 作用力單一,控制牙移動能力不如固定矯治器,牙齒移動方式多為傾斜移動,整體移動難。3 影響發音,因為基托的關係,所以舌活動度受限,說話不清楚。4 有異物感,取戴麻煩,患者往往不能堅持戴,活動矯治器需要患者積極合作,否則療效不佳。5 剩餘間隙處理難。
固定矯治器
(1)優點:1 固定良好,支抗充足。2 能使多數牙移動;整體移動、轉矩和扭轉等移動容易。3 能控制矯治牙的移動方向。4 能矯治較複雜的畸形。5 體積小,較舒適。6 不影響發音和口語訓練。7 臨床複診加力間隔時間長。8 療程較短,患者不能自行將矯治器摘下不戴,所以矯治力得以持續發揮。
(2)缺點:1 帶用固定矯治器需要特別重視口腔衛生保健,如不能特別注意口腔保健易引起齲、齦炎。2 固定矯治技術相對複雜,臨床上椅旁操作時間較長,因此只能由有經驗的醫師來使用。3 如力量過大,患者不能自行取卸,容易引起牙體、牙周組織的損害,產生不良後果。

