簡介
瓊斯骨折命名
該病名是在1902年,由一個名為羅伯特·瓊斯的醫生髮現並用自己名字命名的。在此之前普遍認為所有的跖骨骨折都是直接暴力造成,但Jones認為此骨折是足跟抬高足內翻後,身體的重心轉移引起從前方到跖骨基底部的應力所致,其描述的部位是近端粗隆部以遠的骨幹部分。
但對Jones骨折的部位一直有爭議,Torg等將第五跖骨近端分為:粗隆部和粗隆部以遠1.5cm長的骨幹部分,認為後者易發生所謂的Jones骨折。
特徵
解剖及應力學特徵
瓊斯骨折腓骨短肌止於粗隆部背外側,跖筋膜外側束止於跖骨近端尖部,兩者參與撕脫骨折的發生,前者協助足外翻作用,手術應予以保護。在青少年的第5跖骨粗隆部有個骨突,不要誤認為是骨折。同時,此處還有2個籽骨,也不要認為是骨折。
第4、5跖骨與跟骨和骰骨構成外側縱弓,5根跖骨基底部組成足的橫弓。第5跖骨活動範圍最廣,其與第4跖骨只有較松的韌帶相連。此處有3個關節:骰骨與第4跖骨相關節,骰骨和第5跖骨相關節,第4、5跖骨間關節。數支骨骺和乾骺端動脈提供基底部和粗隆部的血運,但只有一根營養動脈從內側皮質進入骨幹的近中1/3處為骨幹提供血運,此根營養動脈只發出一個縱向的髓內分支供應骨幹和粗隆部交界處血運,骨折很容易造成其損傷,所以此處很容易發生骨延遲癒合或不癒合。
另外,在腓骨短肌止點、第3腓骨肌和伸肌支持帶外側束的止點的操作時,要注意保護腓腸神經,如果便於暴露骨折而需要切斷肌腱止點的時,宜行“Z”字切開。
分型
Stewart氏分型
瓊斯骨折Ⅰ型為關節外骨折,Ⅱ型為關節內撕脫骨折,Ⅲ型為關節外撕脫骨折,Ⅳ型為關節內粉碎性撕脫骨折,Ⅴ型為關節外撕脫骨骺骨折。
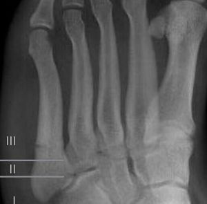
而更多學者將此部分骨折分為3區不同性質的骨折:
(1)粗隆部的撕脫骨折;
(2)乾骺端和骨幹連線部骨折;
(3)近端骨幹的應力性骨折。
Torg氏分型1984年Torg等根據臨床表現和影像學檢查將第5跖骨骨折分為3型:
Ⅰ型為急性損傷,沒有創傷史,髓腔沒有硬化,骨折區沒有增寬,只有骨膜反應;
Ⅱ型為延遲骨折,有創傷史,骨折線增寬,髓腔硬化;Ⅲ型為骨不連,表現為症狀反覆,多次創傷史,骨膜有新骨形成,骨折區增寬,髓腔被硬化骨代替。從影像學上,可簡單分為:急性骨折、延遲骨折和骨不癒合。
病因
第5跖骨基底由於是松質骨,常因腓骨短肌猛烈收縮而發生骨折,臨床上也見到有人因為下樓梯不小心而使第五跖骨基底骨折。一般情況下,這種傷病並不是直接暴力引發,而是由於足跟太高足內翻後,身體重心轉移引起趾骨基底部的應力所致。
引發這種傷病的因素也很多,比如崴了下腳,被別人踩到腳或者是踢到什麼東西之類。
症狀
多發生於運動員或者與運動相關的患者,也見於車禍傷患者,不同部位損傷機制不同,臨床表現亦不同。
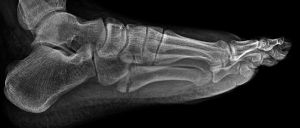
受傷後足部疼痛,腫脹、皮下淤斑,足部短縮畸形,不能行走,檢查可發現骨折部局限性壓痛,有縱向扣擊痛,前足的正位、側位及斜位X線拍片可準確判斷骨折的部位,類型和移位情況。
診斷
瓊斯骨折2區近端骨幹急性骨折的損傷即所謂的Jones骨折。主要由於前足內收導致近端乾骺端和骨幹結合部骨折。此骨折從近端跖骨外側面延伸到第4、5跖骨關節面,進而引起骰骨和跖骨的關節損傷。損傷機制是由沿著跖骨外側緣張應力所致。
3區骨折主要是近端骨幹的應力性骨折,發病率相對較低,主要見於運動員。骨折由反覆的張應力使得外側皮質發生微骨折,骨折逐漸延長到整個跖骨,在有X線片陽性表現前,往往有幾周至幾個月不等的跖骨外側疼痛,X線片可見不同長度的硬化緣和骨痂。
鑑別
該骨折應與第5第五跖骨粗隆突起鑑別,尤其是9-15歲的兒童,常常可以出現第五跖骨基底部的骨骺,常表現為縱行透亮線,骨片邊緣一般規則光滑,周圍軟組織無明顯腫脹。
治療
治療還存在爭議:
保守治療
1、2區的骨折可以保守治療,方法包括冷敷、抬高、制動、使用矯形器具,不需要進行手術,通過固定或穿保護靴等方式,一般4到8周的時間就能夠癒合四分之三。
手術治療
對活動要求較高者和運動員,提倡手術治療。手術治療也適用於骨延遲癒合和骨不癒合患者以及關節內骨折者。
但即便是手術治療,由於骨折的特殊性,那個位置的骨頭也不能保證能夠完全癒合。因為那裡供血較差,而且還有腓骨短肌和各種肌腱存在,另外還有兩塊小肌肉附著在骨頭上,它們都將影響到骨頭的癒合。
病例
第五跖骨骨折這種傷病在體育界中相當普遍:
比如在2006年4月份,姚明就在對爵士的比賽中遭遇這種傷病,經過3個月時間的恢復就重回賽場。
喬丹、加索爾、大衛-羅賓遜、畢比、布蘭德和洛佩茲兄弟等也曾受過類似的傷病。
2014年10月,NBA雷霆隊當家球星、常規賽MVP杜蘭特右腳第五跖骨骨折,將缺陣6到8周的時間。在杜蘭特的職業生涯中,截至2014年,這是他所遭受過的最嚴重傷病。

