中文名:牙周病綜合症
牙周病綜合症\牙周病綜合症的發展過程特點:
牙周病綜合症為慢性炎症其反覆發作漸進性發展,臨床上主要以牙槽骨吸收牙齒鬆動為症狀,漸而引起咬合創傷使牙齒移位,最後造成牙齒的缺失,剩餘牙支持力差,造成修復治療困難。
臨床表現:
1.齦炎主要表現為牙齦和齦乳頭變圓純光亮,點彩消失,齦質粉軟脆弱缺乏彈性,齦探診易出血,局部有牙垢或牙結石存在。
2.牙周炎除齦炎的表現外還有牙周袋形成,牙周袋內可有膿液溢出,牙齒不同程度鬆動,X光照片可見牙槽骨呈不同程度吸收。
牙周病綜合症診斷:
1.物理刺激牙齦易出血
2.患病區牙齦充血水腫牙周炎者可探及牙周袋,牙齒呈不同程度鬆動。
3.X光照片可見牙周炎者的牙槽骨不同程度吸收而齦炎無牙槽骨吸收現象
其它輔助檢查:
治療:
1.去除局部不良刺激因素清除牙結石及菌斑積極治療全身性疾病。
2.較嚴重的牙周炎可行齦翻瓣術齦增生過度者可行增生齦切除術。
健康牙齒3.抗生素治療
4.中藥治療。
5.指導患者建立良好的口腔衛生和保健
對於牙周病的用藥治療問題主要是針對急性炎症期間,通過使用有效的抗生素藥物來控制炎症的發展及改善症狀,在炎症得到控制後更重要的處理是進行局部治療例如徹底清除牙垢,牙石或拆除不良修復體,這樣既治標又治本。如果由全身性疾病所致,應由有關專科用藥配合治療。
預後:
1.治癒:症狀及體徵消失
2.好轉:症狀及體徵明顯減輕。
3.未愈:症狀及體徵未改善
牙周病綜合症以及全身病的關係:
(1)全身性疾病對牙周病的影響
①糖尿病
糖尿病是一種內分泌障礙性疾病,常可導致多器官的營養不良性病變。對於糖尿病與牙周病的關係尚沒有統一的認識,但目前普遍認為糖尿病不引起牙周病,只是降低了對於
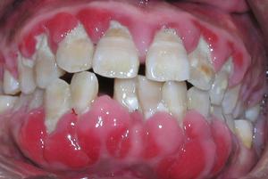
牙周病治療前牙齦充血紅腫明顯②血液病一些血液病如白血病、再生障礙性貧血等疾病也可影響牙周病的嚴重性。患有白血病的病人,由於抗感染的能力下降,牙齦顯著肥大,自發出血。各種嚴重的貧血病也可加速牙周組織的破壞。
③遺傳性疾病一些遺傳性疾病如掌蹠角化綜合症、先天愚型綜合症(DOWN綜合症)的患者常伴有嚴重的牙周病。某些類型的牙周病如青少年牙周炎,往往也具有同一家族發病的情況。
(2)牙周病對全身性疾病的影響
除了上述疾病對於牙周病的發生、發展及嚴重程度所產生的
牙周病治療後牙齦恢復健康的顏色和形態①心血管疾病牙菌斑是牙周病的元兇,而牙菌斑中的血鏈球菌可以促使血小板聚集,促使血栓形成。另外,很多牙周致病菌可以產生內毒素及許多炎症介質,這些有害物質均可以對血管壁造成損傷。
②肺功能降低有的學者做過此方面的觀察,發現患有牙周病的病人的肺功能低於正常人,並且易發肺炎。
③低出生體重兒及早產兒牙周病是由細菌引起的一種感染性疾病,在眾多的牙周致病菌中梭形桿菌是唯一可以通過胎盤的,已經有學者從羊水中分離培養出該種細菌。再者,牙周致病菌產生的內毒素或炎症介質均可以導致炎症。通過觀察發現,患有牙周炎的產婦發生低出生體重兒及早產兒的比率高於正常人。
綜上所述,牙周病的病因是多源性的,局部的病損與全身狀況密不可分,全身性疾病影響牙周病變的程度和預後,而有效的牙周治療可使牙周組織恢復健康,這對於整個機體也是大有好處的。
