淋巴管結構
淋巴管瘤毛細淋巴管盲端起始於組織間隙內,逐漸匯集成一系列由小至大的淋巴管,組織間隙內的部分組織液可滲透到毛細淋巴管內,即為淋巴液,呈淺褐色液體。淋巴管的組織結構與靜脈相似,管壁很薄,多數腔內有瓣膜。可分為毛細淋巴管、淋巴管和淋巴導管三種:
(一)毛細淋巴管
毛細淋巴管(lymphatic capillary)體內大多數器官都有毛細淋巴管,以盲端起始,腔大而不規則,粗的可達100μm,分支吻合成網。管壁構造與毛細血管相似,主要由內皮和少量結締組織構成.無周細胞,基膜極不完整。電鏡下,內皮細胞連線疏鬆,間隙較大,通透性強,胞質內有一些吞飲小泡,還散在一些圓形線粒體利短管狀的粗面內質網。毛細淋巴管可允許大分子通過。
(二)淋巴管與淋巴導管
由毛細淋巴管匯集形成各級淋巴管(lymphatic vessel)。構造與靜脈相似,但腔大壁薄,由內皮和外皮的少量平滑肌與結締組織構成。腔內有瓣模,構造與靜脈相擬。
最大的淋巴管稱淋巴導管(lymphatic duct),包括右淋巴導管,構造近似大靜脈,但壁薄,外膜中的縱行平滑肌束很少。
人體內,中樞神經系統、軟骨組織、骨組織以及骨髓等組織,無淋巴管分布,其他部位均有淋巴管分布。
功能
淋巴管系統則是一個單向的回流管道,是循環系統的一個支流,協助靜脈運回體液入循環系統。它以毛細淋巴管盲端起源於組織細胞間隙,吸收組織液形成淋巴液,淋巴液在淋巴管內向心流動,沿途經過若干淋巴結,並獲得淋巴球和漿細胞,最後匯集成左、右淋巴導管開口於靜脈
淋巴循環的主要功能是回收蛋白質、運輸營養物質、調節體內液體平衡。由於組織液中的蛋白質可透入毛細淋巴管而進入血液,故淋巴液回流的最重要意義是回收蛋白質。每天約有75~200g蛋白質由淋巴液帶回到血液中,使組織液中的蛋白質能保持較低的水平。例如,身體中主要的淋巴管被阻塞則組織液中蛋白質將積聚增多,組織液的膠體滲透壓不斷升高,只需數小時,毛細管處的液體交換,就會發生嚴重障礙,可危及生命。如果一個肢體淋巴管發生阻塞,則該肢體的組織可因蛋白質積聚而發生嚴重水腫。此外,小腸黏膜吸收的營養物質特別是脂肪可由小腸絨毛的毛細淋巴管吸取而轉運至血液中。淋巴液回流的速度雖然很慢,但一天中回流的淋巴液量大致相等於全身的血漿量,故淋巴液的回流對血漿和組織液之間的平衡起到一定作用。
另外,淋巴循環還有消除組織中的紅細胞、細菌、異物功能。進入組織間隙的紅細胞或侵入體內的細菌、異物,由於淋巴毛細管的通透性較大,故可進入淋巴液。淋巴液流經淋巴結時,被淋巴結中的巨噬細胞吞噬。此外,淋巴結尚能產生淋巴細胞和漿細胞,參與免疫反應。故淋巴系統還具有防禦的功能。
毛細淋巴管瘤
毛細淋巴管瘤毛細淋巴管瘤(capillary lymphangioma)是由原始淋巴管發育增生形成的腫物,是一種先天性發育畸形,屬於錯構瘤性質,是腫瘤和畸形之間交界性病變。
發病原因
胚胎期靜脈叢中的中胚層在形成原始淋巴囊時,出現錯構,使原始淋巴囊未能與靜脈系統相連通,或未能與淋巴系統主幹相通,或少量的淋巴囊在淋巴系統形成時被分隔,從而導致淋巴系統的循環障礙。
發病機制
在胚胎期靜脈叢中的中胚層別隙融合形成大的原始淋巴囊,引流進入中心靜脈系統,以後淋巴囊逐漸退化或發展成與靜脈平行的淋巴管系統,若少量的淋巴囊在淋巴系統形成時被分隔,則形成毛細淋巴管瘤(capillary lymphangioma),又稱單純性淋巴瘤(simple lymphangioma),因頸部淋巴囊形成最早,體積最大,所以頸部發生囊狀淋巴管瘤最多見,淋巴管瘤和血管瘤大多數在出生時已存在,它們實際上是一種先天性發育畸形,屬於錯構瘤性質,是腫瘤和畸形之間交界性病變,由於淋巴管道的輸出道不暢阻塞,致使其近側擴張,以後由於炎症或出血更進一步使阻塞加重,雖然大約60%的淋巴管瘤見於5歲以下病人,但也有相當多在成年後出現。
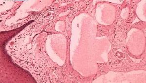
組織病理示毛細淋巴管瘤由襯有內皮細胞的微小淋巴管擴張而成,內含淋巴液,位於真皮上部,表皮可萎縮或增生。
診斷
毛細淋巴管瘤.多見於面,頸,胸部,上臀和腋部,股部和外生殖器等處亦可見,表面無色,柔軟,呈小疣狀顆粒,直徑多為1~3mm,透明,水泡壁較厚,壓迫可稍縮小,常無自覺症狀,如將其刺破,可流出透明,黏性淋巴液。根據臨床特徵不難診斷。
併發症
毛細淋巴管瘤易感染引起蜂窩織炎或淋巴管炎。
毛細淋巴管瘤治療的觀點
1、在胚胎動靜脈叢中的中胚層裂隙融合形成大的原始淋巴囊,引流進入中心靜脈系統,以後淋巴囊逐漸退化或發展成與靜脈平行的淋巴管系統。若原始淋巴囊未與靜脈系統相連通,就產生囊狀淋巴管瘤。如原始淋巴囊與淋巴系統主幹不相通,可發生海綿狀淋巴管瘤。如少量的淋巴囊在淋巴系統形成時被分割,則形成單純性淋巴瘤,又稱毛細淋管瘤。因頸部淋巴囊形成最早,體積最大,所以頸部發生囊狀淋巴管瘤最多見。淋巴管瘤和血管瘤大多數在出生時已經存在,它們實際上是一種先天性發育畸形,屬於錯構瘤性質,是腫瘤和畸形之間交界性病變。
2、有學者從囊狀淋巴管瘤可長入原先未累及部位這一現象,加之有人還觀察到腫物邊緣有新生組織形成,認為屬於真性腫瘤。但是,淋巴管瘤“侵入生長”只不過是原先已經存在的淋巴管道由於機化或栓塞,導致淋巴液聚集,形成淋巴管囊腫和淋巴管道擴張混雜於受累組織中並非增生性侵入性病變,僅只是淋巴管畸形而已。目前多數學者認為是淋巴管畸形。由於淋巴管道的輸出道不暢通阻塞,致使其近擴張,以後由於炎症或出血更進一步使阻塞加重,雖然大約60%的淋巴管瘤見於<5歲,但也有相當多在成年後出現。
3、淋巴管瘤的臨床表現與血管瘤往往很相似,惟其腔隙的內容物是淋巴液而不是血液。但有許多淋巴管瘤同時含有血管組織,是淋巴管血管混合瘤,稱為淋巴血管瘤。淋巴血管瘤絕大多數為良性,但是有不斷生長和浸潤周圍組織的特徵,在兒童時期尤為顯著。良性淋巴管瘤都為先天性,是由隔離遺傳留的胚胎淋巴組織發展形成,但是有些腫瘤出生時並不顯露,直至幼兒年齡時才被發現。

