疾病概述
成釉細胞瘤發源於牙釉質原基上皮層的基底細胞。下頜骨發病率占80%~85%。而上頜骨發病主要來自第2、3磨牙附近,成釉細胞瘤可侵入上頜竇,使竇內各壁,尤其是前壁最易發生破壞。由於腫瘤含有大小不等的囊腔,其內貯留黃色漿液性及血性分泌物,有的成釉細胞瘤內偶含完整的牙齒。 臨床一般以雷射手術進行治療。
疾病簡介
成釉細胞瘤是常見的牙源性上皮性良性腫瘤之一,生長緩慢,但有局部侵襲性,如切除不徹底,復發率很高,但基本上無轉移傾向。
疾病分類
根據臨床病理表現的不同WHO將成釉細胞瘤分為四型
(一)實性型/多囊型成釉細胞瘤(solid/multicystic ameloblastoma,A-S/M)
(二)骨外/外周型成釉細胞瘤(extraosseous/peripheral ameloblastoma,A-E/P),占所有成釉細胞瘤的1.3%~10%
(三)促結締組織增生型成釉細胞瘤(ameloblastoma-desmoplastic type,A-D)
(四)單囊型成釉細胞瘤(unicystic ameloblastoma,A-U),占所有成釉細胞瘤的5%~15%
疾病特點
本病多在20—60歲之間發生,幾乎沒有性別差異。大約90%的病例發生在下頜骨,以下頜角和下頜升支多見。腫瘤臨床過程緩慢,早期一般無自覺症狀。病人可能因創傷、拔牙、不良修復體、錯合、牙周病、口腔感染、阻生牙或多生牙的主訴就診。隨腫瘤長大,顱骨膨隆,造成面部不對稱。腫瘤侵犯牙槽骨可引起牙齒鬆動、移位、脫落。腫瘤繼續膨大可使外骨板變薄如牛皮紙樣,按壓時如捏桌球樣感。造成骨質吸收時,可有囊性感,穿刺抽液為棕褐色液體,含膽固醇結晶。口腔內軟組織被推擠超出肝面時,常有咬痕,可發生潰瘍、疼痛、繼發感染、瘦管等。腫瘤可侵犯軟組織。巨大腫瘤可能影響下須骨運動,甚至影響吞咽和呼吸,也有發生病理性骨折的報導。腫瘤極少直接侵犯下牙槽神經.故臨床罕有病人主訴唇、頰麻木。
疾病病因
造釉細胞瘤(ameloblastoma)(也稱為成釉細胞瘤)是一種起源於造釉器官的真性腫瘤,多數認為來源於造釉器或牙板上皮,也有認為來源於牙周膜內的上皮剩餘或口腔黏膜的基底細胞,還有認為是始基囊腫或含牙囊腫的襯裡上皮轉變而來。極少數發生於硬骨或腦垂體內者可能是由於口腔黏膜基底細胞或牙源性上皮異位而引起。這種牙源性卜皮件腫瘤不受中胚葉組織的誘導或分化。
臨床表現
男女發病率相近,發病年齡範圍很廣,多數病例診斷時患者年齡為30-60歲,20歲以下患者少見。
A-S/M,特發於頜骨,極少數發生於鼻腔和上頜竇,約80%發生於下頜骨,其中下頜磨牙區和下頜升支部為最常見發病部位;
腫瘤生長緩慢,平均病程6年左右。早期無自覺症狀,後期頜骨膨隆,多向唇頰側發展,壓迫性生長可引起面部畸形和功能障礙。上頜骨的成釉細胞瘤增大時可波及鼻腔發生鼻塞,侵入上頜竇並波及眼眶、鼻淚管時可使眼球移位、流淚及復視。下頜骨的成釉細胞瘤增長時,骨質受壓吸收變薄,捫之可有桌球樣感。當腫瘤壓迫下牙槽神經時,患側下唇及頰部可能感覺麻木不適。穿刺時可抽出黃色、黃褐色液體,可含膽固醇結晶。腫物復蓋黏膜一般光滑而無特殊改變,偶見對頜牙咬痕,腫瘤區可出現牙鬆動、移位或脫落。少數病例可繼發感染,腫瘤局部自潰爛處向外生長,並出現疼痛。
A-E/P,發生於承牙區的牙齦或無牙頜的牙槽黏膜,為一無痛性、堅實的、外生性腫物,表面光滑或凹凸不平,或呈乳頭狀。除腫瘤壓迫造成的牙槽嵴淺表性吸收外,顯著的骨受累很少見。
A-D,目前沒有骨外型A-D的報導,臨床主訴主要是頜骨無痛性腫脹。X線片上,約50%的A-D表現為斑駁的透射/阻射雜影,邊界不清,提示纖維-骨性病變;還可能發生牙根吸收和成骨。
A-U,多見於青年人,年齡在10~29歲之間,平均年齡為25歲左右,好發於下頜磨牙區。近80%的病例與未萌的下頜第三磨牙相關。X線表現為邊界清楚的單房透射影,常位於牙冠,可能發生牙根吸收。
右下頜骨體部成釉細胞瘤組織病理
(一)A-S/M
a、濾泡型。由纖維間質中的牙源性上皮島構成,其特徵為上皮島的基底細胞為高柱狀、核深染,並呈極性排列,其細胞核遠離基底膜,細胞質常呈空泡狀。上皮島中央的細胞疏鬆排列,類似星網狀層,該區域常發生囊性變,且時有相互融合。
b、叢狀型。由排列成條索、並交織成網狀的基底細胞構成,星網狀層不明顯,間質通常很纖細,常呈囊性變。
c、棘皮瘤型。腫瘤上皮島內呈現廣泛的鱗狀化生,有時見角化珠形成。
d、顆粒細胞型。腫瘤上皮細胞有時可發生顆粒樣變性,顆粒細胞可部分或全部取代腫瘤的星網狀細胞。
e、基底細胞型。腫瘤上皮密集成團或呈樹枝狀,細胞小而一致,缺乏星網狀細胞分化,較少見,需與基底細胞癌和頜骨內腺樣囊性癌鑑別。
f、角化成釉細胞瘤。是一種罕見的組織亞型,腫瘤內出現廣泛角化。鏡下腫瘤由多個充滿角化物的微小囊腫構成,襯裡上皮以不全形化為主,並伴有乳頭狀增生,因此又稱為乳頭狀角化成釉細胞瘤。
(二)A-E/P
組織學表現與骨內型相同,有些病變完全位於牙齦的結締組織內,與表面上皮無聯繫;有些病變卻似乎與黏膜上皮融合或來源自黏膜上皮。A-E/P的棘皮瘤樣區域的鱗狀細胞可形成影細胞或透明細胞組成的實性團。腫瘤間質為成熟的纖維結締組織。
(三)A-D
以間質成分為主,擠壓牙源性上皮成分。上皮島形狀極不規則,呈尖角的、星形外觀。上皮島外周細胞為立方狀、有時可見核深染。明顯的高柱狀、核呈極性排列的細胞非常少見。上皮島中心呈漩渦狀,細胞豐富,為梭形或鱗狀的上皮細胞。上皮島中央可見微囊形成。鄰近上皮的間質經常發生粘液樣變性,有時可見化生的類骨質小梁。
(四)A-U
a、單純囊性型。表現為一囊性病變,囊壁內僅見上皮襯裡,表現成釉細胞瘤的典型形態特點,包括呈柵欄狀排列的柱狀基底細胞(核深染且遠離基底膜)核排列鬆散的基底上細胞。另外還可見突入囊腔內的瘤結節,多呈叢狀型成釉細胞瘤的上皮排列特點。腫瘤未浸潤至纖維囊壁。
b、囊壁內浸潤型。呈濾泡狀或叢狀型的成釉細胞瘤樣上皮浸潤到囊腫壁內。
疾病診斷
根據病史、臨床表現、X線特點可做初步診斷。
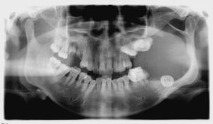
典型X線表現:早期呈蜂房狀,以後形成多房性囊腫樣陰影,單房較少。周圍囊壁邊緣常不齊整,呈半月形有切跡及有密度增高的骨白線,腫瘤生長可導致牙移位、囊內牙根呈鋸齒狀或截根狀吸收,伴埋伏牙者可表現類似於含牙囊腫的X特點。
各型成釉細胞瘤同樣的X線特徵歸納為以下六點
1)骨質膨隆,以向唇頰側向為甚;
2)骨密質消失,以牙槽側骨消失多見;
3)腫瘤內含牙或不含牙,所含牙可為各發育期的埋伏牙、阻生牙或多生牙;口內牙被腫瘤推移、鬆動或脫落;
4)牙根呈鋸齒狀吸收,腫瘤部分邊緣骨質增生硬化
5)腫瘤可向根與根之間浸潤;
6)腫瘤無鈣化。
鑑別診斷
牙源性角化囊性瘤:A-S/M與多房型牙源性角化囊性瘤在X線表現上不易鑑別,術前如抽出有囊液,一般呈黃褐色,無脫落上皮細胞及黃白色片狀角化物,可與角化囊腫鑑別,牙源性角化囊性瘤囊液可呈白色或黃色油脂樣,囊液塗片可發現角化上皮細胞。
骨化纖維瘤:多見於兒童與年輕人,女性好發。根據骨化程度不同,其X線表現不一。頜骨局限性膨脹,密質變薄,周界清楚,密度降低的透光區,可為單房或多房,可含有或不含緻密鈣化影。
其他牙源性腫瘤:如X線表現類似成釉細胞瘤並伴有鈣化灶時,還應考慮為其他牙源性腫瘤,如化牙骨質纖維瘤、牙源性鈣化上皮瘤、牙源性鈣化囊腫等,最後診斷需依靠病理檢查。
疾病治療
以外科手術治療為主。傳統觀點認為成釉細胞瘤有局部浸潤周圍骨質的特點,故不應施行刮治術,須將腫瘤周圍骨質至少在12.5px處切除,否則治療不徹底將導致復發。今年亦有人主張行刮治術,此法雖有保存功能及容貌的優點,但復發率高,應慎用。A-E/P治療方法為保守性切除。A-U採用刮治術後復發率較低(約10%)
1)對較小的腫瘤可行下頜齒槽骨邊緣性切除,以保存下頜骨的連續性。
2)對較大的腫瘤應將病變的頜骨節段性切除,以保證術後不在復發。下頜骨切除後可採用立即植骨;如口腔激發感染或軟組織不夠時,可選用血管化骨肌皮瓣重建修復,或用克氏鋼針及其他生物材料如鈦板固定殘端,以保持缺隙殘端,後期再行植骨手術。
3)對於囊性(壁性)成釉細胞瘤可採用減壓成形術,並定期隨訪。
4)如術前不能與頜骨囊腫或其他牙源性腫瘤鑑別,可於術中做冰凍切片檢查,以明確診斷,如有惡變,應按惡性腫瘤手術原則處理。
疾病預後
建議長期隨訪
1、A-S/M長期以來一直被視為易復發易惡變的“臨界瘤”,累計上頜骨後份的病變預後較差。目前資料顯示A-D與其相似。
2、A-E/P由於其生長局限於牙齦,無侵襲性,易於早期發現和手術切除,因此術後無復發。有極少數惡性A-E/P病例(成釉細胞癌)的報導。
3、A-U採用刮治術後復發率較低(約10%)。
症狀體徵
成釉細胞瘤多發生於青壯年,以下頜骨體及下頜骨角部為常見。生長緩慢,初期無自覺症狀;逐漸發展可使頜骨膨大,造成畸形,左右面部不對稱。如腫瘤侵犯牙槽突時,可使牙鬆動、引位或脫落;腫瘤繼續增大時,使頜骨外板變薄,或甚至吸收,這時腫瘤可以侵入軟組織內。
由於腫瘤的侵犯,可以影響下頜骨的運度,甚至可能發生吞咽、咀嚼和呼吸障礙。腫瘤表面常見有被對牙合牙造成的壓跡,如果咀嚼時發生潰瘍,可能造成繼發性感染而化膿、潰爛、疼痛。當腫瘤壓迫下牙槽神經時,患側下唇及頰部可能感覺麻木不適。如腫瘤發展很大,骨質破壞較多,還可能發生病理性骨折。
診斷檢查
根據病史、臨床表現、X線特點,可作出初步診斷。典型成釉細胞瘤的X線表現:早期呈蜂房狀,以後形成多房性囊腫樣陰影,單房比較少。成釉細胞瘤因為多房性及有一定程度的局部侵潤性,故囊壁邊緣常不整齊、呈半月形切跡。在囊內的牙根尖可有不同吸收現象。
X-ray表現
治療方案主要為手術治療。因成釉細胞瘤有局部侵潤周圍骨質的特點,需將腫瘤周圍的骨質至少在0.5cm處切除。否則,治療不徹底將導致復發;而多次復發後又可能變為惡性。
對病變範圍相對局限的年幼病人,為了保持顱骨的正常發育,可以採用刮治的辦法,但要嚴密隨訪,注意腫瘤復發和防止惡性變。對全身情況不能耐受長時間手術的老年病人也可採用刮治手術。
成釉細胞瘤
