分類
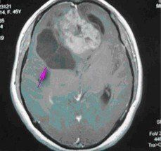
1.星形細胞瘤:為膠質瘤中最常見的一種,約占40%左右。病理分型為Ⅰ級(星形細胞瘤),Ⅱ級(星形母細胞瘤),Ⅲ~Ⅳ級(多形膠母細胞瘤)。Ⅰ~Ⅱ級星形細胞瘤為低度惡性,起病緩慢,腫瘤在CT及MR的表現多為實性或囊性,邊界不清,腫瘤實性部分或囊性結節均可強化。臨床表現與病灶部位不同進行性地出現相應的症狀,並最後出現顱高壓的症狀。Ⅲ~Ⅳ級的多形膠母細胞瘤起病快速,為惡性度最高的腫瘤,多生長於大腦半球,因腫瘤生長迅速,腫瘤中心可有多處壞死及出血,CT及MR均明顯強化。周圍可伴大片腦組織的水腫。
2.髓母細胞瘤:為高度惡性腫瘤,好發於2-10歲的兒童,最少者可見於幾月余小兒,大多數來源於小腦蚓部向四腦室及延髓小腦半球生長,因阻塞腦脊液循環通道,發現時多已伴有腦積水,CT及MR可發現後顱窩占位,因CT對此部位顯示不清,故推薦MR檢查。
3.少枝膠質瘤:為低度惡性腫瘤,偏良性,不少人亦稱其為良性腫瘤。生長慢,瘤內常可見鈣化斑塊
4.室管膜瘤:亦為膠質瘤的一種,原則與星形細胞瘤基本相同。
膠質瘤大多緩慢發病,自出現症狀至就診時間一般為數周至數月,少數可達數年。惡性程度高的和後顱窩腫瘤病史較短,較良性的或位於靜區的腫瘤病史較長。腫瘤若有出血或囊變,症狀會突然加重,甚至有類似腦血管病的發病過程。膠質瘤的臨床症狀可分兩方面,一是顱內壓增高症狀,如頭痛、嘔吐、視力減退、復視、精神症狀等;另一是腫瘤壓迫、浸潤、破壞腦組織所產生的局灶症狀,早期可表現為刺激症狀如局限性癲癇,後期表現為神經功能缺失症狀如癱瘓。
胚胎性腫瘤中樞神經系統 (CNS)包括惡性生殖細胞瘤、成神經管細胞瘤、原始神經外胚層腫瘤 (PNET)等 ,好發於兒童青少年。
介紹
腦幹腫瘤(腦幹膠質瘤)占顱內腫瘤的1.4% 。主要為神經膠質瘤,其中以星形細胞瘤和極性成膠質細胞瘤較為多見,其次是少枝膠質細胞瘤、室管膜膠質瘤、髓母細胞瘤,此外還可見到血管瘤(包括血管網織細胞瘤)、囊腫、畸胎瘤、結核瘤、轉移性腫瘤等。兒童及青少年好發,特別是5~9歲兒童發病率最高。兒童病人常以分化較差的極性成膠質細胞瘤、髓母細胞瘤和室管膜瘤為多,成年病人則以星形細胞瘤為多。兒童患者病程短、進展快;常在較短時間(數周至數月)內即引起嚴重的腦幹症狀;成年患者病程長、進展慢,可數月甚至1年以上始出現嚴重的腦幹症狀。各種腫瘤在腦幹中分布的部位略有不同,星形細胞瘤可分布於腦幹的各部位,髓母細胞瘤和室管膜瘤則分布於導水管的被蓋部位和第四腦室底。
腦幹腫瘤(腦幹膠質瘤)的症狀可分為一般症狀和局灶性症狀兩類。一般症狀以後枕部頭痛為常見。兒童常有性格改變,不少病人伴有排尿困難。顱內壓增高常不是腦幹腫瘤的首發症狀。因此,對於進行性交叉性麻痹或多發性顱神經麻痹合併錐體束損害,無論有無顱內壓增高均應首先考慮腦幹腫瘤的可能。腦幹腫瘤的局灶性症狀隨腫瘤的部位而異,由於腫瘤的浸潤性生長,明確劃分具體部位如中腦或橋腦實際上是困難的。
症狀
1)中腦腫瘤: 由於腫瘤極易阻塞導水管,故早期可出現顱內壓增高症狀。也有首發症狀為精神和智力改變,這可能與網狀結構受累有關。根據腫瘤侵襲部位不同,常表現有:①動眼神經交叉性偏癱綜合症——Weber綜合症,病變位於大腦腳底部,出現病側動眼神經麻痹,對側上、下肢體和面、舌肌中樞性癱瘓。②四疊體綜合症——Parrnaud綜合症,表現眼瞼下垂、上視麻痹、瞳孔固定、對光反應消失、會聚不能等。③Benedikt綜合症,表現為耳聾等、病側動眼神經麻痹、對側肢體肌張力增強、震顫等。
2)橋腦腫瘤: 占全部腦幹腫瘤半數以上,多見於兒童。早期兒童常以復視、易跌跤為首發症狀;成年人則常以眩暈、共濟失調為首發症狀。90%以上病人有顱神經麻痹症狀,約40%病人以外展神經麻痹為首發症狀,隨著腫瘤發展出現面神經、三叉神經等顱神經損害和肢體的運動感覺障礙。常表現有Millard-Gubler綜合症——橋腦半側損害,包括面神經交叉癱,若病變位於橋腦下半部偏一側時致病側周圍性面癱伴對側肢體偏癱。
3)延髓腫瘤: 首發症狀常為嘔吐,易被誤診為神經性嘔吐或神經官能症,特別是成年患者。病人可有不同程度頭昏、頭痛,然後較早出現後組顱神經麻痹的症狀,如吞咽困難、進食嗆咳、講話鼻音、伸舌不能等。腫瘤累及雙側時則出於真性延髓麻痹症群,同時伴有雙側肢體運動、感覺障礙及程度不等的痙攣性截癱,病程早期可有呼吸不規則,晚期可出現呼吸困難或衰竭。
臨床上常表現
臨床上常表現的延髓半側損害有:①舌下神經交叉癱(Jackson綜合症);②吞咽、迷走交叉癱(Avellis綜合症);③Schmidt綜合症——病側Ⅸ~Ⅶ顱神經麻痹及對側半身偏癱;④延髓背外側綜合症(Wallenberg綜合症)等。
膠質瘤的診斷
根據其生物學特徵、年齡、性別、好發部位及臨床過程進行分析,在病史及體徵基礎上,採用電生理、超音波、放射性核素、放射學及核磁共振等輔助檢查,定位正確率幾乎是100%,定性診斷正確率可在90%以上。
膠質瘤由於腫瘤呈浸潤性生長,與腦組織無明確分界,難以徹底切除,手術治療的原則是在保存神經功能的前提下儘可能切除腫瘤。早期腫瘤較小又位於適當部位者可爭取全部切除。位於額葉的腫瘤,可作腦葉切除。當額葉或顳葉腫瘤範圍較廣不能全部切除時,可同時切除額極或顳極作內減壓術。腫瘤位於運動、言語區而無明顯偏癱、失語者,宜注意保存神經功能,適當切除腫瘤,避免發生嚴重後遺症。腦室腫瘤宜從非功能區切開腦組織進入腦室,儘可能切除腫瘤,解除腦梗阻。位於丘腦、腦幹的膠質瘤,除小的結節性或囊性者可作切除外,一般作分流術,緩解增高的顱內壓後,進行中醫藥綜合治療。
膠質瘤的特點及治療現狀
膠質細胞瘤的生長特點為浸潤性生長,與正常腦組織無明顯界限,多數不限於一個腦葉,向腦組織外呈指狀深入破壞腦組織,偏良性者生長緩慢,病程較長,惡性者瘤體生長快,病程短。
目前國內外對於膠質瘤的治療普遍為手術、中醫藥、放療、化療、X刀、和γ刀。
膠質瘤手術:手術治療基於膠質瘤的生長特點,理論上手術不可能完全切除,生長在腦幹等重要部位的腫瘤有的則根本不能手術,所以手術的治療目的只能局限於以下5個方面①明確病理診斷,②減少腫瘤體積降低腫瘤細胞數量,③改善症狀緩解高顱壓症狀;④延長生命並為隨後的其他綜合治療創造時機;⑤獲得腫瘤細胞動力學資料,為尋找有效治療提供依據。依據生長位置及生長特點,約50%無法全切,為了避免手術後功能損害,即使為全切術,在原發部位仍會有腫瘤殘存,所以很難根治,復發率很高。根據我院長時間的,隨訪和調查膠質瘤3、4級復發最快的一個月左右,慢的多半年。
1、2級一般的復發1-2年。
膠質瘤放療:放射治療幾乎是各型膠質瘤的常規治療,但療效評價不一,除髓母細胞瘤對放療高度敏感,室管膜瘤中度敏感外,其他類型對放療均不敏感,有觀察認為放療與非放療者預後相同。此外射線引起的放射性壞死對於腦功能的影響亦不可低估。X-刀、γ-刀—均屬放射治療範疇,因腫瘤的部位、瘤體大小(一般限於3厘米以下)及瘤體對射線的敏感程度,治療範疇局限,目前認為膠質瘤,特別是性質惡性的星形Ⅲ-Ⅳ級或膠質母細胞瘤均不適合採用R-刀治療。
膠質瘤化療:原則上用於惡性腫瘤,但化療藥物限於血腦屏障及藥物的毒副作用,療效尚不肯定,常用治療的膠質瘤幾種西藥有效率均在30%以下。
臨床表現
膠質瘤病例中90%出現顱內壓增高的症狀,臨床表現主要為頭痛、噁心、嘔吐及視力障礙等。其他還可有癲癇、眩暈、外展神經麻痹及行為和性格改變等等。其症狀進展與腫瘤的部位、惡性程度、生長速度及患者年齡有關。應該注意Ⅰ級與Ⅱ級膠質瘤生長緩慢,大腦逐漸適應,癲癇小發作、性格改變、記憶與學習障礙等小的症狀和體徵應儘早進行影像學檢查。
頭痛
頭痛常是早期症狀之一,初期常為間歇性、搏動性鈍痛或脹痛,以後隨著腫瘤增大,頭痛加劇,時間延長,可以變成持續性。頭痛可以是局限性或全頭痛,常發生於清晨或起床後空腹時,白天逐漸緩解,嚴重時可伴有噁心、嘔吐,嘔吐後頭痛可減輕。任何引起顱內壓增高的因素,如咳嗽、噴嚏、大便等均可使頭痛加重。當腫瘤囊性變、腫瘤內出血或蛛網膜下腔出血時,可使頭痛加劇,當患者頭痛突然加劇、坐臥不安、大聲呼痛或兩手抱頭,甚至叩擊頭部,伴有噴射性嘔吐,繼之昏迷,這是畸形顱內壓增高危象的先兆信號,必須採取緊急處理措施。
嘔吐
嘔吐也經常是膠質瘤的首發症狀,多發生在清晨空腹時,嘔吐前可有或無噁心,且常伴有劇烈的頭痛、頭暈。有時呈噴射性,多因顱內壓增高刺激嘔吐中樞引起。小兒顱後窩腫瘤出現嘔吐較早且頻繁,常為唯一的早期症狀,易誤診為胃腸道疾病,故小兒出現頻繁嘔吐時,應做詳細的神經系統檢查,以防漏診。
視乳頭水腫
視乳頭水腫是顱內壓增高的重要客觀體徵,幕上腫瘤一般腫瘤側較重,幕下腫瘤兩側大致相通。額葉底部腫瘤直接壓迫同側視神經引起原發性萎縮,對策因顱壓增高引起視乳頭水腫。視乳頭水腫可在較長時間不影響視力,隨著視乳頭水腫的加重,出現生理盲點擴大和視野向心性縮小及視乳頭繼發性萎縮。一旦出現陣發性黑蒙,視力將迅速下降,要警惕失明的危險,需及早處理。傳統的體格檢查同樣適用於膠質瘤患者,查體時一定要進行眼底檢查以確認有無視乳頭水腫。
癲癇
癲癇發作多由於腫瘤的直接刺激或壓迫引起,發生率約30%。一般生長緩慢的低級別膠質瘤如星形細胞瘤和少突膠質瘤以癲癇為首發或主要症狀,生長快的惡性膠質母細胞瘤癲癇發生率低。癲癇發生率與腫瘤部位有關,額葉和顳葉發生率最高,約80%,其次是額頂葉、頂葉、顳頂葉、顳枕葉等。
其他症狀
由於腫瘤刺激、壓迫或破壞周圍腦組織或顱神經引起的神經系統定位症狀,如額葉膠質瘤可引起運動區損害、書寫及運動語言中樞損害等,頂葉腫瘤膠質瘤引起皮質感覺障礙、失用症、失讀症和計算力障礙等。顳葉膠質瘤可引起耳鳴和幻聽、感覺性或命名性失語、眩暈等。

