流行病學
可發生於任何年齡10歲以後多發,最常發生在30歲左右,在中國男性稍高於女性,在西方國家因口服避孕藥女性發病率有上升趨勢。中國自1980年以來,迄今已發現3000餘例,發病率遠高於其他各國。病因
巴德-恰里綜合徵1.血栓形成BCS常常發生於各種血液凝固性增加的病人,其中報導最多的是真性紅細胞增多症和其他髓增生性疾病Wanless等報告一組145例屍檢資料,見真性紅細胞增多症和不明原因髓增生性疾病有1/3伴有顯性門靜脈高壓陣發性夜間血紅蛋白尿(PNH)也是BCS常見的原因之一。PNH伴發BCS的頻率為12%~27.3%。BCS在長期口服避孕藥的人群中發生較高。鄰近器官炎症性病變如潰瘍性結腸炎和Crohn病屢有伴發BCS。總之,各種原因所致的血液凝固性升高,均可導致肝靜脈和(或)肝段下腔靜脈血栓形成。至於血栓形成為何偏偏發生在這個部位,迄今尚沒有滿意的解釋。
2.膜形成1912年,Thompson和Turnbull在國外文獻中報導第1例肝段下腔靜脈膜性梗阻(MOVC),1950年,Bennett再次作了報導此後,關於BCS時的MOVC在許多國家相繼作了大量報導。MOVC的發生是由於先天性病變,還是後天因素所致,目前仍有爭論以往多數學者認為MOVC是由於發育缺陷所致的先天性病變。如Hirooka根據病理解剖發現研究下腔靜脈和肝段的胚胎髮育,提出組成下腔靜脈各部包括部分心臟、肝總靜脈、肝竇、右下主靜脈的上段和下段,如果在發育過程中異常融合或堵塞,可以解釋若干類型的病理變化。以後,Okuda對MOVC的先天發育學說提出了疑問;Terabagashi等報告一例狼瘡抗凝因子陽性病人,經動態觀察發現下腔靜脈血栓形成轉變了膜性梗阻從而為MOVC的後天形成學說找到了證據。較為深入的研究表明,紅細胞生成素增加,紅系集落形成和狼瘡抗凝因子可能在血液凝固性增加-肝靜脈血栓形成-肝段下腔靜脈膜性梗阻-布-加綜合徵中發揮重要作用。也有人提出蛋白C缺乏亦與BCS有關。
3.局部壓迫鄰近臟器病變包括炎症創傷、肝占位性病變或轉移性癌腫,壓迫或侵犯肝段下腔靜脈和肝靜脈,或是肝癌沿肝靜脈蔓延引起癌栓和血栓形成,造成阻塞。
發病機制
巴德-恰里綜合徵1.分型對於肝靜脈和(或)肝段下腔靜脈阻塞的類型、部位及形態許多人作了較為詳盡的觀察。按照阻塞的性質、位置、範圍和程度予以分型,對於正確地治療和選擇手術方式是非常重要的許多學者提出了各種分型意見。其中以Hirooka分型最詳細,具體闡明了下腔靜脈、肝靜脈的病理特性、部位和相互關係,同時發現膜狀阻塞有薄膜和厚膜的不同。
Ⅰ型a:隔膜在通暢的開口上方。
b:隔膜在閉塞的肝左靜脈和通暢的肝右靜脈之間。
c:隔膜在通暢的肝靜脈開口的下方。
Ⅱ型a:隔膜在閉塞的肝靜脈上方。
b:隔膜在閉塞的肝靜脈下方。
Ⅲ型:腔靜脈橫膈部狹窄,肝靜脈通暢。
Ⅳ型:腔靜脈肝段血栓性閉塞,肝靜脈受累。
Ⅴ型:腔靜脈肝段狹窄,肝靜脈受累
Ⅵ型:腔靜脈肝段節段性閉塞,肝靜脈受累
Ⅶ型:肝靜脈閉塞。
由於Hirooka分型過於繁雜,不便實用。汪忠鎬綜合各種分類方法,根據下腔靜脈阻塞的特性、肝靜脈受累的情況,從便於手術選擇的角度將本病分為3種類型(圖1)。
Ⅰ型:下腔靜脈隔膜為主的局限性狹窄或阻塞型(約占57%)。此型系高位下腔靜脈隔膜樣阻塞或纖維性阻塞,肝靜脈未被累及,但是,肝靜脈開口位於下腔靜脈阻塞的遠側。因此,除下腔靜脈有阻塞外,肝靜脈回流亦受阻。此型在日本相當多見。下腔靜脈阻塞的遠側,血流淤滯,可繼發血栓形成。若血栓延伸,即可堵塞肝靜脈開口和主幹。
Ⅱ型:瀰漫性狹窄或阻塞型(約占38%)。下腔靜脈瀰漫性狹窄或阻塞,肝後段下腔靜脈節段性或瀰漫性阻塞合併左肝靜脈或右肝靜脈閉塞,甚至肝靜脈主幹全部閉塞亞洲和遠東地區所見者多屬此型。
Ⅲ型:肝靜脈阻塞型(約占5%)肝靜脈主幹或開口阻塞,下腔靜脈通暢。此型多發生在西歐和北美地區。常表現為肝靜脈血栓形成或血栓性靜脈炎。有學者觀察到,隨著病程的延長肝靜脈出口附近的下腔靜脈繼發血栓形成。
2.病理和病理生理
(1)肝臟組織學:BCS肝臟組織學變化受多種因素的影響,首先是阻塞的程度,如為完全性阻塞,則肝內組織學改變比較均勻一致;不完全性阻塞時,組織學變化差異較大。第二是阻塞的病因,如為血液凝固性增高,各級肝靜脈均可見程度不同、新舊不一的血栓形成,血管壁也可有增厚及內皮損傷;膜性梗阻時則血栓形成少見血管壁可有不同程度的增厚。最後是阻塞的病程,急性阻塞時中央靜脈和肝竇淤血、擴張、出血,小葉中央區肝細胞萎縮、破壞或消失;淤血區旁,肝細胞可發生脂肪樣變;在門靜脈周圍,肝細胞呈再生現象。亞急性阻塞時,則見小葉中央靜脈壁增厚,呈纖維性變,肝細胞萎縮和小葉間纖維組織增生;周圍肝細胞再生更加顯著時,形成假小結節慢性阻塞時,產生廣泛的纖維化病灶,正常肝小葉結構遭到破壞,由纖維組織和再生小結節替代,導致肝硬化和門靜脈高壓症,肝靜脈回流受阻,肝臟淤血腫大,肝靜脈和肝竇壓力升高,繼而肝淋巴液形成增加,經肝包膜溢入腹腔而產生腹水
(2)側支循環:BCS時側支循環的解剖學變化取決於阻塞的部位和性質。
①由於三支肝靜脈主幹並非均受累閉塞,肝內靜脈形成側支循環相互溝通。
②肝被膜靜脈與隔下靜脈之間產生粗大而豐富的交通血管,形成肝-體靜脈側支循環。
③肝臟血流亦可經肝-奇靜脈側支循環引流到上腔靜脈。
④門-體靜脈吻合支形成,尤其是胃冠狀靜脈、胃短靜脈與奇靜脈半奇靜脈的分支相吻合,形成胃底和食管下段黏膜下靜脈曲張。
⑤肝背靜脈代償性擴張尾葉充血和增生肥大而壓及下腔靜脈。若門靜脈也有栓塞,肝臟血流停滯而發生梗死,病人短期內死於肝衰,BCS合併門靜脈血栓的發生率為20%。
下腔靜脈阻塞,除肝靜脈流出道受阻外,尚有下腔靜脈回流障礙。阻塞遠端腔靜脈擴張,血流淤滯,在腹膜後,腰靜脈腎靜脈、腎上腺靜脈和腰升靜脈顯著擴張互相交通形成側支循環,血流經半奇靜脈和奇靜脈回流到上腔靜脈胸、腹壁兩側淺靜脈迂曲擴張,血流自下向上。雙下肢及會陰部腫脹,淺靜脈曲張,足踝部皮膚色素沉著,甚至發生營養性潰瘍。
臨床表現
巴德-恰里綜合徵BCS最常發生在20~45歲的青壯年。性別方面一般報導,男性發病率高。腹水和肝大是最常見的臨床徵象。臨床表現與阻塞部位有關,肝靜脈阻塞者主要表現為腹痛、肝臟腫大、壓痛及腹水;下腔靜脈阻塞者在肝靜脈阻塞臨床表現的基礎上,常伴有下肢水腫、下肢潰瘍、色素沉著,甚至下肢靜脈曲張。病變波及腎靜脈者,可出現蛋白尿,甚至表現為腎病綜合徵。根據病人症狀出現緩急進行臨床分型。
1.急性期病程多在1個月以內。此型患者臨床表現非常近似急性肝炎和急性重型肝炎。驟然發作腹痛、腹脹,隨即出現肝臟腫大和大量腹水,腹壁靜脈擴張。伴有不同程度的肝臟功能損害。重症病人呈現休克或肝功能衰竭迅速死亡。
2.亞急性型病程在1年以內臨床表現最為典型,腹水是基本特徵,見於90%以上的患者,腹水增長迅速,持續存在,多呈頑固性腹水多數病人有肝區疼痛、肝臟腫大、壓痛。下肢水腫往往與腹部、下胸部及背部淺表靜脈曲張同時存在為診斷本病的重要特徵。約有1/3的患者出現黃疸和脾大。
3.慢性期除部分病人由急性期轉為慢性期外,多數病人呈隱襲性起病。症狀和體徵緩慢出現開始感上腹不適或腹脹,隨後逐漸發生肝大腹水和腹壁靜脈擴張少數病人有輕度黃疸病程可經歷數月或數年。病期甚長者,有脾大和食管靜脈曲張,甚至嘔血和黑便合併下腔靜脈阻塞的病人,胸、腹側壁靜脈怒張十分明顯,血流方向自下向上。雙側下肢水腫,小腿皮膚有棕褐色色素斑點重症病人有下肢靜脈曲張,甚至足踝部發生營養性潰瘍。雙側下肢靜脈壓升高。
併發症:
1.急性期有不同程度的肝臟功能損害,重症病人呈現休克或肝功能衰竭迅速死亡
2.亞急性型約有1/3的患者出現黃疸和脾大。
3.慢性期病期甚長者,有脾大和食管靜脈曲張,甚至嘔血和黑便。重症病人有下肢靜脈曲張,甚至足踝部發生營養性潰瘍。雙側下肢靜脈壓升高。
診斷
巴德-恰里綜合徵急性BCS大多有腹痛肝臟腫大壓痛和腹水三聯征慢性患者有肝大、門體側支循環和腹水三聯征。實時超聲和都卜勒超聲可以對85%以上的患者提示BCS的診斷,BCS的確診有賴於肝靜脈和(或)下腔靜脈造影及肝活檢。
鑑別診斷:
1.急性肝炎急性型BCS須與急性肝炎區別:
(1)急性BCS腹痛劇烈,肝臟腫大和壓痛均非常明顯,而且頸靜脈充盈,肝頸回流徵陰性。
(2)腹水的出現和增長速度以及下肢水腫與肝功能變化不成比例。
(3)患者沒有病毒性肝炎或肝毒性藥物或毒物接觸史病毒性肝炎的病原學檢查大多陰性。
(4)肝活檢不是氣球樣變嗜酸性變和點狀壞死,而是小葉中央帶的出血性壞死伴肝竇明顯擴張,各級肝靜脈血栓形成
(5)血管造影可將二者明確區別開來。
2.急性重型肝炎(暴發性肝炎) 以下幾點有助於急性重型肝炎和暴髮型BCS的區別:
(1)暴髮型BCS可以肝臟不縮小或縮小不明顯,並伴有脾臟的迅速增大和頸靜脈明顯充盈。
(2)BCS時ALT、AST和血清膽紅素均明顯升高,沒有酶疸分離現象。
(3)BCS時病毒性肝炎有關的病原學檢查大多陰性。
(4)BCS時肝活檢見肝內呈片狀出血性壞死,累及肝腺泡各帶,各級肝靜脈可見附壁血栓
(5)及時血管造影可明確診斷。
3.肝硬化亞急性或慢性BCS常常伴有肝硬化,肝硬化病人也可伴有BCS。因此,確定病人是否有BCS存在對治療方法的選擇至關重要。鑑別方法有:
(1)BCS大多沒有急性肝炎病史,即使病程中曾有黃疸也大多伴有腹水
(2)體格檢查是鑑別肝硬化和BCS的重要方法。肝硬化時,腹壁靜脈以臍部為中心呈離心性排列引流方向也呈離心性BCS時,在下胸部兩肋和腰背部出現靜脈曲張,MOVC時血流方向由下向上單純肝靜脈阻塞時血流方向由上向下,下肢水腫伴有潰瘍形成,色素沉著或靜脈曲張者支持MOVC。
(3)肝靜脈和(或)下腔靜脈造影和肝活檢可以明確診斷。
亞急性和慢性BCS非常近似心源性肝硬化,肝活檢無助於二者的鑑別,但後者有長期右心衰或縮窄性心包炎的病史和證據,只要仔細檢查心臟和側支循環體徵,鑑別診斷多無困難。
檢查
實驗室檢查:
1.肝功能急性型者ALT、AST升高,血清膽紅素增加,血清蛋白減少,凝血酶原時間延長,部分患者有ALP升高亞急性型肝功能可基本正常或輕度異常。慢性型的肝功能變化類似肝硬化。
2.血液學急性型血常規可有白細胞升高,部分患者有多血症,表現為血細胞比容和血紅蛋白增加。亞急性及慢性者,除顯性紅細胞增多症外,一般無明顯變化。
3.腹水檢查:BCS時腹水蛋白濃度常達2.5~3.0g/L也可低於此值,並發自發性腹膜炎時出現相應改變。
其它輔助檢查:
1.超聲檢查
(1)腹部B超:腹部B超檢查是一種簡便、安全有效的方法,可以對多數病人作出正確診斷,診斷符合率可達94.4%常作為本病的首選檢查方法現按本病所累及血管描述如下。
①肝靜脈改變:受阻的肝靜脈可以是一條或多條,其表現取決於梗阻程度和範圍,具體表現為:
A.肝段下腔靜脈阻塞:肝靜脈開口以上下腔靜脈阻塞,肝靜脈回流受阻,肝靜脈增寬,內徑>1.0cm管腔內血流淤滯,見“自發性顯影”現象。CDFI:靜脈血流方向及流速異常。
B.膜性阻塞:常位於肝靜脈開口處,有膜樣、條樣回聲,該支肝靜脈內徑增寬,並見與通暢的肝靜脈間有粗細不均、走行無規律的交通支CDFI:隔膜處血流紊亂流速增快頻譜失常。
C.栓子形成:包括血栓和癌栓,肝靜脈內低-中等的實質性回聲。CDFI:該支肝靜脈腔內無血流信號或血流逆轉。
D.外壓性狹窄和閉塞:鄰近可見壓迫的腫物未受阻的肝靜脈內徑正常或由於接受回流受阻的肝靜脈呈代償性擴張,腔內回聲正常,血流通暢。
②下腔靜脈改變:
A.下腔靜脈膜性阻塞:肝段下腔靜脈內或入右心房處見“線樣”及“等號”強回聲,管腔內亦見“自發性顯影”現象。
B.栓子形成:肝靜脈腔內低-中等的實質性回聲。
C.外壓性下腔靜脈變窄:系由於尾葉淤血明顯增大所致。
D.下腔靜脈受阻的共同表現:受阻遠段下腔靜脈有不同程度擴張,內徑>2.4cm。CDFI:閉塞段內無血流信號,狹窄處血流束變窄,充盈缺損,失去正常三相波形態,代之以高速的湍流。
(2)都卜勒超聲:都卜勒超聲對BCS有極其重要的診斷價值。
①都卜勒超聲可準確判斷有無血流信號,如果肝靜脈血流信號消失,可肯定有阻塞存在。
②都卜勒超聲可準確判斷血流方向如果肝靜脈呈逆向血流,也可肯定下腔靜脈入口處有阻塞。
③肝靜脈都卜勒波型變化。正常時,肝靜脈血流是時相性的,血流頻譜隨心動周期而變化,最大血流速度和最小血流速度之比常大於4.0。若這種時相性變化消失,表現為平流或穩流,則提示下腔靜脈或肝靜脈入口處的阻塞但此種改變缺乏特徵性,肝硬化時,81.3%可呈現類似變化。此時若有下腔靜脈中下段的血液逆流,亦可作出診斷。
2.CT檢查CT可鑑別肝靜脈、下腔靜脈回流受阻是先天性異常或繼發於腫瘤、血栓或其他因素,還可發現腹水、側支循環建立等徵象CT檢查的不足是無法顯示下腔靜脈隔膜而肝內側支血管的顯示也不如超聲和MRI
(1)CT平掃:
①肝大,尤以肝尾葉增大為其特徵之一,這與尾狀葉直接回流下腔靜脈有關
②肝的外周部分密度偏低,尾狀葉及肝左葉中央部分密度相對較高。
③可見腹水。
(2)CT增強:
①增強早期見尾狀葉及肝左葉中央部分迅速強化,以肝段下腔靜脈為中心呈扇形分布的高密度,邊緣模糊繼而表現相反,即外周部分呈延遲強化,尾狀葉及肝左葉中央部分較快廓清,這與肝靜脈回流受阻,尾狀葉及部分由下腔靜脈引流的肝臟血流代償性增多有關。
②肝臟呈斑片狀強化區域性或廣泛性密度不均是其特徵之一。
③肝靜脈不強化,肝靜脈與下腔靜脈間的連續性中斷。肝段下腔靜脈、肝靜脈栓塞、血栓形成時顯示腔內充盈缺損。肝尾葉增大可致肝段下腔靜脈呈裂隙狀,阻塞端以下下腔靜脈擴張呈圓形。若肝內側支循環建立可顯示擴張的副肝靜脈或側支循環靜脈支。
④可顯示擴張的肝外側支靜脈,如奇靜脈、半奇靜脈和腰升靜脈等。
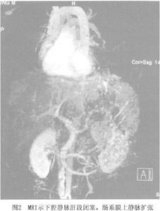
3.MRI檢查MRI具有多平面、血管流空效應、無創的特點,可顯示肝靜脈下腔靜脈走行,肝靜脈下腔靜脈回流受阻是先天性異常或繼發於腫瘤、血栓或其他因素,還可發現腹水、側支循環建立等徵象。不足是有時鑑別慢血流與血栓困難,不能判斷血流方向。
(1)肝臟腫大,肝臟信號改變,T2加權圖像上尾狀葉信號強度低於其他組織,是由於解剖上尾狀葉的血流直接引流入下腔靜脈,當肝靜脈回流受阻,尾狀葉一般不受累或受累較輕。
(2)肝靜脈、下腔靜脈形態異常,肝靜脈狹窄或閉塞,肝靜脈與下腔靜脈不連線,肝段下腔靜脈明顯狹窄或阻塞,可顯示下腔靜脈隔膜和阻塞段,阻塞端以下下腔靜脈擴張血流速度減慢可呈強弱不等信號。肝靜脈和下腔靜脈血栓形成,呈軟組織高信號,矢狀面冠狀面成像能顯示其範圍肝內側支血管形成,呈“逗點狀”或“蜘蛛網”狀走行紊亂。
(3)伴發腹水,T1加權圖像上肝周圍低信號T2加權圖像上呈高信號。
(4)肝臟、椎旁間隙、腹壁靜脈呈代償性擴張低信號,奇靜脈擴張。
(5)可清晰顯示下腔靜脈和右心房的解剖結構為本病診斷提供重要的術前信息(圖2)。
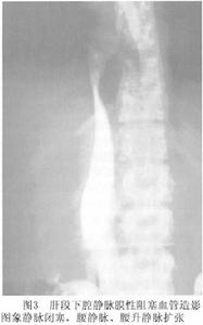
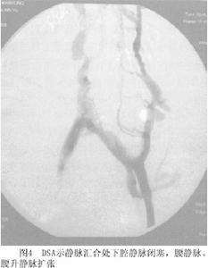
4.血管造影血管造影是明確BCS病變部位的最重要方法。一般可通過以下3種方法了解肝靜脈及下腔靜脈形態和血流動力學變化(圖3,4,5)。
(1)經股靜脈下腔靜脈插管:下腔靜脈完全性梗阻時,導管不能進入正常距離,向上逐漸出現阻抗測壓見下腔靜脈壓顯著升高;如果有下腔靜脈阻塞時,需同時經頸靜脈上腔靜脈插管作雙向造影可清晰顯示膜性結構的形態和阻塞距離的長短。此時,在阻塞部位以下可見附壁血栓,更可清晰顯示迂曲、擴張的腰靜脈、腰升靜脈脊柱前靜脈、膈靜脈及心包膈靜脈,亦可見血流經奇靜脈。可見一支或二支肝靜脈阻塞,阻塞下段擴張,或一支阻塞、另一支代償性擴張,亦可見各支肝靜脈間的分流。若沒有下腔靜脈阻塞操作嫻熟者導管不能進入靜脈,提示肝靜脈有梗阻。
(2)經肝靜脈插管:肝靜脈阻塞時最好經肝作肝靜脈插管測壓及造影。此時肝靜脈壓顯著增加,注入造影劑可顯示梗死部位程度、形態可見肝靜脈間各種側支循環將血液引流入右心房或反流入門靜脈肝內血管呈蜘蛛網狀。此時若同時行下腔靜脈造影則可更清楚地了解肝靜脈受累情況。即使經肝靜脈插管不能成功行肝實質造影也可明確診斷。但是,有嚴重出血傾向和大量腹水的病人,禁忌行肝實質穿刺造影。
(3)腹腔動脈和腸系膜上動脈造影及間接門靜脈造影:選擇性動脈造影也可明確診斷,此時常可顯示狹窄的伸直的肝動脈、高密度毛細血管影和門靜脈血液逆流。
5.99Tc肝掃描99Tc肝掃描診斷BCS的特徵表現是肝臟增大,形態失常示蹤劑聚集於充血肥大的肝尾葉,呈“中央濃集”現象肝右葉示蹤劑呈稀疏狀分布或明顯減少部分病人,脾臟中度或重度顯影和增大
6.內鏡檢查胃鏡僅可檢出食管-胃底靜脈曲張,對BCS的診斷幫助不大。腹腔鏡檢查對BCS的診斷具有重要意義,鏡下肝臟明顯腫大,表面光滑,外觀呈紫色。直視下活檢可以明確診斷。
7.肝活檢BCS時肝臟組織學均可呈現特徵性變化,只要臨床症狀排除心源性因素肝活檢一般都可作出明確診斷然而,該檢查不能確定阻塞的性質、部位和範圍,不能代替血管造影檢查。有嚴重出血傾向和大量腹水時,行肝穿刺有一定危險,故不宜作為手術前常規檢查項目。
治療
巴德-恰里綜合徵1.非手術療法
(1)支持和對症治療:支持療法可為明確診斷和手術治療爭取時間和創造條件有腹水者給予利尿藥發生食管靜脈曲張出血、肝性腦病者應給予相應處理。
(2)抗凝和溶栓療法:對於由血栓形成所致的BCS患者應及時給予溶栓和抗凝療法。
(3)病因治療:有明確病因或誘因者應予以去除如寄生蟲感染者給予抗寄生蟲治療。如口服避孕藥物所致者應及早停用同時給以“保肝”、利尿等對症治療。如繼發於真性紅細胞增多症,應給以靜脈放血、放射性磷或骨髓抑制性藥物,如苯丁酸氮芥、環磷醯胺、白消安(馬里蘭)等。繼發於發作性夜間血紅蛋白尿者可服用大量鹼劑或靜注右鏇醣酐,可使溶血暫減輕。腎上腺皮質激素可控制血紅蛋白尿的發作丙酸睪酮(丙酸睪丸素)也有一定效果。由良、惡性腫瘤引起者應行腫瘤切除或栓塞療法化療和放療伴發於炎症性腸病或膠原病者可使用腎上腺皮質激素控制病情活動。
2.手術療法1948年Blakemore首先採用脾-腎靜脈分流術治療1例Budd-Chiari’s綜合徵獲得成功20世紀60年代以來,有關手術治療本症的報導日益增多,取得了比較滿意的效果。與內科治療相比較,手術療法已展示出可喜的前景。目前已基本公認手術解除肝靜脈和(或)下腔靜脈阻塞,是最理想的治療方法。一旦明確診斷,經短期的內科支持療法後,儘早施行手術。應根據病理類型及阻塞的部位、範圍和程度選擇適當的手術方法。
(1)門-體靜脈分流術:肝靜脈阻塞後,肝細胞呈進行性損害的基本原因是肝竇壓力明顯增高所致的壓迫性壞死和肝動脈灌注減少引起缺血門-體分流使門靜脈系轉變為流出道,脾靜脈和肝內血液逆流經門靜脈系而流入低壓的下腔靜脈,從而使門靜脈壓和肝竇壓力降低,不僅防止肝細胞進一步受損害,而且肝臟功能和組織學檢查能恢復正常,或僅遺留輕度纖維樣變門-腔靜脈側側分流術能有效地降低門靜脈壓力。
對於下腔靜脈通暢伴有肝靜脈阻塞的病人,較常採用的手術方式是門-腔靜脈側側分流、腸-腔靜脈側側分流術、脾腎靜脈端側吻合分流術;當肝臟淤血腫大顯著,妨礙顯露門靜脈,尤其是肝尾葉顯著增大使門靜脈和下腔靜脈的正常解剖位置改變,門-腔靜脈側側吻合發生困難時,一些學者推薦“H”形橋式分流術,用移植血管橫置於腸系膜上靜脈與下腔靜脈之間,其兩端分別與下腔靜脈和腸系膜上靜脈之“外科乾”行端側吻合。由於腸系膜上靜脈“外科乾”的內徑並非最大之處,為避免分流栓塞,有學者將“H”形分流改良成“C”形分流,即血管橋之一端與下腔靜脈行端側吻合,另一端引向上至十二指腸第三段的頂端和胰腺鉤突部與尚未分支的腸系膜上靜脈主幹行端側吻合。血管橋呈“C”形。與“H”形分流相比較,術後栓塞率降低。
對於下腔靜脈阻塞伴有肝靜脈阻塞的病人常採用的手術有腸系膜上靜脈-右心房分流術門靜脈-右心房分流術另有學者採用門靜脈-肺靜脈分流術、脾靜脈-右心房分流術、下腔靜脈門靜脈系-右心房分流術;對於病情嚴重無法耐受開胸手術者也可選用腸系膜上靜脈-頸內靜脈經胸骨後人工血管轉流術。
(2)膜切除術:對於單純下腔靜脈膜性阻塞或短段下腔靜脈狹窄同時不伴有肝靜脈阻塞的病人,首先採用Seldinger介入技術套用球囊導管擴張和必要的內支撐架安置術,當套用介入方法破膜失敗、復發隔膜下有血栓繁衍的病例,可採用手術直視破膜、直視下病變隔膜切除術或聯合套用經右房破膜與經股靜脈會師式破膜、擴張和內支架置入術
(3)腔-房轉流術:對於長段下腔靜脈阻塞不伴有肝靜脈阻塞,或局部病變切除困難的膜性或短節段性下腔靜脈阻塞的病人,常採用的手術為腔-房轉流術。該種術式屬於心包內轉流術有出現心包炎可能;近年來,有學者套用心包外下腔靜脈近端與阻塞段遠端下腔靜脈人造血管轉流術。
(4)根治性矯正術:為一種有別於各種分流或轉流手術方法採用解剖矯治的手術方法。該手術方法適用於局限性阻塞,伴新鮮血栓形成且溶栓藥溶栓無效時或阻塞段達1~6cm(如為血栓病例,也適於長段病變),或在肝靜脈開口阻塞必須解決的場合或局部異物(如纖維雷射頭端折斷),或小兒病例均為手術指征。手術方法為經右第6肋開胸打開膈肌,建立體外循環(亦可不用體外循環)直視下切除病變段,補片或架橋重建血管通路
(5)腹膜-頸靜脈分流術:腹膜-頸靜脈分流術治療腹水療效甚好,但該手術充其量只不過是一種姑息性治療,它未能逆轉肝靜脈和(或)下腔靜脈阻塞所致的病理生理學變化。一般認為,只是當其他手術不可施行或失敗腹水成為一個突出問題時,方採用腹膜-頸靜脈轉流術,以解除病人痛苦和延長生命。
(6)原位肝移植:1976年,Putnam等首次將原位肝移植用於BCS的治療。Glenn等用肝移植術治療23例晚期患者5年生存率為44.7%,術後病人的主要致死原因是多發性栓塞併發症。1988年,Campbell等報告17例術後長期抗凝治療,3年累積生存率達88%國內亦有學者報導原位肝移植治療BCS。原位肝移植主要用於並發的暴發性肝功能衰竭和晚期肝硬化
(7)術後併發症及處理:
①心功能不全:為本症術後常見的併發症。當肝靜脈和(或)下腔靜脈梗阻解除後,回心血量突然增加,加重了原本功能不良的心臟負擔,發生心力衰竭。為防止心力衰竭,在梗阻解除後立即給予強心、利尿處理,包括毛花苷C(西地蘭)0.4mg呋塞米(速尿)10~40mg,靜脈注射,將有助於減少心力衰竭的發生。
②腹水或乳糜腹:手術前因下腔靜脈回流受阻,在肝靜脈血無出路的情況下,血漿流入肝淋巴間隙,導致超負荷的肝淋巴液通過肝包膜漏出進入腹腔成為頑固的、難以消退的腹水,少數病人因擴張高壓淋巴管的破裂而形成乳糜腹。術中更易損傷擴張的淋巴管而致乳糜腹。乳糜性腹水可採取口服泛影葡胺可使之消退加快。大量腹水可以腹腔穿刺抽取。個別患者需手術探查,結紮破裂的淋巴管。乳糜胸可儘量抽盡積液,注入四環素或紅黴素加普魯卡因,常起到良好療效。
③血胸:少量血胸可嚴密觀察,若出血量較大(大於100ml/h),應及時開胸止血。若因抗凝治療所致,應注意各有關的監測指標,及時調整抗凝藥物及劑量。
④肝性腦病:因巴德-恰里綜合徵病例的肝功能常較肝硬化病例為好,致門-體靜脈轉流後發生肝性腦病的比例並不高(<15%)且在注意飲食後多可防止發作中度和重度可按肝性腦病處理。
⑤人工血管阻塞:若懷疑有血栓形成,可用血流都卜勒在人工血管處探測,條件允許可行B超、間接腸系膜上靜脈造影,或經皮人工血管直接穿刺造影,觀察人工血管通暢情況。預防可術後抗凝治療。
⑥肺栓塞:肺栓塞可採用溶栓藥物(尿激酶、鏈激酶、r-tPA等)溶栓治療;方法除靜脈全身給藥外,也可採用介入局部溶栓治療;有條件的可建立體外循環,肺動脈切開取栓。
⑦其他:包括縱隔積水、肺膿腫、乳糜胸等,均較少見,發生後經對症處理,多能治癒。
預後
BCS僅極少數可自行緩解,絕大多數病情呈進行性加重,預後惡劣。McCarthy等報告14例單純經利尿、抗凝和支持療法12例死亡,平均生存時間僅6個月。Ahn等報告12例經內科治療的患者,作出診斷後2年生存率僅9%。在急性期患者往往死於肝衰竭(肝性腦病)亞急性和慢性患者大多發展為肝硬化,門靜脈高壓症則貫穿於所有病人的始終。肝靜脈血栓形成者病死率為50%~90%肝細胞癌也是主要死亡原因之一。中村隆報告的日本MOVC33.8%並發肝癌(24/71例),Simson們報告的南非101例MOVC中,48例(47.5%)就診時就患有肝癌或作出診斷後發展為肝癌。現在由於診斷水平的提高,治療方法的改進,BCS的預後已有改觀汪忠鎬報告手術治療260例經驗,經1個月至9年隨訪,總有效率為76.2%手術死亡率為6.9%,腸-房、破膜術和腔-房轉流術的5年通暢率分別為71.4%、66.7%和50.0%。張大新總結54例經皮穿刺球囊血管成形術,成功率為96.29%,隨訪1~25個月無復發。

