病因
神經軸索球樣體INAD是由PLA2G6基因的突變(22q13.1)引起的,基因突變會導致磷脂代謝的改變和鐵在基底神經節的異常沉積
症狀
嬰兒神經軸索營養不良非典型NAD通常出現在兒童早期,但也可能在十八九歲的時候出現,病情進展緩慢。患者可能表現為語言發育遲緩和神經行為障礙,包括衝動、注意力分散和情緒不穩定。疾病晚期會發生四肢癱瘓,在之前不一定表現出軀幹肌張力減退,患者更可能有漸進性肌張力障礙和發音障礙。而典型的INAD常會表現出視神經萎縮,眼球震顫和癲癇。
診斷
神經軸索損傷若該疾病在已知的患病家庭中造成突變的話,是有可能通過產前檢查確診的。
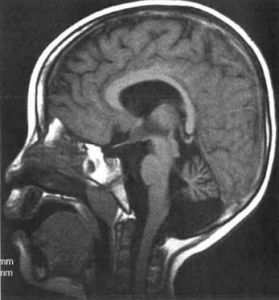
多數患有嬰兒神經軸索營養不良/非典型神經軸索營養不良而導致小腦萎縮的病人都可以在相對較早的年齡通過MRI被評估出來。與此同時,若出現腦部含鐵量高或視覺萎縮的症狀,即可確診,通過基因測試可以確認診斷結果。
治療
對該疾病建議採取保守治療,包括應對肌肉僵直和癲癇的藥物治療,讓那些患有明顯肌張力障礙、進行肌肉僵直物理性治療的患者口服或鞘內注射巴氯芬,使用胃飼管或氣管造口術等措施來預防吸入性肺炎。一般不推薦使用鐵螯合物治療。
預後
典型的嬰兒神經軸索營養不良病情惡化得非常迅速,許多孩子永遠無法學會走路。嚴重的肌肉僵直,進一步的認知能力衰退和視覺損害可導致植物人情況的發生。許多受該病影響的病人都只有10年以下聲明。但也有一些人活到了青少年時期或更久。非典型神經軸索營養不良患者的存活時間還不清楚,但預計會比經研究確認的典型嬰兒神經軸索營養不良的存活時間要長。

