疾病歷史
本病由Pfeifer(1892)首次報導,Weber(1925)命名為回歸熱型非化膿性結節性脂膜炎以後Brill又將本病定名為Pfeifer-Weber-Christian綜合徵。該病男女均可發病,成人發病者以女性為多,兒童發病多為男性。發病年齡自6個月~64歲以20~40歲女性最為多見。
病因
尚不十分明了。一般認為可能是多種原因引起的一種非特異性反應,或為感染、藥物誘發的一種變態反應性疾病。據報導有的病例發病前有反覆發作的扁桃體炎,亦有報導部分病例存在著不同情況的結核因子且個別病例須用抗結核治療後才能病情緩解。鹵化物、磺胺奎寧等藥物均可能誘發脂膜炎、皮肌炎系統性紅斑狼瘡,從而表明本病與自身免疫性風濕病相關
發病機制
回歸熱型結節性非化膿性脂膜炎1.脂肪肉芽腫是由多種因素引起脂肪組織變性,而產生的肉芽腫反應。這些因素分局部和全身兩種。局部因素為一過性缺血小動脈痙攣全身因素可能為脂肪代謝障礙,某些原因引起脂肪代謝過程中某些酶的異常,如血清澱粉酶、脂肪酶增加,局部脂肪酶、蛋白酶升高,其結果造成脂肪細胞損傷,最終導致脂肪肉芽腫形成。
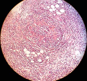
2.病理檢查主要病變在脂肪層中,一般分3期:
(1)急性炎症期:發生脂肪細胞變性和細胞間炎症浸潤,包括中性粒細胞、淋巴細胞和組織細胞,以中性粒細胞為主且常見有中性粒細胞核破壞,但不形成膿腫。
(2)巨噬細胞期:以組織細胞浸潤為主,吞噬脂肪後而成為泡沫狀巨噬細胞並有少量淋巴細胞漿細胞和中性粒細胞浸潤,往往也可見有多核巨細胞。
(3)成纖維細胞期:病變中主要為成纖維細胞和淋巴細胞,並有大量增生的纖維組織
在病變演變過程,中、小血管也有改變,主要為血管周圍細胞浸潤、內膜增厚及類纖維蛋白變性。大網膜腸系膜、心包膜、肝、脾骨髓及腎上腺周圍脂肪中均有同樣的病理改變。肝臟內有瀰漫性脂肪壞死和脂肪浸潤。肺的病理改變為肺泡腔及間質炎性細胞浸潤、肉芽腫性肺炎及脂肪栓塞。
臨床表現
多數病例伴有頭痛、全身乏力厭食、肌肉痛、關節腫痛和精神不寧等前驅症狀。
1.一般表現見於普通型和系統型。
(1)發熱:以系統型多見。在皮損出現數天后就開始發熱,體溫逐漸上升可高達40℃以上,呈弛張熱,持續12周后體溫開始下降。除弛張熱外還可為間歇熱和不規則熱。
(2)皮損:好發於四肢和軀幹,以臀部和股部最多見皮損為成批發生的堅實皮下結節,或呈片,大小不一,可小如豌豆大如手掌,邊緣清楚。結節可與皮膚粘連,表面淡紅,有輕度壓痛和觸痛。少數結節可壞死破潰,流出脂狀物質,但不化膿。偶爾皮損可表現為水皰。皮下結節經數天或數周后可逐漸消失患處皮膚略凹陷或有褐色素沉著。
(3)關節:表現為關節疼痛以雙膝關節疼痛最常見,其次為腕關節、踝關節,有些病例也可表現為遊走性關節疼痛。
(4)其他:部分病人可有淋巴結腫大,其中以系統型多見,多位於腋下、腹股溝和氣管旁,直徑0.5~2cm。有些病人可出現水腫,為下肢水腫、眼瞼水腫或全身水腫。
2.內臟受累表現僅見於系統型。
(1)呼吸系統:個別病人有胸痛、呼吸困難症狀。查體可聞及水泡音、胸膜摩擦音偶爾可出現滲出性胸膜炎體徵。
(2)消化系統:可出現厭食、噁心、腹痛、腹瀉、黃疸、消化道出血及肝、脾大病變如累及腸系膜、網膜、後腹膜和骨盆脂肪組織,可引起上腹部疼痛、觸痛和腸蠕動不良,聽診示腸鳴音減弱。這種情況稱為腹腔脂膜炎常伴有高熱、腹痛、體重下降等。腹腔脂膜炎可因纖維化而導致腸梗阻。
(3)心血管系統:可表現心肌炎心肌肥大、心動過速,偶爾也可發生心包炎病程後期可發生心力衰竭。
(4)眼部損害:有些病例可出現眼部症狀,表現為前葡萄膜炎、急性滲出性脈絡膜炎和繼發性青光眼等
(5)中樞神經系統:可表現為精神障礙、意識障礙、昏迷、抽風、腦膜炎症狀和顱內高壓征,這些症狀都是由於顱內脂肪組織炎所造成的。
(6)與其他風濕病重疊:本病可與類風濕關節炎、風濕熱、潰瘍性結腸炎和系統性紅斑狼瘡重疊,此外也可並發腎小球腎炎。
必須指出,普通型與系統型間無絕對界限,普通型可隨著病情演變而發展為系統型。
併發症
偶爾也可發生心包炎,病程後期可發生心力衰竭中樞神經系統,可出現腦膜炎症狀和顱內高壓征。本病可與類風濕關節炎、風濕熱、潰瘍性結腸炎和系統性紅斑狼瘡重疊,此外也可並發腎小球腎炎可發生心肌病、冠狀動脈閉塞、肉芽腫性肺炎、腸梗阻肝硬化、骨髓纖維化和腹膜後纖維化等併發症。
診斷
回歸熱型結節性非化膿性脂膜炎普通型根據反覆發作的皮下結節或為片狀斑塊伴有發熱,皮損自發性消退後留下局部凹陷等特點,不難診斷最後確診需依賴活組織檢查。系統型診斷較複雜,臨床除有發熱、皮下結節等一般表現外,尚有各臟器受累表現。個別病人既無發熱,也無皮下結節,僅表現為各臟器受累症狀,需活組織檢查方可明確診斷。
鑑別診斷
1.普通型應與下列疾病鑑別
(1)結節性紅斑:皮損累及真皮和皮下組織,是由皮膚壞死性血管炎所引起,好發於雙側小腿。紅斑消退後僅留有輕度色素沉著,不留有局部凹陷,皮損的組織學改變為血管炎。而不是脂肪組織炎症改變。
(2)硬紅斑:皮損好發於雙側小腿屈側,無發熱等全身症狀,組織病理為結核樣改變,抗結核治療有效
(3)皮膚型:惡性網狀細胞病皮損質地堅硬破潰後可形成邊緣清楚的深潰瘍,覆有分泌物和黑色厚痂,部分病例可有鼻咽部腫瘤史。有進行性全血下降和進行性肝、脾、淋巴結腫大。組織病理改變為網狀細胞增生,增生的網狀細胞大都不典型或不成熟。
(4)多發性神經纖維瘤:是一種常染色體顯性遺傳性疾病。皮損為多發性皮下軟組織腫瘤,是沿神經乾分布的多發性纖維瘤,並有皮膚色素沉著。可累及周圍神經及中樞神經,引起相應的臨床表現,其病理特徵為軟疣性纖維瘤和纖維瘤。
(5)淋巴瘤:表現為發熱、全身淋巴結腫大有時伴有關節肌肉不適、肝脾腫大等。腫大淋巴結的病理改變為異常淋巴細胞增生無脂膜炎所見的肉芽腫性脂肪組織炎性變
2.系統型應與下列疾病鑑別
(1)風濕性關節炎:一般起病急驟,以多關節炎為主伴有發熱和白細胞增多,多有不同程度的心臟炎,皮下結節的組織學檢查可見阿孝夫(Aschoff)小體,對水楊酸製劑治療有效
(2)系統性紅斑狼瘡:具有多統損害特徵容易與本病相混淆,但其皮膚特徵和組織學改變與本病有顯著不同。再者,免疫學檢查,抗核抗體均陽性。若發現有脂膜炎的特徵性皮損,則表明為系統性紅斑狼瘡與本病相重疊。
(3)胰腺癌表現有嚴重的消化道症狀如噁心、嘔吐、體重減輕等當壓迫膽總管時,可引起進行性加深的黃疸。B超及CT檢查可發現胰腺癌徵象。有時胰腺癌可伴發結節性液化性脂膜炎,但其皮損的組織學改變與本病不同,並有血清澱粉酶和脂肪酶升高。
檢查
實驗室檢查:
1.血常規、骨髓象及血沉外周血象可見紅細胞、血小板減少。白細胞多數減少,可含有中毒顆粒,分類計數中性粒細胞減少伴有核左移,但合併感染時白細胞增多,血沉增快。骨髓象可見粒細胞、紅細胞和巨核細胞不同程度的減少,有時粒細胞可含有少許中毒性顆粒,呈感染骨髓象。
2.尿常規當合併腎小球腎炎或重疊其他風濕病時,可出現蛋白尿、血尿和管型尿。
3.生化學檢查肝臟受累可有肝功能異常CRP增高。
4.免疫學檢查部分病人抗“O”滴度升高,重疊其他風濕病時可有類風濕因子滴度升高,抗核抗體陽性,補體降低,IgGIgM升高,細胞免疫試驗低淋巴細胞轉化率降低。
其它輔助檢查:
1.X線檢查胸部平片表現為肺門及氣管旁淋巴結增大,偶爾可見少量胸腔積液,肺內可見紋理增多及點片狀影等。累及心血管系統,可見有心臟擴大和心力衰竭。
2.心電圖檢查可見有竇性心動過速不同類型傳導阻滯及心肌炎等改變。
3.B超影像顯示皮下結節,表現為病灶邊緣和瀰漫性實質樣結構的皮下間隙增厚。
治療
1.去除誘發因素如去除感染病灶,停止套用誘發本病的藥物等。
2.一般治療急性發作期應臥床休息合併口腔、耳鼻喉慢性感染者,應給予足量有效的抗生素控制感染。儘量避免使用磺胺類藥物因此類藥物進入體內容易起到半抗原作用而加重病情。
3.全身治療早期可用抗風濕類藥物緩解症狀、退熱和減輕關節疼痛。非甾體類抗炎藥如阿司匹林每天1.5~3g,分3次口服,或雙氯芬酸(扶他林)每天75~150mg分3次口服。若無效可加用糖皮質激素類藥物,如潑尼松30~60mg,分3次口服,待症狀緩解後立即減量並逐漸停藥。抗生素與激素藥物並用可獲得更好的療效。但應注意,隨著病情的演變,本病對激素治療反應越來越差,此時可換用適量細胞毒藥物如環磷醯胺硫唑嘌呤,抗瘧藥氯喹及免疫調節藥左旋咪唑。
4.對症治療可用阿托品類解痙藥緩解腹痛,出現心力衰竭者可給予適量洋地黃(毛地黃)製劑水腫嚴重時可用適量利尿藥緩解水腫,眼部繼發青光眼者,應酌情採用手術治療。
5.中醫治療早期多表現為毒熱熾盛,氣滯血瘀型,用清熱解毒,活血化瘀,通經絡之藥物治療,可用四妙勇安湯加減,亦可隨證加入三黃湯、消毒飲、白虎湯等治療。清瘟敗毒飲與涼血消風湯也可酌情套用。
後期與慢性過程,往往表現為氣血受損陰陽虧損的虛證症狀,故可在上述清熱、活血化瘀,通經活絡的藥物上加入養血補氣滋陰溫陽的黃芪桂枝、當歸、熟地、何首烏、肉桂、附子等藥物;如主要為虛證,則宜用加減十全大補湯、八珍湯和陽和湯治療。
預後預防
預後
本病經過長短不一的發熱期後,症狀可自然消退但也可在幾個月或幾年內經常復發,可發生心肌病、冠狀動脈閉塞、肉芽腫性肺炎、腸梗阻、肝硬化骨髓纖維化和腹膜後纖維化等併發症。眼部損害可出現葡萄膜炎、急性滲出性脈絡膜炎和繼發性青光眼等。
預防
1.去除感染病灶,注意衛生,加強身體鍛鍊提高自身免疫功能。
2.生活規律,勞逸結合,心情舒暢,避免強烈精神刺激。
3.加強營養,禁食生冷,注意溫補
4.二級預防早期診斷,早期治療。

