病因
較為複雜,局部因素如外傷、寒冷、注射某些藥物,全身因素如結核感染、扁桃腺炎等可引起脂膜炎,一些系統性疾病如紅斑狼瘡、硬皮病、結節病也可引起脂膜炎。皮下脂肪血管的病變也常影響脂膜而出現炎症改變。
臨床表現 缺乏特異性,以淡紅色至棕褐色的皮下結節或斑塊較為多見,大小、數目不定,自覺疼痛和壓痛。皮損可發生在身體各處,以雙下肢及臀部為多見。病程大多慢性,愈後可遺留色素沉著及程度不等的萎縮。
常見類型
結節性紅斑及硬紅斑是脂膜炎中最為常見的疾病。其他變形的脂膜炎如下:
脂膜炎結節性發熱性非化膿性脂膜炎
又稱韋伯-克里斯琴二氏病。是原發性小葉性脂膜炎,病因不清。患者以女性居多。臨床上為反覆發作的皮下結節,直徑約2~3cm左右,表面紅,有壓痛,見於軀幹及四肢,以下肢為多見。結節經數周或數月後逐漸消退,但不時又有新結節單個或成批出現。成批出現時常伴有不同程度的發熱、全身乏力、食欲不振及關節酸痛。本病一般無內臟損傷,預後良好。組織病理學檢查主要為小葉內脂肪細胞變性、壞死。多數組織細胞及少量淋巴細胞、漿細胞的浸潤,血管壁增厚,內膜增厚,後期皮下脂肪內發生廣泛的纖維化。本病應與結節性紅斑和硬紅斑相鑑別,結節性紅斑多見於青年女性,常在春秋發病,皮損在小腿伸側,結節較小而淺在,表面紅,愈後無萎縮瘢痕;硬紅斑的結節較大且深在,表面暗紫紅色,可破潰結疤,好發於小腿屈側,患者常有結核感染。本病尚無特效療法,主要處理是矯治病灶,注意休息,可試用水楊酸鹽類、消炎痛、皮質類固醇激素及抗生素等。
寒冷性脂膜炎
寒冷環境中造成局部皮下脂肪損傷,表現為紫紺色的皮下結節或斑塊,局部溫度較低,好發於大腿、臀部及面頰部。避免受寒,注意保暖,給予高蛋白、高維生素飲食,損害可在數周內逐漸消退。
新生兒皮下脂肪壞死
見於健康的足月新生兒,表現為限局性堅實的暗紅色皮下結節,好發於臀部、腹部及肩背部,經數周或數月後可逐漸自行消退。本病的發生可能與分娩時受傷、受冷等因素有關,患兒母親多數為高齡初產婦,並以產鉗分娩。對患兒注意保暖,加強營養,局部保護均可使病變消退,一般不留疤痕。
皮脂類固醇激素後脂膜炎
見於長期大量使用皮質類固醇激素的患者,在突然停服或驟然減藥後在面頰、肩背部及臀部等出現皮下結節,表麵皮膚潮紅,亦可正常皮色。患者以兒童多見,大多因白血病、腎炎等長期服用皮質類固醇激素。本病無需特殊治療,適量服用皮質類固醇激素後即可慢慢消退。
外傷性脂膜炎
脂肪細胞較為脆弱,受到外傷容易引起皮下脂肪壞死,繼而導致炎症反應,造成局部紅腫,出現硬的斑塊,好發於較為肥胖的婦女及兒童。局部理療可促進炎症吸收,組織修復。
此外,一些系統性疾病可侵及脂肪組織而出現脂膜炎,如深在性紅斑狼瘡,又稱狼瘡性脂膜炎,是以脂肪組織病變為主的紅斑狼瘡,表現為一個或多個深在的皮下結節,愈後常留下明顯的萎縮性瘢痕。好發於面頰部、臀部及臂部。還應該提及的是有些惡性腫瘤病如淋巴瘤惡性組織細胞增生症、白血病等也可以皮下結節或斑塊為主要症狀,若誤診為脂膜炎將延誤治療影響預後,因此對原因不明的皮下結節或斑塊應及時取材作組織病理學檢查,以早診斷、早治療。
中醫辯證
脂膜炎類似於祖國醫學的“梅核丹”,中醫認為脂膜炎系熱毒內蘊,外受寒濕,以致經絡受阻,氣血凝滯,營衛失調所致。
治宜活血化瘀,化濕通絡,清熱解毒。
方一:銀花、紫花地丁,黃柏、山梔、土茯苓、五靈脂、莪術、炮甲珠。
治療
本病尚無特效治療。纖維蛋白溶解藥、氯化奎寧,硫唑嘌呤,環磷醯胺等有一定療效。在急 性炎症期或有高熱等情況下,糖皮質激素潑尼松每天40—60mg和非甾體抗炎藥有明顯效果。 對症處理,可用激素控制炎症急性過程,但當體溫下降,結節消退,停藥後常有復發。如果 患者還有其它自身免疫病,首先應積極正確治療已有的免疫病,可以用激素控制急性症狀, 繼之用中藥及免疫調節劑進行全身治療,針對本病易復發的特點,在治療過程中亦應給予防 復發治療。
診斷要點
1 .臨床特徵:
( 1 )好發於青壯年女性;
( 2 )以反覆發作與成批出現的皮下結節為特徵,結節消退後局部皮膚出現程度不等的凹陷和色素沉著;
( 3 ) 常伴發熱、關節痛與肌痛等全身症狀;
( 4 ) 當病變侵犯內臟脂肪組織,視受累部位不同,出現不同症狀。內臟廣泛受累者,可出現多臟器功能衰竭、大出血或並發感染。
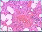
2 .病理診斷:皮膚結節活檢,其組織病理學改變是診斷的主要依據,它可分為三期:
( 1 )第一期(急性炎症期):在小葉內脂肪組織變性壞死,有中性粒細胞、淋巴細胞和組織細胞浸潤,部分伴有血管炎改變。
( 2 )第二期(吞噬期):在變性壞死的脂肪組織中有大量巨噬細胞浸潤,吞噬變性的脂肪細胞,形成具有特徵性的 " 泡沫細胞 " 。
( 3 )第三期(纖維化期):泡沫細胞大量減少或消失,被纖維母細胞取代;炎症反應被纖維組織取代,最後形成纖維化。
根據以上臨床及組織病理學特點可以作出診斷,但需與以下幾種疾病鑑別:
( 1 )結節性紅斑:亦可發生對稱性分布的皮下結節,但結節多局限於小腿伸側,不破潰, 3~4 周后自行消退,愈後無萎縮性疤痕。全身症狀輕微,無內臟損害。繼發於其它系統性疾病(如白塞病等)者,則伴有相關疾病的症狀。病理表現為間隔性脂膜炎伴有血管炎。
( 2 )硬紅斑:主要發生在小腿屈側中下部,疼痛較輕,但可破潰形成難以癒合的潰瘍。組織病理學表現為結核結節或結核性肉芽腫,並有明顯血管炎改變。
( 3 )組織細胞吞噬性脂膜炎:亦可出現皮下結節、反覆發熱、肝腎功能損害、全血細胞減少及出血傾向等,但一般病情危重,進行性加劇,最終死於出血。組織病理學變化可出現吞噬各種血細胞及其碎片的所謂“豆袋狀”組織細胞,這可與本病鑑別。
( 4 ) 結節性多動脈炎:常見的皮膚損害亦是皮下結節,其中心可壞死形成潰瘍,但結節沿動脈走向分布,內臟損害以腎臟與心臟最多見,外周神經受累十分常見。核周型中性粒細胞胞漿抗體( P-ANCA )與B肝表面抗原陽性具有診斷價值,病理證實有中小動脈壞死性血管炎,動脈壁有粒細胞與單核細胞浸潤。
( 5 ) 皮下脂膜樣 T 細胞淋巴瘤:表現高熱、肝脾腫大、全血細胞減少及出血傾向,與系統型結節性脂膜炎極其相似。但脂肪組織中有腫瘤細胞浸潤,均為中小多形 T 細胞,中扭核及腦回狀細胞核具有重要診斷價值,常有反應性吞噬性組織細胞出現。免疫組化 CD45RO 和 CD4 陽性,而 CD20 陰性。
( 6 ) 惡性組織細胞病:與系統型結節性脂膜炎相似,表現高熱、肝脾腫大、全血細胞減少、紅斑、皮下結節等,但組織細胞異形性明顯,並可出現多核巨異常組織細胞,病情更為兇險,預後極差。
( 7 ) 皮下脂質肉芽腫病:皮膚損害 結節或斑塊, 0.5~3cm ,大者可達 10~15cm ,質較硬,表麵皮膚呈淡紅色或正常皮色,輕壓痛,分布於面部、軀幹和四肢,以大腿內側常見,可持續 0.5~1 年後逐漸隱退,且不留萎縮和凹陷。無發熱等全身症狀。早期的病理改變為脂肪小葉的包性炎症,有脂肪細胞變性壞死,中性粒細胞、組織細胞和淋巴細胞浸潤,晚期發生纖維化,組織內出現大小不一的囊腔。本病好發於兒童,結節散在,消退後無萎縮和凹陷,無全身症狀,有自愈傾向。
( 8 ) 類固醇激素後脂膜炎:風濕熱、腎炎或白血病的兒童短期內大量套用了糖皮質激素,在糖皮質激素減量或停用後的 1~13 天內出現皮下結節,結節 0.5~4cm 大小不等,表麵皮膚正常或充血,好發於因套用糖皮質激素而引起的皮下脂肪積聚最多部位,如頰部、下頜、上臂和臀部等處,數周或數月後可自行消退,無全身症狀,如激素加量或停用後再度套用也可促使結節消退。多數病例無全身症狀。組織病現可見病變在脂肪小葉,有泡沫細胞、組織細胞和異物巨細胞浸潤及變性的脂肪細胞出現並見針形裂隙。
本病無特殊治療,皮損可自行消退而無瘢痕。
( 9 ) 冷性脂膜炎:本病是一種由寒冷直接損傷脂肪組織引起的一種物理性脂膜炎,表現為皮下結節性損害,多發生於嬰幼兒,成人則多見於凍瘡患者或緊身衣褲所致的血循環不良者。
本病好發於冬季,受冷數小時或 3 天后於暴露部位如面部和四肢等處出現皮下結節,直徑 2~3cm ,也可增大或融合成斑塊,質硬、有觸痛、呈紫紺色,可逐漸自行消退而不留痕跡。主要病理變化為急性脂肪壞死。
( 10 ) 其他:還需同胰腺性脂膜炎(胰腺炎和胰腺癌)、麻風、外傷或異物所致的皮下脂肪壞死等相鑑別。此外尚須排除 a1 抗胰蛋白酶缺乏脂膜炎,類固醇類激素後脂膜炎等。
臨床表現
脂膜炎症狀與體徵:臨床上呈急性或亞急性經過,以反覆全身不適、關節痛、發熱、皮下結節為特徵。 結節性脂膜炎根據受累部位,可分為皮膚型和系統型。
皮膚型
病變只侵犯皮下脂肪組織,而不累及內臟,臨床上以皮下結節為特徵,皮下結節大小不等,直徑一般 1 ~ 4 cm ,亦可大至 10 cm 以上。在幾周到幾個月的時間內成群出現,呈對稱分布,好發於股部與小腿,亦可累及上臂,偶見於軀幹和面部。脂膜炎皮膚表面呈暗紅色,帶有水腫,亦可呈正常皮膚色,皮下結節略高出皮面,質地較堅實,可有自發痛或觸痛。結節性脂膜炎位於皮下深部時,能輕度移動,位置較淺時與皮膚粘連,活動性很小。結節性脂膜炎反覆發作,間歇期長短不一。結節消退後,局部皮膚出現程度不等的凹陷和色素沉著,這是由於脂肪萎縮,纖維化而殘留的萎縮性疤痕。有的結節可自行破潰,流出黃色油樣液體,此稱為 " 液化性脂膜炎 "( Liquefying panniculitis) 。它多發生於股部和下腹部,小腿伸側少見。愈後形成不規則的疤痕。
脂膜炎約半數以上的皮膚型患者伴有發熱,可為低熱、中度熱、或高熱,熱型多為間歇熱或不規則熱,少數為弛張熱。通常在皮下結節出現數日後開始發熱,持續時間不定,多在 1 ~ 2 周后逐漸下降,可伴乏力、肌肉酸痛、食慾減退,部分病例有關節疼痛,以膝、踝關節多見,呈對稱性、持續性或反覆性,關節局部可紅腫,但不出現關節畸形。多數患者可在 3 ~ 5 年內逐漸緩解,預後良好。
系統型
除具有上述皮膚型表現外,還有內臟受累。內臟損害可與皮膚損害同時出現,也可出現在皮損後,少數病例廣泛內胖受損先於皮損出現。各種臟器均可受累,包括肝、小腸、腸系膜、大網膜、腹膜後脂肪組織、骨髓、肺、胸膜、心肌、心包、脾、腎和腎上腺等。系統型脂膜炎的發熱一般較為特殊,常與皮疹出現相平行,多為馳張熱,皮疹出現後熱度逐漸上升,可高達 40℃ ,持續 1~2 周后逐漸下降。消化系統受累較為常見,出現肝損害時可表現脅痛、肝腫大、脂肪肝、黃疸與肝功能異常。侵犯腸系膜、大網膜、腹膜後脂肪組織,可出現腹痛、腹脹、腹部包塊、腸梗阻與消化道出血等。骨髓受累,可出現全血細胞減少。呼吸系統受累,可出現胸膜炎、胸腔積液、肺門陰影和肺內一過性腫塊。累及腎臟可出現一過性腎功能不全。累及中樞神經系統可導致精神異常或神志障礙。脂膜炎預後差,內臟廣泛受累者可死於多臟器功能衰竭,或上消化道等部位的大出血或感染結節性脂膜炎。

