流行病學
本病發病男性多於女性,伴發胰腺癌者男女之比為5∶1伴發胰腺癌的發病年齡多在40歲以上。病因
目前認為本病出現的脂肪壞死是由於胰腺脂肪酶作用於皮下中性脂肪組織所造成的,結節和胰腺炎可在血清脂肪酶突然升高時發生並已知淋巴管系統是胰腺酶彌散的主要途徑,但體循環系統可能在運轉胰腺酶時起主要作用。發病機制
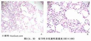
結節性液化性脂膜炎2.皮膚結節活檢所見,表皮和真皮正常,病理改變僅限於皮下組織,呈斑點狀受累。局灶性脂肪壞死與外觀近乎正常的脂肪小葉可交替出現。脂肪細胞膜完整無損,而細胞的其他成分在蘇木素伊紅染色時呈嗜弱鹼性,脂肪中隔膜、細胞核染色完全喪失。這些脂肪細胞稱為具有“陰影”細胞壁的“幻影樣”細胞。病灶與正常脂肪細胞交界區可出現含有各種類型細胞的炎性帶即正常和破碎的中性粒細胞、淋巴細胞、嗜酸粒細胞、組織細胞、泡沫細胞和異體細胞呈帶狀浸潤。壞死區邊緣可見有小的嗜鹼性顆粒沉澱,有人認為這種嗜鹼性顆粒沉澱是營養不良性鈣化偶可見有出血區。
臨床表現
1.皮損雙側小腿任何部位均可出現紫紅色、疼痛性炎症性皮下結節但多見於小腿內踝上部皮膚。結節直逕自數毫米到幾厘米不等。有些較大的皮損周圍可出現腫脹。皮下結節與其上面的皮膚粘連,但觸之可移動。輕型病例可僅有一次發作。結節不破裂,而於2、3周后內陷可殘留輕度凹陷的色素沉著痕跡。這種類型的皮損通常都伴有輕度復發性慢性胰腺炎所出現的腹痛,但部分病人可伴有發熱和多關節痛或關節炎。較嚴重的病人除面部以外,全身皮膚以外的其他脂肪組織也常受累。某些大結節觸痛明顯,似膿腫樣改變,觸之有波動感結節若自發性破裂,可滲出一種白色的乳酪樣或油狀黏稠物質。數個結節可融合成較大的波動性斑塊,各個結節間通過數個開口可互相交通。結節發生時常伴有持續性高熱、全身不適、乏力、食慾不佳和失眠等全身症狀。2.胰腺病變伴發胰腺癌的病人可有不同程度的腹痛多為鈍痛重者可呈絞痛或刀割樣疼痛。常突然發生,多在餐後2h內發作,逐漸加劇。大多位於上腹中部,疼痛多向腰背部放射少數可向肩部放射。一般可持續3~5天。多數病人在發生急性胰腺炎時,可出現噁心、嘔吐嚴重者在嘔吐物中可混有膽汁。少數病人可有黃疸,多因膽道炎症或胰腺炎症水腫壓迫膽總管所致。有時可發生休克,病人表現皮膚蒼白、出冷汗、脈細弱、血壓下降等。體檢雙下肺可聞及呼吸音減低及濕囉音。腹部膨隆,腹肌緊張,但無板狀腹。上腹部有壓痛及反跳痛腸鳴音減弱有時可出現低血鈣,手足搐搦症。半數以上病人有肝大部分病人可出現淺表性血栓性靜脈炎。在慢性胰腺炎時除腹痛外,尚表現有噁心嘔吐食欲不振、腹脹和脂肪瀉。
併發症:
皮膚結節同時可伴有胰腺炎嚴重者可伴有胰腺癌。
診斷
雙側小腿反覆出現紫紅色疼痛性皮下結節並發熱,有急慢性胰腺炎的症狀和體徵時一般多為本病。血清澱粉酶或脂肪酶升高,活檢結節脂肪組織中有典型“幻影樣”細胞,可以確定診斷。伴發胰腺腫瘤者,通過逆行胰膽管造影、血清澱粉酶檢查及CT檢查,一般可明確診斷。鑑別診斷:
本病主要應與下列疾病鑑別:
1.結節性紅斑本病累及皮膚,結節無液化病理改變,皮損消退後無局部凹陷血清澱粉酶脂肪酶均正常,血中嗜酸粒細胞也正常無胰腺炎症狀
2.硬紅斑皮損好發於雙側小腿屈側,無發熱及胰腺炎症狀,血清澱粉酶正常組織病理為結核樣改變,抗結核治療有效。
檢查
結節性液化性脂膜炎1.血常規及血沉發作期多數病人白細胞增多,嗜酸粒細胞增多血沉明顯增快。
2.大便檢查伴發胰腺炎者多有糞便脂肪含量增多。
3.生化檢查 血鈣可降低,γ球蛋白升高,多有血清澱粉酶、脂肪酶升高,但伴發胰腺炎者比胰腺癌升高明顯。伴發胰腺癌者BSP試驗升高鹼性磷酸酶升高。
其它輔助檢查:
X線檢查逆行胰膽管造影在慢性胰腺炎時可見腺管不規則狹窄及擴張,有時呈念珠狀,分支端擴大如棍狀,並可有假囊腫形成(即擴大的腺管分支),類似囊性支氣管擴張。在胰腺癌時,可見胰腺管不規則狹窄或阻塞,以及扭曲移位等徵象。
必要時可行經皮肝穿刺膽管造影檢查。超聲、CT檢查對胰腺病變診斷有幫助。
治療
本病治療主要是針對胰腺疾病,對結節性脂肪壞死無特效治療。1.全身治療急性發作出現高熱關節症狀及皮損時可用解熱鎮痛藥,阿司匹林1.5~3g,分3次口服或保泰松每天0.3~0.6g,分3次口服,或雙氯芬酸(扶他林)75~150mg/d,分3次口服以緩解關節症狀及退熱。必要時可用氫化可的松100~200mg,加入5%葡萄糖500ml靜脈點滴1次/d,連續數天。
2.伴發胰腺炎的治療一旦發生急性胰腺炎,應充分對症處理,可用解熱鎮痛藥退熱,腹痛嚴重者可酌用適量嗎啡類藥止痛,糾正水電解質失調和酸鹼紊亂。待急性期過後,再考慮手術切除腫瘤,術後給予適當化療。
對慢性胰腺炎者,可給予莨菪鹼類藥物如山莨菪鹼(654-2)、阿托品等,以緩解腹痛。宜用高糖、低脂高蛋白飲食,並常規服用適量助消化藥物
預後預防
預後:伴發胰腺癌者預後不良,可很快惡化而死亡。伴發胰腺炎者,預後較好,但易復發。
預防:
1.去除感染病灶,注意衛生,加強身體鍛鍊,提高自身免疫功能。
2.生活規律,勞逸結合心情舒暢,避免強烈精神刺激。
3.加強營養,禁食生冷,注意溫補。
