基本概述
結節性脂肪壞死病(nodularfatnecrosis)又稱胰腺炎皮下脂肪壞死病,Chiai描述合併胰腺疾病的脂肪壞死性炎症,除合併皮下脂肪壞死和小關節滑膜炎,還可引起胰腺及其周圍網膜、腸系膜脂肪壞死。皮膚損害表現為反覆、成批發生觸痛性皮下結節或紅斑。
.發病原因
胰腺病釋放胰脂酶引起播散性血管炎,致脂肪壞死性炎症。有時胰脂酶降低或正常,脂膜炎症亦可消退,亦有例外者,示發現胰腺疾病或胰脂酶未增多,而發生部位性脂肪壞死症。疾病檢查
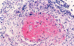
化驗檢查見血脂酶升高,或嗜酸性細胞增多、血沉加快。組織病理:脂肪小葉壞死為特點,壞死部炎性浸潤,中性粒細胞、淋巴細胞、組織細胞、泡沫細胞和異物巨細胞。可見無核脂肪細胞、胞漿內有嗜鹼性顆粒物,胞壁模糊淡染,稱為影狀脂肪細胞。晚期,局部可出現顆粒狀鈣沉著。臨床診斷
皮膚損害為分布較廣泛的皮下結節紅斑,成批出現,隆起皮面,呈淡紅或潮紅,質軟,有壓痛。有時可有波動感,液化溢出油狀液體,破潰形成潰瘍,消退局部不形成萎縮凹陷。如發生中小關節滑膜炎時,關節周圍紅腫,末節指(趾)關節尤著,類似痛風,可有骨質疏鬆。急性或慢性胰腺病變(包括胰腺炎、胰腺腫瘤或囊腫),除出現胰腺炎症性全身症狀,發熱、畏寒、噁心、嘔吐及腹脹、腹痛或黃疸等,化驗檢查見血脂酶升高,或嗜酸性細胞增多、血沉加快。皮膚損害多發於小腿,偶然亦發於臀部、軀幹和上肢。根據臨床表現,皮損特點,組織病理,血清檢查的特徵性即可診斷。
.易混淆疾病
1.Weber-Christian脂膜炎:有回歸性不規則發熱,無關節炎症狀。2.硬結性紅斑:屬皮膚結核疾病,皮損多分布於小腿屈側,無明顯全身症狀,無胰腺疾病。
3.結節性紅斑:多與風濕相關,皮損多分布於小腿伸側,結節不破潰,不伴胰腺疾病。
4.結節性血管炎:屬免疫性疾病,結節常沿血管走向排列,呈條索狀或梭狀硬性結節,很少破潰。
