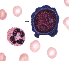
原紅細胞原紅細胞是紅細胞發育的初始狀態,細胞呈圓形或橢圓形,直徑為15~25μm。胞核呈圓形,居中,占細胞之絕大部分,核染色質為紫紅色,呈細顆粒狀,含暗藍色核仁2~4個,不甚清晰;胞質量少,呈深藍色,近核處著色淺淡、形成核周界,邊緣處著色加深,可有半球狀偽足突出,胞質內不含顆粒。(圖中箭頭所示為原紅細胞)
在紅細胞形成中變化
紅細胞系發育的過程是從原紅細胞開始的。原紅細胞體積大,胞核也大而圓,染色質細粒狀,核仁1~3個,胞質呈強鹼性。由原紅細胞發育成為早幼紅細胞時,核染色質變粗,胞質內開始合成血紅蛋白。早幼紅細胞約經四次分裂發育為中幼紅細胞。中幼紅細胞胞體較小,核染色質呈粗塊狀,胞質內血紅蛋白漸增多。中幼紅細胞再增殖,分化,發育成為胞體更小、核固縮、胞質內充滿血紅蛋白的晚幼紅細胞。晚幼紅細胞已無分裂能力,它脫去細胞核後就成為網織紅細胞,網織紅細胞再發育成為成熟紅細胞而釋放入血液循環。
與紅細胞的區別
原紅細胞是紅細胞發育的初始狀態,兩者最大的區別就是原紅細胞有細胞核,而紅細胞沒有。
