病因
邊緣葉腦炎(LimbIC encephalitis)及腦幹炎的原發腫瘤是小細胞肺癌或霍奇金病(Hodgkin病)惡性胸腺瘤有時也可導致本病其病因目前尚不清楚但在其他的副腫瘤神經綜合徵中發現有抗神經元自身抗體參與。
發病機制
邊緣葉腦炎或腦幹炎並非局灶性病損,CNS各層次均有病理改變主要病理特點是大量神經元缺失及小膠質細胞增生半球及邊緣葉表現最突出後根神經節也有炎症性病變推測病因可能為病毒感染,但至今未找到生物學證據。
臨床表現
副腫瘤性邊緣系統腦炎本病的特徵性症狀是進行性痴呆及明顯的記憶力障礙,特別是近事記憶障礙也可見全身性癲癇發作肌陣攣言語障礙及小腦體徵等腦幹炎除可見相應的腦神經麻痹可出現中樞性換氣不足。
副腫瘤性邊緣系統腦炎所致的遺忘綜合徵的臨床表現可以是靜止的,進展的或反覆發作的表現形式患者的臨床表現以近事記憶力損害嚴重學習新事物能力的明顯下降為特點。遠事記憶力損害一般較輕記錄能力不受影響虛構在某些病例中可有出現焦慮和抑鬱通常出現在綜合徵出現的早期幻覺以及部分性或全身性癲癇發作也可以出現。在許多的病例中遺忘綜合徵呈進行性進展,直至發展為痴呆。
副腫瘤性邊緣系統腦炎最常伴有小細胞性肺癌的發生其綜合徵的出現一般在肺部癌腫發現之前。
併發症: 副腫瘤性邊緣系統腦炎所致的遺忘綜合徵常常伴有其他部位的損害的症狀,這取決於所影響的邊緣系統以外神經系統部位,如小腦、延髓錐體束以及周圍神經等的損害。
診斷
副腫瘤性邊緣系統腦炎1.主要根據患者邊緣系統腦炎所致遺忘綜合徵的臨床症狀體徵
2.存在原發性腫瘤
鑑別診斷:
須排除腦實質或腦膜腫瘤轉移、代謝性腦病等
檢查
治療用藥實驗室檢查:
1.腦脊液中少量的單核細胞增多,中等程度的蛋白升高。
2.血清學檢查有時可發現一種針對神經元Ma2蛋白的抗體。
其它輔助檢查:
1.腦電圖:有時表現為瀰漫性慢波或雙顳葉慢波或棘波存在。
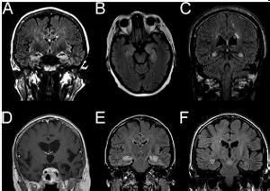
2.MRI:在中顳葉、海馬扣帶回島葉以及杏仁核等結構可見到異常的信號影像。
3.組織學檢查:發現在大腦皮質出現神經元脫失、反應性神經膠質增生、小膠質細胞增生以及周圍血管淋巴細胞呈套狀聚集浸潤。在海馬扣帶回、梨狀皮層、額下葉、島葉以及杏仁核的灰質是最常見的受損部位。
治療
原發性腫瘤切除或化療後邊緣葉腦炎的症狀可緩解,也有報導血漿置換有效目前還沒有特效的治療所以對原發病的治療就尤為重要。由於維生素B1缺乏所致的Korsakoff綜合徵應當特別重視,因為癌症患者常常伴有嚴重的營養缺乏套用大量的維生素B1治療可能改善遺忘綜合徵不斷惡化的進程。
預後預防
預後:
與導致本綜合徵的全身腫瘤預後相關;也與邊緣系統損害範圍相關。預後各不相同。大量的維生素B1治療可能改善遺忘綜合徵不斷惡化的進程
預防:
早期發現早期治療。
