解剖意義
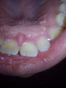
1、切牙乳頭:牙乳頭長度均值5.9mm,寬度均值為3.6mm。它將天然牙列和上領骨平分為兩半,可作為排牙時的參考。另一參照點,是切牙乳頭前緣到中切牙唇面的距離,方形牙弓為5毫米,卵圓形牙弓為6毫米,尖形牙弓為7毫米。
2、切牙乳頭有助於判斷人工牙的前後位置,支持Eir記h等人的數據,上切牙唇面應距離切牙乳頭後界12一13mm,在被檢義齒中,人工義齒的前牙排列普遍靠後。切牙乳頭中點和右上中切牙近中切角的平均離為9.93mm。
組織學結構
口腔黏膜由上皮和固有層組成,無黏膜肌層。固有層結締組織凸向上皮形成乳頭,其內含豐富的毛細血管,使新鮮黏膜呈紅色。乳頭及上皮內有許多感覺神經末梢。
相關臨床套用
戴上頜總義齒或400號部分可摘義齒多年的病人,有的因切牙乳突區基托壓痛而就診.通常將基托組織面與壓痛區相對應處磨除少許後,病人仍感不適我們的體會是:①首先進行調拾,使上下牙在正中拾時無接觸,留出0.5-1mm的小間隙,以減少前牙區牙槽靖的負荷,增加義齒的穩固性。②根據切牙乳突區黏膜的性質來確定基托組織面的處理原則,若切牙乳突區的黏膜豎韌無移動,無炎症者,將基托組織面與壓痛區相對應處用砂石磨除深約1mm,用回車針鑽1一2個小孔,以便墊底時多餘的材料由小孔排出,而後將調拌好的自凝塑膠置於基托組織面的磨除區內進行墊底,由於墊底區的壓力比承托區其餘部分的壓力小,故可消除基托壓痛.若牙乳突區的黏膜鬆軟,移動度大,呈紅色時,把與壓痛區相對應的基托磨穿,使壓痛區完全顯露,當義齒就位後,將調拌好的印模石膏塗於壓痛區的黏膜表面及基托聘側的磨光面上,厚約3mm,待石膏結固後,摘下義齒,在印模面上塗分離劑,注石膏模型,模型硬固後脫去印模,清理義齒胯側基托磨光面,特別注意穿孔部圍邊的清潔,而後用自凝或熱凝塑膠修補穿孔部.因石膏流動性好,無壓力,不會改變黏膜組織形態,所以將壓痛區的基托磨穿後,用石裔印模,再用塑膠將基托穿孔部修補好的方法,是消除承托區大範圍壓痛的有效措施.
相關疾病與治療
1、切牙乳頭囊腫是鼻聘管囊腫的一種少見的變種。有研究者描述這個病變起源粉切牙孔上皮巢,而不是位磚切牙管內。X線照片通常不能發現此病。有報告切牙乳頭囊腫或有症狀,或無症狀。如果囊腫擴大,侵及鱷骨X線可見到透光區。有案例報告了一例切牙乳頭囊腫,表現為上領前部的一個扁平的色素沉著區。
2、囊腫變色一般取決於囊液的成份。這個囊腫的纖維壁內是富有神經血管成份的。這可以解釋臨床所見到的色素沉著。由於這種囊腫位於前腮部,故對牙周病專科醫生來說,它是有重要臨床意義的。

