解剖結構:
1、切牙肌:
系口周圍深層肌之一。此肌位於口輪匝肌的深面,上、下各2塊,起自上、下頜骨側切牙的牙槽軛與犬牙槽軛之間,肌纖維向外側終於口角皮膚及黏膜。此肌收縮時,牽引口角向內側。有的該肌缺如。
2、切牙:
俗稱門牙。位於口腔前部的上、下頜骨,呈弧形排列,分為上頜中切牙,上頜側切牙,下頜中切牙和下頜側切牙,共八顆切牙,唇面牙冠呈楔形,牙根單一,切緣較薄,故其主要功能為咬斷食物,以利臼齒的咀嚼。乳牙於6歲左、右更換恆齒。
位於上下頜骨牙槽突的前端,中線的兩旁,上下頜切牙共有8個,名為上頜中切牙、上頜側切牙、下頜中切牙及下頜側切牙它們的結構相同,形態相似,其解剖特點為牙冠呈楔形,牙頸部最厚,向切端逐漸變薄,而成一形如刀刃的切緣,可用以切斷食物。牙冠的唇面微凸,近似梯形,舌面的中央凹陷成窩,叫舌窩。切牙牙根略呈圓錐或扁錐形,為典型的單根牙。
與切牙管相關的疾病:
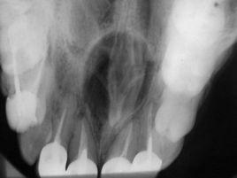
切牙管囊腫:
即鼻齶囊腫。也稱切牙管囊腫或鼻齶囊腫。屬面裂囊腫中常見的一種。多發生於30~59歲的男性患者。大多無臨床症狀,一般直徑不超過2cm。臨床可出現齶中線前部腫脹,可有波動感。有時囊腫向唇側生長,則引起緊貼上唇系帶下方腫脹。當有繼發感染時可使腫脹迅速增大,常伴有疼痛。鼻齶管囊腫的另一型只發生於切牙孔而不延及切牙管,稱為齶乳頭囊腫。病變囊壁上皮襯裡中有黏液細胞,結締組織中有少量淋巴細胞浸潤。又稱切牙管囊腫、鼻齶囊腫。面裂囊腫的一種,由切牙管內的胚胎上皮殘餘發生。臨床上又分為兩型:①發生在切牙孔齶乳頭處者稱齶乳頭囊腫;②起源於鼻齶管近口腔端者,襯裡為復層鱗狀上皮;來自鼻齶管的近鼻腔端者,襯裡為呼吸性上皮。囊腫位於切牙管內或其近處,X線片上可見切牙管擴大為圓形透光陰影,可自口內手術摘除。
切牙管在上頜中切牙種植手術中的意義:
成功的牙種植修復要求生物學和美學的雙重成功。可用牙槽骨的高度和寬度對種植體的選取和種植成功具有重要意義,在行上頜中切牙種植手術時,要求唇側和齶側都保留至少1mm的骨厚度,切牙管的存在令可用的骨組織更少。提前掌握種植區牙槽骨情況,對骨量不足者採用骨增量技術,使種植體更加穩固長久地存留在口腔內和較易獲得美學成功。切牙管位於上頜前牙區切牙孔的後上方,分別有鼻腔和口腔開口,管內有鼻齶神經血管束。

