原因
牙齒形態異常的病因
受遺傳因素的影響,其作用方式,目前還不明了。少數在環境因素的影響下,如機械壓力在牙齒髮育期間,由於全身疾患、營養障礙或嚴重的乳牙根尖周感染,維生素C缺乏時,成牙本質細胞變性,不能形成正常的牙本質,嚴重時牙本質發育停止。成牙本質細胞變性後可影響釉質正常發育。也可以造成牙齒形態的變異。
檢查
牙齒形態異常的檢查診斷
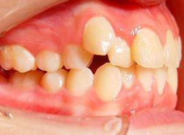
畸形牙尖(deformityofcusp):上頜切牙的畸形舌尖,雙尖牙頜面的畸形中央尖.偶爾可在磨牙上見到額外牙尖。
畸形中央尖(centralcusp):在雙尖牙頜面中央窩處,發生一圓錐形額外牙尖,可以在一個或幾個甚至全部雙尖牙上發生.一般對稱性出現.牙尖高低不等(約1-3mm),構造不一,有的髓角突入尖內,也有的髓角不高,只是牙本質伸入尖內。
據我國學者調查,中央尖的發生率約在10%左右,而且在發生率方面似乎有種族區別,文獻報告白種人少見,而黃種人發生率較高.細而高的中央尖極易折斷,暴露髓角而引起慢性牙髓感染。
臨床上常遇到雙尖牙無齲壞,牙根尚未發育完成,而根尖周圍炎症已出現.仔細檢查時,可以找到中央窩處,或在頰側尖的三角嵴處,有中央尖折斷的痕跡.畸形側舌尖(taloncusp)臨床表現:常見於上頜中切牙,側切牙舌隆突處,形成圓錐形牙尖,形如手指狀高起的牙尖,所以又稱指狀尖,髓角可突入尖內,畸形側舌尖在乳牙,恆牙均可發生.上頜側切牙發生率大於中切牙.畸形舌側窩(invaginatedlingualfossa)臨床畸形舌窩多見於上頜側切牙,其次是上頜中切牙,偶見於尖牙.根據內陷程度的深淺,以及其形態的變異,臨床上又有畸形舌窩,畸形舌溝,牙中牙(densindente)之稱.畸形舌窩是內陷較輕的一種,牙齒形態無明顯變異,只是舌窩較深。
畸形舌溝是釉質內陷呈溝緣狀,溝縫將舌隆突一分為二,並繼續伸延至牙頸部,有的甚至達根部。牙中牙是釉質內陷較嚴重的一種,在X線片上,可以看到牙冠中央內陷的囊腔,周圍完全是釉質,很象一個小牙包在牙冠中,故而得名。
雙牙畸形(fusedteeth):臨床上根據雙牙融合的部位不同和形態上的各異為為融合牙,結合牙,雙生牙。
(一)融合牙(fusedteeth):由兩個牙胚融合而成.真正的融合牙是指牙本質融合在一起,而根管可以是一個,也可以是兩個。
(二)結合牙(concresenceoftooth):由兩個基本發育完成的牙齒,牙骨質結合在一起。
(三)雙生牙(geminatedtooth):臨床可見兩個完全分開或不完全分開的牙冠,而牙根是一個或兩個.多生的兩個牙的形態相似,它是由一個牙胚發育而來,故稱雙生牙.牙齒的數目不缺少,或可能增多。
鑑別診斷
牙齒形態異常易混淆的症狀
牙齒數目異常:
人類正常牙齒數目是乳牙20顆,恆牙28―32顆.牙齒數目異常表現為牙齒數目不足或數目過多.牙齒數目過剩常見有多生牙(又稱額外牙)和牙瘤.。牙齒數目不足又稱先天性缺牙,有個別缺牙,部分缺牙和全口缺牙。
牙齒結構異常:較常見的有牙釉質發育不全、四環素染色牙、牙本質發育不全症。
牙齒萌出異常:多見於恆牙。包括牙齒早萌、牙齒遲萌、牙齒異位萌出。
畸形牙尖(deformityofcusp):常見部位:上頜切牙的畸形舌尖,雙尖牙頜面的畸形中央尖.偶爾可在磨牙上見到額外牙尖。
畸形中央尖(centralcusp):在雙尖牙頜面中央窩處,發生一圓錐形額外牙尖,可以在一個或幾個甚至全部雙尖牙上發生。一般對稱性出現.牙尖高低不等(約1-3mm),構造不一,有的髓角突入尖內,也有的髓角不高,只是牙本質伸入尖內。
據我國學者調查,中央尖的發生率約在10%左右,而且在發生率方面似乎有種族區別,文獻報告白種人少見,而黃種人發生率較高.細而高的中央尖極易折斷,暴露髓角而引起慢性牙髓感染。臨床上常遇到雙尖牙無齲壞,牙根尚未發育完成,而根尖周圍炎症已出現。仔細檢查時,可以找到中央窩處,或在頰側尖的三角嵴處,有中央尖折斷的痕跡。
畸形側舌尖(taloncusp):臨床表現:常見於上頜中切牙,側切牙舌隆突處,形成圓錐形牙尖,形如手指狀高起的牙尖,所以又稱指狀尖,髓角可突入尖內,畸形側舌尖在乳牙,恆牙均可發生.上頜側切牙發生率大於中切牙。
畸形舌窩是內陷較輕的一種,牙齒形態無明顯變異,只是舌窩較深。
畸形舌溝是釉質內陷呈溝緣狀,溝縫將舌隆突一分為二,並繼續伸延至牙頸部,有的甚至達根部。
牙中牙是釉質內陷較嚴重的一種,在X線片上,可以看到牙冠中央內陷的囊腔,周圍完全是釉質,很象一個小牙包在牙冠中,故而得名。
雙牙畸形(fusedteeth)臨床上根據雙牙融合的部位不同和形態上的各異為為融合牙,結合牙,雙生牙。
(一)融合牙(fusedteeth):由兩個牙胚融合而成.真正的融合牙是指牙本質融合在一起,而根管可以是一個,也可以是兩個。
(二)結合牙(concresenceoftooth):由兩個基本發育完成的牙齒,牙骨質結合在一起。
(三)雙生牙(geminatedtooth):臨床可見兩個完全分開或不完全分開的牙冠,而牙根是一個或兩個.多生的兩個牙的形態相似,它是由一個牙胚發育而來,故稱雙生牙.牙齒的數目不缺少,或可能增多。
緩解方法
牙齒形態異常的預防方法
母親妊娠期注意營養、過量放射線照射及藥物,定期進行口腔檢查,預防關鍵在於注意婦幼保健,這類牙易患齲齒,要重視齲病預防。重度釉質發育不全可到醫院進行修復治療,輕度釉質發育不全可以不做處理。早期發現問題,進行早期預防。

