簡介
冠狀動脈旁路移植術,俗稱冠脈搭橋術,英文縮寫CABG,是國際上公認的治療冠心病最有效的方法,已有三十多年的歷史。
用於修復或替換梗阻的冠狀動脈以改善心臟心肌血供的手術。手術方法為用移植的血管(常為大隱靜脈及乳內動脈)在主動脈及梗阻的冠狀動脈遠端建立一條血管通路。
冠脈搭橋術手術
是讓心臟搏出的血從主動脈經過所架的血管橋,流向因引起狹窄或梗阻的冠狀動脈遠端而到達缺血的心肌,從而改善心肌的缺血、缺氧狀態。這種心肌血運的重建術,叫作冠裝動脈搭橋術。
一般來說,冠狀動脈管腔狹窄低於50%時,對血流的影響不大,使用藥物治療既可有滿意的療效。當狹窄達到75%時就會明顯影響血流的通暢而產生心絞痛症狀。此時就需要進行介入支架手術或是外科搭橋手術治療。目前,介入支架手術已經成為冠心病治療的主要手段,通常對於單支冠狀動脈狹窄,或多支冠狀動脈的局限性狹窄都可進行介入支架手術。只有對於多支冠狀動脈的瀰漫性狹窄才需要進行搭橋手術。
應該強調的是,冠心病心絞痛患者,藥物治療效果不佳時應及時接受支架手術或搭橋手術,這樣不但可以消除心絞痛,使病人能夠正常生活和工作,而且還可以預防心肌梗塞和猝死。對於心肌梗塞後形成的室壁瘤,嚴重影響心功能,產生嚴重心率失常或血栓栓塞,這種情況下必須行手術切除,並同時行冠狀動脈搭橋手術,效果會更好。
冠心病的冠狀動脈狹窄多呈節段性分布。且主要位於冠狀動脈的近中段,遠段大多正常。冠狀動脈搭橋術就是在冠狀動脈狹窄的近端和遠端之間建立一條通道,使血液繞過狹中位而到達遠端,如一座橋樑使公路跨過山壑江河一樣暢通無阻。不過所用的材料不是鋼筋水泥,而是患者自己的大隱靜脈、乳內動脈、胃網膜右動脈、橈動脈等橋樑血管。手術時將小腿或大腿上的大隱靜脈取出,一端與冠狀動脈狹窄遠端吻合,一端與升主動脈吻合,也可同時在一根靜脈上開幾個側孔分別與幾支冠狀動脈側側吻合,這就是所謂的序貫搭橋或蛇形搭橋。
冠脈搭橋術手術過程用大隱靜脈搭橋,手術損傷小些,簡單一些,但遠期效果比動脈搭橋差些,因此適用於年齡大的病人。用動脈搭橋損傷大,技術要求高,手術更難,但遠期效果較大隱靜
脈好,適用於年輕病人。一般情況下,80歲以上老人可單獨使用大隱靜脈搭橋,55歲以下可考慮全用動脈搭橋,其他年齡可用一根乳內動脈加上大隱靜脈。傳統的手術通常在全身麻醉、低溫、體外循環、心臟停止跳動的情況下進行,一般需要3-4小時。而隨著新技術的發展,越來越多的的病人可以不用體外循環,在心臟跳動的情況下手術,手術對病人的損傷明顯減輕,術後恢復更快。
在心臟上搭的橋能堅持多少年是許多患者關心的問題。一般認為用靜脈作為搭橋材料,其10年的通暢率約為50%左右,而用動脈橋的遠期通暢率會好的多。但由於人體的動脈材料有限,而且有些動脈材料容易痙攣,或者管腔太細,甚至動脈材料本身也有病變或狹窄,因此,不是所有患者都適合採用動脈橋。當然,如果橋血管再次梗塞,患者也不必害怕,可以採用介入技術在橋血管中置入支架解除梗塞。總之,在高新技術發展的今天,心內科、心外科醫生將共同幫助您戰勝冠心病。
適用範圍
應該強調的是,冠心病心絞痛患者,藥物治療效果不佳時應及時接受支架手術或搭橋手術,這樣不但可以消除心絞痛,使病人能夠正常生活和工作,而且還可以預防心肌梗塞和猝死。對於心肌梗塞後形成的室壁瘤,嚴重影響心功能,產生嚴重心率失常或血栓栓塞,這種情況下必須行手術切除,並同時行冠狀動脈搭橋手術,效果會更好。
冠脈搭橋術手術後心臟冠心病的冠狀動脈狹窄多呈節段性分布。且主要位於冠狀動脈的近中段,
遠段大多正常。冠狀動脈搭橋術就是在冠狀動脈狹窄的近端和遠端之間建立一條通道,使血液繞過狹中位而到達遠端,如一座橋樑使公路跨過山壑江河一樣暢通無阻。不過所用的材料不是鋼筋水泥,而是患者自己的大隱靜脈、乳內動脈、胃網膜右動脈、橈動脈等橋樑血管。手術時將小腿或大腿上的大隱靜脈取出,一端與冠狀動脈狹窄遠端吻合,一端與升主動脈吻合,也可同時在一根靜脈上開幾個側孔分別與幾支冠狀動脈側側吻合,這就是所謂的序貫搭橋或蛇形搭橋。
用大隱靜脈搭橋,手術損傷小些,簡單一些,但遠期效果比動脈搭橋差些,因此適用於年齡大的病人。用動脈搭橋損傷大,技術要求高,手術更難,但遠期效果較大隱靜脈好,適用於年輕病人。一般情況下,80歲以上老人可單獨使用大隱靜脈搭橋,55歲以下可考慮全用動脈搭橋,其他年齡可用一根乳內動脈加上大隱靜脈。傳統的手術通常在全身麻醉、低溫、體外循環、心臟停止跳動的情況下進行,一般需要3-4小時。而隨著新技術的發展,越來越多的的病人可以不用體外循環,在心臟跳動的情況下手術,手術對病人的損傷明顯減輕,術後恢復更快。
在心臟上搭的橋能堅持多少年是許多患者關心的問題。一般認為用靜脈作為搭橋材料,其10年的通暢率約為50%左右,而用動脈橋的遠期通暢率會好的多。但由於人體的動脈材料有限,而且有些動脈材料容易痙攣,或者管腔太細,甚至動脈材料本身也有病變或狹窄,因此,不是所有患者都適合採用動脈橋。當然,如果橋血管再次梗塞,患者也不必害怕,可以採用介入技術在橋血管中置入支架解除梗塞。總之,在高新技術發展的今天,心內科、心外科醫生將共同幫助您戰勝冠心病。
治療利弊
冠脈搭橋術與支架介入之利弊
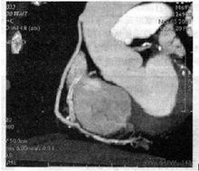
冠脈搭橋術CT圖
冠脈搭橋術CT圖心導管支架介入是治療冠心病一項很時髦的方法,治療冠心病主要有藥物治療、手術及支架介入三種方式,三種方式各有長短。服藥並不能改變血管狹窄的狀況,但藥物仍是冠
心病治療的基礎及重要手段。在心臟血管發生嚴重狹窄的情況下,就要考慮做冠脈搭橋術手術。而現在當冠狀動脈血管存在嚴重狹窄(70%以上)或閉塞的時候,可以考慮支架介入治療。搭橋手術與支架介入兩者之間的優劣。冠脈搭橋術手術是場“大仗”,可以解決嚴重的冠狀動脈病變,但需要全身麻醉,氣管插管,體外循環,手術時間長,住院時間長。而支架介入治療只需局部麻醉,只要在大腿股動脈穿刺即可(近年隨著醫療技術的進步,支架介入術僅需要在手腕動脈穿刺即可。這大大減輕了患者術後的不適。)。當然,並不是所有冠心病患者都適宜進行支架介入,血管彎曲、完全閉塞,分叉口、左主幹狹窄做介入就比較困難。支架介入也存在自身的缺點,比如說再狹窄的問題。陳紀言主任告訴記者,介入治療有三個里程碑。第一個是氣囊擴張技術,其血管再狹窄率達30%~40%;第二個就是普通支架,它的早期成功率高,引起併發症的幾率低,而且簡單易行,效果突出,但缺點是,在六個月的周期時,差不多有30%的再狹窄率;第三個就是塗藥支架技術,將再狹窄率降到了5%左右。陳主任說,介入治療的再狹窄原因,是脂肪沉澱物的再次堆積或者是動脈血管壁傷口處組織細胞的過度生長。塗藥支架就是在支架上塗抹適當藥物來達到防止細胞再生的目的,所攜帶的藥物能夠維持一個月的時間,術後第一個月正是細胞生長的時間窗,此時內控制細胞的生長,再狹窄的可能就很微小。陳主任建議,再狹窄的高危人群最好選擇塗藥支架(cypher)。易發生再狹窄的高危人群是指有糖尿病、小血管(血管內直徑小於等於2.5毫米)、長段狹窄及血管開口、分叉地方狹窄的人。陳主任和杜主任說,再怎么完美的治療都不如預防。醫生應該指導患者不吃高脂食物,多運動,保持健康的生活習慣,才能成為健康的贏家。
冠心病的冠狀動脈狹窄多呈節段性分布。且主要位於冠狀動脈的近中段,遠段大多正常。冠心病的治療方法冠狀動脈搭橋術就是在冠狀動脈狹窄的近端和遠端之間建立一條通道,使血液繞過狹中位而到達遠端,如一座橋樑使公路跨過山壑江河一樣暢通無阻。不過所用的材料不是鋼筋水泥,而是患者自己的大隱靜脈、乳內動脈、胃網膜右動脈、橈動脈,是將小腿或大腿上的大隱靜脈取上,一端與冠狀動脈狹窄遠端吻合,一端與升主動脈吻合,也可同時在一根靜脈上開幾個側孔分別與幾支冠狀動脈側側吻合,這就是所謂的序貫搭橋或蛇形橋。
用大隱靜脈搭橋,手術損傷小些,簡單一些,但遠期效果比動脈搭橋差些,因此適用於年齡大的病人。用動脈搭橋損傷大,技術要求高,手術更難,但遠期效果較大隱靜脈好,適用於年輕病人。一般情況下,80歲以上老人可單獨使用大隱靜脈搭橋,55歲以下可考慮全用動脈搭橋,其他年齡可用一根乳內動脈加上大隱靜脈。冠心病的治療方法冠脈搭橋手術通常在全身麻醉低溫、體外循環、心臟停止跳動的情況下進行,一般需要2-3小時。簡單的病例也不用體外循環,在心臟跳動的情況下手術。
術後如何護橋
冠狀動脈搭橋術後,若不注意飲食習慣的改變、生活方式的調整以及合理用藥,所搭的“橋”將時刻面臨再堵的危險。
因此,患者術後還應做到以下幾點:
⒈主要飲食——主食除米麵以外,適當搭配雜糧及豆類。瘦肉(雞、魚)每日100~150克,不吃肥肉,少吃動物內臟。用植物油,不用或少用動物油。青菜、水果多吃有益。花生、核桃仁可常吃,但不宜過量。鹽要控制,成人每天攝入5~6克食鹽就足夠了,建議選擇市售的低鈉鹽。
冠脈搭橋術⒉控制飲酒——儘量少喝酒,即使是葡萄酒,也應有所節制。最有益的飲料是白開水和茶,不要多喝含糖飲料。 ⒊適當活動——術後早期及恢復期應適當活動。患者術後第一次從事體育運動時,必須測脈搏,運動要嚴格按運動處方進行,既不“保守”,也不“激進”,要循序漸進、持之以恆。運動前要做好準備活動,如果在運動中出現胸悶、胸痛、憋氣、頭暈、心跳加快等不適,應立即停止活動,並及時到醫院就診。患者可隨身攜帶硝酸甘油等急救藥品,以備不時之需。飯前、飯後不要立即運動。陰雨天、氣候悶熱或寒冷時,應減少運動量或暫停運動。運動後,應休息20分鐘再沐浴。需要提醒的是,體育運動不能完全取代藥物治療,患者切忌擅自改變心臟病藥物的用量和方法。
⒋堅持用藥——術後應保持血壓平穩。血壓過高會增加心臟負擔,血壓偏低會妨礙“橋”內的血液流動。若沒有禁忌證,應儘可能終身服用腸溶阿司匹林,以防止“橋”內血栓形成。
⒌定期監測——患者術後應定期到醫院複查。須做心電圖、同位素或者冠狀動脈造影,以監測“橋”是否通暢。
注意事項
冠脈搭橋術1、傷口勤護理
出院時傷口處有輕微的發紅、疼痛、腫脹,有時甚至會持續幾個月,這是正常現象。回家後要經常檢查傷口,若發現有感染跡象,應及時去醫院檢查。傷口處每日要用清水或抗菌皂沖洗,傷口要用無菌敷料復蓋。術後腳踝部可能會腫脹數星期,可以穿彈力襪或在休息時將患肢抬高,以減輕腫脹。
2、科學安排飲食
手術後每天應保證攝入適量的水果和蔬菜,多吃蛋白質含量高的食物(如魚類、蛋類等)和含不飽和脂肪酸的食物(如玉米油、橄欖油、葵花子油等),少吃飽和脂肪酸含量高的食物(如動物油、奶油等)。
3、少量飲酒和嚴禁吸菸
術後最好不飲酒,每天最多喝50毫升紅酒。吸菸是心臟病的重要危險因素,故應嚴禁吸菸。
4、多多休息
在術後4-6星期的恢復期內,每天要保證8-10小時睡眠。所有活動應該安排在充足睡眠之後,活動量以不感覺勞累為宜。
5、適當參加活動
出院後先可早晚各散步10分鐘,數天后逐步提高速度,並延長距離。增加運動量過程中,若有輕微頭痛、疲勞、出汗、全身酸痛等症狀是正常現象。若在運動(如散步)時心絞痛發作,應立即舌下含服硝酸甘油。若仍不緩解,或伴有氣急、大汗、疼痛超過15分鐘,應儘快到醫院就診。夏天鍛鍊時宜選擇在早晨或傍晚天氣涼爽時,冬天可選擇在體育館內。上樓是一種中、重度體力活動,家住樓上的患者,可以自行緩慢上樓。以後可改為做一些輕微的家務,如打掃衛生、做飯、洗菜等。要避免抬舉重物,如搬家具、擦地板等。術後4-6星期內避免牽拉胸部的動作,包括抱小孩、推移重物、開車等。
6、注意記憶力和視力的改變
手術後可能出現記憶力暫時下降、注意力不集中。但這種情況並不多見,通常在幾星期內可以恢復正常。術後一般都有輕微的視力改變,但6個月後都能恢復至術前視力。
7、注意心理的負面影響
手術不僅對身體創傷較大,而且對精神心理也有較大的負面影響,不少患者會出現情緒低落。如果出現睡眠障礙、乏力、嗜睡、冷漠等症狀及絕望和自殺傾向,這些都是抑鬱症的表現,應當及時到正規醫院心理諮詢科就診。

