內小葉小葉是質膜組織,質膜包在細胞外面,所以又稱細胞膜(cellmembrane),它不僅是區分細胞內部與周圍環境的動態屏障,更是細胞物質交換和信息傳遞的通道。圍繞各種細胞器的膜,稱為細胞內膜。質膜和內膜在起源、結構和化學組成的等方面具有相似性,故總稱為生物膜(biomembrane)。生物膜是細胞進行生命活動的重要物質基礎,細胞的能量轉換、蛋白質合成、物質運輸、信息傳遞、細胞運動等活動都與膜的作用有密切的關係。
常見器官
肺小葉
每一細支氣管連同它的分支和肺泡,組成一個肺小葉。細支氣管及其分支包括:細支氣管、終末細支氣管、呼吸性細支氣管、肺泡管、肺泡囊和肺泡。
在睪丸內,由睪丸縱隔發出許多結締組織小隔,將睪丸實質分成許多錐體形的小葉,稱睪丸小葉,每個小葉內有1~4條蟠曲的精曲小管,管壁的上皮能產生精子,小管之間的結締組織內有間質細胞,分泌男性激素。
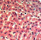
肝小葉hepaticlobule
肝小葉肝的結構和功能的基本單位,多角稜柱狀,高約2MM,寬約1MM.人的肝小葉間結締組織較少,故小葉分界不明顯,每個肝小葉中央有一條中央靜脈,肝板,肝血竇,竇周間隙及膽小管以中央靜脈為中軸,共同組成肝小葉的複雜立體構型。
肝小葉是肝結構和功能的基本單位,呈多面稜柱狀。在肝小葉中央有一縱行中央靜脈。肝細胞以中央靜脈為中心,向四周略呈放射狀排列,形成肝細胞素(板)。肝細胞素之間是肝血竇。肝血竇腔內有枯否細胞,具有吞噬功能。相鄰兩肝細胞之間有膽小管。膽小管可將肝細胞分泌的膽汁匯集至肝小葉周邊的小葉間膽管內。
